La clásica división según su histología continúa siendo la misma de muchos años. El tipo más común es el papilar (80%), afortunadamente el de mejor pronóstico, seguido por tumores de mayor agresividad, en orden creciente el folicular (10%), el medular (5-10%), el de Hürthle –una variante del folicular– (2-3%) y el anaplásico (1-2%), que sigue causando una mortalidad del 100% a cinco años. Otros tumores más raros son los linfomas primarios de tiroides y los sarcomas (5,6).
Cánceres diferenciados y otros tumores malignos de la tiroides
La unidad anatómica y funcional de la glándula tiroides es el folículo, que tiene células epiteliales donde se forma la tiroxina, que rodean un espacio en el cuál se deposita el coloide. En estas células se originan tanto los adenomas benignos como los tumores malignos diferenciados, que son la gran mayoría.
En estos cánceres, las células se parecen mucho al tejido normal de la tiroides cuando se observan en un microscopio. Se trata de los carcinomas papilar, folicular y de células de Hürthle. Otros tipos de cánceres tiroideos menos comunes son el carcinoma medular, el insular (pobremente diferenciado) y el anaplásico (indiferenciado).
Figura 1. Ultrasonografía de un paciente con carcinoma papilar en el lóbulo izquierdo. La masa observada es grande e hipoecoica, que infiltra marcadamente el lóbulo izquierdo. Aunque no hay una evidencia definida de microcalcificaciones, los márgenes del tumor están pobremente definidos y hay ausencia de un halo hipoecoico claro alrededor de la masa. Ecografía por cortesía del Dr. Ravi Kadasne para el portal https://www.ultrasound-images.com/thyroid.htm
a. Carcinoma papilar. El más común de todos; originado generalmente en un solo lóbulo de la tiroides. A pesar de su lento crecimiento, se propaga a ganglios cervicales con frecuencia. Su tratamiento es exitoso, su pronóstico muy bueno, pero se presentan recaídas hasta en uno de cada tres casos.
Generalmente se presenta en mujeres en edad reproductiva con las características clínicas de curso lento y escasa mortalidad, aunque el proceso cambia en los niños y en los mayores de 70 años. En el grupo que ha recibido previamente radioterapia de cabeza y cuello –en la posguerra era común en los Estados Unidos irradiar las amígdalas hipertróficas de los niños– el cáncer tiende a ser multifocal, metastatiza a ganglios linfáticos tempranamente y su pronóstico ya no es tan bueno (7-11).
Un subtipo del carcinoma papilar, el subtipo folicular (o variante folicular-papilar mixta) se ve con más frecuencia. La forma habitual de carcinoma papilar y el subtipo folicular tienen el mismo pronóstico favorable cuando se descubren temprano y su tratamiento es el mismo.
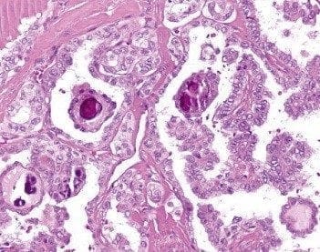
Estos cánceres presentan papilas histológicamente, y también los característicos “cuerpos psamoma” en la mitad de los casos. Existen también otros subtipos menos frecuentes y más agresivos (Figura 2). (Vea también: Revisión tema, Cáncer diferenciado de tiroides)
Figura 2. Carcinoma papilar, con inclusiones de cuerpos psamoma.
Los carcinomas papilares pueden ser multifocales hasta en un 50%, generalmente no invaden la cápsula y en un 50% presentan compromiso ganglionar. El pronóstico de supervivencia es 90% y hasta en un 98%, en pacientes jóvenes. Sin embargo, pueden presentar altas tasas de morbilidad debido a recaídas en un 30% y la causada por tratamientos repetidos (5-9).
Los adultos mayores que tienen enfermedad tumoral más limitada, paradójicamente tienen mayor supervivencia que lo que indicarían su edad y sexo, en comparación con adultos jóvenes o aquellos mayores de 45 años que presentan metástasis a distancia (12).
b. Carcinoma folicular. Este tipo de cáncer tiroideo –uno de cada diez casos– es generalmente más visto en regiones que han tenido bocio endémico, y en donde no es infrecuente que pueda haber una ingesta pobre de yodo (o por el contrario, a veces excesiva debido a agresivas políticas de suministro de sal yodada).
Solo un 5% se disemina a los ganglios linfáticos cervicales pero como su diseminación es hematógena, puede en cambio propagarse a otras partes (pulmones, huesos). El pronóstico –aunque bueno– no es tan favorable como el del carcinoma papilar (8).
No es posible determinar citológicamente la posible malignidad de un nódulo folicular por solo BACAF (80% son benignos) y se requiere lobectomía para confirmar si hay cáncer (5, 6,8).
d. Carcinoma de células de Hürthle. Conocido igualmente como de células oxifílicas, es una variante de carcinoma folicular y se observa en 3% de los casos de cáncer de tiroides. Como es menos probable que capte el yodo radiactivo, será más difícil de diagnosticar y la ablación radionuclear no funcionará bien.
Los restantes tipos de cáncer de tiroides ocurren con menos frecuencia y su pronóstico varía de acuerdo al estado o a la histología, llegando a ser francamente malo en el caso de los tumores anaplásicos. Estos son:
e. Carcinoma medular tiroideo. Se origina en las células C (parafoliculares) de la tiroides, son productoras de la hormona hipocalcemiante calcitonina; cuando se malignizan, producen excesivamente calcitonina, o igualmente son estimuladas con pentagastrina (8).
También producen antígeno carcinoembrionario, conocido con las siglas CEA. A veces se puede propagar a ganglios linfáticos, pulmones o hígado, habiéndose detectado previamente o no, un nódulo tiroideo. También tiene el problema de no captar yodo radiactivo, por lo que su diagnóstico original y de presencia de metástasis, así como de su tratamiento, se dificulta.
La mayoría de los casos son esporádicos y se presentan en adultos mayores, con compromiso de un solo lóbulo tiroideo. Cuando son familiares, se desarrollan durante la niñez o juventud, propagándose tempranamente y tienen presencia multifocal en ambos lóbulos.
Este es el tipo de tumor que puede hacer parte de la neoplasia endocrina múltiple (síndromes de MEN), que presenta tumores benignos o malignos en otras glándulas endocrinas como islotes pancreáticos, paratiroides, suprarrenales, etc. (5,6).
f. Carcinoma anaplásico. Es indiferenciado y afortunadamente una forma poco común (1- 2%). Algunas veces se origina en cánceres papilares o foliculares ya presentes. Tiene evolución rápida y desenlace fatal, generalmente en menos de un año.
Otros tumores malignos originados en la glándula tiroides son los linfomas y los sarcomas, que por su rareza no los discutiremos en este artículo (8).
Factores predisponentes
Como factores que inciden en la etiología, además de los hereditarios y cambios de tipo genético, debemos mencionar la radiación cervical en niños y adolescentes (pero no con el uso diagnóstico o terapéutico de yodo radiactivo).
En algunos bocios generados por defectos enzimáticos en la formación de las hormonas tiroideas, la TSH elevada que se asocia con ellos puede jugar un papel en el desarrollo de carcinomas tiroideos (6,7).
En zonas yodo deficientes se ve un número relativamente menor de carcinomas papilares y algo más de foliculares y anaplásicos. La ingesta crónica de yodo en exceso puede también jugar un papel.


