REPORTE DE UN CASO
Andrés Pauels O.D.*
Andrés Duque O.D.**
* Cirujano Oral & Maxilofacial, Docente postgrado COMF, Universidad EL Bosque – Hospital El Tunal; Bogotá D.C.
**Residente II Cirugía Oral & Maxilofacial, Universidad El Bosque – Hospital El Tunal; Bogotá D.C.
Las lesiones vasculares a través del tiempo han sido clasificadas de diferentes formas y en algunos casos la palabra hemangioma ha sido utilizada para describir cualquier tipo de tumor vascular (1,7,5,9)
Virchow (1863) las clasificó según su investigación biológica, Wegner (1877) clasificó los linfagiomas de una manera similar. Woollard (1922) clasificó los estadios de las malformaciones Arterio venosas (MAV). En (1982) teniendo en cuenta el comportamiento biológico Milliken y Glovacki hicieron una diferenciación entre hemangiomas y malformaciones vasculares (MV) y que es la aceptada hoy día por muchos autores, usaron sólo dos categorías para clasificar estas malformaciones: Hemangioma y malformación vascular.(1 2,7,9)
Jackson (1993) clasificó las MV de acuerdo a la dinámica vascular de las lesiones en términos radiológicos, de acuerdo a la velocidad de flujo a través de la lesión y el rango de intercambio entre los componentes arterio venosos asi:
I- Hemangioma
II – Malformaciones vasculares
A – Lesión de flujo bajo (venosas)
B – Lesión de flujo alto (arterial)
III – Malformaciones linfáticas (linfovenosas) (7)
Los hemangiomas actualmente se describen como una malformación vascular benigna que aparece a temprana edad entre el primer y octavo mes de vida creciendo rápidamente (fase proliferativa), se estabilizan y luego involucionan.
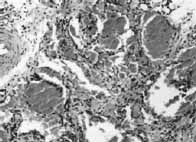
Se presentan macroscópicamente como tumores proliferativos (foto 1) e histológicamente, se caracterizan por presentar una hiperplasia endotelial con o sin lámina vascular y un incremento en el número de células de la matriz durante la fase proliferativa; fibrosis e infiltración grasa, disminución de la celularidad y un recuento normal de la células de la matriz durante la fase involutiva.(foto 2)(1,7)
Foto 1. Hemangioma
Foto 2. Hemangioma fase involutiva
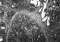
Las malformaciones vasculares siempre están presentes durante el nacimiento, crecen en proporción al crecimiento del cuerpo y nunca involucionan. Son colecciones de vasos sanguíneos anormales con endotelio normal y con recuento celular normal. Pueden ser arteriales, venosas, linfáticas o capilares, el ciclo celular endotelial no está alterado porque el crecimiento del tumor es causado por dilatación de los vasos (fotos 3-4).
Un aumento espontáneo puede ocurrir secundario a trombosis, desarrollo de nuevas comunicaciones A-V, en respuesta a trauma o cambios hormonales (embarazo, menopausia, pubertad). El hueso puede estar involucrado en el 35% de los casos. La mayoría de las MV que se presentan a edad temprana son hemangiomas y las que se presentan en adultos y adultos jóvenes son MAV. (3,7)
Foto 3
Foto 4
Desde que Eilman y col. (1980) reportaron el uso del alcohol para ablasionar tumores renales con buenos resultados el tratamiento con alcohol absoluto se ha reportado esporádicamente. Berstein, (1983) fue el primero en reportar resultados funcional y estéticamente excelentes después de haber inyectado etanol al 95% directamente en hemangiomas del labio inferior. Chenping y Zhiyuan 2000 reportaron una serie de casos donde embolizaron MV en cavidad oral con alcohol absoluto y partículas de gelfoam como material de taponamiento temporal con excelentes resultados y con una tasa de éxito del 100% en el tratamiento de estas malformaciones. Iguales resultados reportó Toshitaka en 1990 con el uso de inyección directa en hemangiomas orales.
El alcohol absoluto es alcohol etílico con menos del 1% de contenido de agua, otros nombres con los que es conocida esta sustancia química es alcohol deshidratado, alcohol anhídrico , etil hidrato o alcohol dihidróxido. Es la sustancia esclerosante más utilizada, actúa desnaturalizando las proteínas del endotelio de la microcirculacion, resultando en una completa trombosis del lecho vascular. Es un agente embolizante barato, seguro con excelentes resultados funcionales y estéticos.(Fig. 1) (4)
Fig.1 Estructura alcohol absoluto.
