MENCIÓN DE HONOR
TRABAJOS DE LA SECCIÓN DE ONCOLOGÍA
Drs. Vélez A1. De los Ríos JG2, Castaño JC2, Pérez JC3, Ferez F1, Aristizábal JM1, Uribe JF1,
Uribe CA1, Ramírez LF2, Escobar F2, Jaramillo S1, Ocazionez H4, Restrepo Z4, Quiceno W1.
Hospital Pablo Tobón Uribe 1. Instituto de Ciencias de la Salud CES 2. Universidad de Antioquia 3.
Clínica Medellin 4. Medellín, Colombia
Contexto:
Se revisó el diagnostico de carcinoma de próstata en 200 biopsia con aguja buscando los criterios mínimos diagnósticos, muchos de los cuales han sido definidos en artículos anteriores.
Objetivo:
Analizar con qué frecuencia se observan estos criterios diagnósticos de cáncer de próstata en nuestro medio en biopsia de próstata con aguja número 18, en un trabajo retrospectivo.
Diseño:
Fueron evaluados 200 biopsias con aguja número 18, cuyos, cortes histológicos fueron teñidos con hematoxilina- eosina.
Resultados:
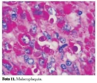
Las características histológicas en glándulas neoplásicas fueron: infiltración del estroma 100%, ausencia de capa basal 100%, nucléolo prominente (96%), nucléolo marginal (82%), múltiples nucléolos (56%), cristaloides intraluminales (40), material eosinofilo amorfo intraluminal (72%), micronódulos de colágeno (1%), estructuras glomeruloides (10), invasión perineural (18%), retracción del estroma (32%) e invasión de la grasa (1%). Y otros hallazgos asociados como atrofia, hiperplasia de células básales, proliferación atípica de pequeños acinos, malacoplaquia y el uso de inmunohistoquimica para casos difíciles.
Conclusiones:
Para el diagnóstico correcto del cáncer de próstata se debe tener en cuenta todos estos criterios.
Introducción
El cáncer de próstata está aumentando todos los días y es en este momento la primera causa de cáncer en los Estados Unidos, con la aparición del antígeno específico de próstata y la biopsia con aguja de la próstata cada día el patólogo se ve enfrentado a focos pequeños con diagnóstico de cáncer versus hiperplasia de pequeños ácinos con atipia y adenosis, el conocer todos los criterios mínimos ayuda a un diagnóstico más acertado para el paciente.
El diagnóstico de adenocarcinoma de próstata tiene 3 criterios histológicos mayores: patrón de crecimiento infiltrativo, presencia de macronucléolo y ausencia de la capa de células básales. Muchos criterios diagnósticos han sido incluidos en la literatura, pero pocas de estas características son absolutamente específicas; muchos de ellos pueden estar presentes o simular glándulas de aspecto benigno, pequeñas proliferaciones acinares no neoplásicas, hiperplasia adenomatosa atípica, adenosis esclerosante e hiperplasia post- atrófica.
El diagnóstico de cáncer de próstata es más difícil de realizar cuando la cantidad de tejido disponible para evaluación es limitado.
Sin embargo, se ha desarrollado una estrategia clínica para realizar biopsias en pacientes con antígeno específico de próstata elevado, sin examen digital rectal anormal, y el hallazgo de pequeños focos de cáncer ha sido más frecuente. La mayoría de los criterios diagnósticos para el cáncer de próstata han sido propuestos en base a especímenes de resecciones transuretrales y prostatectomia radical.
En este trabajo se describirán los hallazgos de biopsias con aguja para determinar la frecuencia con que se observan los criterios de diagnóstico para el cáncer de próstata realizados en series de biopsias con aguja número 18 de pacientes comparado con los trabajos de Amin en Emory, Epstein en Jhon Hopkin y Mostofi en la AFIP
Materiales y Métodos
Se revisaron 200 biopsias de próstata de biopsia con aguja número 18 diagnosticados como cáncer realizados en los laboratorios de patología del Hospital Pablo Tobón Uribe, Universidad Pontificia Bolivariana y Dinámica IPS en Medellín, Colombia. En estas instituciones los urólogos y radiólogos realizan biopsias de diferentes áreas de la próstata de 6 o 8 partes de la misma de cada lado, con fijación en formol neutro al 10% y coloreados con hematoxilina y eosina.
