Definición de oligohemia
(Radiología): oligohemia es la disminución general o local en la amplitud aparente de vasos pulmonares visibles, sugiriendo un flujo sanguíneo menor de lo habitual.
(Fisiología): flujo sanguíneo disminuido a los pulmones o a una parte de él.
Calificativos
Aguda o crónica. Local o general.
Sinónimo de oligohemia
Flujo sanguíneo reducido.
Comentario
Una conclusión usualmente empleada como un término descriptivo y basada en signos confiables. Es un término aceptable.
Ramón Reina N; M.D.*
* Médico Radiólogo. Director Departamento de Imégenes Diagnósticas. Clínica de Marly. Bogotá
Discusión sobre oligohemia
La palabra OLIGOHEMIA es derivada de los términos griegos “oligo” que significa poco y “haima”, sangre. La principal manifestación radiológica de un flujo sanguíneo disminuido es el pulmón hiperlucente. Vamos a analizar cuáles son las causas principales de esta apariencia.
Evaluación técnica radiológica
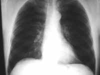
El primer paso consiste en la evaluación de la técnica radiológica empleada en la obtención de la radiografía de tórax. Si ésta ha sido sobreexpuesta, (Figura 1) la imagen luce muy penetrada y aparentemente se ven menos vasos pulmonares.
La observación cuidadosa de los tejidos blandos puede ayudar a definir la causa de la hiperlucencia. Cuando la radiografía se obtiene con técnicas de bajo kilovoltaje y alto contraste pueden observarse menos vasos y son más visibles los arcos costales.
Otra situación similar se presenta con los estudios portátiles en los cuales en ocasiones no es posible utilizar la técnica deseable de alto kilovoltaje. En mujeres con senos prominentes que caen, aumenta la densidad en los campos inferiores y hacen ver hiperlucentes los superiores. Por último, un defecto técnico que causa disminución de la densidad en un hemitórax es el centraje inadecuado del haz de rayos X.

Figura 1. Oligohemia relativa por radiografía sobreexpuesta.
Variaciones anatómicas
El segundo grupo de causas está dado por variaciones anatómicas en las personas. Una de las más frecuentes se presenta con pacientes excesivamente delgados en los cuales las imágenes parecen muy penetradas.
Mujeres con mastectomía radical tendrán un hemitórax más lúcido que el contralateral por recibir igual dosis de radiación pero con un espesor de tejido que absorbe mucho menos. Una condición rara o poco frecuente es la asimetría congénita de la pared torácica, por ejemplo un músculo pectoral hipoplásico o ausente.
También se debe considerar si existen colecciones de aire extrapulmonar como enfisema subcutáneo o enfisema mediastinal los cuales van a disminuir la densidad en un pulmón o parte de él.
Causas de disminución del flujo pulmonar
Luego del análisis anterior, entramos a considerar las verdaderas causas de disminución del flujo pulmonar. Inicialmente es importante saber que la densidad radiológica que normalmente observamos en la radiografía de tórax es producida en un noventa por ciento por la sangre que transcurre por los vasos pulmonares y tan sólo en un diez por ciento por la red de soporte proporcionada por el intersticio pulmonar.
Por tanto, cualquier disminución en la densidad pulmonar es un reflejo de flujo sanguíneo disminuido y está directamente relacionado con el tamaño y el número de los vasos. En condiciones normales y con un paciente en posición vertical, los vasos de la mitad inferior de los campos pulmonares son de mayor calibre si se comparan con los de las zonas superiores.
Las arterias siguen una distribución más vertical si se compara con el curso de las venas las cuales tienen una dirección más horizontal cuando ellas se dirigen hacia la aurícula izquierda. Las dos causas principales y únicas de flujo sanguíneo disminuido a lo pulmones son debidas a enfermedad cardíaca o a enfermedad pulmonar primaria.
Enfermedad cardíaca
En cuanto a la enfermedad cardíaca, se considera en primer lugar el corto circuito derecha a izquierda, generalmente en combinación con obstrucción de la sangre del corazón derecho a la válvula pulmonar, al ventrículo derecho o por la válvula tricúspide. Las entidades que más comúnmente tienen este tipo de alteración son la tetralogía de Fallot, la malformación de Ebstein de la válvula tricúspide y la atresia tricuspídea.
En los cortocircuitos de izquierda a derecha, comunicación interauricular, comunicación interventricular o ductus arterioso persistente, cuando son de larga data, pueden resultar en el complejo de Eisenmenger.
Éste es una endarteritis obliterante de las arterias pulmonares pequeñas que disminuyen la vascularización periférica y hay agrandamiento progresivo de las arterias pulmonares centrales como respuesta a ese aumento de resistencia distal.
Ésta es una diferencia clave con respecto a los cortocircuitos de derecha a izquierda, pues en éstos son pequeñas tanto las arterias periféricas como las centrales. Por ejemplo en CIV, una radiografía inicial muestra vasos aumentados centrales y periféricos y posteriormente cuando se desarrolla hipertensión, los vasos periféricos disminuyen gradualmente de tamaño y los proximales se agrandan. Clínicamente aparece cianosis.
Embolismo pulmonar
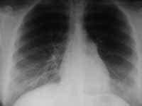
La siguiente entidad a considerar es el embolismo pulmonar. Aunque no es de ocurrencia común, la obstrucción aguda de una arteria pulmonar principal o de ramas lobares (Figura 2) o segmentarias puede dar origen al pulmón hiperlucente generalizado o focalizado, según sea el caso. Es el llamado signo de Westermark. Una gamagrafía de ventilación y de perfusión ha sido el método de imagen empleado para diferenciar entre embolismo pulmonar y enfisema.