CASO CLÍNICO
Paciente de 70 años, sexo femenino, procedente del departamento del Caquetá y remitida por cirujano maxilofacial de la ciudad de Florencia, Caquetá, con Dx de hemangioma en lengua, de 8-10 años de evolución de crecimiento lento y progresivo, la paciente refiere molestia para hablar y comer, se presentaron episodios 3-4 de sangrado leve ante traumatismos accidentales que no requirieron atención médica. Antecedentes de cirugía lesión en lengua hace 4 años, G7-P5-C0-M0-A2.
Al examen clínico, talla: 150 cm, peso: 45 kg, TA: 130/70 mm Hg, FC: 72 ppm. FR: l8cpm, Glasgow 15/15. Presenta en cavidad oral lesión de 4×3 cm de diámetro, elevada, deformante, color violáceo, (+) test de presión, no sangrante, blanda, no adherida a planos profundos y móvil (fotos 5 y 6). A la auscultación cardiopulmonar soplo sistólico foco aórtico grado II/IV.
La lesión fue diagnosticada inicialmente como hemangioma en lengua, pero se sugirió cambiar el Dx por malformación arterio-venosa de alto flujo según la clasificación de Jackson (1993) debido al tiempo de evolución, ubicación y características clínicas.
Los exámenes paraclínicos; cuadro hemático: HCT: 41%, Hg:14 gr/dL, leucocitos 5900, PT: 12 seg, PTT: 33.3 seg. BUN: 14 mgs/dL, Creatinina: 0.69 mg/dL. Rx tórax: se Dx cardioangioesclerosis, EPOC de predominio enfisematoso y posiblemente senil, cambios óseos propios de la edad.
El tratamiento de elección teniendo en cuenta los medios disponibles de la institución fue embolización de la lesión con alcohol absoluto al 95% mediante inyección directa.
El procedimiento se realizó bajo anestesia local controlada y previa asepsia y antisepsia en sala de cirugía teniendo en cuenta las medidas de monitorización básica, pulso oxímetro,
ECG y tensión arterial. Se anestesió con bupivacaina al 0.5% 2cc y lidocaina con epinefrina 1:80000 2.4cc, infiltración perilesional y bloqueo de nervio lingual del lado comprometido, a continuación se infiltraron 2.4 cc de alcohol absoluto intralesional múltiples punciones.
lnicialmente se observó isquemia generalizada que no afectó los tejidos sanos circundantes (foto 7) y sistémicamente una leve elevación de la TA . La paciente estuvo en observación postoperatoria por 10 horas con monitorización constante de los signos vitales, administración de antibióticoterapia oral Amoxicilina 500 mg durante 10 días cada 8 horas y analgésico intravenoso intra hospitalario y vía oral por 6 días más. Se controló al 1-2-5-10-15-20 días y al mes postoperatorio.
Al 5º día se observó un área de necrosis con costrificación, refiriendo un dolor moderado controlable con la analgesia (foto 8), al 15º día la zona de necrosis adquirió una forma gelatinosa color café separada del lecho de tejido sano, no sangrante y de bordes limpios (foto 9). Dos días más tarde esta masa gelatinosa cayó espontáneamente, observándose un lecho sano no cruento. A los 20 días post operatorios se observó un relleno del espacio por segunda intención con una cicatriz mínima (fotos 10 y 11) y sin trazas de la lesión.
Un mes y dos meses más tarde no se observaron cambios de importancia.

DISCUSIÓN
Las malformaciones vasculares son intercomunicaciones anormales entre las arterias y venas. Se ha utilizado como norma la clasificación de Mulliquen aunque en este caso se tuvo en cuenta la clasificación de Jackson (1993) que es una variación basada en la primera.(7)
Aunque en la literatura se han descrito con anterioridad casos de manejo con alcohol absoluto (1,2,3,5,6,7,8,9) en las malformaciones vasculares en nuestro medio no es una técnica muy conocida y empleada, predominando la utilización de alambres de cobre y la resección quirúrgica, por esta misma razón otras sustancias esclerosantes no están disponibles en Colombia. Es una técnica que ofrece basados en la evidencia clínica resultados favorables con una tasa de éxito del 90 – 100%(1), poco costosa, relativamente sencilla, pero que necesita de mínimos medios de monitorización y control postoperatorio, los efectos secundarios son controlables dolor malestar y fiebre.
