Resumen
La Neumonitis de hipersensibilidad, (NH) o Alveolitis alérgica extrínseca, se caracteriza por una inflamación predominantemente mononuclear, difusa, de la vía aérea pequeña y del parénquima pulmonar. La respuesta inflamatoria se da como resultado de la inhalación repetida de antígenos finamente dispersos.
La NH se presenta como manifestación de una respuesta inmune exagerada a una variedad de partículas orgánicas, tales como proteínas de aves, hongos, bacterias termofílicas y ciertos compuestos volátiles y no volátiles de bajo peso molecular.
La NH puede ocurrir en varias formas y puede ser reversible o puede llevar a un daño pulmonar irreversible, que va a depender de varios factores. La prevalencia de la NH entre las personas expuestas a bajas concentraciones del antígeno es esencialmente desconocido.
Palabras clave: Neumonitis de hipersensibilidad, Alveolitis alérgica extrínseca, Criterios diagnósticos, Biopsia pulmonar, Lavado broncoalveolar. (Lea también: Neumonía)
Dr. John C. Pedrozo Pupo, MD. *, Dr. Luis Carlos Triana, MD. ** , Dra. Paulina Ojeda León, MD. ***
* Residente de 5º. Año de Medicina Interna- Neumología. Hospital Santa Clara de Bogotá. Universidad El Bosque.
** Unidad de Cuidado Intensivo. Hospital Santa Clara de Bogotá.
*** Jefe del Servicio de Patología. Hospital Santa Clara de Bogotá. Profesora Asistente de la Universidad El Bosque
Summary
Hypersensitivity pneumonitis (HP), or extrinsic allergic alveolitis, is characterized by a diffuse, predominantly mononuclear cell inflammation of the small airway and pulmonary parenchyma. The inflammatory response appears to be a result of repeated inhalation of finely dispersed antigens.
HP appears to be a manifestation of an exaggerated immune response to a variety of organic particles, such as avian proteins, fungi, thermophilic bacteria, and certain small molecular weight volatile and nonvolatile chemical compounds.
HP may occur in several forms and may be reversible or may lead to irreversible pulmonary damage, depending on several factors. The prevalence of HP among people exposed to relatively lower concentrations of antigens is essentially unknown.
Key words: Hypersensitivity pneumonitis, extrinsic allergic alveolitis, diagnostic criteria, lung biopsy, bronchoalveolar lavage.
Generalidades
También conocida como alveolitis alérgica extrínseca, es un síndrome complejo caracterizado por inflamación difusa y granulomatosa del parénquima pulmonar y de la vía aérea, que resulta de la inhalación repetida de determinadas sustancias antigénicas, en su mayoría partículas orgánicas, tales como proteínas de aves y mamíferos, hongos, bacterias termofílicas, y ciertos compuestos químicos volátiles y no volátiles de bajo peso molecular. (1,2, 3,4)
Formas clínicas de la neumonitis de hipersensibilidad
La neumonitis de hipersensibilidad puede ocurrir en varias formas clínicas y puede llevar a un daño pulmonar irreversible, que depende de varios factores, los cuales incluyen la cantidad y la duración de la exposición al antígeno, la naturaleza de la partícula inhalada y la respuesta del huésped.
Es difícil determinar cuantas personas expuestas al agente causal desarrollarán neumonitis de hipersensibilidad, sin embargo, de acuerdo a muchos expertos, solo el 5 al 15% de las personas expuestas la padecerán. La prevalencia entre personas expuestas a bajas concentraciones del antígeno es desconocida. (3)
Una de las primeras descripciones de la enfermedad fue realizada en 1713 por Ramazzini da Capri, en el libro De Morbis Artificum, uno de los más importantes tratados de medicina ocupacional de la época.
Más de 200 años después, en 1930 Campbell presentó en detalle el primer informe de neumonitis de hipersensibilidad, donde describe el cuadro clínico y la relación de la enfermedad con los granjeros expuestos a partículas de hongos del heno.
Pocos años mas tarde, Pickles acuña el término “pulmón del granjero”. La bagasosis fué descrita más tarde, en 1941, por Jamison and Hopkins y en 1960, enfermedad de los criadores de pájaros, por Pearsall, Plessner y Cols. (3,5)
En 1970, Banaszak y cols. describen la relación de la neumonitis de hipersensibilidad con los individuos expuestos en su oficina de trabajo al Thermophilic actinomycete contaminando el aire acondicionado. Durante los últimos 30 años hay un número importante de agentes etiológicos y fuentes de antígenos capaces de inducir la enfermedad. (3)
Epidemiología de la neumonitis
La epidemiología de la neumonitis de hipersensibilidad permanece desconocida. La prevalencia y la incidencia es alta, pero pocos estudios basados en población están orientados a responder esta pregunta, así como la definición de casos, intensidad de la exposición al antígeno, condiciones geográficas, prácticas locales y costumbres, las cuales varían considerablemente.
Solo una pequeña proporción de pacientes expuestos desarrollarán clínicamente la enfermedad. Muchas personas con la forma leve o subclínica pasan inadvertidas y el diagnóstico será interpretado como infección viral o asma. (6)
La prevalencia varía de un país a otro, donde las tasas pueden ser debidas al clima local, estaciones, condiciones geográficas, costumbres locales y a la presencia de industrias. (3)
La prevalencia en cuanto al pulmón del granjero, que es la forma clínica más común, es del 0.4 a 7% de la población de granjeros, que varía dependiendo de la región y el clima. La prevalencia entre los criadores de pájaros, se estima en un rango de 20 a 20.000 individuos afectados por 100.000 personas en riesgo.
