| Cordones Anteriores | Cordones Posteriores | Centro -Medular | Hemisección Medular Brow-Sequard |
|
| Cambios Sensoriales |
(-) | (+) Sensibilidad profunda y / 0 Propiocepción |
(-) | (+) Contralaterales (dolor y temperatura) |
| Cambios Motores |
(+) | (-) | (+) Predominiode miembros superiores |
(+) Ipsilaterales |
| Cambios en Reflejos |
(+) Arreflexia |
(+) Profundos alterados |
(+) | (+) Ipsilaterales |
| (+) Presentes | (-) Ausentes |
Clasificación de los síndromes del cono, epicono y cauda equina
| Cono | Epicono | Cauda Equina | |
| NivelAnatómico | S3-S5-Coccígea 1 | L4-S2 | L3-Coccígea 1 |
| Dolor Espontáneo |
Bilateral y asimétrico (periné y pelvis) |
Periné y/o muslos | Unilateral o asimétrico (periné, muslos y espalda) |
| Cambios Sensoriales |
Bilaterales y Simétricos (periné). Pueden presentarse disociados |
Bilaterales y asimétricos (muslos). Cumúnmente disociados |
Unilaterales y asimétricos. Distribuición en silla de montar |
| Cambios Motores |
Perné y esfinteres externos |
Bilaterales, fasciculaciones en muslos y piernas. Atrofia, trastornos en la marcha |
Asimétricos. Atrofia en piernas |
| Cambios en reflejos |
Bulbocavernoso y anal afectados |
Arreflexia aquiliana Severo Babinski (+) |
Hiporreflexia patelar y aquiliana |
| Alteraciones de esfínteres |
Compromiso precoz y severo |
Compromiso leve |
Compromiso Variable |
| Alteraciones sexuales |
Precoz Impotencia |
Deterioro de erección y eyaculación |
Compromiso leve de erección y eyaculación |
| Presentación de signos y síntomas (según etiología) |
Súbita | Gradual, línea media bilateral |
Gradual, Unilatera l o Bilatera lasimétrica |
A: Pérdida motora y sensitiva completa.Para la evaluación y seguimiento neurológico del trauma raquimedular específicamente a nivel toracolumbar, se cuenta con la “Clasificación de Frankel”2, la cual tiene en cuenta la preservación o compromiso de las funciones medulares motoras, sensitivas y/o esfínteres, así:
B: Sólo conserva sensibilidad.
C: Fuerza muscular no útil. sensibilidad normal.
D1: Fuerza muscular contra gravedad (3+) y/o parálisis esfínteres.
D2: Fuerza muscular contra resistencia (4+) y/o disfunción de esfínteres.
E: Fuerza muscular y sensibilidad normales.
2.2. Diagnóstico Imagenológico
El pilar básico para el diagnóstico imagenológico, lo constituye la radiología simple, de cuyos estudios recomendamos las siguientes proyecciones:
Columna Cervical
• Básicas: Lateral (deben de apreciarse las 7 vértebras cervicales y el disco intervertebral C7-T1)
• Complementarias:
* Transoral ( para lesiones en C1- C2).
* Anteroposterior.
* Oblicuas.
Columna Toracolumbar
• Básicas: Translateral con rayo horizontal.
• Complementarias.
* Anteroposterior.
* Oblicuas.


Fig. 4 Loxofractura lumbar, reconstrución
tridimensional mediante tomografía axial computarizada.
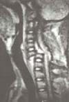
En algunos casos se indican estudios especiales11 como la Tomografía Axial Computarizada simple o con reconstrucción tridimensional (Figura 4), que evalúa adecuadamente las fracturas con invasión de fragmentos óseos al canal raquídeo y la resonancia magnética8, útil para diagnosticar fracturas con invasión de partes blandas (Hernias de disco, Hematomas) al canal raquídeo y/o contusión medular (Figura 5).

Fig. 5 Luxifractura cervical C5-C5, vista lateral mediante
resonancia magnética, que demuestra compresión medular.