Figura 2. TEP. Vasos pequeños en pulmón izquierdo.
Atrapamiento agudo de aire
En los casos de atrapamiento agudo de aire como puede ser en un ataque de asma o en bronquiolitis en niños, ese aire estrecha los alvéolos y comprime capilares y arteriolas causando disminución del flujo pulmonar.
La confirmación del atrapamiento aéreo se realiza por imágenes mediante radiografías en inspiración y en espiración. Una causa importante de atrapamiento de aire unilateral y por consiguiente de un pulmón hiperlucente con disminución de la vascularización pulmonar es la obstrucción bronquial que puede ocurrir por entidades inflamatorias o neoplásicas.
Síndrome de Swyer-James o Macleod
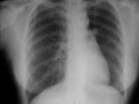
Así mismo en estas entidades de pulmón hiperlucente unilateral, se menciona el Síndrome de Swyer-James o Macleod, en el cual parece encontrarse como causa etiológica una bronquiolitis obliterativa que sigue a una neumonía viral por Adenovirus.(Figura 3).

Figura 3. Pulmón hiperlucente unilateral (Swyer-James).
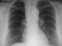
En los casos en los cuales se presenta una atelectasia completa de un lóbulo pulmonar, el otro lóbulo en el lado izquierdo o los otros dos en el derecho pueden presentar hiperlucencia con aparente disminución del flujo sanguíneo.(Figura 4).

Figura 4. Atelectasia LSD. Hiperlucencia LM y LID.
Enfisema
Por último, una de las causas más frecuentes de disminución aparente del flujo sanguíneo es el enfisema, el cual por definición implica destrucción de paredes alveolares y obstrucción de vías aéreas pequeñas. Es conocido que la radiografía del tórax no es un método de alta sensibilidad y especificidad para el diagnóstico de esta entidad.
Pero sin embargo, un análisis cuidadoso de la distribución y el tamaño de los vasos pulmonares contribuye a sugerir el diagnóstico. Lo anterior, sumado a otros signos que indican atrapamiento de aire como son el aumento del espacio retroesternal, el aplanamiento de los diafragmas y un corazón relativamente más pequeño.
Enfisema puede tener una distribución generalizada o predominar en las zonas superiores. Puede comprometer todo el lóbulo pulmonar secundario (enfisema panlobular) o la región central (enfisema centroacinar).
La tomografía axial computarizada de alta resolución ha contribuido de una manera especial al diagnóstico específico de esta entidad, a su reconocimiento más temprano y al seguimiento de los pacientes, determinando claramente cómo se va perdiendo el flujo sanguíneo pulmonar como consecuencia de la destrucción del parenquima (Fig. 5).

Figura 5. Enfisema centroacinar.
Conclusion sobre oligohemia
El término OLIGOHEMIA refleja un flujo pulmonar disminuido, su apreciación en la radiografía de tórax es algo subjetivo, pero un análisis desde la técnica radiológica, las variaciones anatómicas y las entidades cardiovasculares y pulmonares que lo causan, conducirá a un diagnóstico acertado tanto de su presencia como de la posible causa.
Bibliografia
1. ACCP/ATS joints committee on pulmonary nomenclature. Chest 1975; 67: 583.
2. Glossary of terms for thoracic radiology: recommendations of the nomenclature committee of the Fleischner Society. Am J Roentgenol 1984; 143:509.
3. Reed, J.C. Chest Radiology: Plain film patterns and differencial diagnoses. 3a. ed. St Louis, MO. Mosby year book 1991: 311.