Incidencia de la neumonitis de hipersensibilidad
La incidencia de la neumonitis de hipersensibilidad varía considerablemente y está influenciada por factores similares. La tasa de incidencia entre los granjeros está entre 8 a 540 por 100.000 por año, mientras entre los criadores de palomas está entre 6.000 a 21.000 por 100.000 por año (6 a 21% por año). (6)
Igualmente hay otros tipos de poblaciones que son afectadas de forma esporádica, el 52% para los que trabajan con humidificadores, 37% para nadadores en piscinas, 27% en los que trabajan en la manufacturación y ensamblaje de partes de automóviles y 15% en los expuestos a aires acondicionados. (6,7)
En Colombia la incidencia y la prevalencia de la enfermedad no están bien establecidas. En el Hospital Santa Clara de Bogotá, es quizás una de las enfermedades intersticiales, de tipo granulomatosa no infecciosa, más diagnosticada, siendo la exposición a palomas, pericos y pollos los factores que mas frecuentemente están asociados con la patología.
Etiopatogenia
La lista de agentes específicos que causan la neumonitis de hipersensibilidad es extensa y nuevas circunstancias exposicionales continúan describiéndose.
Aunque su etiología puede reducirse a tres grandes categorías de antígenos causales: Agentes microbianos, proteínas animales y compuestos químicos de bajo peso molecular. (8)
Los agentes microbianos son del tipo bacteriano, micótico y amebiano. Dentro de las de tipo bacteriano están los ActinomicetosTermofílicos , que son bacterias con morfología de hongos, de menos de 1 mm, y son las más comúnmente encontradas en el suelo, granos, abonos, agua fresca, y sistemas de aire acondicionado.
Las especies más comúnmente implicadas incluyen la Saccharopolyspora rectivirgula, Thermoactinomyces vulgaris, Thermoactinomyces saccharis, Thermoactinomyces viridis y el Thermoactinomyces candidus, las cuales están asociadas con el prototipo de la neumonitis de hipersensibilidad, como la enfermedad pulmonar del granjero, descrita por primera vez por Cambell en 1932. (3, 8, 9, 10)
Bacterias
Estas bacterias crecen a una temperatura de 50°C a 55°C y en condiciones húmedas secretan enzimas que descomponen el contenido vegetal del heno (enfermedad pulmonar del granjero), la caña de azúcar (Bagasosis) y el abono del champiñón (pulmón del trabajador del champiñón).
Se encuentran contaminando los sistemas de ventilación y humidificación (pulmón del humidificador), cuando la temperatura alcanza los 60°C. La alveolitis por Bacilus subtilis ha ocurrido en familias que limpian pisos de madera, cuando se exponen al polvo. La bacteria gram negativa Klebsiella oxytoca causa también el pulmón del humidificador. (8)
Hongos
Muchas especies de hongos han sido asociados con una amplia variedad de circunstancias ocupacionales y ambientales.
Los más comúnmente encontrados corresponden a las especies de Aspergillus en los criadores de pájaros, granjeros, trabajadores de abonos, trabajadores de molinos de caña, recolectores de la hoja del tabaco, fabricadores de cerveza, champiñón, y en los invernaderos; las especies de Penicillium en trabajadores del corcho (P. frequentans), trabajadores del queso (P. casei, P. roqueforti), laboratoristas y granjeros.
Especies de hongos como el Cladosporium, Alternaria, Aureobasidium y el Basidiopores son los más comúnmente encontrados entre los meses de Julio a Octubre en los Estados Unidos y Canadá. (8)
Amebas
Las amebas son encontradas en el agua, vegetación y el suelo. La Naegleria gruberi y la Acanthamoeba castellani han sido implicadas en la neumonitis de hipersensibilidad, pero su papel etiológico preciso espera mayor claridad. (8)
Las proteínas animales, son partículas de diversas fuentes animales que causan neumonitis de hipersensibilidad cuando son inhaladas; la exposición a pájaros es la más importante clínicamente y es ampliamente reconocida. Los antígenos de las aves han sido demostrados en las plumas y suero de pavos, pollos, gansos, patos, loros, papagayos, pericos, palomas, y canarios.
Los sensibilizantes químicos son probablemente menos comunes que los microbios y las proteínas animales, aunque algunos de los antígenos inorgánicos que causan la enfermedad son comunes en la industria. Los isocianatos son ampliamente usados en la producción de polímeros de poliuretanos como las espumas, adhesivos y superficies de abrigos, así como el trimelítico anhídrido es utilizado en los plásticos, pinturas, y resinas. (8)
A pesar de su denominación, no es una enfermedad atópica y tampoco se asocia con aumento de eosinófilos ni de IgE. Aunque se sabe que opera un fenómeno inmunológico, los mecanismos exactos no han sido suficientemente aclarados. La patogénesis involucra varios aspectos: (1) exposición al antígeno de forma repetida; (2) sensibilización del huésped al antígeno; y (3) daño pulmonar mediado inmunológicamente. (1,8)
Aumento de los polimorfonucleares
En la neumonitis de hipersensibilidad, la primera respuesta al antígeno es un aumento de los polimorfonucleares en el alvéolo y la vía aérea, seguido de un influjo de células mononucleares y formación de granulomas. (11)
La neumonitis de hipersensibilidad se caracteriza por una alveolitis linfocítica en las fases muy tempranas de la enfermedad, con alteración en los subtipos de linfocitos T, principalmente por aumento de los CD8+ que tienen funciones supresora/citotóxica, con una inversión de la relación CD4+/CD8+, la cual es menor de 1.
Linfocitos T
Los linfocitos T, juegan un papel importante en las patogénesis y están aumentados en número y porcentaje en el BAL (lavado bronquioloalveolar), donde constituyen el 60 a 80% de las células recuperadas.
Los linfocitos T son activados localmente, reaccionando específicamente contra los antígenos desencadenantes. La diferenciación y activación de los linfocitos T requiere del reconocimiento de los receptores de los linfocitos T ante un antígeno extraño sobre las células presentadoras de antígenos, el cual se une con las moléculas coestimuladoras CD80 y CD86. Los CD80 y CD86 son expresados por células presentadoras de antígenos que incluyen células dendríticas, monocitos, macrófagos y linfocitos B activados. ( 12, 13, 14).
