Presentación de un caso
Dr. Fernando Guzmán Chávez
Grupo de Trasplante Renal, Servicio de Urología
Hospital Militar Central
Dr. José Luis Poveda Matiz
Residente III, Universidad del Rosario
Rotatorio en el Hospital Militar Central
Resumen
Se presenta un caso de perforación vesical por catéter de CAPD, implantado mediante mini laparotomía bajo anestesia local en el servicio de Nefrología del Hospital Militar Central. El paciente diabético consulto por hematuria transitoria, valorado en el Servicio de Urología, se confirma la presencia del catéter en la vejiga y se reacomoda en la cavidad abdominal, luego de realizar la rafia vesical. Se analizan los hallazgos en la placa de abdomen simple, en el Urotac y en la cistoscopia.
Palabras claves: Complicaciones de la diálisis peritoneal, catéter de Tenckhoff, Perforación vesical.
Introducción
La diálisis peritoneal con sus varias modificaciones a saber: ambulatoria continua (CAPD), cíclica continua (CCPD) o intermitente (IPD), se han establecido como un método efectivo para el manejo de la enfermedad renal terminal. En el Hospital Militar Central, tres servicios en forma coordinada colocan catéteres de diálisis peritoneal, así: el Servicio de Nefrología como servicio tratante; como servicios de apoyo el de Urología y el de Cirugía General. Este último especialmente, cuando los pacientes tienen antecedentes de cirugía abdominal.
Dentro de las complicaciones quirúrgicas que son infrecuentes encontramos: perforación de víscera abdominal, principalmente colon. Esta solo se ha presentado en dos oportunidades en nuestro hospital; laceración peritoneal, y perforación vesical extraperitoneal que describimos en este reporte.
Las complicaciones No quirúrgicas son: Peritonitis, absceso del túnel, desplazamiento, obstrucción del catéter, salida del retenedor, filtración, obstrucción intestinal, hernia abdominal, hidrotórax, hidrocele y peritonitis esclerosante encapsulada. Estas son igualmente infrecuentes. El reconocimiento de cualquiera de estas complicaciones en forma oportuna permitirá el manejo médico o quirúrgico adecuado.
Caso Clínico
Se recibe en el Servicio de Urología una interconsulta del Servicio de Nefrología, referente a un hombre con hematuria macroscópica y a quien 36 horas antes, se le había colocado un catéter de Tenckhoff para diálisis peritoneal, mediante técnica de minilaparotomía, procedimiento llevado a cabo sin aparente complicación. Se había infundido Dianeal®, antes de pasar la guía a la cavidad abdominal. El paciente, para ese momento tenía colocada una sonda uretral.
Al valorar al paciente se encontró en buenas condiciones generales y con hematuria leve. Luego del examen médico, se solicitaron los exámenes paraclínicos que incluían inicialmente:
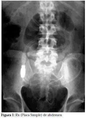
Una radiografía simple de abdomen (figura 1), cistografía (figura 2), las cuales mostraban la porción distal del catéter en la pelvis menor, así mismo se realizó urotac (figura 3a y b) que confirma la presencia del catéter en la vejiga.
![]() |
![]() |
![]() |
![]() |
Al paciente se le practica uretrocistoscopia que confirmo la presencia del catéter en vejiga (figuras 4a y b), bajo anestesia general se practica exploración abdominal, descartando presencia de catéter en esta cavidad, se realiza exploración del espacio prevesical evidenciando la presencia de catéter que se introducía a la vejiga por la parte media de la pared lateral izquierda (figura 5a).

![]() |
![]() |
Se practica exploración vesical, extracción del catéter (fi gura 5b), rafia vesical y reacomodación intraperitoneal del catéter en fosa izquierda, se deja sonda uretral a cistoflow, el postoperatorio evoluciona sin complicaciones.
Discusión
Se revisa la literatura sobre la colocación inadvertida del catéter de Tenckhoff en la vejiga, ya que en nuestra experiencia en el Hospital Militar Central no se había presentado esta compilación, en los cientos sesenta catéteres implantados en los últimos ocho años. La literatura ha reportado que algunos casos similares ocurrieron en pacientes diabéticos como en el presente caso.
La uropatia neurogénica que conlleva a vejigas atónicas o hipotónicas se asocia con diabetes de larga evolución. La placa de abdomen simple se puede considerar diagnostica, tanto en la posición antero posterior como oblicua, la porción distal del catéter entorchado, se encuentra en posición suprapúbica y sobre la silueta vesical y muy por debajo del repliegue peritoneal inferior, hallazgos que se confirmaron mediante Urotac y uretrocistoscopia, previos la corrección quirúrgica y reacomodación del catéter.
Bibliografía
- 1. Vidaur F, Rentero R, Naranjo P, Torrente J, D’Ocon MT. Perforation of the bladder as a complication of peritoneal dialysis. Rev Clin Esp. 1976 Mar 15;140(5):485-8.
- 2. Golper TA, Carpenter J. Accidents with Tenckhoff catheters. Ann Intern Med. 1981 Jul;95(1):121-2.
- 3. Moreiras M, Cuina L, Rguez Goyanes G, Sobrado JA, Gil P. Inadvertent placement of a Tenckhoff catheter into the urinary bladder. Nephrol Dial Transplant. 1997 Apr;12(4): 818-20.
- 4. Rouse J, Walker R, Packer S. Inadvertent intravesical insertion of a Tenckhoff catheter. Perit Dial Int. 1996 Mar- Apr;16(2):186-7.
- 5. Rall KL, Beagle GL. Inadvertent puncture of the urinary bladder by a peritoneal dialysis catheter. South Med J. 1993 Dec;86(12):1398-9.
- 6. Bamberger MH, Sullivan B, Padberg FT Jr, Yudd M. Iatrogenic placement of a Tenckhoff catheter in the bladder of a diabetic patient after penectomy. Urol. 1993 Oct;150(4): 1238-40.
- 7. Yeh T J, Wei C F, Chin T W. Catheter related complications of continuous ambulatory peritoneal dialysis. Eur J Surg 158: 277-9: 1992.













