Trauma de Recto Penetrante: Revisión de tema
Penetrating Rectal Trauma: A comprehensive review
Resumen
Introducción. En la actualidad, el trauma de recto continúa siendo una situación clínica compleja y temida por ser potencialmente mortal. Su detección y manejo temprano es la piedra angular para impactar tanto en la mortalidad como en la morbilidad de los pacientes.
Hoy en día, aún existe debate sobre la aproximación quirúrgica ideal en el trauma de recto y las decisiones de manejo intraoperatorias se ven enormemente afectadas por la experiencia y preferencias del cirujano.
Métodos. Se realizó una búsqueda de la literatura en las bases de datos de PubMed, Clinical Key, Google Scholar y SciELO utilizando las palabras claves descritas y se seleccionaron los artículos más relevantes publicados en los últimos 20 años; se tuvieron en cuenta los artículos escritos en inglés y español.
Discusión. El recto es el órgano menos frecuentemente lesionado en trauma, sin embargo, las implicaciones clínicas que conlleva pasar por alto este tipo de lesiones pueden ser devastadoras para el paciente.
Las opciones para el diagnóstico incluyen el tacto rectal, la tomografía computarizada y la rectosigmoidoscopía. El manejo quirúrgico va a depender de la localización, el grado de la lesión y las lesiones asociadas.
Conclusión. El conocimiento de la anatomía, el mecanismo de trauma y las lesiones asociadas permitirán al cirujano realizar una aproximación clínico-quirúrgica adecuada que lleve a desenlaces clínicos óptimos de los pacientes que se presentan con trauma de recto.
Palabras claves: recto; heridas y traumatismos; traumatismo múltiple; diagnóstico; sigmoidoscopía; tomografía computarizada; cirugía colorrectal.
Abstract
Introduction. Currently, rectal trauma continues to be a complex clinical and potentially fatal situation. Its early detection and management is the cornerstone to avoid both mortality and morbidity of patients.
Today there is still debate about the ideal surgical approach in rectal trauma, and intraoperative management decisions are greatly affected by the experience and preferences of the surgeon.
Methods. A literature search was performed in the PubMed, Clinical Key, Google Scholar and SciELO databases using the keywords described. The most relevant articles published in the last 20 years were selected. Articles written in English and Spanish were considered.
Discussion. The rectum is the organ less frequently injured in trauma; however, the clinical implications of overlooking this injury can be devastating for the patient.
Options for diagnosis include digital rectal examination, computed tomography and rectosigmoidoscopy. Surgical management will depend on the location, degree of the injury and the associated injuries.
Conclusion. Knowledge of the anatomy, the mechanism of trauma and the associated injuries will allow the surgeon to make an adequate clinical-surgical approach that leads to optimal clinical outcomes in patients presenting with rectal trauma.
Keywords: rectum; wounds and injuries; multiple trauma; diagnosis; sigmoidoscopy; computed tomography; colorectal surgery.
Introducción – Trauma de Recto Penetrante
El trauma de recto es una entidad clínica compleja y potencialmente mortal. La detección y el manejo temprano son fundamentales para impactar en la morbimortalidad que conlleva.
El entendimiento adecuado de la anatomía es crucial para realizar una aproximación quirúrgica correcta de las estructuras criticas en colon y recto, con el propósito de disminuir el riesgo de complicaciones tales como sangrado, isquemia o lesión nerviosa 1,2.
El mayor conocimiento del manejo de esta entidad es derivado del trauma de guerra. Con la instauración del dogma de manejo basado en las 4Ds (Desbridamiento, Derivación, Drenaje presacro y lavado Distal) se ha impactado significativamente en los desenlaces de los pacientes 3-5.
La gran mayoría de las heridas civiles en recto son causados por heridas por proyectil de arma de fuego, seguidas por trauma contuso y trauma por armas cortopunzantes 3,6.
Aún existe controversia sobre la aproximación quirúrgica ideal en el trauma de recto y las decisiones de manejo intraoperatorio se ven afectadas por la experiencia y preferencias del cirujano 4.
La localización anatómica de la lesión de recto, intraperitoneal versus extraperitoneal, también tiene gran influencia 5.
Este articulo tiene como propósito hacer una revisión de la literatura actual disponible sobre la epidemiologia, presentación clínica, diagnóstico y manejo del trauma de recto y se ilustra con fotografías de los estudios diagnósticos practicados a un paciente atendido exitosamente en nuestra institución.
Métodos – Trauma de Recto Penetrante
Se realizó una búsqueda de la literatura en las bases de datos de PubMed, Clinical Key, Google Scholar y SciELO utilizando las palabras claves descritas y se seleccionaron los artículos mas relevantes, publicados en los últimos 20 años, con el fin de poder evaluar la evolución en el manejo del trauma de recto.
