Congenital lobar hyperinsuflation
Historia clínica
Paciente de seis meses de edad, de sexo masculino, con disnea progresiva de un mes de evolución. Al examen físico se evidenció disminución de los ruidos respiratorios en hemitórax derecho. En la historia clínica no se consignaron antecedentes de importancia. (Ver también: Hiperplasia adenomatosa atípica del pulmón)

Figura 1. Radiografía convencional (A-P y lateral). Imagen radiolúcida apical derecha por sobreinsuflación del lóbulo superior,
evidenciada por la posición de la linea de unión mediastinal anterior. Compresión del parénquima pulmonar del lóbulo medio.
Aura Lucía Rivera B., MD*; Jorge Alberto Carrillo B., MD**; Paulina Ojeda L. , MD***
*Médica Radióloga. Hospital Santa Clara. Universidad El Bosque.
**Médico Radiólogo. Hospital Santa Clara. Universidad Nacional de Colombia.
***Médica Patóloga. Hospital Santa Clara. Universidad El Bosque.
Discusión sobre la hiperinsuflación lobar congénita
El término de hiperinsuflación lobar congénita o enfisema lobar congénito se refiere a la sobreinsuflación progresiva de uno o dos lóbulos pulmonares. Se acepta que hay un aumento en la cantidad de aire contenido dentro del alvéolo, secundario a un mecanismo de válvula, generalmente condicionado por una obstrucción central de la vía aérea. (1, 2, 3)
La causa de la obstrucción no ha sido bien definida en los espécimenes de necropsia, encontrándose aplasia, hipoplasia o displasia de las estructuras de soporte bronquial, manifestadas por malasia o estenosis del cartílago de las vías aéreas, generalmente no acompañada de destrucción de las paredes alveolares.
Esta entidad puede asociarse a otras alteraciones congénitas, siendo más frecuentemente comprometido el sistema cardiovascular (hasta en el. 12-14% de los casos) (2, 4). El lóbulo superior izquierdo es afectado hasta en un 42.2%, seguido del lóbulo medio en un 35.3% y del lóbulo superior derecho en el 20.7% de los pacientes (3).
Clasificación hiperinsuflación lobar congénita
De acuerdo al inicio de los síntomas, Myers clasifica esta entidad en tipo I: manifestado en la infancia, tipo II, presentándose en niños mayores y tipo III siendo un hallazgo incidental en pacientes asintomáticos.
Los tipos I y II son raros y sus manifestaciones clínicas pueden iniciarse con dificultad respiratoria, cianosis o infecciones respiratorias a repetición (2, 5).


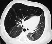
Figuras 2 A, B, C y D. TCAR en inspiración (izquierda) y espiración (derecha). Sobreinsuflación del lóbulo superior derecho
con hipovascularidad y desplazamiento contralateral de las estructuras mediastinales.
En los cortes en espiración las alteraciones descritas son más evidentes.
En la radiografía convencional y en TC se evidencia sobreinsuflación del segmento o del lóbulo afectado. Cuando la radiografía es obtenida en el período neonatal, el lóbulo enfisematoso puede visualizarse radioopaco y homogéneo debido a la presencia de líquido fetal o pueden encontrarse opacidades reticulares difusas secundarias a linfáticos sobredistendidos con líquido pulmonar fetal.
Cuando el líquido es absorbido, las regiones afectadas se manifiestan como áreas radiolúcidas, en ocasiones con compresión del parénquima adyacente y atelectasias ipsi o contralaterales, desplazamiento del corazón, mediastino, hemidiafragmas, o separación de las costillas (2-7).

Figura 3 A. Lóbulo superior derecho. Figura 3B. Acercamiento que muestra la hiperdistensión de los alvéolos.
Diagnóstico
El diagnóstico diferencial debe realizarse con sobreinsuflación secundaria a masas endobronquiales (incluyendo cuerpo extraño), compresión extrínseca de la vía aérea, neumotórax localizado, quiste pulmonar y menos frecuentemente malformación adenoide quística.
Una cuidadosa revisión de la radiografía convencional puede evidenciar la presencia de vasos sanguíneos dentro del área hiperinsuflada en caso de enfisema lobar congénito. Las entidades adquiridas que radiológicamente pueden simular esta patología son el enfisema intersticial secundario a ventilación con presión positiva, tapones mucosos endobronquiales y lesiones neoplásicas en la vía aérea (2-4).
El diagnóstico de sobreinflación lobar congénita está sustentado con la clínica, radiografía de tórax, TC y angioTC. El tratamiento consiste en la resección del lóbulo afectado.
Bibliografía
1. Paterson A. Imaging evaluation of congenital lung abnormalities in infants and children. Radiol Clin N AM 2005; 43: 303-323.
2. Berrocal T, Madrid C, Novo S, Gutiérrez J, Arjonilla A, Gómez-León N. Congenital Anomalies of the Tracheobronchial Tree, Lung, and Mediastinum: Embryology, Radiology, and Pathology. Radiographics. 2003;24:e17-22
3. Zylak C, Eyler W, Spizarny D, Stone Ch. Developmental lung anomalies in the adult: Radiologic-Pathologic correlation. Radiographics 2002; 22:S25-S43.
4. Hansell D, Armstrong P, Lynch D. Imaging of diseases of the chest. 4 edition. Elsevier Mosby.
5. Stigers KB, Woodring JH, Kanga JF. The clinical and imaging spectrum of findings in patients with congenital lobar emphysema. Pediatr Pulmonol. 1992; 14(3):160-70.
6. Karnak I, Senocak ME, Ciftci AO, Buyukpamukcu N. Congenital lobar emphysema: diagnostic and therapeutic considerations. J Pediatr Surg. 1999; 34(9):1347-51.
7. CD Kennedy, P Habibi, DJ Matthew and I Gordon. Lobar emphysema: long-term imaging follow-up. Radiology, Vol 180: 189-193.







