Revista Colombiana de Neumología
Lo más reciente
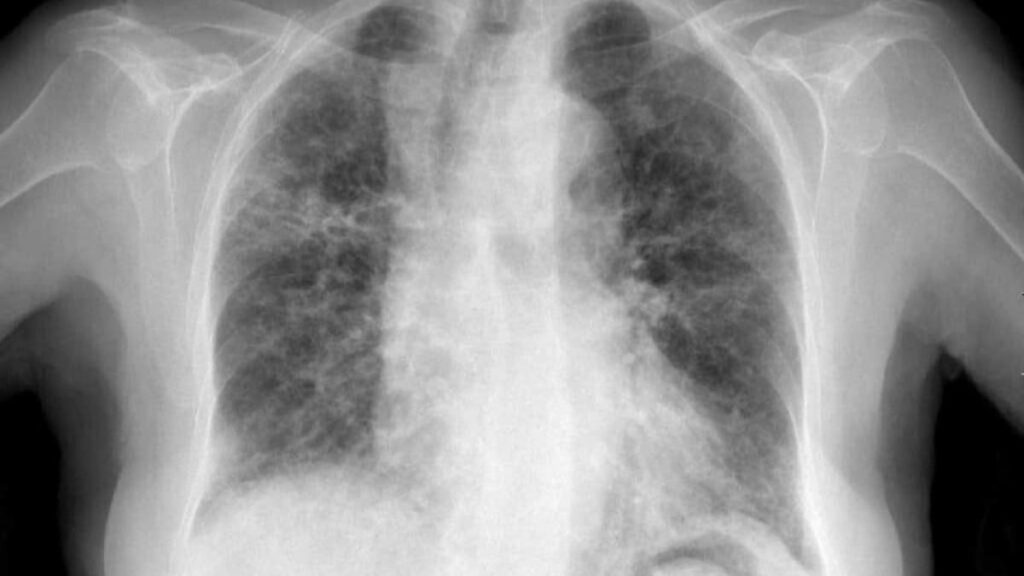
Neumonía intersticial aguda
Paciente de 71 años, masculino, natural de Zipaquirá y procedente de Bogotá, D.C., quien ingresa a la insitución remitido del...
Efectos benéficos de los Beta 2 en EPOC diferentes a una pobre broncodilatación
Introducción Dentro de las alternativas terapéuticas aceptadas mundialmente como parte del tratamiento de la Enfermedad Pulmonar Obstructiva Crónica (EPOC), se...
Hemorragia alveolar difusa
Definición y patogénesis La Hemorragia Alveolar Difusa (HAD) es un síndrome clínico que se manifiesta generalmente con hemoptisis, anemia y...
Compromiso neurológico y síndrome de dificultad respiratoria aguda en el adulto
Manifestaciones no pulmonares de la enfermedad pulmonar Introducción Las complicaciones neurológicas en la Unidad de cuidado intensivo (UCI) han sido...
Early treatment of stage II sarcoidosis improves 5-years pulmonary function
Objetivo del estudio sobre tratamiento temprano en pacientes con sarcoidosis estados I y II Evaluar el pronóstico a cinco años...
Sildenafil for treatment of fibrosis and pulmonary hypertension: a randomised controlled trial
Objetivos estudio sobre efectos agudos del sildenafil Comparar los efectos agudos del sildenafil, óxido nítrico y epoprostenol en pacientes con...
Controversias en shock y reanimación
Desde 1978 cuando el Dr. Kirby, durante el simposio de Hyland en su introducción mencionó: “probablemente los lectores no saben...
Embolización de las arterias bronquiales
¿Una alternativa para el manejo de la hemoptisis masiva? La hemoptisis masiva ha sido definida en forma arbitraria como la...
Efectos de las maniobras de reclutamiento alveolar en el postoperatorio de cirugía cardiovascular
Resumen Objetivos: evaluar un protocolo de reclutamiento alveolar en pacientes postquirúrgicos de cirugía cardiovascular para determinar si reduce la frecuencia...
Criptococosis pulmonar en paciente inmunocompetente
Paciente de 68 años, natural del Valle del Cauca, procedente de Bogotá, conductor de tractomula por 20 años, quien consulta...
Neumonitis de hipersensibilidad
Resumen La Neumonitis de hipersensibilidad, (NH) o Alveolitis alérgica extrínseca, se caracteriza por una inflamación predominantemente mononuclear, difusa, de la...
Neumonía
Definición de neumonía (Patología, Radiología): Infección o inflamación no infecciosa de los espacios aéreos y/o el intersticio del pulmón. Ramón...
Neumonías a repetición
Paciente de sexo femenino, 75 años, quien consulta por presentar cuadro de 15 días de evolución consistente en tos seca...
Fisiopatología del tromboembolismo pulmonar
Introducción El tromboembolismo pulmonar (TEP), es una patología de alta incidencia en nuestro medio. Los deletéreos, cambios hemodinámicos que se...
Estudio Breathe – 1
Objetivos Primario: evaluar los efectos del Bosentán, bloqueador de los receptores de endotelina, sobre la capacidad de ejercicio medida en...
Pleurodesis con isodine
Introducción Dado que aún no ha finalizado la búsqueda del agente ideal (efectivo, seguro, barato y de fácil disponibilidad) para...
Crisis asmática severa
El asma es una enfermedad inflamatoria de la pared bronquial caracterizada por episodios intermitentes de disnea, tos y sibilancias que...
Asma infantil: algunas consideraciones terapéuticas
El “asma infantil” representa una entidad que aun no ha logrado ser bien definida y delimitada, lo que establece entonces...

