Se incluyeron artículos que estuvieran escritos en español y en inglés para la revisión del tema.
Anatomía – Trauma de Recto Penetrante
El recto es una estructura tubular de 15 – 17 cm de longitud, que inicia a nivel del promontorio sacro, en el punto donde el colon sigmoides pierde su mesenterio y las tenias colónicas confluyen para formar una capa muscular longitudinal, extendiéndose caudalmente hasta el ano.
Su límite anatómico inferior es la línea pectínea (o dentada), donde se une la mucosa rectal con la mucosa anal y cambia de epitelio columnar a epitelio escamoso estratificado, y su límite superior es a nivel del elevador del ano (2 cm por encima de la línea pectínea).
Anatómicamente se divide en 3 porciones, basados en su relación con el peritoneo. El tercio superior está cubierto por peritoneo en su porción anterior y lateral; el tercio medio está cubierto solo anteriormente y el tercio inferior es completamente extraperitoneal.
Existen estructuras adyacentes al recto de importancia clínica, que en caso de trauma pueden verse lesionadas.
En hombres, la próstata, las vesículas seminales, los vasos deferentes, los uréteres y la vejiga; en las mujeres, extraperitoneal la pared posterior de la vagina y el cuello uterino, e intraperitoneal la porción superior de la pared posterior de la vagina, el útero, las trompas y los ovarios.
Adicionalmente el recto cuenta con una gran vascularización, proveniente de las arterias rectales superior, media e inferior, que en caso de lesión generan un sangrado importante 1,2.
Epidemiología – Trauma de Recto Penetrante
Dado su localización y protección por huesos pélvicos, el recto es el órgano menos frecuentemente lesionado en el contexto de trauma, con una incidencia de 0,1 a 0,5 % 7.
En el trauma civil, las lesiones de recto son causadas principalmente por heridas por proyectil de arma de fuego, aproximadamente en el 46 al 85 % de todos los casos, mientras que el trauma contuso y el trauma penetrante por arma cortopunzante solo representan entre el 10 y el 5 %, respectivamente 3,5,8.
El resto corresponden a trauma por empalamiento y perforación secundaria a procedimientos diagnósticos y terapéuticos.
En contraste, la mayoría de los traumas de recto en el contexto de guerra, se deben a explosiones y proyectiles de alta velocidad 4,9.
A pesar de los avances en los sistemas de respuesta en trauma y en el manejo quirúrgico, la mortalidad continúa estando cercana al 10 % y puede aumentar significativamente cuando existen retrasos mayores a 8 horas en el manejo, principalmente en el trauma extraperitoneal 10, con una tasa de complicaciones adicionales entre el 18 al 21 % 3.
Las tasas de mortalidad y complicaciones pueden variar según la experiencia clínica, la confianza del cirujano frente al trauma de recto y el hecho de que el trauma de recto en raras ocasiones se presenta de forma aislada: es usual encontrar lesiones de otros órganos y vasos sanguíneos pélvicos, que hacen que el manejo sea desafiante.
El trauma de recto, de forma similar a los demás traumas, se presenta principalmente en los pacientes masculinos, de mediana edad, sin reportes en la literatura de prevalencia de raza 8.
Presentación clínica – Trauma de Recto Penetrante
La presentación clínica va a depender del mecanismo del trauma y las lesiones asociadas.
Los traumas pélvicos cerrados de alta energía con separación de la sínfisis del pubis, traumas urogenitales y fracturas pélvicas (particularmente las fracturas por compresión anteroposterior) son propensos a presentar trauma rectal asociado 11; todo paciente que presente la combinación de fracturas pélvicas y lesiones perineales debe ser considerado un paciente con lesión rectal hasta que se demuestre lo contrario.
La sospecha de una lesión rectal debido al mecanismo del trauma o a las lesiones asociadas requiere ser investigada, como en el caso de las heridas penetrantes por proyectil de arma de fuego con fracturas pélvicas y los empalamientos 3,12.
Los hallazgos clínicos más comunes son shock, dolor abdominal, herida en cercanía al área anorrectal y sangrado rectal macroscópico 9,12. El trauma rectal usualmente es reconocido y diagnosticado durante la revisión secundaria de los pacientes politraumatizados.
Se debe indagar sobre el mecanismo del trauma y las condiciones relacionadas (por ejemplo, aceleración/desaceleración o impacto directo en trauma cerrado y el tipo de arma usada en los traumas penetrantes por arma de fuego) y las lesiones asociadas evidenciadas durante la evaluación primaria en la escena.
El trauma contuso cursa más comúnmente con lesiones concomitantes de estructuras pélvicas como vejiga, uretra y estructuras vasculares, lo cual implica mayor morbilidad y una tasa de mortalidad hasta tres veces superior comparada con el trauma penetrante. Tanto las lesiones penetrantes como las contusas pueden producir lesiones del esfínter anal 12.