El diagnóstico de cáncer se hizo usando el sistema de graduación de Gleason y de Mostofi de la AFIP y OMS. Las incidencias de las siguientes características fueron analizadas en el epitelio de lesiones con cáncer: infiltración del estroma, ausencia de capa basal, nucléolo prominente, marginación nucleolar, cristaloides intraluminales, material eosinofilo amorfo intraluminal, micronódulos de colágeno, estructuras glomeruloides, retracción del estroma, invasión perineural e infiltración de glándulas al tejido graso periférico. En los casos difíciles se realizaron marcadores de inmunohistoquímica de tipo citoqueratina de alto peso molecular para evaluar la ausencia de membrana basal y confirmar el diagnóstico de cáncer.
También se describirán otros hallazgos como malacoplaquia, hiperplasia de células básales, glándulas de cowper y otros. El nucléolo prominente fue identificado al ser visto en un objetivo de 40 X y ser comparado con nucléolos de las glándulas adyacentes, la retracción del estroma, es la separación del ácino del estroma adyacente, y ocurre más frecuentemente en epitelios con malignidad. La invasión perineural se reporta como presente o ausente.
Resultados
En las biopsias se realizó la clasificación de Gleason y de la OMS de Mostofi en la AFIP, distribución de los grados de Gleason se muestra en la Tabla 1 la cual se homologo con la de Mostofi de bien, moderado y mal diferenciado.
 1 caso fue bien diferenciado (2 a 4), 139 de los 100 tumores fueron moderadamente diferenciados (Gleason 5-6), y 36 de 100 tumores fueron de pobre a moderadamente diferenciados (Gleason 7). y 24 casos fueron pobremente diferenciados (Gleason 8-10). Los resultados de las diferentes características histológicas evaluadas se muestran en la tabla 2.
1 caso fue bien diferenciado (2 a 4), 139 de los 100 tumores fueron moderadamente diferenciados (Gleason 5-6), y 36 de 100 tumores fueron de pobre a moderadamente diferenciados (Gleason 7). y 24 casos fueron pobremente diferenciados (Gleason 8-10). Los resultados de las diferentes características histológicas evaluadas se muestran en la tabla 2.
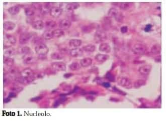
 El nucléolo prominente se presentó en 192 (96%), múltiples nucléolos fueron observados en 112 (56%) y nucléolo marginal se presentó en 164 (88%) ver foto 1.
El nucléolo prominente se presentó en 192 (96%), múltiples nucléolos fueron observados en 112 (56%) y nucléolo marginal se presentó en 164 (88%) ver foto 1.
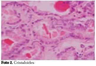
 Los cristaloides en glándulas malignas se presentaron en 80 (40%, el material amorfo eosinófilico intraluminal fue un hallazgo común en cáncer, en 144 (72%).
Los cristaloides en glándulas malignas se presentaron en 80 (40%, el material amorfo eosinófilico intraluminal fue un hallazgo común en cáncer, en 144 (72%).
|  |  | 
|  |  | 
|  |  | 
|  |  | 
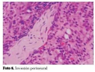
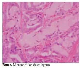
 Las estructuras glomeruloides en 20 (10 %) (Fig. 5). micronódulos de colágeno en 2 (1 %). La invasión perineural estuvo presente en 36 (18%). En 2 casos (1 %) de casos muy avanzados se observó infiltración al tejido graso y la retracción del estroma en 64 (32%).
Las estructuras glomeruloides en 20 (10 %) (Fig. 5). micronódulos de colágeno en 2 (1 %). La invasión perineural estuvo presente en 36 (18%). En 2 casos (1 %) de casos muy avanzados se observó infiltración al tejido graso y la retracción del estroma en 64 (32%).
Comentario
Cada día el patólogo se Ve enfrentado al diagnóstico de cáncer de próstata en biopsias pequeñas y entre sus diagnósticos diferenciales están las proliferaciones atípicas acinares, para un adecuado diagnostico se requiere evaluar todas las características microscópicas del cáncer1,2.
Se han publicado artículos como el de Epstein1,2 que reportó un análisis detallado de criterios diagnósticos, aunque limitados para el diagnóstico de adenocarcinoma en biopsias con aguja en 300 especímenes con cáncer de próstata. Sin embargo, en una alta selección del material de consulta, la incidencia de estas características podría no estar representada en las biopsias con aguja de próstata encontradas en la práctica quirúrgica de rutina. Para esta instancia casos sin nucleolo1 prominente podrían estar sobre diagnosticados y otras características diagnósticas como la invasión perineural6,7,9 podrían ser subestimadas.
La presencia de nucléolo prominente fue tomada como criterio diagnóstico para cáncer de próstata por Toten y colaboradores en 1953. La prominencia nucleolar ha sido variablemente definida por el tamaño nucleolar > 1 micra, > de 1.3 micras o >3 micras.
Estos criterios son usados en secciones fijadas con formalina en los cuales pueden verse nucléolos prominentes tanto en células malignas como en benignas.
