Dra. Susama Murcia de Onatra
unidad de patología Pediátrica,
Departamento de Patología,
Facultad de Medicina, Universidad Nacional.
Hospital de la Misericordia, santafé de Bogotá.
Motivo de Consulta:
Adolescente de 13 años natural y procedente de Puerto Rico Caquetá, remitido al Hospital de la Misericordia por el hospital regional, a donde había consultado por “hinchazón en el cuerpo” dolor epigástrico vómito oscuro, ahogo, y somnolencia. Refiere de un mes antes, epigastralgia y edema de la cara; se le administró por parte de empírico, infusión de “borrachero” y posteriormente en Droguería, ampicilina y furosemida, no sabe la dosis.
Antecedentes:
Desarrollo psicomotor normal, cursa 5o grado; patológicos: malaria y posible fiebre amarilla. Familiares Padre hipertenso. No se obtienen más datos porque el informante es el padre y desconoce más detalles de la enfermedad actual y antecedentes.
Examen Físico:
Paciente estupuroso en anasarca con palidez mucocutánea, tinte ictérico de escleras, respiración irregular polipneíco, ingurgitación yugular a 45°, FC: 96 y FR: 48 x min. TA: 100 x 60, Media 85, Peso: 40K, Talla: 136 cm. Soplo cardíaco 2/6 sospecha de frote pericárdico no confirmado, hígado palpable a 3 cm, onda de 4 mm probremente reactivas; se inicia manejo con líquidos parenterales ranitidina, antibióticos del tipo de oxacilina y cefalosporina.
Las radiografías del tórax muestran cardiomegalia global se vera, derrame pleural con disminución del volumen pulmonar, infiltrados alveolares paracardíacos, prominencia del cono de la pulmonar.
Cuadro Hemático: Hb: 10, Hto: 31. Blancos: 13.900, neutros: 74, linfos: 26. VSG: 3mm/h, plaquetas: 26000. Hematíes de tamaño variable con células en diana, macrocitosis, policromotifilia, normoblastos 1%, PT: 22″ (N=12.5)., PTT: 40″ (N=26.3), glicemia: 127mg/dl, NU: 95, creatinina: 2.9 mg/dl, proteínas totales: 6.4 g/dl, Alb: 2.9, Falcalina: 217, bilirrubina total: 3.6, directa: 2.6, amilasa: 66u/l, Na: 133meq/l, Potasio: 6.4 meq/l, Gases arteriales: Ph: 7.37, Pco2: 2.4, Po2: 46 mm/hg, HCO3: 14 mmol/l, SBE: 11 mmol/l, gota gruesa negativa.
Valorado dos horas después se encuentra con respiración irregular TA: 60 x 30, se intuba y se da manejo farmacológico de reanimación PV: 15 mm por sonda nasogástrica drena material de sangre digerida. Dos horas después empeora su estado, sale sangre por tubo endotraqueal, presenta severa dificultad respiratoria, se encuentran petequias en piel del tórax. Hace paro cardiorespiratorio que no revierte.
Diagnósticos Clínicos Finales:
Falla multisistémica, cardíada renal y hepática Pericarditis? CID, desequilibrio hidroelectrolítico. Fiebre amarilla?.
Hallazgos de Autopsia:
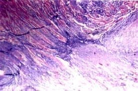
Se encuentra cadáver de niño prepúber en anaserca, con tinte ictérico de escleras y marcada palidez, líquido sanguinolento espumoso en vías aéreas. Derrame pleural bilateral de 400 c en cada ldo, ascitis de 500 cc de líquido cetrino, severa congestión visceral generalizada. El corazón está muy aumentado de tamaño en forma global, con un peso de 330 g (N=190) con dilatación de todas las cavidades (Figura No. 1) Epicardio normal, líquido pericárdico 100 cc, válvulas normales, con anillos dilatados, trombos murales en ambos ventrículos. Al estudio microscópico, miocardio con múltiples zonas fibróticas sin inflamación. (Figura No. 2).

Figura No. 1. Aspecto macroscópico de las cavidades izquierdas del corazón con trombos murales.

Figura No. 2. Microfotografía el miocardio. Coloración de tricrómico que evidencia zonas fibrosas (azules)
que reemplazan fibras miocárdicas (rojas) 250x.
Los pulmones aumentados de peso con edema y múltiples infartos entre 2 y 5 cm bilaterales, y múltiples tromboémbolos en arterias de mediano y pequeño calibre. En esófago un proceso inflamatorio de etiología moniliásica, y en duodeno una úlcera aguda de 0.6 cms con huellas de sangrado. El hígado con hepatomegalia, peso: 1350g (N=1000), con aspecto de “nuez moscada”, cambios de choque con necrosis hepática pericentral e infiltración grasa, sin signos de inflamación, esplenomegalia congestiva moderada peso: 150 g (N=90g). No se encontró pigmento malárico.