Diagnóstico – Trauma de Recto Penetrante
Aunque el trauma de recto representa un pequeño porcentaje del total de lesiones que se presentan en los pacientes con trauma, las implicaciones clínicas que conlleva pasar por alto esta lesión pueden ser devastadoras.
Es por eso que el hallazgo de heridas cercanas a la región anal, fracturas pélvicas, lesiones del tracto urinario, o dolor y sensibilidad en el abdomen inferior, deben aumentar la sospecha de una posible lesión anorrectal 9.
No existe evidencia clara que demuestre cuál es la estrategia diagnóstica más adecuada. Las opciones incluyen el tacto rectal, la tomografía computarizada (TC) y la rectosigmoidoscopia.
En el contexto de un politrauma, el tacto rectal es ampliamente utilizado y recomendado en guías y textos para evaluar signos de trauma rectal, sin embargo, existen reportes sobre su baja sensibilidad para la detección de lesiones a nivel del recto, la cual es cercana al 33 % 13.
La TC es un examen ampliamente disponible en nuestro medio, que tiene una sensibilidad y especificidad cercana al 95 % para las lesiones intraabdominales, aunque la sensibilidad reportada para lesiones de víscera hueca es menor (53-86 %), tanto en trauma penetrante como en trauma contuso 14-16.
Los hallazgos tomográficos que sugieren lesión anorrectal se dividen de acuerdo con el mecanismo del trauma.
En el trauma penetrante, el hallazgo más sensible y específico es la presencia de una herida con trayectoria que se extiende directamente al recto, la cual es identificable por la presencia de áreas focales de estriación en los tejidos y aire a lo largo de la trayectoria, aunque su sensibilidad puede disminuir en el caso de múltiples trayectos 12,17.
Los hallazgos más específicos, aunque no son comúnmente identificados, incluyen la evidencia directa de una lesión transmural, vista como la extravasación del contraste oral o rectal, y la presencia de hemorragia activa de la pared del intestino, evidenciada por extravasación activa del contraste intravenoso.
También existen signos indirectos de trauma anorectal en la TC que, aunque no confirman el diagnóstico y no son específicos, aumentan la sospecha clínica.
Estos signos son el engrosamiento de la pared, estriación e infiltración del tejido perirrectal/anal y presencia de líquido peritoneal libre, aunque este último hallazgo es menos importante en el contexto de trauma penetrante debido a la violación del peritoneo.
Como usualmente los pacientes con trauma de recto contuso tienen lesiones óseas pélvicas asociadas, es prudente realizar en la tomografía, además de la fase portal y tardía, una fase angiográfica para descartar sangrados activos relevantes 12.
Las lesiones más específicas en trauma contuso son la evidencia de lesión transmural de recto y el sangrado activo.
A diferencia del trauma penetrante, donde la presencia de aire libre en cavidad peritoneal, en el retroperitoneo perirectal y/o el área perineal se puede deber a la introducción del aire a través de la herida que penetra, en el trauma contuso la presencia de aire en estas localizaciones es altamente específico de lesión de víscera hueca 12,14,15.
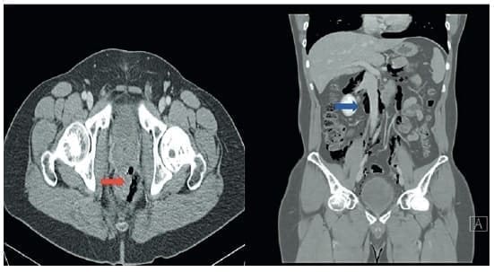
Es importante tener en cuenta que la presencia de colecciones de gas asimétricas y focales en el recto debe alertar sobre la posibilidad de un trauma rectal, aún en los traumas penetrantes 12 (Figura 1).

Figura 1. Tomografía computarizada (TC) de abdomen y pelvis contrastada que muestra múltiples burbujas de aire atípico en la grasa para rectal en la cara anterior y lateral izquierda. En la cara anterior se observa pequeña burbuja mural (flecha roja) sugestiva de perforación, además, engrosamiento de los tejidos blandos alrededor, con aire que diseca toda la cavidad retroperitoneal (flecha azul) alrededor de los músculos psoas, el espacio de Retzius, los espacios perivasculares de la cava y aorta hasta el hiato esofágico con burbujas de aire atípico en la cavidad peritoneal el cual se diseca por la gotera parietocólica derecha y la región central. No se identifica líquido libre intraperitoneal.
Fuente: imágenes tomadas de historia clínica de un paciente.