En nuestra práctica rutinaria el nucléolo prominente es usualmente observado en forma subjetiva, sin tener en cuenta el tamaño nucleolar. Algunas diferencias en la fijación y en el proceso histológico que influencian el reconocimiento del nucléolo, donde es importante comparar el tamaño del nucléolo en glándulas sospechosas con células epiteliales benignas, sin embargo, dentro del mismo espécimen no puede ser evaluado.
El aumento del nucléolo en células secretoras es ahora generalmente aceptado como característica diagnóstica de cáncer de próstata.
La presencia de nucléolo prominente:
En al menos algunas glándulas puede ser consideradas como mandatorias para hacer el diagnóstico de adenocarcinoma microacinar, si solo se ve en un escaso número de glándulas. Iczkowsky y Bostwick en un estudio basado en material de consulta, encontraron nucléolo prominente en 100% de los casos diagnosticados como adenocarcinoma, comparado con el 55% clasificado como pequeña proliferación acinar atípica.
En nuestro estudio, el nucléolo prominente estuvo ausente en aproximadamente el 4% de los carcinomas. El diagnóstico de cáncer de próstata en biopsias con aguja puede ser hecho ocasionalmente en ausencia de nucléolo prominente, si otras características arquitecturales o citológicos de malignidad están presentes.
En las series de biopsias de próstata con aguja observadas en consulta por Epstein1,2, el 24% de los cánceres tenían ausencia de nucléolo prominente. Algunas variantes inusuales de cáncer de próstata (Ejemplo carcinoma xantomatoso) quienes no están representados en nuestras series, son solo conocidas por tener características nucleares blandas, sin nucléolo prominente El nucléolo prominente, nucléolo múltiple y marginación nucleolar han sido sugeridos como criterios diagnósticos para cáncer de próstata. En nuestra experiencia es consistente con la aserción de Helpap’s que la presencia de múltiples nucléolos es específico de cáncer de próstata.
Los cristaloides son intraluminales, eosinófilos, estructuras que varían de forma y tamaño3, 4, 13, 14, quienes son asociados con cáncer de próstata, fueron demostrados por primera vez en 1977 por Holmes. Nosotros encontramos cristaloides en 40% en adenocarcinomas otros estudios mostraron una extensión variable de cristaloides en adenocarcinomas en un rango entre 10% y 64.5%.
La presencia de material intraluminal amorfo eosinófilo en glándulas prostáticas malignas ha sido reconocida en recientes años (3, 4, 13,14). Este fue encontrado en 53% a 100% de cánceres y ocasionalmente en glándulas benignas.
Este material es frecuentemente asociado con cristaloides:
Lo que sugiere que puede ser un precursor de cristaloides. Esto es incierto cuando son verdaderas secreciones o son una manifestación individual de células necróticas. Hay muchos ejercicios para diferenciar estas secreciones de secreción por decapitación o cuerpos amiláceos fracturados en glándulas benignas. Nosotros encontramos material eosinófilo intraluminal en 72% de los casos malignos Los micronódulos de colágeno son otro hallazgo observado descrito histológicamente en cáncer de próstata.
Estos agregados microscópicos nodulares de estroma fibrilar eosinófilo son reportados como específicamente benignos, pero infrecuentes en las guías diagnósticas del cáncer de próstata. Nuestro hallazgo, la frecuencia de micronódulos de colágeno es de 1% en cáncer, la experiencia de Bostwick y colaboradores es del 0.6% de las biopsias con cáncer y 12.7% de prostatectomías radicales.
La presencia de glándulas en localización perineural fue considerada como equivalente al diagnóstico de malignidad6, pero ha sido reportada con ácinos benignos y en pequeñas proliferaciones acinares atípicas.
Nosotros creemos que el crecimiento circunferencial o la invasión intraneural puede ser patognomónico de cáncer. El 18% de frecuencia en invasión perineural, la experiencia de Bastacky y Amin reportaron invasión perineural en 20% de las biopsias con aguja con cáncer. El 3% de la frecuencia encontrada por Epstein de casos aparentes consultados refleja la dificultad del material. La invasión perineural es generalmente asociado con otras características histológicas de cáncer. En un reciente reporte Baisden y Colaboradores notaron que la invasión perineural es la clave diagnóstica de malignidad en 0.07% de los
cánceres en la práctica rutinaria y 0.6% de los casos consultados.
La presencia de estructuras glomeruloides en la próstata se caracteriza por penachos epiteliales redondos y ovales dentro de los ácinos (2), han sido presentados recientemente como una posible ayuda diagnóstica para cáncer, particularmente en especímenes pequeños.