Dentro de las primeras 48 horas después de la exposición del huésped sensibilizado por el antígeno, hay un influjo inmediato de neutrófilos, que son probablemente estimulados por la formación de complejos inmunes dentro de la vía aérea, activación de la vía alterna del complemento o el efecto de endotoxinas del antígeno inhalado.
Neutrófilos
Los neutrófilos secretan una gran variedad de moléculas que están implicadas en las patogénesis de inflamación pulmonar difusa. Las metaloproteinasas-2 involucradas en la remodelación de la matriz extracelular, colagenasa-2 (MMP-8) y la gelatinasa B (MMP-9), pueden jugar un papel importante.
Estas enzimas son sintetizadas como zimógenos inactivos y son rápidamente secretadas; el neutrofilo las almacena en los gránulos intracelulares específicos y las libera después de la estimulación quimiotáctica. (8, 15)
Colagenasa-2
La colagenasa-2 es uno de los tres miembros de la subfamilia de colagenasas del MMP humano y tiene la capacidad de clivar la triple hélice del colágeno fibrilar tipo I, II, y III. La colagenasa-2 de forma preferencial cliva el colágeno tipo I el cual es el más abundante en el parénquima pulmonar.
La gelatinaza B (MMP-9) degrada ante todo el colágeno tipo IV, entactin, proteoglicanos, y posiblemente laminina, por eso está implicada en el rompimiento de la membrana basal y de esta forma juega un papel importante en la migración del neutrófilo a través de la membrana basal en los sitios de inflamación . (15)
Las células naturales killer se aumentan también en el BAL, e igualmente los mastocitos, que retornan a la normalidad 1 a 3 meses después de retirar la exposición.
Papel de los macrófagos
Los macrófagos también juegan un papel importante en las patogénesis de la enfermedad, a través del procesamiento y presentación del antígeno a los CD4+ en las fases tempranas de la respuesta inmune. La activación del macrófago alveolar por el complejo antígeno / anticuerpo específico produce liberación de citoquinas proinflamatorias como el TNF-a, IL-1 y macrófagos derivados de los productos de la lipoxigenasa.
Los linfocitos activados, de los fenotipos Th1 producen IL-2 e interferon gamma, el cual hace que el macrófago transcriba y secrete grandes cantidades de TNF-a e IL-1. Los factores derivados del macrófago probablemente contribuyen al influjo de células CD8+
Los CD8+ (o en algunos casos los CD4+) pueden modular la formación del granuloma por vía de las citoquinas Th1 (IL-2, IL-12, IFN-g) o Th2 (IL-4, IL-5, IL-6 y IL-10). La acumulación de efectores inmunes e inflamatorios y la liberación de fibronectina y de otros proteoglicanos de la matriz por el macrófago activado y los miofibroblastos, están asociados con la remodelación de la matriz intersticial y con la fibrosis pulmonar vista en la forma crónica de la alveolitis alérgica extrínseca. (8, 11, 16, 17,18, 19)
Tanto la IL-1 y el TNF-a producen fiebre e inflamación y son los mediadores mas importantes de la destrucción tisular y la remodelación.
Anticuerpos precipitantes
Es característica la presencia de anticuerpos precipitantes contra el antígeno inhalado en el suero de estos pacientes. Habitualmente se trata de inmunoglobulinas tipo IgG, aunque también se han encontrado IgA e IgM.
Estos anticuerpos específicos se detectan en el suero y en el BAL en el 90% de los pacientes y en el 50% de los expuestos asintomáticos. Este hallazgo, junto con la detección del factor activador del complemento C5a en el BAL en la fase aguda y con la aparición de los síntomas a las 4 a 9 horas de la exposición, hacen pensar en una respuesta tipo de Arthus, de la clasificación de Gell y Coombs, relacionada con complejos antígeno-anticuerpo tipo IgG y complemento.
Sin embargo, la vasculitis, y la lesión histológica característica de esta respuesta, rara vez se encuentra. Existe una relación directa entre la intensidad de la exposición y el riesgo de contraer la enfermedad. La mayoría de los hallazgos de las fases subaguda y crónica sugieren una respuesta de hipersensibilidad. (1)
La neumonitis de hipersensibilidad se caracteriza inicialmente por una alveolitis linfocítica y una neumonitis granulomatosa, que puede mejorar o resolverse cuando la exposición al antígeno se retira de forma temprana o terminar en una fibrosis intersticial progresiva si el estímulo antigénico persiste. (1, 19)
Actividades y oficios de mayor riesgo
El período de latencia entre la exposición a un antígeno del medio ambiente y el comienzo de los síntomas de la alveolitis alérgica extrínseca puede variar de pocas semanas a años.
Los factores de riesgo ambiental incluyendo la concentración del antígeno, duración de la exposición antes de comenzar los síntomas, frecuencia e intermitencia de la exposición, tamaño de la partícula, solubilidad del antígeno, uso de protección respiratoria, y la variabilidad en el tipo de trabajo, influencian la prevalencia, la latencia y la severidad.
La enfermedad del pulmón del granjero es más común en el invierno tardío, donde el heno almacenado es usado como pasto para la comida del ganado y en regiones con condiciones climáticas de lluvias e invierno pesado. (8)
La exposición antigénica insignificante o indirecta puede ser importante en el riesgo de alveolitis alérgica extrínseca por aves, estos pacientes casi siempre tienen contacto con criaderos o galpones de palomas, gallinas, pericos o pollos. Igualmente, las plumas usadas para hacer cebo para pescar y sombreros decorados, han sido asociados con la enfermedad.
También es importante tener en cuenta las personas que trabajan en los molinos de caña, procesamiento de abonos, laboratoristas, invernaderos, recolectores de hoja de tabaco, recolectores de algodón en donde las condiciones técnicas no son las mejores, pintores de brocha gorda, etc.
Factores del agente y del huésped que condicionan la enfermedad
El hecho de que algunas personas que están expuestas a los antígenos del medio ambiente asociados con la alveolitis alérgica extrínseca, desarrollan anticuerpos séricos o linfocitosis en el BAL o fiebre o ambas cosas, sugiere que la susceptibilidad al huésped frente a la exposición de los antígenos inhalados es una respuesta de tipo individual. Algunos estudios del HLA no han mostrado una clara asociación de la enfermedad con un locus de la histocompatibilidad.