Los signos tomográficos indirectos de lesión en trauma contuso son iguales a los descritos para trauma penetrante, entendiendo que la presencia de líquido libre, en el contexto de trauma contuso y en ausencia de lesión de víscera sólida que lo explique, se puede deber a una lesión intestinal, incluyendo el segmento intraperitoneal del recto, hallazgo que es muy sensible para este tipo de lesiones pero con muy baja especificidad 18.
Por otro lado, la rectosigmoidoscopia permite la evaluación directa de la mucosa rectal, buscando hematomas, contusión, laceraciones o sangrado (Figuras 2 y 3), sin embargo, una mala preparación intestinal (escenario muy común en los pacientes con trauma) puede limitar su rendimiento diagnóstico 12,19.

Figura 2. Rectosigmoidoscopia intraoperatoria donde se identificaron restos hemáticos antiguos
escasos (flecha negra) a 30 cm del borde anal, hasta la región anorrectal.
Fuente: imágenes tomadas de historia clínica de un paciente.

Figura 3. La fotografía muestra la lesión traumática (flecha negra) con bordes necróticos, irregulares y salida de material hemopurulento en recto distal, a los 5 cm del borde anal, inmediatamente por debajo de la válvula distal de Houston presencia de lesión traumática con bordes necróticos; no se identifican otras perforaciones.
Fuente: imágenes tomadas de historia clínica de un paciente.
Un estudio de 106 pacientes demostró una sensibilidad aún más baja (34 %) de la TC para evidenciar lesiones de recto; en contraposición, encontró una sensibilidad del 94 % para la rectosigmoidoscopia sola y una sensibilidad del 97 % cuando se combinan las dos estrategias diagnósticas 19.
Manejo quirúrgico – Trauma de Recto Penetrante
La evolución del manejo del trauma de recto ha estado asociado a la historia del conflicto militar.
Es así cómo se pasó de manejar las lesiones rectales de forma expectante en la Guerra civil Americana (con resultados usualmente mortales), a realizar derivaciones proximales (ostomías), desbridamiento de las lesiones, drenajes presacros y lavados rectales distales (estrategia conocida como las 4 Ds) en la Segunda Guerra Mundial, con un impacto mayor en los resultados clínicos de los pacientes 3,5,7.
Ostomías
Algunos estudios han abogado por la realización de ostomías en el trauma militar debido principalmente a los efectos desconocidos de la disipación de energía de los proyectiles de alta velocidad que potencialmente podrían comprometer la viabilidad de una anastomosis 20-22; esto último soportado por una revisión sobre lesiones colorrectales durante los conflictos de Afganistán e Irak, con tasas de falla de anastomosis y conversión a ostomía del 13 % 23,24.
En los últimos años se ha presentado una diferenciación en el manejo de estas lesiones en el contexto de trauma civil, teniendo en cuenta las diferencias que existen entre estos dos escenarios, principalmente en lo que respecta al mecanismo de trauma, los recursos disponibles y costos.
Existen en la literatura series y reportes de casos en los que se busca desafiar el dogma de las 4 Ds, disminuyendo la derivación proximal como el estándar de oro en el tratamiento y reemplazándola por la reparación primaria en muchos de los casos.
Esto ha llevado a una variación continua de la práctica y a una controversia con respecto a las estrategias óptimas de manejo en las lesiones traumáticas de recto, especialmente en el campo civil 7.
Aunque en la actualidad no existe un consenso sobre el manejo óptimo de estas lesiones, se han publicado múltiples series de casos y ensayos clínicos que han pretendido dilucidar la aproximación quirúrgica apropiada de acuerdo con las características específicas de cada paciente 8.
Es así como la introducción de la técnica de control de daños ha permitido las cirugías de “segunda mirada” y con ello la posibilidad de ajustar las decisiones quirúrgicas según las características clínicas y la apariencia del intestino en cada paciente; esto cobra especial importancia en aquellos pacientes inestables, coagulopáticos y/o hipotérmicos, que difícilmente tolerarían una reparación definitiva en la cirugía inicial 3.
El manejo quirúrgico del trauma de recto va a depender del sitio de la lesión y su relación anatómica, sea intraperitoneal o extraperitoneal (figura 4).

Figura 4. Algoritmo de manejo quirúrgico de lesiones de recto intraperitoneal y extraperitoneal. Fuente: autoría propia
Lesiones Intraperitoneales: Su incidencia, aunque no está bien establecida, se puede inferir que es muy baja debido a la baja incidencia de trauma de recto en el contexto civil (< 1 %) y a que la mayoría de las lesiones rectales son extraperitoneales.
En un contexto general, las lesiones intraperitoneales se pueden manejar similar a las lesiones de colon 25, sin embargo el tipo de reparación va a depender del grado de destrucción de los tejidos.