La dosis utilizada concuerda con las del estudio de Zhang (10) y son menores de acuerdo a los estudios de Toshitaka y Hossein(1), con resultados similares. Los niveles en el organismo de alcohol postoperatorio son mínimos de acuerdo con lo reportado por Rahim (2) quien embolizó transcateter un hemangioma en la extremidad inferior con 80 ml. de alcohol absoluto al 95% con efectos mínimos sistémicos y con éxito en su tratamiento después de varias sesiones, la cantidad de alcohol sistémico estuvo dentro de los parámetros no tóxicos 300 mg/dl, se observó un moderado aumento de la temperatura que en nuestro caso no se evidenció. También exámenes post operatorios fueron solicitados días después sin cambios. Por la extensión de la lesión fue necesario sesiones adicionales. (2)
Es necesario experimentar con otros agentes embolizantes, aunque estudios anteriores mostraron que los resultados son similares o inferiores a aquellos donde se utilizó alcohol absoluto Siniluoto y cols (1997).(5)
Los efectos adversos que se observaron fueron mínimos siendo el dolor la complicación de mayor importancia, que aunque se manejó con AINES, es necesario hacer mayor énfasis en su control utilizando inicialmente manejo con opioides intrahospitalariamente y en combinación con AINES a nivel ambulatorio. No se observaron reacciones alérgicas, ni alteraciones sistémicas severas, la tensión arterial presentó un leve aumento similar al descrito en otros estudios (2).
Los medios diagnósticos mandatorios para realizar este tratamiento son la angiografía de flujo o la resonancia magnética, siendo como mínimo medio diagnóstico la TC, exámenes de laboratorio tales como cuadro hemático, pruebas de coagulación y otros adicionales teniendo en cuenta la edad y el riesgo siendo esto evaluado de manera individual. (1,2,3,4,5,7,8,9,10)
Aunque es tratamiento que se realiza bajo anestesia local, algunos autores lo realizaron bajo anestesia general, dependiendo del riesgo del paciente y estado sistémico. (2,10)
Se deben tener todas las precauciones para el manejo de la vía aérea y la volemia, así como la realización del procedimiento en salas de cirugía y en presencia de un anestesiólogo en caso de ser necesario, la monitorización en este aspecto es de vital importancia, todos los casos clínicos y estudios en la literatura hacen énfasis en este aspecto, siendo el pulso oxímetro, la tensión arterial , el ECG, un acceso venoso y cánula nasal de oxígeno, los requerimientos mínimos para la realización del procedimiento. (1,2,5,9,10)
Aunque en este caso no se contempló la idea de un tratamiento combinado, Kohout y cols (1997)(3) y Jackson (1993)(7) sugieren utilizar al mismo tiempo cirugía cuando la lesión es de gran extensión.
El alcohol absoluto es un medio terapéutico seguro y con una efectividad del 100% , en el tratamiento de las malformaciones vasculares, es económico pero requiere de cuidado al ser utilizado con los mínimos medios de monitorización. (1,7,10)
BIBLIOGRAFÍA
1- Toshitaka,Michitoki y cols: Therapeutic embolization of oral hemangiomas with absolute ethanol. Am U Maxillofac Surg 1990
2- Rahim BehnIa: Sistemic effects of absolute alcohol embolization with a congenital arteriovenous malformation of the Iower extremity. Anesth. Analg 1995; 80: 415-7
3- Kohout, Hansen and CoLs: Arteriovenous malformations of the head and neck. Plastic Reconst. Surg. 1998; 103 (3).
4- Pohorecky: Pharmacology of etanol. Pharmacolog ter.1988; 36: 335-7.
5- Siniluoto, Svendsen y cols: Percutaneous sclerotherapy of venous malfomations of the head and neck using sodium tetradecyl sulphate.Scand. J plast. Recons surg 1997; 31: 145-150.
6- Chawla, DilawaRI cols: Comparison of STS with abs. Alcohol in the treatment of esophageal varices. J. Clin Gastroent. 1990; 12: 378-380.
7- Jackson, Carreño y cols: Hemangiomas, vascular malformations and linphovenous malformations, classiflcation and methods of treatment. Plast. Recons Surg 1993; 91: 1216-30.
8- Laesen, Peterson y cols: A sisthemic approach to management of high flow vascular malformations of the mandibule. J. Oral Max Surg. 1993; 51:62-69
9- Svendsen y cols: Direct puncture of large arteriovenous malformations in head and neck for embolization and subsecuent reconstructive surgery. Scand J plast. Recons Surg 1994; 28: 131-35
10- Chemping, Zhiyuan y cols: Therapeutic arterial embolization of oral and maxillofacial plexiform hemangioma with absolute alohol and geolfam particles. Chin J. Stomatology 1998; 33 (2).