Un número de estudios han mostrado que es más frecuente la enfermedad en no fumadores que en fumadores, bajo el mismo riesgo de exposición, estos hallazgos sugieren fuertemente que los fumadores tienen un efecto supresivo que interfiere con el proceso inmunopatologico que en última instancia lleva a la enfermedad.
Las razones no son claras, pero el cigarrillo interfiere con el proceso dependiente de energía involucrado en la fagocitosis del macrófago alveolar y además con la expresión de los antígenos de superficie.
En conclusión, podemos decir que el cigarrillo disminuye la capacidad del macrófago alveolar para producir IL-1, y el factor de necrosis tumoral-a; también afecta adversamente la inmunidad celular reduciendo la respuesta proliferativa de los linfocitos T a nivel pulmonar a mitógenos y alteración del balance entre los linfocitos T supresor/citotóxicos en el BAL.
Por otro lado, el fumar puede afectar el comportamiento clínico de la enfermedad y puede cambiar el curso clínico de la alveolitis alérgica extrínseca a una forma insidiosa y crónica. (3,8)
La neumonitis de hipersensibilidad puede ocurrir en niños y el diagnóstico es difícil. Las proteínas de las aves son las más frecuentemente asociadas con la enfermedad en la población pediátrica.
El embarazo y el parto parecen desencadenar los síntomas y la enfermedad del pulmón del criador de palomas, pero los cambios hormonales e inmunológicos no están bien entendidos. (8)
Cuadro clínico de la neumonitis de hipersensibilidad
Manifestaciones clínicas
La historia clínica es lo más importante y clave en el diagnóstico y es esencial para investigar el tipo de exposición. Esta deberá incluir una cronología de la ocupación previa y actual describiendo en forma detallada el tipo de trabajo, los antígenos y la exposición ambiental.
El cuadro clínico de la enfermedad es usualmente similar, en cuanto al tipo y naturaleza de la partícula inhalada. El intervalo entre la sensibilización por el antígeno inhalado y el comienzo clínico de la neumonitis de hipersensibilidad es desconocido, pero puede ser extremadamente variable hasta muchos meses o años después de la exposición.(3,8)
Clásicamente, la presentación clínica de la enfermedad ha sido categorizada en tres tipos: agudo, subagudo y crónico, los cuales van a estar determinados por la intensidad, frecuencia y duración de la exposición al antígeno. (3,21,22)
Forma aguda de la neumonitis de hipersensibilidad
La forma aguda de la neumonitis de hipersensibilidad, es la más clásica. El cuadro típicamente tiene un comienzo abrupto en las primeras 2 a 9 horas después de la exposición, con un pico de 6 a 24 horas y resuelve sin tratamiento específico en 1 a 3 días.
Consiste en tos, disnea sin sibilancias, dolor torácico tipo opresivo, fiebre, escalofrío, náuseas, malestar general, diaforesis, cefalea y mialgias; al examen físico fiebre, taquicardia, taquipnea, y estertores inspiratorios. Las sibilancias son raras.
Al retirar al paciente del antígeno, los síntomas comienzan a desaparecer entre 12 horas y varios días; la resolución clínica y radiológica completa ocurre después de varias semanas. La enfermedad puede recurrir con una nueva exposición. (3, 8, 23)
La forma clínica subaguda o intermitente se caracteriza por un comienzo gradual e insidioso, con síntomas, consistentes en tos productiva, disnea, fatiga, anorexia y pérdida de peso. El exámen físico revela taquipnea y estertores difusos, ocasionalmente los pacientes tienen fiebre.
Los pacientes pueden demorar en consultar varias semanas o meses después del comienzo de la enfermedad. Después de retirarse de la exposición, los pacientes pueden presentar resolución completa de los síntomas. (3, 22)
En la forma crónica progresiva siempre hace falta una historia clínica del episodio agudo y usualmente el comienzo es insidioso, con tos, disnea, fatiga y pérdida de peso. Al examen físico hay hipocratismo digital en el 51% de los casos. La falla cardíaca derecha que puede ser vista en la enfermedad avanzada y puede ayudar a predecir el deterioro clínico. (22)
Precipitinas
Son anticuerpos IgG dirigidos contra muchos de los potenciales antígenos, como el moho, hongos, polvillo del grano, sangre u otras secreciones de origen animal.
Las precipitinas no tienen un papel importante en la patogénesis de la enfermedad y el hecho de tenerlas no hace el diagnóstico, pero sirven de marcadores de exposición al antígeno, pudiendo ser encontradas en individuos sin enfermedad clínicamente evidente. Las precipitinas son encontradas en el 3 a 30% de granjeros asintomáticos y en más del 50% de criadores de palomas.
Los test en individuos asintomáticos tienen fluctuaciones en el tiempo, pudiendo ser positivos o negativos en diferentes momentos. Los falsos negativos ocurren por mala estandarización de los antígenos, control de calidad inadecuados, técnicas insensibles o mala selección del antígeno. (2, 3, 8, 21)
Otros laboratorios
En la forma aguda de la neumonitis de hipersensibilidad el cuadro hemático muestra leucocitosis y neutrofilia. Otros tipos de marcadores de inflamación como elevaciones leves de la VSG, proteína C reactiva y la presencia de isotipos de las inmumoglobulinas del tipo IgG, IgM o IgA, están ocasionalmente presentes. (5,8)
Función pulmonar
A todos los pacientes con sospecha de la enfermedad se les debe realizar test de función pulmonar en lo posible, que incluyan curva flujo volumen, volúmenes pulmonares y capacidad de difusión. Las alteraciónes de la función pulmonar en la neumonitis de hipersensibilidad aguda son de tipo restrictivo, con una CVF, capacidad pulmonar total y capacidad de difusión disminuída.