Las lesiones “no destructivas”, definidas como aquellas que involucran menos del 25 % de la circunferencia del recto, pueden ser reparadas de forma primaria, mientras las lesiones “destructivas”, definidas como aquellas que involucran más del 25 % de la circunferencia del órgano, requieren resección del tejido desvitalizado y anastomosis.
En estos pacientes se ha demostrado que la derivación mediante una colostomía no ofrece beneficios adicionales, aunque esta decisión pueda ser razonable en aquellos pacientes con hipotensión persistente, coagulopatía y requerimientos transfusionales altos 3.
Un ensayo prospectivo que involucró 19 centros de trauma, en el que se compararon los pacientes a los que se les realizó reparación primaria (n=197) versus aquellos a quienes se les realizó derivación fecal (n=100), demostró menor tasa de mortalidad en la reparación primaria (0 vs 1,3 %), con tasas comparables de complicaciones abdominales entre los dos grupos, identificando tres factores de riesgo independientes: contaminación fecal grave, requerimiento de más de 4 unidades de sangre en 24 horas y profilaxis antibiótica con un solo agente 26.
Lesiones Extraperitoneales:
Una serie de casos reciente reportó que el 93 % de las lesiones rectales son extraperitoneales y de estas, la mayoría se producen en el tercio inferior 27. En las lesiones extraperitoneales, el uso o no de una derivación fecal es tema de debate.
La derivación a través de una ileostomía en asa o una colostomía en asa o terminal tipo Hartmann puede ser más adecuada en aquellos pacientes con lesiones rectales “destructivas” extraperitoneales o fracturas pélvicas asociadas, debido a la preocupación de una fractura abierta que lleve a una sepsis de origen pélvico.
Los pacientes con lesiones aisladas, “no destructivas” podrían ser manejados sin una derivación fecal, evitando así las múltiples cirugías y la morbilidad de un estoma 3.
Las guías EAST 2015 hacen una recomendación condicionada respecto a la decisión de realizar o no una ostomía en estos pacientes, a favor de realizarla teniendo en cuenta el bajo nivel de evidencia debido a la falta de disponibilidad de literatura apropiada con respecto a este tema y el alto valor que tiene para los pacientes el evitar las complicaciones infecciosas (derivación fecal 8,8 % vs no derivación 18,2 %), sin evidencia de mortalidad asociada en el grupo de pacientes manejados sin derivación fecal 3,6.
En los últimos años, varios autores han comenzado a poner sobre la mesa otras consideraciones con respecto a la realización de derivación fecal en estos pacientes, teniendo en cuenta la frecuencia de complicaciones asociadas a los estomas en sí, que alcanza el 35 a 50 %, incluyendo hernias paraestomales, prolapso, estenosis, retracción y alteraciones metabólicas, y el 5 a 25 % de complicaciones asociadas al cierre de los estomas.
Es así como surge la extrapolación de conceptos aplicados en cirugías anorrectales no traumáticas, tratadas con éxito sin la necesidad de una derivación fecal, como el manejo transanal de los abscesos supraelevadores (considerado por algunos autores como una lesión análoga al trauma penetrante) y la resección transanal de los tumores rectales de espesor total 3.
Unos autores consideran mandatorio la realización de una ostomía en aquellos pacientes con lesiones extraperitoneales no reparadas y en caso de compromiso del esfínter anal 28.
Aunque esta pueda ser necesaria en la mayoría de estos casos, la decisión de realizar o no la derivación fecal debe ser basada en un juicio clínico adecuado, teniendo en cuenta la magnitud de la lesión, las lesiones asociadas, el estado hemodinámico del paciente, los recursos disponibles y la experiencia del cirujano.
Las lesiones vasculares asociadas al trauma de recto son comunes debido a la proximidad de estas estructuras.
Una lesión vascular podría comprometer la irrigación sanguínea del recto y provocar así una falla en la reparación de este, por lo que en estos casos específicos está recomendado el uso de una derivación fecal para prevenir así aumento en la mortalidad asociada a hemorragia y sepsis concomitante.
Drenaje presacro
Con respecto al papel que tiene el drenaje presacro en este tipo de lesiones, generalmente se aconseja que sea realizado únicamente en aquellos pacientes con lesiones rectales destructivas, que comunican con y contaminan los tejidos blandos presacros y pararrectales 29, lesiones usualmente vistas en traumas con mecanismos de alta velocidad.
Por lo demás, no está recomendado realizar disección y movilización de tejidos intactos con la finalidad de posicionar un drenaje presacro 30.
Lavado distal
El lavado distal del recto no ha demostrado una utilidad clínica relevante en los pacientes con lesiones rectales extraperitoneales de baja velocidad 3 sin embargo, algunos autores le otorgan un papel en el contexto de lesiones con grandes defectos de los tejidos blandos o en proximidad a fracturas pélvicas 24,29,31.
