Presentación de un Caso Clínico de la Fundación Cardioinfantil
Gastelbondo R1., Rojas M2.
1Nefrólogo Pediatra FCI-CIC, Profesor Universidad del Rosario; 2Residente II Universidad del Rosario.
* Resumen del trabajo presentado en el XXIII Congreso Colombiano de Pediatría – Cartagena.
Introducción
La displasia-hipoplasia renal resulta de una alteración de la organogénesis renal, se presenta en 1 de cada 4300 nacidos vivos, como un razgo autosómico dominante, más común en el sexo masculino y predominando en el riñón izquierdo. Se asocia a anormalidades renales contralaterales en el 20-75% y a reflujo vesicoureteral en el 40 %.
Materiales y Métodos
Se reporta el caso de un paciente masculino de nueve meses de edad, que consulta por fiebre de 20 días de evolución, asociado a marcada hiporexia. Anteriormente había presentado episodios febriles recurrentes, sin foco aparente. Al examen con signos de deshidratación. Paraclínicos demostraron leucocitosis y un urocultivo positivo para Eschericha coli.
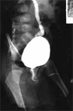
Ecografia renal: riñón derecho disminuido de tamaño, con dilatación ureteral sin hidronefrosis. Gamagrafía con DMSA: riñón derecho hipotrófico, con un área de retracción en el tercio medio y un aporte diferencial del 7%, riñón izquierdo normal con aporte del 93%. Cistouretrografía miccional: reflujo vesicoureteral grado III izquierdo.
Se realizó nefrectomía derecha, cuya descripción histopatológica confirmó el diagnostico de displasia-hipoplasia renal.
|
|
|
|
|
Figura 3. Cistografía |
Discusión
La hipoplasia-displasia renal es una patología que hoy se denomina con el término de disgenesia renal, poco frecuente y que se confunde con pielonefritis y reflujo vesicoureteral en lactantes menores, siendo una nefropatía embrionaria fetal. El diagnóstico se hace por estudio histopatológico.
Conclusiones
Es función del pediatra, hacer el diagnóstico diferencial de pielonefritis con reflujo vs. hipoplasia-displasia en el lactante menor.