La hipoxemia puede estar presente, y la PaO2 con el ejercicio puede estar disminuida, como signo temprano de alteración funcional.
De 4 a 6 semanas pueden estar resueltas de forma completa estas alteraciones agudas, y las pruebas de función pulmonar pueden ser normales después de la resolución completa del episodio agudo, pero antes de comenzar la fibrosis intersticial crónica. (8)
Forma subaguda y crónica
En la forma subaguda y crónica puede haber un patrón obstructivo restrictivo o combinado, obstructivo y restrictivo, que es lo más común. La capacidad de difusión disminuída también es comúnmente observada. Alteraciones en el intercambio gaseoso, particularmente con el ejercicio, pueden ser marcadas.
La medición de la hiperreactividad bronquial no es específica con el test de metacolina pero ha sido descrita su positividad en el 22 a 60% de los pacientes con neumonitis de hipersensibilidad. Las pruebas de función pulmonar, tanto en el ejercicio como el reposo, son componentes importantes en la evaluación diagnóstica de los pacientes, pero estos hallazgos no son ni sensibles ni específicos.
Una vez hecha la confirmación de la neumonitis de hipersensibilidad, las pruebas de función pulmonar de forma seriada sirven para valorar la respuesta al tratamiento y proporcionan una guía sobre la estabilidad y mejoría de la enfermedad. (8)
BAL
El BAL proporciona una herramienta sensible que confirma la presencia de la alveolitis y puede ser de gran ayuda en soportar el diagnóstico. La evolución de la alveolitis en la neumonitis de hipersensibilidad permanece mal definida, pero el BAL parece ser un espejo del estado de la enfermedad y de la intensidad de la exposición al antígeno.
Es importante reconocer sin embargo, que las alteraciones del BAL pueden ser encontradas en individuos asintomáticos con exposición al antígeno.
Típicamente hay una marcada linfocitosis (40 a 80%) sin neutrofilia, con un relativo aumento de los linfocitos CD8+ con una relación CD4+/CD8+ menor de 1, lo cual es un hallazgo inespecífico pero ayuda al diagnóstico diferencial de la enfermedad, principalmente con sarcoidosis.
Figura No. 1. (24) Es importante anotar que los pacientes con una marcada elevación en el número de linfocitos CD8+ pueden tener una baja probabilidad de progresión a fibrosis pulmonar. (2,5,8)
Figura 1. BAL . Tinción Diff Quick. 10X. Predominio de eosinófilos en la fase aguda

Los neutrófilos en el BAL pueden estar elevados en más del 5% después de la exposición al antígeno o en la enfermedad avanzada, asimismo, los eosinófilos en igual porcentaje (mayor del 5%). El aumento del número de mastocitos (mayor del 1%), se asocia al marcado aumento de los linfocitos en el BAL y puede ser específico de la enfermedad, y la monitorización de la exposición al antígeno.
Los linfocitos aumentan después de una exposición aguda y disminuyen hasta normalizarse entre el mes y los 3 meses. En el BAL también están aumentados los niveles de IgG, IgA e IgM. En algunos pacientes, una relación aumentada de IgG/albúmina en el BAL es un signo de alveolitis activa.
El aumento en los niveles de ácido hialurónico y de procolágeno 3 n- terminal son encontrados casi exclusivamente en individuos sintomáticos y asintomáticos con enfermedad del granjero y pueden ser de gran valor para diagnosticar la enfermedad activa y severa. (2)
Biopsia pulmonar
La biopsia pulmonar abierta está indicada en pacientes sin suficientes criterios clínicos de diagnóstico definitivo o para descartar otras enfermedades que necesitan un tratamiento diferente o cuando estamos enfrentados a los casos de enfermedad avanzada.
La biopsia transbronquial es suficiente, cuando se toman de 6 a 10 muestras, las cuales permiten evidenciar los múltiples cambios que caracterizan la enfermedad, como inflamación linfocítica intersticial, granulomas y compromiso bronquiolar. (2)
Es importante tener en cuenta que en la forma aguda de la enfermedad, pocas veces se realiza biopsia, por eso el cuadro patológico está pobremente definido en la literatura. Tanto la membrana hialina y el infiltrado inflamatorio agudo han sido informados.
Forma subaguda y crónica
En la forma subaguda y crónica de la enfermedad son más las formas de neumonía intersticial crónica. Los casos clásicos de la forma subaguda de la neumonitis de hipersensibilidad muestran la tríada de infiltrado inflamatorio crónico difuso (células plasmáticas y linfocitos), bronquiolitis y granulomas no necrotizantes pequeños, pseudogranulomas o células gigantes individuales. Figura 2, 3, 4.
La prominencia de cada uno de estos cuadros varía de un caso a otro y algunas veces no están presentes. La bronquiolitis es igualmente variable en intensidad y apariencia; y en algunos casos se manifiesta como un infiltrado inflamatorio crónico leve en la pared bronquiolar (bronquiolitis celular) y en otros como apariencia de acúmulos de tejido de granulación en la luz o BO (bronquiolitis obliterante).
La diferencia con la BOOP (bronquiolitis obliterante con neumonía organizada), es ocasionalmente difícil, aunque los acúmulos de tejidos de granulación en el lúmen son usualmente un menor componente en la alveolitis alérgica extrínseca.
La presencia de granulomas intersticiales no necrotizantes o de células gigantes es extremadamente de ayuda para sugerir el diagnóstico correcto. Los granulomas son pobremente definidos y diferentes a los vistos en la sarcoidosis. La fibrosis está presente en la forma crónica de la enfermedad. (23, 25)
Figura 2. Biopsia pulmonar. HE 10X. Engrosasmiento septal por proliferación celular mononuclear con base en linfocitos y plasmocitos

Figura 3. Bopsia pulmonar. HE 10X. Presencia de granuloma a cuerpo extraño en el intersticio

Figura 4. Bopsia pulmonar. HE 10X. Presencia de Pseudogranuloma en el intersticio

Radiología
Las manifestaciones radiográficas de la neumonitis de hipersensibilidad aguda poco se han estudiado, tal vez por las dificultades inherentes en el diagnóstico. La mitad de los pacientes tienen radiografía del tórax normal.