Reparo primario
En la literatura actual no se encuentra un beneficio clínico con la reparación primaria cuando no es posible acceder a la lesión, pues no se recomienda la movilización de tejidos intactos para acceder a las lesiones retroperitoneales 31; sin embargo, si se realiza movilización de tejidos para acceder a una lesión concomitante o la lesión es accesible por vía transanal, se puede realizar una reparación primaria, si así lo decide el cirujano 32.
La cirugía mínimamente invasiva ha cobrado importancia en los últimos años, tanto en su papel diagnóstico para descartar lesiones intraperitoneales como en su papel terapéutico para corregir algunas lesiones y para la realización ostomías a través de esta vía, con adecuados resultados clínicos, disminuyendo el tiempo de recuperación posoperatoria y las complicaciones asociadas con la cirugía abierta 33.
Conclusión – Trauma de Recto Penetrante
El recto es un órgano con consideraciones anatómicas importantes, tanto por su ubicación como por su relación con múltiples estructuras adyacentes de relevancia clínica, especialmente el peritoneo.
El conocimiento adecuado de la anatomía, el mecanismo de trauma y las lesiones asociadas permitirán al cirujano realizar una aproximación clínico-quirúrgica adecuada para mejorar los desenlaces clínicos de los pacientes que se presentan con trauma de recto, teniendo en cuenta el valor de las ayudas diagnósticas disponibles y las diferencias entre el trauma de recto en el escenario civil y de guerra.
Todos los pacientes politraumatizados deben ser evaluados y tratados de acuerdo con los principios del ATLS, inicialmente para reconocer y corregir las lesiones amenazantes de la vida, ya que las lesiones de recto rara vez son la causa de muerte en las primeras horas posterior a un politrauma.
Cumplimiento de normas éticas – Trauma de Recto Penetrante
Declaración de consentimiento informado: al ser un artículo que contiene la presentación de imágenes tomadas de un caso clínico atendido en nuestra institución, se cuenta con la autorización escrita del paciente para la publicación de las fotografías.
El presente trabajo es una revisión de la literatura por lo que no requirió aprobación por el Comité de ética.
Conflicto de interés: los autores declaran que no existen conflictos de interés en la realización de este artículo.
Fuentes de financiación: no se recibió ninguna financiación externa para el desarrollo de este artículo.
Contribución de los autores
– Concepción y diseño del estudio: Cristina Martínez-Hincapié, Jorge lván Sierra-Jaramillo, Alejandro Carvajal-López, Santiago Salazar-Ochoa
– Adquisición de bibliografía: Santiago Salazar-Ochoa, Pablo Posada-Moreno, Mariana Llano-Herrera.
– Revisión, análisis y síntesis de bibliografía: Cristina Martínez-Hincapié, Jorge lván Sierra-Jaramillo, Alejandro Carvajal-López, Santiago Salazar-Ochoa, Pablo Posada-Moreno, Mariana Llano-Herrera.
– Redacción del manuscrito: Cristina Martínez-Hincapié, Jorge lván Sierra-Jaramillo, Alejandro Carvajal-López, Santiago Salazar-Ochoa, Pablo Posada-Moreno, Mariana Llano-Herrera.
– Revisión crítica: Cristina Martínez-Hincapié, Jorge lván Sierra-Jaramillo, Alejandro Carvajal-López.
Referencias – Trauma de Recto Penetrante
1. Kaiser AM, Ortega AE. Anorectal anatomy. Surg Clin North Am. 2002;82:1125-38. https://doi.org/10.1016/s0039-6109(02)00056-7
2. Netz U, Galandiuk S. Clinical anatomy for procedures involving the small bowel, colon, rectum, and anus. In: Fischer JE, Ellison EC, Upchurch GR, Galandiuk S, Gould JC, Klimberg VS, et al., editors. Fischer’s mastery of sur-gery. Seventh Edition. Philadelphia: Wolters Kluwer; 2018. p. 1675-1687.