Diagnósticos Definitivos:
1. Cardiomiopatía dilatada idiopática.
2. Tromboembolismo pulmonar masivo con infartos múltiples.
3. Signos de falla cardíaca global: congestión pasiva visceral, hígado de choque, edema pulmonar. Anasarca.
4. Moniliasis esofágica y úlcera aguda duodenal sangrante.
Comentarios:
El cuadro clínico de este joven de 13 años, caracterizado por anasarca de origen cardíaco (albuminemia mayor de 2.5 g/dl, ingurgitación yugular, aumento de la presión venosa ventral) y los hallazgos radiológicos de una gran cardiomegalia se correlacionan muy bien con los hallazgos de la necropsia, de una cardiomiopatía de la variedad dilatada; los trombos murales asociados a ésta determinaron como episodio final, un tromboembolismo pulmonar con infartos múltiples; la alteración del miocardio explica la falla de bomba, que había dado signos clínicos evidentes de hipoperfusión renal (retención de nitrogenados), y cerebral (cambios de conciencia), y el edema pulmonar. La ictericia con hiperbilirrubinemia directa se puede explicar por los cambios de choque de origen cardiogénico en hígado y por los infartos pulmonares; el dolor epigástrico por la hematomegalia congestiva y el sangrado digestivo, por la esofagitis y la úlcera aguda de duodeno. La hemorragia terminal de vías aéreas, se originó en los infartos pulmonares.
La afección primaria del músculo cardíaco, no relacionada con hipertensión arterial, problemas circulatorios, o malformaciones, se denomina cardiopatía; ésta tiene desde el punto de vista hemodinámico y anatómico, las siguientes variedades: hipertrófica, restrictiva y dilatada1.
La hipertrófica afecta pacientes en la primera infancia es causada por un desarreglo en la organización de las fibras que determina una hipertrofia asimétrica del septo o de toda la pared del ventrículo izquierdo y causa falla de llenado ventricular. Puede ser causa de muerte súbita2,3.
La restrictiva causa restricción del llenado ventricular por pérdida de la distensibilidad, con función sistólica normal o casi normal, diámetros ventriculares normales o disminuidos. Para el diagnóstico se encuentra elevación de la presión al final de la diástole. Puede tener:
Sólo lesión miocárdica y ésta puede ser no infiltrativa idiopática e infiltrativa por glucogenosis tipo II, (Pompeó), hemocromatosis, amilodosis, enfermedad de Gaucher y la cardiomiopatía histiocitoide.
El compromiso endomiocárdico tiene como ejemplo la fibroelastosis la fibrosis endomiocárdica y el síndrome hiper eosinofílico1,3.
La cardiomiopatía dilatada presenta incremento del volumen de los ventrículos, sin hipertrofia. La contractilidad deprimida produce una disfunción sistólica y ocasionalmente diastólica, que llevan a falla cardíaca, por disminución de la fracción de eyección ventricular2. Hay muchas entidades hereditarias o adquiridas que terminan que terminan produciendo una cardiomiopatía dilatada y el término idiopático se aplica cuando no puede determinarse la etiología; la miocarditis viral (coxakie e influenza A y B), o parasitaria, (changas), problemas Tóxicos (alcohol, drogas del tipo de la adriamicina), el rechazo de trasplante, y algunas enfermedades autoinmunes, dejan como secuelas cicatrización fibrosa del miocardio y cualquiera de estas entidades se encuentran como antecedente en proporción muy variable entre un 6 y un 60% de casos4. Cursa con una clínica poco específica, perfusión inadecuada congestión venosa pulmonar y sistémica lentamente progresivas, disnea y ortopnea.
Cuando el cuadro es de inicio súbito en pacientes jóvenes hay distensión abdominal, dolor en hipocondrio derecho, náusea que hace pensar en enfermedad hepatobiliar; se termina en falla cardíaca global, con pulso alternante muy disminuído y bajo gasto. Hay trombosis mural de los ventrículos y fenómenos tromboembólicos.
En este paciente la posibilidad de un proceso infeccioso del tipo chagas teniendo en cuenta su procedencia de zona selvática no puede descartarse. Desafortunadamente la rápida evolución y su corta permanencia no permitieron hacer pruebas serológicas que permitieron establecer su etiología.
Bibliografía
1. Eduards W. Cardiomyophaties. Hum Pathol 1988, 185-95.
2. Sasson Z, Rakowski H, Wigle D, et al. Hipertrophic Cardiomyophaty. Cardiol Clin 1988; 6: 2-8.
3. Child JHS, Perloff K. The restrictive Cardiomyopathies. Cardiol Clin 1988; 6: 2.
4. Davies MJ. The cardiomyophaties a review of terminology; pathology and pathogenesis. Histopatology 1984; 8: 363.