Los hallazgos son típicamente vistos en las zonas medias y bajas, con poco compromiso de los ángulos costofrénicos, consistentes en áreas focales de opacidades homogéneas de patrón micronodular fino y opacidades en vidrio esmerilado.
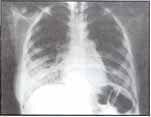
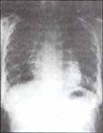
En la forma subaguda de la enfermedad se ven opacidades heterogéneas o nodulares finas de predominio en las zonas pulmonares medias y bajas, parecidas a la tuberculosis. La forma crónica típicamente se manifiesta con fibrosis en las partes medias y bajas de los campos pulmonares, manifestadas por opacidades reticulares lineales, pérdida de volumen y panal de abeja. (27,28) Figura No. 5, 6.
Figura 5. Opacidades intersticiales de patrón reticular y predominio bibasal, sin pérdida de volumen pulmonar

Figura 6. Opacidades intersticiales de patrón reticular y predominio bibasal, sin pérdida de v olumen pulmonar

La TAC de tórax pero especialmente la TAC de alta resolución (TACAR), es más sensible que la radiografía del tórax en el diagnóstico de la neumonitis de hipersensibilidad. Los hallazgos dependen del estado de la enfermedad, en la forma aguda se observa consolidación del espacio aéreo y opacidades nodulares pequeñas, mal definidas de 1 a 3 mm de diámetro.
La forma subaguda muestra opacidades en vidrio esmerilado en parches o difusas, nódulos centrolobulillares pequeños, mosaico de perfusión, áreas lobares de atrapamiento de aire a la espiración y fibrosis pulmonar.
En la forma crónica se encuentran hallazgos de fibrosis (dados por engrosamiento intersticial intralobular, engrosamiento de los septos interlobulillar de manera irregular, panal de abeja, bronquiectasias de tracción o bronquiolectasias), opacidades en vidrio esmerilado superpuestas o nódulos centrilobulillares. (29,30,31) figuras No. 7, 8, 9.
Figura 7. Áreas de aumento de la densidad del parénquima pulmonar, que permiten definir los vasos pulmonares conformando un patrón en «Vidrio esmerilado»

Figura 8. Áreas de patrón en «Vidrio esmerilado» y cambios enfisematosos

Figura 9. Presencia de opacidades nodulares centrilobulares pequeñas y engrosamiento septal (con líneas septales)
Acercamiento diagnóstico de la neumonitis de hipersensibilidad
El hecho de hacer el diagnóstico es importante para la prevención de una nueva exposición al antígeno, y debe contar con los siguientes parámetros en todos los pacientes con sospecha de la enfermedad:
(1) historia clínica detallada,
(2) exámen físico,
(3) TACAR (al menos que los hallazgos en la radiografía del tórax no sean claros),
(4) Pruebas de función pulmonar, que deben incluir curva flujo volumen pre y post broncodilatador, volúmenes pulmonares y capacidad de difusión del monóxido de carbono (DLCO), y
(5) fibrobrobroncospia con BAL y biopsia transbronquial, que debe incluir tinciones especiales y cultivospara gérmenes infecciosos.
El test de metacolina no ayuda a diferenciar entre asma y alveolitis alérgica extrínseca y generalmente no es necesario.Las precipitinas pueden ayudar cuando son positivas a confirmar el diagnóstico en pulmón del criador de pájaros y en otras circunstancias. Las precipitinas negativas no hacen exclusión del diagnóstico. (8)
Criterios diagnósticos
Hay diferentes criterios diagnósticos que han sido propuestos, pero tienen problemas importantes que limitan su utilidad, ya que fueron desarrollados antes del uso de rutina de la TACAR (Tomografía axial computarizada de alta resolución) y del BAL.
En 1989, Newman y colaboradores propusieron los siguientes criterios (32):
1. Exposición conocida a un antígeno identificado por:
A. Historia de exposición apropiada.
B. Investigación microbiológica del medio ambiente, el cual confirma la presencia de un antígeno provocador.
C. Presencia de anticuerpos IgG específicos en el suero, contra un antígeno identificado (precipitinas séricas). Una precipitina positiva en presencia de una historia clara de exposición al antígeno identificado,sugestivo del diagnóstico de una etiología potencial.
2. Hallazgos clínicos, radiográficos o fisiológicos compatibles:
A. Signos y síntomas respiratorios, tales como tos, disnea, episodios febriles, sibilancias, fatiga, estertores al examen físico, pérdida de peso. Los hallazgos son especialmente sugestivos si están presentes varias horas después de la exposición al antígeno.
B. Infiltrados en vidrio esmerilado, reticular o nodular en la radiografía de tórax o en la TACAR.
C. Espirometría y / o volúmenes pulmonares anormales (restrictivo, obstructivo, o mixto), DLCO disminuída.
3. BAL con linfocitosis:
A. Usualmente con la relación CD4/CD8 menor de 1.
B. Respuesta inmune específica positiva al antígeno.
4. Prueba de reto positiva a la inhalación por:
A. Reexposición al medio ambiente.
B. Prueba de reto positiva al inhalar un antígeno sospechoso.
5. Histopatología con cambios compatibles:
A. Granulomas no caseificante mal definidos ó pseudogranulomas
B. Infiltrado celular mononuclear intersticial en parches.
Diagnóstico definitivo de neumonitis de hipersensibilidad
El diagnóstico definitivo de neumonitis de hipersensibilidad, será considerado en las siguientes circunstancias:
1- Que reúna los criterios 1, 2, 3 – La confirmación histopatológica del diagnóstico no es necesaria en la mayoría de los casos.
2- Que reúna los criterios 1,2, y 4A – El BAL ó la confirmación histopatológica del diagnóstico no es necesaria en la mayoría de estos casos, pero puede ser importante para tomar una decisión respecto al manejo.
