Caso Clínico Interinstitucional
Diego Mauricio Gómez, M.D., residente de gastroenterología;
Juan Carlos Molano, M.D., gastroenterólogo;
Luis Gonzalo Guevara, M.D., gastroenterólogo;
Julián David Martínez, M.D., gastroenterólogo;
Mario Humberto Rey, M.D., gastroenterólogo;
Martín Alonso Garzón, M.D., gastroenterólogo. Servicio de Gastroenterología,
Hospital Universitario de La Samaritana, Bogotá,D.C.
Se trata de una mujer de 63 años, natural y procedente de Pacho (Cundinamarca), agricultora de ocupación. La fecha de ingreso fue el 17 de julio del 2000.
Consultó por un cuadro de, más o menos, un año de evolución consistente en dolor abdominal tipo peso en la región epigástrica, con sensación de masa en dicha localización; una semana antes de su ingreso, presentó aumento del dolor, aunque fue de iguales características, y asociado a fiebre no cuantificada, astenia, adinamia y malestar general.

Figura 1. Placa de tórax de ingreso.
Los antecedentes patológicos, quirúrgicos y traumáticos fueron negativos; los tóxicos también, sin ingestión de licor, ni fumadora; los alérgicos, negativos; G6 P6 V6 A0 C0 con FUM hace 15 años y FUP hace 18 años; epidemiológicos, negativos.

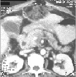
Figura 2. TAC abdominal que muestra drenaje a piel.
En la revisión por sistemas, refería una actividad laboral normal hasta una semana antes de su ingreso, sin pérdida de peso, ni diarrea, ni náuseas, ni vómito, ni acolia, ni coluria.
Figura 3. TAC abdominal que muestra fístula de absceso pancreático hacia piel.
En el examen físico, se encontró una paciente conciente, afebril, hidratada, orientada, sin SDR, escleras ligeramente ictéricas; TA: 120/70 mm Hg; FC:88 x min; FR:18 x min; T °: 37,2 °C; tórax: normal; cardiopulmonar: normal; abdomen: abundante panículo adiposo, sin masas ni viceromegalias a la palpación, dolor de intensidad 4/10 a la palpación epigástrica; RsIs (+), sin signos de irritación peritoneal.
Se realizó un diagnóstico de trabajo de dolor abdominal y síndrome febril en estudio y fue hospitalizada.
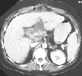
Figura 4 .TAC abdominal donde se evidencia un absceso de cabeza de páncreas que drena a piel.
Se inició la búsqueda del foco infeccioso y se tomó un cuadro hemático a su ingreso que mostró leucocitosis (12.800), con ligera neutrofilia (88%), sin anemia; el examen de orina se interpretó como normal y los exámenes de química hepática fueron normales (Tabla 1); igualmente, la placa de tórax mostró atelectasia basal izquierda, sin infiltrados (Figura 1).
Tabla 1. Química hepática comparativa.

Dos días después de su ingreso, la paciente presentó drenaje espontáneo de material purulento a piel, en la región epigástrica.
Envió muestra de la secreción para cultivo y patología. Se inició cubrimiento antibiótico con clindamicina y ampicilina/ sulbactam, y se solicitó la realización de una TAC abdominal con contraste, en la que se observó una masa dependiente de la cabeza del páncreas, la cual se veía comunicada con la piel. Se hizo un diagnóstico de absceso pancreático drenado a piel (Figuras 2-5).
Figura 5. TAC abdominal que muestra absceso de cabeza de páncreas.
A las dos semanas de iniciado el tratamiento antibiótico, se presentó evidencia clínica de ictericia, por lo cual se tomó nuevo examen de química hepática en la cual se evidenció elevación de la bilirrubina total a expensas de la indirecta, con fosfatasa alcalina elevada y aminotransferasas normales (Tabla 1).
Por esta razón, se solicitó interconsulta a gastroenterología quienes, ante la evidencia de colestasis de patrón obstructivo y con la sospecha de posible compresión de la vía biliar por absceso, decidieron realizar una colangiopancreatografía retrógrada endoscópica que mostró un colédoco dilatado con obstrucción distal, sin evidencia de imágenes litiásicas en su interior, con una imagen sospechosa de drenaje del absceso del páncreas a la vía biliar (Figuras 6 a 9); durante el procedimiento, se realizó lavado de la vía biliar con solución salina y se evidenció salida de abundantes detritus celulares y posterior drenaje de bilis dorada.

Figura 6. CPRE con evidencia de colédoco dilatado y obstrucción distal.
(Lea También: Abscesos pancreáticos Revisión bibliográfica)
Con esta sospecha en la CPRE, se decidió realizar fistulografía dos días después y se evidenció drenaje del medio de contraste del absceso a la vía biliar (Figura 10), por lo cual se consideró que se trataba de un absceso pancreático sin antecedente de pancreatitis aguda drenado espontáneamente a piel y vía biliar.
Figura 7. CPRE con disminución de la obstrucción distal posterior al inicio del lavado de la vía biliar.
La paciente presentó una evolución clínica adecuada: se realizaron dos lavados, guiados por fluoroscopia, de la cavidad del absceso a través de la fístula cutánea; se le dio salida 28 días después de su ingreso con la fístula permeable, sin drenaje de material alguno a través de ésta.

Figura 8. CPRE posterior al lavado de la vía biliar con evidencia de permeabilidad distal.
Se realizó control por consulta externa tres semanas después de su egreso. Encontró a la paciente sin evidencia de la fístula, pero con un nuevo episodio de ictericia y dolor tipo cólico en hipocondrio derecho,por lo cual se solicita ecografía abdominal la cual mostró colelitiasis.
Se remitió al servicio de cirugía quienes la programaron electivamente para colecistectomía. Durante dicho procedimiento, se realizó una colangiografía intraoperatoria (Figura 11), la cual mostró un cálculo en colédoco que se extrajo durante el mismo acto quirúrgico; la paciente egreso tres días después de su intervención, asintomática. Se controló nuevamente 15 días después de su cirugía en forma ambulatoria y se encontró la paciente asintomática.
Figura 9. CPRE con extravasación del medio de contraste sospechosa de fístula del absceso pancreático a la vía biliar.
Se realizó revisión de la literatura en forma sistemática a través de Medline, cruzándose las siguientes palabras: pancreatic abscess, skin, fistula, cutaneous drainage, sin que se encontrara literatura sobre el tema entre enero de 1960 y octubre del 2000.
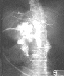
Figura 10. Fistulografía donde se evidencia comunicación del absceso a la vía biliar.
Figura 11. Colangiografia intraoperatoria donde se evidencia cálculo en colédoco.
Figura 3. TAC abdominal que muestra fístula de absceso pancreático hacia piel.
Figura 4 .TAC abdominal donde se evidencia un absceso de cabeza de páncreas que drena a piel.
Figura 5. TAC abdominal que muestra absceso de cabeza de páncreas.
Figura 7. CPRE con disminución de la obstrucción distal posterior al inicio del lavado de la vía biliar.
Figura 9. CPRE con extravasación del medio de contraste sospechosa de fístula del absceso pancreático a la vía biliar.
Figura 10. Fistulografía donde se evidencia comunicación del absceso a la vía biliar.
Figura 11. Colangiografia intraoperatoria donde se evidencia cálculo en colédoco.