En este estudio:
Las estructuras glomeruloides se presentaron significativamente en un 10%, en los casos reportados por Pacelli y colaboradores, encontraron un patrón glomeruloide en 4.5% de prostatectomías radicales y 3% de casos consecutivos de biopsias malignas con aguja.
La retracción del estroma alrededor de glándulas malignas de cáncer de próstata (10), Fue descrita por Halpert y colaboradores. El mecanismo de la retracción del estroma es desconocido, pero puede ser relacionado con anormalidades de la membrana basal o sobreexpresión de colágeno y de otras enzimas requeridas para la invasión. En contraste mientras más extensa sea la retracción del estroma es más específica de cáncer, pero es menos infrecuente.
La presencia de glándulas sospechosas dentro de el tejido adiposo es prácticamente diagnóstica de extensión extra prostática de adenocarcinoma (9. Sin embargo, esta característica es rara vez encontrada en biopsias con aguja y fue encontrada en 2 casos de consulta de pacientes con cáncer muy avanzado.
Bibliografía
- 1. Murali, Varma, y colaboradores: Morphologic Criteria for the Diagnosis of Prostatic Adenocarcinoma in needle Biopsy Specimens, A study of 250 consecutive cases in a routine surgical pathology practice. Arch Pathol lab Med. Vol 126, May 2002: 554 – 561.
- 2. Gaudin, Paul B., M.D. and Epstein, Jonathan I. M.D. : Adenosis of the Prostate: Histologic features in Needle Biopsy Specimens. Am J Surg Pathol. 19(7); 1995: 737 – 747.
- 3. Henneberry, Jean M., y colaboradores: The Significance of Intraluminal Crystalloids in Benign Prostatic Glands on Needle Biopsy. Am J Surg Pathol 21(6); 1997: 725 – 728.
- 4. Anton, Rose C, Chakraborty, Subendu, y Wheeler, Thomas M: The Significance of Intraluminal Prostatic Crystalloids in Benign Needle Biopsies. Am J Surg Pathol. 22(4); 1998: 446 – 449.
- 5. Amin, Mahul B y colaboradores: Postatrophic Hyperplasia of the Prostate Gland, A Detailed Análisis of its Morphology in Needle Biopsy Specimens. Am J Surg Pathol 23(8); 1999: 925 – 931.
- 6. Baisden, Blaire L, Kahane, Hillel y Epstein, Jonathan I: Perineural Invasion, Mucinous Fibroplasia and Glomerulations. Diagnostic features of Limited Cancer on Prostate Needle Biopsy. Am J Surg Pathol 23(8); 1999: 918 – 924.
- 7. Egan, A. J. Matthew, Lopez – Beltrán Antonio y Bostwick David: Prostatic Adenocarcinoma with Atrophic Features: Malignancy Mimicking a Benign Process. Am J Surg Pathol 21(8): 1997: 931 – 935.
- 8. Iczkowski, Kenneth A., MacLennan, Greogory T. y Bostwick, David G: Atypical Small Acinar Profliferation Suspicious Malignancy in Prostate Needle Biopsies. Am J Surg Pathol 21(12); 1997: 1489 – 1495.
- 9. Bastacky Sl, Walsh PC, Epstein Jl. Relationship between perineural tumor invasion on needle biopsy and radical prostatectomy capsular penetration in clinical stage B adenocarcinoma of the prostata. Am j Surg Pathol. 1993;17:336-341.
Referencias
- 10. Durham JR, Lee MW, Amin MB, Schultz DS, Stetler- Stevenson WG. Clefting in adenocarcinoma of the prostate gland (Abstract). Am J Clin Pathol. 1994; 102:536.
- 11. Baisden BL, Kahane H, Epstein Jl. Perinueral invasion, mucinous fibroplasia, and glomerulations. Diagnostic features of limited cancer on prostate needle biopsy. Am J Surg Pathol. 1999; 23:918-924.
- 12. Bostwick DG. Evaluating prostata needle biopsy: therapeutic and prognostic importance. CA Cancer J Clin. 1997;47:297-319.
- 13. Ro JY, Grignon Dj, Troncoso P. Ayala AG. Intraluminal crystalloids in whole-organ sections of prostate. Prostate. 1998; 13:233-239.
- 14. Anton RC, Chakraborty S, Wheeler TM. The significance of intraluminal prostatic crystalloids in benign neeedle biopsies. Am J Surg Pathol. 1998; 22:446-449.
- 15. Halpert B, Sheehan EA, Schmalhorst WR, scott Rj. Carcinoma of the prostate: a survey of 5000 autopsies. Cancer. 1965;16.737-742.
 
					 





