PUBLICACIONES MÁS RECIENTES
Patogenia de la Articulación Temporomandibular
* Dr. GERMAN HERNANDEZ L. 1. INTRODUCCIÓN 1.1. La inflamación La inflamación comprende una serie de fenómenos hemodinámicos, vasculares y...
Quistes Ontogénicos en Maxilar Inferior
Reporte de tres casos Dr. JUAN MANUEL CHIRIBY* Dra. DORIS BALLESTEROS** * Jefe Servicio Cirugía Oral y Maxilofacial. Hospital Central...
Técnicas de Pcr y Cultivo para la Identificación de las Especies Periodontopáticas
COMPARACIÓN ENTRE LAS TÉCNICAS DE PCR Y CULTIVO PARA LA IDENTIFICACIÓN DE LAS ESPECIES PERIODONTOPÁTICAS Porphyromonas gingivalis y Bacteroides forsythus...
Detección de Glucosil Tranferasa Ben Cepas de S.Mutans
DETECCIÓN DE GLUCOSILTRANFERASA B EN CEPAS DE S mutans, AISLADAS DE INDIVIDUOS SANOS. Barrientos S, Rodríguez A. Centro de Investigaciones...
Actividad de Fosfatasa Alcalina
ACTIVIDAD DE FOSFATASA ALCALINA COMO MARCADOR DE OSTEOGENESIS EN CULTIVOS DE FIBROBLASTOS ESTIMULADOS POR CAMPOS ELÉCTRICOS. Rey, JA, Lareo L,...
Biopsias de Tejido Gingival
DETERMINACIÓN DE CELULAS T CD3+, CD4+, CD8+ Y DEL RECEPTOR TCR alfa FAMILIA v-beta2, v-beta5.1, v-beta6.7, v-beta8 y v-beta12 EN...
Prueba y Validación de Productos Biológicos
GENERACIÓN DE UN SISTEMA DE GARANTÍA DE CALIDAD PARA LA EVALUACIÓN, PRUEBA Y VALIDACIÓN DE PRODUCTOS BIOLÓGICOS HACIENDO USO RACIONAL...
Análisis Clínico y Molecular de la Hipodoncia
Briceño I, Berrocal MC, González OA, Gutiérrez SJ, Ordoñez A, Torres D. Centro de Investigaciones Odontológicas. Facultad de Odontología. Instituto...
Tejido Conectivo Artificial de Mucosa Oral
Bello SA, Fontanilla MR. Laboratorio de Biología Molecular, Universidad El Bosque. Posgrado Interfacultades de Microbiología, Universidad Nacional de Colombia Este...
La Ontogenia del Osteoclasto
Sarmiento J,, Martinez C, Guerrero C, Mejìa E, Núñez G, Cardozo de Martinez CA. Instituto de Biotecnologia. Universidad Nacional de...
Evaluación del Efecto Antibacteriano del Vitapex
EVALUACIÓN DEL EFECTO ANTIBACTERIANO DEL VITAPEX, HIDRÓXIDO DE CALCIO Y ÓXIDO DE ZINC-EUGENOL EN CONDUCTOS DE DIENTES TEMPORALES SOBRE Enterococus...
Desarrollo de Estructuras Biomimeticas Fundamentales
Martinez CE, Martinez CA, Guerrero, C, Sarmiento J, Osorio A, Ramírez Instituto de Biotecnología. Universidad Nacional de Colombia. Generar sistemas...
Obtención y Caracterización de una Igy Anti -Porphyromonas Gingivalis
Castellanos JE, Martínez D, Cely A, Gallego A. Unidad de Investigación Básica Oral, Facultad de Odontología, Universidad El Bosque, Bogotá...
Respuesta Inmune Humoral
RESPUESTA INMUNE HUMORAL MEDIADA POR IgA e IgG CONTRA S.mutans DE NIÑOS EN ETAPA PREDENTAL González D. Octavio A, García...
Reactividad de Proteínas Salivales
REACTIVIDAD DE PROTEÍNAS SALIVALES QUE INTERACTUAN CON PÉPTIDOS SINTÉTICOS DE LA PROTEÍNA PAc DEL S. mutans. Lorenza Jaramillo. Centro de...
Oseointegración y Algunos Productos Cerámicos Óseos
Rodrigo Abello Moreno. Profesor Titular Universidad Javeriana, Miembro del grupo de Biomateriales CIO, Facultad de Odontología, Universidad Javeriana Desde hace...
Caracterización de Linfocitos
CARACTERIZACIÓN DE LINFOCITOS T GINGIVALES Y PERFIL DE CITOCINAS EN PACIENTES CON PERIODONTITIS AGRESIVAS Adriana Rodríguez, Ricardo Dueñas, Ana María...
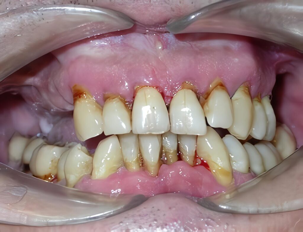
Patogénesis en Enfermedad Periodontal
PLANTEAMIENTO DE UN MODELO DE PATOGÉNESIS EN ENFERMEDAD PERIODONTAL Lina Suarez, Ricardo Dueñas, Ana María Ocampo, Nelly Roa, Adriana Rodríguez....