3- Que reúna los criterios 1, 2A, 3, y 5 – Estos pacientes usualmente son identificados como parte de un grupo de casos. Los casos índices usualmente tienen enfermedad más severa.
4- Que reúna los criterios 2, 3 y 5 – En estos casos, el diagnóstico es primero sospechado después del BAL o la biopsia transbronquial.
Alveolitis alérgica extrínseca probable o subclínica: La probable está dada por los criterios 1, 2A, y 3 y la neumonitis de hipersensibilidad subclínica por los criterios 1, y 3A .
Tratamiento
La mejor forma estudiada de neumonitis de hipersensibilidad es el pulmón del granjero y el pulmón del criador de pájaros, para los que el tratamiento de otros tipos de neumonitis de hipersensibilidad ha sido extrapolado de la experiencia que se ha tenido en estos grupos de pacientes.
Lo primero y más importante en el manejo en estos pacientes es evitar la re-exposición al antígeno responsable de la enfermedad. El riesgo de recurrencia no es claro y las medidas drásticas para evitar el antígeno desencadenante pueden siempre no estar indicadas. (8)
Los corticoesteroides, han demostrado acelerar la recuperación inicial, pero los resultados a largo plazo no han cambiado la enfermedad, faltando estudios clínicos controlados. En los casos en que las alteraciones de la función pulmonar son menores y la recuperación es espontánea al remover la exposición, los esteroides probablemente son innecesarios.
Los ataques severos ameritan prednisona, comenzando con dosis de 0.5 a 1.0 mgr /Kg /día más reposo en cama y oxígeno si hay hipoxemia, continuándola hasta cuando el paciente esté asintomático y las pruebas de función pulmonar se hayan normalizado. La función pulmonar debe ser monitorizada en las primeras 4 semanas de iniciado el tratamiento.
Los esteroides inhalados y los beta – agonistas pueden ser de ayuda en el paciente con broncoespasmo, tos y limitación al flujo aéreo en las pruebas de función pulmonar. No hay datos de estudios clínicos controlados que demuestren la eficacia de los esteroides inhalados en la neumonitis de hipersensibilidad.
Los agentes citotóxicos como la ciclofosfamida, ciclosporina y la azatioprina han sido usados en pacientes con neumonitis de hipersensibilidad refractaria, pero su eficacia no ha sido demostrada. El transplante pulmonar puede ser el último recurso en pacientes que no responden al tratamiento médico. (8)
Historia natural y pronóstico
El curso de la enfermedad es variable, pero si es reconocida tempranamente, el pronóstico es usualmente bueno. En la forma aguda los síntomas como fiebre y escalofríos desaparecen a los pocos días después de haberse retirado de la exposición al antígeno.
La astenia, adinamia, y la disnea pueden persistir por varias semanas. Hay mejoría rápida de la capacidad vital y la capacidad de difusión en las primeras 2 semanas, pero las alteraciones leves en la función pulmonar persisten por varios meses. En la forma aguda el episodio leve es autolimitado y ocasionalmente puede progresar a pesar de retirar el antígeno.
En la forma subaguda y crónica de la neumonitis de hipersensibilidad los síntomas son insidiosos y las alteraciones clínicas son sutiles; probablemente son reconocidas tardíamente en el curso de la enfermedad y tienen un pobre pronóstico.
Las tasas a largo plazo de la mortalidad van del 1 a 10%. Tanto el enfisema y la fibrosis son potenciales secuelas de la neumonitis de hipersensibilidad. No existen marcadores bioquímicos ni funcionales para predecir la resolución o la progresión de la enfermedad. La linfocitosis en el BAL puede persistir por años después de haber quitado la exposición y a pesar de la recuperación clínica.
Al momento de hacer el diagnóstico, la duración de la exposición al antígeno después de haber comenzado los síntomas y el total de años de exposición antes del diagnóstico, se ha visto que tienen valor predictivo en la probabilidad de recuperación de la enfermedad pulmonar en los criadores de pájaros.
Prevención
La incidencia de la neumonitis de hipersensibilidad puede ser reducida al disminuir la exposición a los antígenos provocadores; esto puede ser logrado al minimizar el contacto con potenciales agentes, reduciendo la contaminación microbiana del trabajo, en el medio ambiente o del hogar o usando equipos de protección.
La reducción de la carga antigénica con el uso de soluciones antimicrobianas en la caña de azúcar, disminuye el crecimiento de hongos y reduce el desarrollo de bagazosis. Un apropiado diseño de estructuras puede reducir los antígenos en las aguas estancadas, ventilación, calefacción, y los sistemas de aire acondicionado.
Igualmente es útil el mantenimiento preventivo de rutina de la calefacción, ventilación, humidificadores o vaporizadores, diariamente con cloro o peróxido de hidrógeno.
Conclusión
El reconocimiento de la exposición de los antígenos en el medio ambiente y el mejoramiento en las herramientas diagnósticas ha llevado a un conocimiento mucho mayor de los casos y las epidemias de neumonitis de hipersensibilidad. La enfermedad continúa siendo un reto diagnóstico por el espectro de los hallazgos clínicos y la falta de una “gold standard” para el diagnóstico.
La neumonitis de hipersensibilidad es tanto tratable como curable cuando se detecta a tiempo y prevenible si se reconoce y se evita el antígeno desencadenante de la enfermedad. La enfermedad no tratada o no diagnosticada puede llevar a secuelas permanentes que incluyen asma, enfisema, y fibrosis intersticial.
Bibliografía
1.Martínez González C, Rego Fernández G. Occupationally caused respiratory diseases. Arch. Bronconeumol 2000; 36:631-644.
2.King TE, Jr. Diagnosis of hypersensitivity pneumonitis. In Burton D. Rose Ed., UpToDate. Clinical Reference on CD- ROM 2001 Edition. Vol. 9 No. 2
3.Selman M. Hypersensitivity pneumonitis. In Marvin I Schwarz, Talmage E. King, eds. Interstitial Lung Disease. Third Edition. B. C. Becker Inc, 1998; 393- 422.
