Profesor Dr. Iván der. Waal
INTRODUCCION
Moritiz Kaposi fue un dermatólogo de Viena. En 1872 describió una lesión de la piel para la que utilizó el término de “Sarcoma idiopático pigmentado múltiple de la piel”. Esta forma clásica de lo que ahora se conoce como el Sarcoma de Kapisi (SK) se observa especialmente entre los hombres ancianos de Europa Oriental y de la Región del Mediterráneo. La supervivencia puede alcanzar a más de diez años en algunos casos poco frecuentes de autoregresión.
Un segundo tipo de SK es el llamado tipo Africano o endémico. Se presentan esencialmente en jóvenes adultos negros de Africa Central y por lo general tiene un curso de progresión lenta.
Con la introducción de las drogas inmunosopresoras para el manejo de los pacientes que reciben trasplante de órganos, se identificó un tercer tipo de SK el que se conoce como tipo como tipo de trasplante de órgano. Hay un curso progresivo, aunque se puede producir una regresión después del retiro de la medicación.
Un curto tipo de SK es el tipo relacionado con el SIDA, que también se conoce como tipo epidémico . un diagnóstico de Sarcoma de Kaposi en un paciente de más de 13 años de edad infectado con el VIH sirvede de indicador para el diagnóstico de “SIDA”1.
La naturaleza real de todos los tipos de Sarcoma de Kaposi es algo que aún se encuentra en debate. En general se considera que la lesión es un neoplasma de origen vascular endotelial, pero existe controversia con respecto a si es benigno o maligno. Sin embargo otros consideran que el SK es una lesión reactiva de etiología infecciosa en que el virus del herpes humano 8 (VHH-8) juega un papel muy importante. Se ha sugerido que VHH-8 causa alteraciones en la detención del ciclo celular y cambios en las respuestas Inmunológica por mediación celular 2 . en realidad, el VHH-8 ha sido identificado con una alta prevalencia en las muestras de biopsia de todos los tipos de SK3 .
SARCOMA DE KAPOSI RELACIONADO CON EL SIDA
1. EPIDEMIOLOGIA
El Sarcoma de Kaposi relacionado con el SIDA (SK del SIDA) se presente en aproximadamente el 10 % de todos los pacientes con SIDA. Pero se ha descrito una incidencia de más del 20 % tonto en pacientes homosexuales como bisexuales, posiblemente a la ruta de transmisión del VIH4; es raro encontrarlo en las mujeres y en los niños infectados con el VIH además es raro detectar la presencia del SK en los pacientes hemofílicos infectados con el VIH, mientras que su prevalencia en los pacientes adictos a drogas por vías parentelas, infectados por el VIH, también es menos frecuente que en la población homosexual y bisexual infectada con el VIH.
2. ASPECTOS CLINICOS
el SK del SIDA afecta principalmente la piel, la mucosa y en menos extensión, el tracto gastrointestinal y los ganglios linfáticos. Las lesiones se presenta inicialmente como lesiones musculares violescentes o como infiltrados do color rojo oscuro. En contraste al SK no- epidémico donde las lesiones se presenta esencialmente en las extremidades, el SK del SIDA se puede presentar en cualquier parte de la superficie de la piel o de las mucosas, y por lo general en forma múltiple. Estas lesiones progresan gradualmente desde una mancha de pequeña extensión a placas y finalmente a nódulos; a parte de esto, a menudo son asintomáticos.
3. SARCOMA DE KAPOSI INTRAORAL
Como ya se ha dicho la prevalencia del SK intraoral en los pacientes de SIDA es de alrededor de un 10 % 5 . de todos los pacientes con SK cutáneo aproximadamente un 50% también presenta un SK intraoral. De vez en cuando, el SK se presenta sin compromiso de la piel y en raras oportunidades el SK intraoral puede ser incluso la lesión que conduce a la detención de la infección subyacente por el VIH. A pesar de que el SK en la cavidad oral es casi siempre del tipo epidérmico relacionado con el SIDA, cualquiera de los otros tipos de SK también puede presentarse en raras ocasiones en forma intraoral 6
La lesión se ubica de preferencia en el paladar, en la encía y en la lengua 7 , y su tamaño puede alcanzar desde unos pocos milímetros hasta varios centímetros. Como en el SK cutáneo la presentación clínica varía desde una lesión inicial plana de color rojo o violáceo hasta una lesión de aspecto nodular, con o sin la presencia de ulceración (Figras 1-3); su presencia en forma intraósea en los maxilares es rara 8.
El diagnóstico clínico del SK intraoral debe incluir lesiones como el hemangioma, el granuloma piogénico, tumores de las glándulas salivales, melonomas malignos y lesiones metatásicas.

