Sale por el foramen estilomastoideo posterior a la estiloides y se dirige a la glándula parótida donde justo antes de entrar se divide en dos, superior e inferior y al continuar su curso anterior va lateral a la vena retromandibular que se constituye en la marca quirúrgica para dividir la glándula en porciones superficial y profunda (Figura 9).

Figura 9. TC axial que muestra la vena retromandibular como referencia para el segmento
extracraneal del facial que cursa lateral a esta.
En Resonancia Magnética el uso de las secuencias convencionales o mejor aún con la aparición de nuevas secuencias rápidas que permiten secciones inframilimétricas es posible una adecuada visualización en sus diferentes porciones (Figura 10).

Figura 10. Segmento timpánico del nervio facial en proyección axial.

Figura 11.Imagen semisagital que permite la identificación por supuesto del canal del facial,
ganglio geniculado, 2a y 3era porciones del nervio facial.

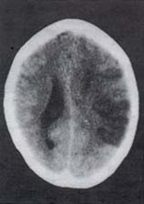
Figura 12.TC que muestra un infarto agudo parietal izquierdo.
También la Resonancia Magnética con su mejor resolución de contraste y el empleo de secuencias T1 y T2 permiten una mejor definición de la parte extracraneal.
Tanto con técnicas de supresión de grasa y la capacidad de realizar cortes multiplanares se constituye en un método importante para la valoración de este segmento.
La evaluación de los pacientes con disfunción facial por imágenes dependerá entonces de la localización clínica de la lesión. Esta puede ser central o periférica. Las centrales se caracterizan por respetar la porción superior de la cara y usualmente estan asociadas a otros déficits motores como hemiparesia y el estudio de Tomografía computarizada se constituye en el examen de elección inicialmente.
La mayoría de las parálisis periféricas son idiopáticas o de Bell y las imágenes se reservan para aquellas que presentan una evolución atípica para la exclusión de otras posibles causas.
La elección de la modalidad de imagen dependerá de la localización de la lesión.
Desde este punto de vista se consideran entonces tres segmentos de la vía motora:
1. Núcleo motor, fascículo y la porción del nervio en el ángulo pontocerebeloso y conducto auditivo interno.
2. El segmento intratemporal
3. La porción extracraneal (1).
Por las lesiones que afectan la primera porción la Resonancia Magnética es el examen de elección.
La patología más común que compromete el núcleo o fascículo es la esclerosis múltiple. La definición además de la presencia de las lesiones características periventriculares permiten su confirmación (Figuras 13 y 14).

Figuras 13 y 14.RM ponderada en densidad de protones y T2 mostrando las características
lesiones infra y supratentoriales de esclerosis múltiple.
Pequeños infartos pontinos también pueden comprometer los núcleos (Figura 15)

Figura 15. Infartos pontinos
Otras lesiones como malformaciones vasculares arteriovenosas y/o aneurismas gigantes pueden ser causa de su alteración (Figuras 16 y 17).

Figura 16.Extensa malformación arterio-venosa con un componente dural proyectado
a la cisterna pontocerebelosa.

Figura 17. Aneurisma gigante vertebro-basilar izquierdo parcialmente trombosado con efecto
de masa sobre el contenido cisternal pontocerebeloso.