La ortodoncia es una especialidad de la odontología que diagnostica, previene y corrige las alteraciones o anomalías de la estructura dental (dentomaxilofaciales). En esta publicación te contamos los mejores tratamientos disponibles en ortodoncia en la actualidad. Entérate en qué consisten, cuánto duran y algunas consideraciones importantes para tener en cuenta.
Tratamientos de ortodoncia con mejores resultados y tecnología avanzado
Alineadores invisibles:Son placas transparentes y removibles que se adaptan perfectamente a los dientes y están diseñadas para corregir gradualmente la mala oclusión. Son una opción popular para los pacientes que desean un tratamiento discreto. Publicidad |
![]() |
Brackets autoligables:Son brackets convencionales con un mecanismo de cierre automático que hace que sea más fácil y rápido para el ortodoncista colocarlos y ajustarlos, lo que resulta en un tratamiento más eficiente y cómodo para el paciente. |
![]() |
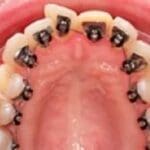
Ortodoncia lingual oculta:Se colocan en la parte trasera de los dientes, lo que los hace completamente invisibles desde el exterior. Es una opción adecuada para pacientes que desean un tratamiento discreto y estéticamente atractivo |
![]() |
Terapia de arco personalizado con tecnología 3D:Es un tratamiento basado en un modelo digital 3D de los dientes del paciente, que permite una planificación y fabricación precisa y personalizada de los arcos ortodónticos. Esto resulta en un tratamiento más eficiente y predecible con resultados más óptimos. |
![]() |
Cabe señalar que estos no son los únicos tratamientos de ortodoncia disponibles, y que el tratamiento más adecuado depende de la gravedad de la mala oclusión y las preferencias individuales del paciente.
¿Por qué son los mejores tratamientos?
Estos tratamientos son considerados los mejores debido a las siguientes características:
Alineadores invisibles: Son discretos y cómodos de usar. También permiten una corrección gradual y predecible de la mala oclusión.
Brackets autoligables: Son más cómodos de usar y requieren menos visitas de ajuste que los brackets convencionales. Además, tienen una eficacia comparables a la de los brackets convencionales.
Ortodoncia lingual oculta: Son completamente invisibles desde el exterior, lo que los hace atractivos para pacientes preocupados por su apariencia durante el tratamiento.
Terapia de arco personalizado con tecnología 3D: Permiten una planificación y fabricación precisa y personalizada de los arcos ortodónticos, lo que resulta en un tratamiento más eficiente y predecible con resultados más óptimos.
Es importante destacar que estos tratamientos son los mejores en comparación con otros tratamientos de ortodoncia disponibles y que la mejor opción depende de la gravedad de la mala oclusión y las preferencias individuales del paciente. Por lo tanto, es importante consultar a un ortodoncista para una evaluación y recomendación personalizada.
¿Cuánto dura cada tratamiento?
El tiempo promedio de duración de cada tratamiento de ortodoncia varía dependiendo del tipo de tratamiento y de la gravedad de la mala oclusión. Aquí está una estimación aproximada:
Alineadores invisibles: De 6 a 18 meses en promedio.
Brackets autoligables: De 12 a 24 meses en promedio.
Ortodoncia lingual oculta: De 12 a 24 meses en promedio.
Terapia de arco personalizado con tecnología 3D: De 12 a 24 meses en promedio.
Es importante destacar que estos son tiempos promedio y que la duración exacta del tratamiento depende de cada caso individual. Un ortodoncista puede proporcionar una estimación más precisa de la duración del tratamiento después de una evaluación detallada.
Consideraciones importantes en Tratamientos de Ortodoncia
Antes de comenzar cualquier tratamiento de ortodoncia, es importante tener en cuenta los siguientes factores:
A. Evaluación personalizada por un ortodoncista:
Una evaluación detallada por un profesional capacitado es necesaria para determinar la gravedad de la mala oclusión y recomendar el tratamiento adecuado.
B. Costo:
El costo de los tratamientos de ortodoncia varía y puede ser elevado. Es importante hablar con el ortodoncista sobre los costos y opciones de financiamiento antes de comenzar el tratamiento.
C. Compromiso:
Cualquier tratamiento de ortodoncia requiere un compromiso por parte del paciente para mantener una buena higiene bucal y seguir las instrucciones del ortodoncista.
D. Tiempo:
Los tratamientos de ortodoncia requieren tiempo y paciencia, ya que pueden durar varios meses o incluso años. Es importante tener en cuenta este factor antes de comenzar el tratamiento.
En conclusión, los tratamientos de ortodoncia con mejores resultados y mejor tecnología incluyen alineadores invisibles, brackets autoligables, ortodoncia lingual oculta y terapia de arco personalizado con tecnología 3D.
Cualquier decisión sobre el tratamiento adecuado debe ser hecha en conjunto con un ortodoncista capacitado y después de considerar todos los factores relevantes, como la gravedad de la mala oclusión, el costo y el compromiso del paciente.