Figura 1. Etapa incipiente de un Sarcoma de …Kaposi en paladar de un paciente con SIDA.

Figura 2. Etapa avanzada de un Sarcoma de Kaposi que ocupa casi todo el paladar duro.

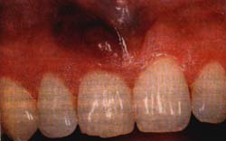
Figura 3. Sarcoma de Kaposi de la encía con apariencia de absceso, como primera manifestación del SIDA.
4. DIAGNOSTICO
un diagnóstico de Sarcoma de Kaposi sólo puede ser confirmado a través del examen histopatológico de una biopsia de lesión, sin embargo, se puede omitir este tipo de biopsias en los pacientes con SIDA que ya han sido afectados por SK en otra parte del cuerpo.
5. DIAGNOSTICO HISTOPATOLOGICO
El sarcoma de Kaposi se caracteriza por una mezcla de células ahusadas y de pequeños espacios irregulares en forma de tajos, puede haber además una extravasación de glóbulos rojos. Puede haber un infiltrado monunuclear poco denso. Las mitosis son raras. De vez en cuando el SK desaparece en forma espontánea y en estos casos la lesión no se puede distinguir histólogicamente del tejido de granulación inflamatoria. Más aún puede ser difícil distinguir el hemangio-endotelioma Kaposiforme del SK.
6. SISTEMA DE ETAPAS
Mitsuyasu et al. han propuesto un sistema de etapas del SK relacionado con el SIDA (Tabla 1)9 .
| Tabla 1. Sistemas de etapas del SK relacionado con el SIDA | |
| Etapa I | 10 o menos lesiones de la piel restringidas a una sola región anatómica |
| Etapa II | Más de 10 lesiones de la piel o más de una región anatómica |
| Etapa III | Compromiso visceral solamente (por lo común ganglios linfáticos y tracto G.L.) |
| Etapa IV | Compromiso visceral y cutánea |
7. TRATAMIENTO
En mucho casos no es necesario tratar el SK oral. Puede presentarse una autoregresión, especialmente cuando la condición general del paciente mejora, e.g. a través del tratamiento antiretroviral 10 . cuando se presenta síntomas se dispone de varias modalidades de tratamiento. Las lesiones solitarias de menos de 1 cm pueden ser eliminadas por encisión mediante cirugía a bisturí o por rayos láser, pero las recibidas son comunes. Cuando se presentan lesiones múltiples a menudo resulta eficaz el uso de una inyección dentro de la lesión con vinblastina, aunque las lesiones a menudo desaparecen después de unos pocos meses11,12 . en caso de SK diseminado puede ser útil el uso de quimioterapia, a,g, usando vinblastina, vincristina o etoposide; también se puede considerar la administración de un modulador inmunológico de alfa-interferón.
En lesiones extensas se puede aplicar redioterapias en dosis de 10-50 G y en 25 fracciones. En un estudio publicado, un 10 % de las lesiones desaparecieron; la mediana del período libre de recidivas fue de 8 meses13 .
8. PRONOSTICO
En el pronóstico del SK epidémico influyen las infecciones precedentes y asociadas, los síntomas sistémico; la etapa del SK también es importante para el pronóstico, en un estudio realizado en Berlín, que abarca un grupo de 124 pacientes con SK oral el promedio de supervivencia fue de 21 meses, con una amplitud de tres meses a cuatro años y seis meses7 .
IMPLICACIONES PARA EL TRATAMIENTO DENTAL
La presencia de SK intraoral no debe excluir la posibilidad de proporcionar tratamiento dental regular o el que sea necesario. Se pueden realizar extracciones dentales incluso en el sitio de un Sarcoma de Kaposi. Sin embargo, cuando se proponga este tipo de tratamiento, este deberá discutirse con médico especialista del paciente ya que el tiempo de cuagulación puede encontrarse alterado en pacientes infectados por el VIH debido a la medicación.
BIBLIOGRAFIA
Centeres for disease Control and prevention. 1993 Revised Classification System for HIV infection and expanded Surveillance Case Definition for AIDS Among Adolecents and Adults. MMWR 1992; 41:RR-17:1-19.