3. Clemens MS, Peace KM, Yi F. Rectal trauma: Evidence-based practices. Clin Colon Rectal Surg. 2018;31:17-23. https://doi.org/10.1055/s-0037-1602182
4. El Lakis MA, Rida K, Nakhle R, Saad GA. Complex rectal and anal canal injuries secondary to unusual blunt peri-neal trauma. BMJ Case Rep. 2014;2014:bcr2014206060. https://doi.org/10.1136/bcr-2014-206060
5. Navsaria PH, Edu S, Nicol AJ. Civilian extraperitoneal rectal gunshot wounds: surgical management made simpler. World J Surg. 2007;31:1345-51. https://doi.org/10.1007/s00268-007-9045-z
6. Bosarge PL, Como JJ, Fox N, Falck-Ytter Y, Haut ER, Do-rion HA, et al. Management of penetrating extraperi-toneal rectal injuries: An Eastern Association for the Surgery of Trauma practice management guideline. J Trauma Acute Care Surg. 2016;80:546-51. https://doi.org/10.1097/TA.0000000000000953
7. Brown CVR, Teixeira PG, Furay E, Sharpe JP, Musonza T, Holcomb J, et al. Contemporary management of rectal injuries at Level I trauma centers: The results of an American Association for the Surgery of Trauma multi-institutional study. J Trauma Acute Care Surg. 2018;84:225-33. https://doi.org/10.1097/TA.0000000000001739
8. Ahern DP, Kelly ME, Courtney D, Rausa E, Winter DC. The management of penetrating rectal and anal trauma: A systematic review. Injury. 2017;48:1133-8. https://doi.org/10.1016/j.injury.2017.03.002
Bibliografías – Trauma de Recto Penetrante
9. Shatnawi NJ, Bani-Hani KE. Management of civilian ex-traperitoneal rectal injuries. Asian J Surg. 2006;29:11-6. https://doi.org/10.1016/S1015-9584(09)60286-4
10. Barillaro G, Gatica S, Escudero E, Jimenez L, Martini M. Morbimortalidad del traumatismo de recto extraperi-toneal. ABCD Arq Bras Cir Dig. 2008;21:6-11. https://doi.org/10.1590/S0102-67202008000100002
11. Aihara R, Blansfield JS, Millham FH, LaMorte WW, Hir-sch EF. Fracture locations influence the likelihood of rectal and lower urinary tract injuries in patients sus-taining pelvic fractures. J Trauma. 2002;52:205-9. https://doi.org/10.1097/00005373-200202000-00001
12. Anderson SW, Soto JA. Anorectal trauma: the use of computed tomography scan in diagnosis. Semin Ul-trasound CT MR. 2008;29:472-82. https://doi.org/10.1053/j.sult.2008.10.004
13. Shlamovitz GZ, Mower WR, Bergman J, Crisp J, DeVore HK, Hardy D, et al. Poor test characteristics for the di-gital rectal examination in trauma patients. Ann Emerg Med. 2007;50:25-33. https://doi.org/10.1016/j.annemergmed.2007.01.022
14. Joseph DK, Kunac A, Kinler RL, Staff I, Butler KL. Diagnosing blunt hollow viscus injury: is computed tomography the answer? Am J Surg. 2013;205:414-8. https://doi.org/10.1016/j.amjsurg.2012.12.003
15. Bhagvan S, Turai M, Holden A, Ng A, Civil I. Predicting hollow viscus injury in blunt abdominal trauma with computed tomography. World J Surg. 2013;37:123-6. https://doi.org/10.1007/s00268-012-1798-3
16. Matsushima K, Mangel PS, Schaefer EW, Frankel HL. Blunt hollow viscus and mesenteric injury: still underrecognized. World J Surg. 2013;37:759-65. https://doi.org/10.1007/s00268-012-1896-2
Lecturas Recomendadas – Trauma de Recto Penetrante
17. Dreizin D, Boscak AR, Anstadt MJ, Tirada N, Chiu WC, Munera F, et al. Penetrating colorectal injuries: Diag-nostic performance of multidetector CT with trajectography. Radiology. 2016;281:749-62. https://doi.org/10.1148/radiol.2015152335
18. Drasin TE, Anderson SW, Asandra A, Rhea JT, Soto JA. MDCT evaluation of blunt abdominal trauma: clinical significance of free intraperitoneal fluid in males with absence of identifiable injury. AJR Am J Roentgenol. 2008;191:1821-6. https://doi.org/10.2214/AJR.07.3347
19. Trust MD, Veith J, Brown CVR, Sharpe JP, Musonza T, Holcomb J, et al. Traumatic rectal injuries: Is the combination of computed tomography and rigid proctoscopy sufficient? J Trauma Acute Care Surg. 2018;85:1033-7. https://doi.org/10.1097/TA.0000000000002070
20. Welling DR, Hutton JE, Minken SL, Place RJ, Burris DG. Diversion defended-military colon trauma. J Trauma. 2008;64:1119-22. https://doi.org/10.1097/01.ta.0000222647.98722.9d