4.Madan I. Occupational asthma and other respiratory diseases. BMJ 1996;313: 291- 294.
5.Schuyler M. Hypersensitivity pneumonitis. In Alfred P. Fishman, eds. Fishman´s Pulmonary Diseases and Disorders. Vol. One. Third Edition. McGraw-Hill, 1998; 1085- 1097.
6.King ET. Epidemiology and causes of hypersensitivity pneumonitis. In Burton D. Rose, ed., UpToDate. Clinical reference on CD- ROM. 2001 Edition. Vol. 9 No. 2.
7.Patterson R, Mazur N, Roberts M, et. Al. Hypersensitivity pneumonitis due to humidifier disease. Chest 1998;114: 932- 933.
8.Rose CS. Hypersensitivity pneumonitis. In John F. Murray, Jay A. Nadel, eds. Textbook of Repiratory Medicine. Vol. Two. Third Edition. W.B. Saunders Company. 2000; 1867- 1884.
9.Shellito JE. Hypersensitivity pneumonitis. Sem. Respir. Med. 1991; 12: 196- 203.
10.Reynolds HY. Hypersensitivity pneumonitis. Clin Chest Med. 1982; 3: 503- 519
11.Gudmundsson G, Hunninghake GW. Interferon-g is necessary for the exprerssion of hypersensitivity pneumonitis. J. Clin. Invest. 1997; 99: 2386- 2390.
12.Israël-Assayag E, Dakhama A, Lavigine S, Laviolette M, Cormier Y. Expresion of costimulatory molecules on alveolar macrophages in hypersensitivity pneumonitis. Am. J. Respir. Crit. Care. Med. 1999; 159: 1830- 1834.
13.Semenzato G, Chilosi M, Ossi E, Trentin L, Pizzolo G, et al. Bronchoalveolar lavage and lung histology. Am. Rev. Respir. Dis. 1985; 132: 400- 404.
14.Guillon JM, Joly P, Autran B, Denis M, et al. Ann. Intern. Med. 1992; 117: 476- 481.
15.Pardo A, Barrios R, Gaxiola M, Segura-Valdez L, Carrillo G, Estrada A, Mejía M, Selman M. Increase of lung neutrophils in hypersensitivity pneumonitis is associated with lung fibrosis. Am J Respir Crit Care Med 2000; 161: 1698- 1704.
16.Denis M. Proinflamatory cytokines in hypersensitivity pneumonitis. Am. J. Respir. Crit. Care Med. 1995; 151: 164- 169.
17.Schuyler M, Gott K, Edwards B, Nikula KJ. Experimental hypersensitivity pneumonitis- Effect of CD4 cell depletion. Am. J. Respir. Crit. Care Med. 1994; 149: 1286- 1294.
18.Israël-Assayag E, Cornier Y. Surfactant modifies the lymphoproliferative activity macrophages in hypersensitivity pneumonitis. Am J. Physiol 1997; 273: 1258- 1264.
19.Dakhama A, Israël-Assayag E, Cornier Y. Altered immuno-suppresive activity of alveolar macrophages in hypersensitivity pneumonitis. Eur Respir. J. 1996; 9:1456- 1462.
20.Balmes JR. Occupational respiratory diseases. Primary Care: Clinics in Office Practice 2000; 27
21.Selman M, Chapela R, Raghu G. Hypersensitivity pneumonitis : Clinical manifestations, pathogenesis, diagnosis and therapeutic strategies. Sem. Respir. Med. 1993; 14 : 353- 364.
22.King TE. Classification and clinical manifestations of hipersensitivity pneumonitis. In Burton D. Rose ed., UpToDate. Clinical reference on CD-ROM 2001 edition. 2001; 9 No.2.
23.Schuyler M. Hypersensitivity pneumonitis. PCCU, In Chest, Lesson 6 Volume 14.
24.Baughman RP, Drent M. Role of bronchoalveolar lavage in interstitial lung disease. Clin Chest Med 2001; 22: 331-341. .
25.Seaton A, Morgan WKC. Hypersensitivity pneumonitis. In W. Keith C. Morgan, Anthony Seaton, eds. Occupational lung diseases, Second Edition. W. B. Saunders Company. 1984; 564- 608.
26.H. Y. Green F, Churg A. Occupational asthma, byssinosis, extrinsic allergic alveolitis and related conditions. In Andrew Churg, Francis H. Y. Green, eds, Pathology of occupational lung disease. Second Edition, Williams & Wilkins, 1996; 403- 450.
27.Matar LD, McAdams HP, Sporn TA. Hypersensitivity pneumonitis. AJR 2000; 174: 1061- 1066.
28.Akira M, Kita N, Higashihara T, Sakatani M, Kozuka T. Summer-Type Hypersensitivity pneumonitis: Comparison of high-resolution CT and plain radiographic findings. AJR 1992; 158: 1223-1228 .
29.Lynch DA, Rose CS, Way D, King TE. Hypersensitivity pneumonitis: Sensitivity of high-resolution CT in a population-based study. AJR 1992; 159: 469- 472.
30.Buschman DL, Gamsu G, Waldron JA, Klein JS, King TE. Chronic Hypersensitivity pneumonitis: Use of CT in diagnosis. AJR 1992; 159: 957- 960.
31.Webb WR, Müller NL, Naidich DP. Diseases characteristics primarily by parenchymal opacification, In W. Richard Webb, Nestor L. Müller, David P. Naidich, eds. High-resolution CT of the Lung, Lippincott Williams & Wilkins 1; 355- 420.
32.Newman LS, Crusoe K, King TE, Jr, et al. Pathologic and immunologic alterations in early state of beryllium disease: Reexamination of disease definition and natural history. Am Rev Respir Dis 1; 139: 1479.
33.Weil D, Rose C, King TE. Treatment and prognosis of hypersensitivity pneumonitis, In Burton D. Rose ed., UpToDate. Clinical on reference on CD-ROOM 2001 edition. Vol. 9 No. 2.







