Pólipo Juvenil: El gran simulador
Juvenile Polyp: The great simulator
En la población pediátrica, los pólipos representan la primera causa de sangrado colorrectal con una prevalencia del 1 %. De ellos, el 90 % corresponde a pólipos juveniles (PJ) 1.
Se presentan las imágenes de un varón de tres años que como única alteración presentaba rectorragia indolora e intermitente de nueve meses de evolución, sin alteraciones detectadas al examen físico, con calprotectina fecal elevada (1405 mg/kg), sin anemia y una gammagrafía con tecnecio-99m normal.
Se realizó una colonoscopia encontrando un pólipo a 10 cm del margen anal externo, el cual fue resecado con un asa de polipectomía (figura 1).

Figura 1. Pólipo pediculado de 2cm x 2cm de superficie lisa y cruenta,
localizado en la parte anterosuperior del sigmoides (flecha).
Fuente: fotografía tomada por los autores
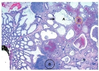
No hubo complicaciones y la histopatología confirmó el diagnóstico de pólipo juvenil (figura 2).

Figura 2. Pólipo Juvenil – Tinción de hematoxilina-eosina 4X. Se observa la dilatación
quística glandular (flecha, A) con un extenso infiltrado inflamatorio en la lámina propia
(círculo negro, B) y cambios erosivos superficiales (círculo amarillo, C).
Fuente: fotografía tomada por los autores
Los PJ son tumores benignos compuestos por lamina propia y glándulas dilatadas, tienen un pico de incidencia entre los 2-10 años y predominan en varones (2:1).
Etiológicamente se considera que la presencia de pliegues mucosos redundantes induce la irritación mecánica e inflamación que provoca un desequilibrio celular y su proliferación.
Característicamente se presentan con rectorragia intermitente e indolora tras la defecación (figura 3), un pequeño porcentaje debuta con prolapso o autoamputación del pólipo y pueden simular un amplio grupo de patologías 2.

Figura 3. Pólipo Juvenil – Representación del mecanismo por el cual el paso de las heces lesiona
la mucosa friable del pólipo (flecha), lo que produce la sintomatología clásica.
Fuente: Ilustración elaborada por Julio César Moreno Alfonso en BioRender.com
Palabrasclave: pólipo juvenil; pediatría; hemorragia gastrointestinal; endoscopia; colonoscopia.
Keywords: juvenile polyp; pediatrics; gastrointestinal bleeding; endoscopy colonoscopy.
La colonoscopia es el procedimiento diagnóstico y terapéutico de elección, endoscópicamente se observan tumores rojizos, lisos y pediculados.
En el 85 % de los casos son lesiones solitarias localizadas en la unión rectosigmoidea, y aunque no tienen potencial maligno y solo recurren en el 4,5 % de los casos, deben ser resecados y analizados histopatológicamente 3,4
En la hemorragia digestiva baja en pacientes pediátricos, una historia clínica minuciosa y el tacto rectal evitan gammagrafías y estudios innecesarios, lo que permite disminuir el estrés familiar que genera la rectorragia en el paciente pediátrico.
Cumplimiento de normas éticas
Consentimiento informado: La utilización de las imágenes e información relativa al caso clínico con fines científicos, fue autorizada por los tutores del paciente.
Conflicto de interés: Los autores declararon no tener conflictos de interés.
Fuente de financiación: Los recursos de financiación de este proyecto de investigación provienen en su totalidad de aportes de los autores.
Contribución de los autores
Concepción y diseño del estudio: Julio César Moreno-Alfonso.
Adquisición de datos: Julio César Moreno-Alfonso.
Análisis e interpretación de datos: Julio César Moreno-Alfonso, Ada Yessenia Molina-Caballero, Alberto Pérez-Martínez, Teresa Dot-Gómara.
Redacción del manuscrito: Julio César Moreno-Alfonso, Ada Yessenia Molina-Caballero, Alberto Pérez-Martínez.
Revisión crítica: Julio César Moreno-Alfonso, Teresa Dot-Gómara.
Referencias – Pólipo Juvenil
1. Lee BG, Shin SH, Lee YA, Wi JH, Lee YJ, Park JH. Juveni-le polyp and colonoscopic polypectomy in childhood. Pediatr Gastroenterol Hepatol Nutr. 2012;15:250–5. https://doi.org/10.5223/pghn.2012.15.4.250
2. Mulett E, Arango LA. Autoamputación de pólipo del colon: presentación del caso y revisión de la literatura. Arch Med. 2017;17:425-7. https://doi.org/10.30554/archmed.17.2.2039.2017
3. Shah S, Youssef E, Saccio M, Hahn B. Juvenile polyp. J Emerg Med. 2011;41:111-2. https://doi.org/10.1016/j.jemermed.2009.05.009
4. Kumar K, Patel H, Tariq H, Balar B, Makker J. A juvenile polyp on colonoscopy, is it premalignant? Clin Case Rep. 2019;7:2605–6. https://doi.org/10.1002/ccr3.2561
Autores – Pólipo Juvenil
1 Julio César Moreno-Alfonso, Médico, residente de Cirugía pediátrica, Hospital Universitario de Navarra, Pamplona, España
2 Ada Yessenia Molina-Caballero, Alberto Pérez-Martínez, Médico, especialista en Cirugía Pediátrica, Hospital Universitario de Navarra, Pamplona, España.
3 Teresa Dot-Gómara, Médico, residente de Anatomía patológica, Hospital Universitario de Navarra, Pamplona, España
Fecha de recibido: 02/08/2021 – Fecha de aceptación: 05/09/2021 – Publicación en línea: 07/06/2022
Correspondencia: Julio César Moreno-Alfonso, calle Irunlarrea 3. 31008, Pamplona, España. Teléfono: + 58 48422222.
Dirección electrónica: juliomoreno.md@gmail.com
Citar como: Moreno-Alfonso JC, Molina-Caballero AY, Pérez-Martínez A, Dot-Gómara T. Pólipo juvenil: el gran simulador. Rev Colomb Cir. 2022;37:492-3. https://doi.org/10.30944/20117582.997
Este es un artículo de acceso abierto bajo una Licencia Creative Commons – BY-NC-ND https://creativecommons.org/licenses/by-nc-nd/4.0/deed.e





