En algunos casos, la presencia de una masa abdominal localizada en el hígado, asociada a hipoglucemia de difícil tratamiento o intratable, podría llevar a la sospecha de un tumor fibroso solitario del hígado 10,18- 20,26. Habitualmente, la sospecha clínica de un tumor abdominal posiblemente localizado en el hígado, lleva al estudio radiológico que, generalmente, se inicia con una ecografía abdominal seguida por una tomografía computadorizada; en otros casos, el estudio se complementa con una resonancia magnética y una tomografía de emisión de positrones 25-28. Los estudios radiológicos son, sin embargo, inespecíficos y, si bien pueden sugerir la presencia de un tumor fibroso solitario del hígado, no pueden distinguir entre tumores hepáticos benignos y malignos 15,17,25,27,29.
Ecografía
Habitualmente identifica la presencia de una gran masa sólida heterogénea y, en algunos casos, homogénea, hiperecogénica comparada con el parénquima hepático normal, de forma ovoidea, en la que ocasionalmente se observan imágenes quísticas intratumorales, las cuales se encuentran bien delimitadas 10,13,14,20,25-28.
Tomografía computadorizada de abdomen
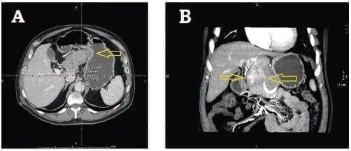
La tomografía computadorizada (TC) de abdomen con administración de contraste intravenoso, demuestra una gran masa hepática hipodensa, heterogénea, muy irrigada y bien delimitada por una cápsula que se intensifica en la fase arterial temprana (30 segundos) (figura 1A) 10,14,15,17,26-30. En la fase portal (1 minuto), se identifican múltiples áreas hipodensas de intensidad variable (figura 1B) 13,15,17,25-27. Durante la fase venosa más tardía (5 minutos), el aumento de la densidad de la tumoración alcanza su máxima expresión 26. Es posible observar áreas de necrosis dentro del tumor y calcificaciones en su cápsula 11,18,20,28, características que podría llevar a diagnosticar el tumor como un quiste hepático con múltiples tabiques 12. Estas imágenes quísticas no se modifican durante todas las fases del estudio 26.
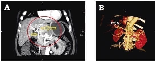
Habitualmente, la masa tumoral desplaza los órganos adyacentes (figura 2A) y comprime los vasos arteriales y venosos cercanos (figura 2B) 12,18,25. Ocasionalmente, puede presentarse compresión de la vía biliar 25. Mediante el uso de angiografía computadorizada y reconstrucción tridimensional, es posible observar que los vasos del tumor se originan de ramas de la arteria hepática (figura 3) 12,20.
Figura 1. Tomografía abdominal computadorizada. A. Fase arterial temprana en la que se observa un tumor fibroso solitario como una masa hepática hipodensa, heterogénea, muy irrigada, bien definida y delimitada por una cápsula gruesa en un paciente de 58 años de edad. B. Fase portal, en la cual es posible identificar un tumor fibroso solitario del hígado con múltiples áreas hipodensas con diferentes grados de realce.
Figura 2. A. Tumor fibroso solitario del hígado que desplaza la pared gástrica. B. Vasos sanguíneos desplazados y comprimidos por un tumor fibroso solitario hepático adyacente.
Figura 3. A. Irrigación arterial del tumor hepático, que se origina de la arteria hepática. B. Reconstrucción tridimensional que muestra los vasos que irrigan el tumor.
Resonancia magnética del abdomen
Los hallazgos radiológicos de la resonancia magnética (RM) del abdomen son similares a los descritos para en la TC 17,27,30. El aumento de la densidad del tumor fibroso solitario del hígado es progresivo en la RM, lo que sugiere la presencia de un estroma fibroso compuesto por colágeno 28. En las imágenes T1, el tumor se observa como una masa heterogénea e hipodensa, comparada con el parénquima hepático normal 27,28. La imágenes T2 muestran áreas hipodensas e hiperdensas 25,27,28, incluyendo áreas isodensas comparadas con el líquido cefalorraquídeo 25. La variedad de áreas hipodensas e hiperdensas, sugiere la presencia de necrosis o degeneración quística 27. La inyección de un bolo de contraste de gadolinio, produce un importante aumento progresivo de la densidad del tumor desde su centro hacia la periferia y aumento de la heterogeneidad 25,26,28.
Tomografía por emisión de positrones
La utilidad de la tomografía por emisión de positrones para estudiar el tumor fibroso solitario del hígado, no se ha establecido. Se ha descrito un aumento de la densidad del tumor, comparado con el parénquima hepático normal 28. Posiblemente, en los casos de sospecha de carcinogenia o en la estadificación de un tumor fibroso solitario del hígado de carácter maligno, la tomografía por emisión de positrones tendría utilidad para identificar metástasis.
Cirugía
El tumor fibroso solitario del hígado se considera de comportamiento benigno, asintomático y con potencial maligno. Debido a que su frecuencia es muy baja, no se han publicado grandes series con seguimiento a largo plazo y tampoco se han realizado estudios clínicos; por esta razón, el diagnóstico, el tratamiento y el pronóstico no están claramente establecidos.