21. van Waes OJF, Halm JA, Vermeulen J, McAlister VC. Treatment of rectal war wounds. J R Army Med Corps. 2014;160:255-7. https://doi.org/10.1136/jramc-2013-000144
22. O’Donnell MT, Greer LT, Nelson J, Shriver C, Vertrees A. Diversion remains the standard of care for modern management of warrelated rectal injuries. Mil Med. 2014;179:778-82. https://doi.org/10.7205/MILMED-D-13-00533
23. Steele SR, Wolcott KE, Mullenix PS, Martin MJ, Sebesta JA, Azarow KS, Beekley AC. Colon and rectal injuries du-ring Operation Iraqi Freedom: are there any changing trends in management or outcome? Dis Colon Rectum. 2007;50:870-7. https://doi.org/10.1007/s10350-007-0235-4
24. Brown SR, Swisher JP, Hofmann LJ, Coviello LC, Davis KG. Surgical management and associated complications of penetrating rectal injuries sustained in Iraq and Afghanistan. Mil Med. 2013;178:1213-7. https://doi.org/10.7205/MILMED-D-13-00167
Referencias Bibliográficas – Trauma de Recto Penetrante
25. Herzig DO. Care of the patient with anorectal trauma. Clin Colon Rectal Surg. 2012;25:210-3. https://doi.org/10.1055/s-0032-1329391
26. Demetriades D, Murray JA, Chan L, Ordoñez C, Bowley D, Nagy KK, et al. Penetrating colon injuries requiring resection: diversion or primary anastomosis? An AAST prospective multicenter study. J Trauma. 2001;50:765-75. https://doi.org/10.1097/00005373-200105000-00001
27. Weinberg JA, Fabian TC, Magnotti LJ, Minard G, Bee TK, Edwards N, et al. Penetrating rectal trauma: ma-nagement by anatomic distinction improves outcome. J Trauma. 2006;60:508-14. https://doi.org/10.1097/01.ta.0000205808.46504.e9
28. Papadopoulos VN, Michalopoulos A, Apostolidis S, Pa-ramythiotis D, Ioannidis A, Mekras A, et al. Surgical management of colorectal injuries: colostomy or primary repair? Tech Coloproctology. 2011;15 Suppl 1:S63-6. https://doi.org/10.1007/s10151-011-0734-0
29. Cleary RK, Pomerantz RA, Lampman RM. Colon and rectal injuries. Dis Colon Rectum. 2006;49:1203-22. https://doi.org/10.1007/s10350-006-0620-y
30. Savoie KB, Beazley TM, Cleveland B, Khaneki S, Markel TA, Hammer PM, et al. The utility of presacral drainage in penetrating rectal injuries in adult and pediatric patients. J Surg Res. 2017;219:279-87. https://doi.org/10.1016/j.jss.2017.05.056
31. Steele SR, Maykel JA, Johnson EK. Traumatic injury of the colon and rectum: the evidence vs dogma. Dis Colon Rectum. 2011;54:1184-201. https://doi.org/10.1007/DCR.0b013e3182188a60
32. Navsaria PH, Shaw JM, Zellweger R, Nicol AJ, Kahn D. Diagnostic laparoscopy and diverting sigmoid loop colostomy in the management of civilian extraperito-neal rectal gunshot injuries. Br J Surg. 2004;91:460-4. https://doi.org/10.1002/bjs.4468
33. Ahmed N, Thekkeurumbil S, Mathavan V, Janzen M, Tasse J, Chung R. Simplified management of low-ener-gy projectile extraperitoneal rectal injuries. J Trauma. 2009;67:1270-1. https://doi.org/10.1097/TA.0b013e318187ad14
Autores – Trauma de Recto Penetrante
1 Cristina Martínez-Hincapié, Jorge Iván Sierra-Jaramillo, Médico, especialista en Cirugía general y Cirugía de Colon y recto, Hospital Pablo Tobón Uribe, Medellín, Colombia.
2 Alejandro Carvajal-López, Médico, especialista en Cirugía general, Hospital Pablo Tobón Uribe, Medellín, Colombia.
3 Santiago Salazar-Ochoa, Pablo Posada-Moreno, Médico, residente de Cirugía General, Universidad Pontificia Bolivariana, Medellín, Colombia.
4 Mariana Llano-Herrera, Médica Interna, Universidad CES, Medellín, Colombia
Fecha de recibido: 28/06/2021 – Fecha de aceptación: 20/09/2021 – Publicación en línea: 05/04/2022
Correspondencia: Santiago Salazar Ochoa, Circular 2 # 73-60 Interior 202, Medellín, Colombia. Teléfono: +57 300 220 5588.
Correo electrónico: santiago.salazar.ochoa1190@gmail.com
Citar como: Martínez-Hincapié C, Sierra-Jaramillo JI, Carvajal-López A, Salazar-Ochoa S, Posada-Moreno P, Llano-Herrera M. Trauma de recto penetrante: revisión de tema. Rev Colomb Cir. 2022;37:469-79. https://doi.org/10.30944/20117582.941
Este es un artículo de acceso abierto bajo una Licencia Creative Commons – BY-NC-ND https://creativecommons.org/licenses/by-nc-nd/4.0/deed.es