Habitualmente, la cirugía está indicada en los tumores benignos, como el adenoma hepático, el hemangioma y la hiperplasia nodular focal, por la imposibilidad de descartar la presencia de un tumor maligno o porque los síntomas relacionados con el tumor afectan la calidad de vida del paciente o la ponen en peligro 31,32. Se ha demostrado que la remoción quirúrgica de tumores hepáticos benignos, es segura y recomendable 33,34; sin embargo, debe evaluarse cuidadosamente en cada caso 33.
La resección quirúrgica es la única opción terapéutica disponible en el tumor fibroso solitario del hígado, por lo cual, fue el tratamiento utilizado en todos los casos reportados; no obstante, no está exenta de graves complicaciones 35. Se ha descrito una gran variedad de procedimientos quirúrgicos para la remoción del tumor fibroso solitario del hígado; en todos los casos se debe lograr una resección R0, la cual mejora el pronóstico de supervivencia a los cinco años 36. Cuando el tumor comprometa una parte del lóbulo hepático derecho o del izquierdo, la solución ha sido una hepatectomía formal derecha o izquierda, o alguna combinación de segmentectomías, según el grado de compromiso hepático 7, 8,10-20,23-29,35. En un caso, el tumor fibroso solitario del hígado pendía del lóbulo caudado, por lo cual la resección del pedículo tumoral se consideró suficiente (figura 4).
Figura 4. A. Tumor fibroso solitario del hígado que “cuelga” del lóbulo caudado. B. Vista del mismo tumor in situ, antes de la resección quirúrgica.
Características histopatológicas
El tumor fibroso solitario es una neoplasia infrecuente de células fusiformes, que se presenta en múltiples y diversas localizaciones del organismo humano. Se encuentra con mayor frecuencia en la pleura y su desarrollo en el hígado es relativamente raro. Los tumores fibrosos solitarios se originan en células del mesénquima y representan un grupo diverso de tumores benignos y malignos 37. El diagnóstico definitivo depende de ciertas características histológicas y morfológicas, evidenciadas por tinciones inmunohistoquímicas y análisis molecular 2.
Aspecto macroscópico
Los tumores fibrosos solitarios del hígado son de aspecto multilobulado o multinodular, bien circunscritos; están delimitados por una gruesa cápsula suave y fibrosa de color blanquecino nacarado, son de consistencia firme y elástica, y pueden presentar degeneración quística y necrosis (figura 5) 7,8,11,18,20,24. Al corte, se observan áreas fibrosas, fasciculadas, irregulares y amarillentas, intercaladas con áreas blanquecinas y blandas, y degeneración mixoide focal; también, es posible observar áreas de degeneración quística, necrosis y, ocasionalmente, hemorragia 13,17,20,26,35. El tamaño es variable, pero habitualmente es mayor de 10 cm de diámetro; en algunos casos, alcanzan hasta 30 cm o más de diámetro 7,11-13,17,20,24,26,29,35. El peso de estos tumores depende del tamaño alcanzado; en algunos casos, se han reportado tumores fibrosos solitarios del hígado que pesan entre 2,8 y 4,7 kg 11,13,20,24,26,29,35.
Figura 5. Pieza quirúrgica resecada: tumor fibroso solitario del hígado. Este espécimen muestra todas las características macroscópicas habitualmente descritas: es una tumoración multilobulada, multinodular, bien circunscrita y delimitada por una cápsula blanquecina fibrosa, suave, gruesa, firme y elástica.
Aspecto microscópico
Con la tinción de hematoxilina y eosina, los tumores fibrosos solitarios se caracterizan por presentar un gran rango de características morfológicas; varían desde aquellos predominantemente fibrosos, que contienen grandes áreas de fibras de colágeno y vasos sanguíneos de paredes gruesas y hialinas, hasta tumores menos fibrosos y con mayor contenido celular 10,38.
Habitualmente, se caracterizan por áreas radiadas hipocelulares o acelulares hialinas ricas en colágeno, que alternan con áreas pobladas por células fusiformes y ovoideas, con núcleos elongados que se distribuyen desordenadamente 2,7,8,10,11,17,20,23,25,35. La necrosis es frecuente en los casos benignos y malignos 8,13,20,24,25,37.
En los tumores malignos es posible apreciar atipias nucleares y figuras mitóticas, que no se observan en los casos benignos 7,8,23,24,25,37. Los tumores benignos presentan escasas atipias o pleomorfismo celular, y es notoria la ausencia de mitosis o infiltración celular inflamatoria 10,14,17,20,35. Los tumores malignos presentan pleomorfismo nuclear y nucléolos prominentes 7,24,37.
Otra característica de los tumores fibrosos solitarios del hígado es un patrón vascular “enmarañado” con numerosos vasos de paredes gruesas, por lo cual estos tumores se clasificaron en la antigüedad como hemangiopericitomas 8,11,25,37,38. En un elegante artículo, Gengler y Guillou describieron dos tipos de presentación histológica básica en los tumores fibrosos solitarios: una forma fibrosa y otra celular (tabla 2) 38.
Tabla 2.
Tipos histológicos de los tumores fibrosos solitarios, según Gengler y Guillou38
