Resumen
La linfangioleiomiomatosis es un enfermedad rara, que compromete principalmente el parénquima pulmonar de mujeres jóvenes, en edad reproductiva y se caracteriza patológicamente por proliferación intersticial de músculo liso y formación de quistes en el pulmón. Presentamos el caso de una paciente de 35 años de edad con diagnóstico de linfangioleiomiomatosis. (Lea también: Imagen broncoscópica: falsa ruta, complicación de traqueostomía)
Abstract
Lymphangioleiomyomatosis is a rare disorder, which affects principally the pulmonary parenchyma of young women at a reproductive age, and is pathologically characterized by the interstitial proliferation of smooth muscle and formation of cysts in the lung. We present the case of a 35 year old woman that has a Lymphangioleiomyomatosis diagnosis.
Aura Lucía Rivera Bernal, MD*; Jorge Alberto Carrillo Bayona M.D**; Paulina Ojeda León M.D*** *
Radióloga Departamento de Imágenes Diagnósticas, Hospital Santa Clara, Bogotá, Colombia. **
Radiólogo Departamento de Imágenes Diagnósticas, Hospital Santa Clara, Bogotá, Colombia.
Profesor Asistente de Radiología Universidad Nacional de Colombia. ***
Patóloga Departamento de Patología, Hospital Santa Clara, Bogotá, Colombia.
Presentación del caso: linfangioleiomiomatosis pulmonar
Paciente de 35 años de edad, de sexo femenino, con cuadro de cuatro años de evolución de disnea progresiva . Por neumotórax espontáneo dos años atrás, se estudió en otra institución, donde diagnosticaron enfisema centrilobulillar por biopsia a cielo abierto.
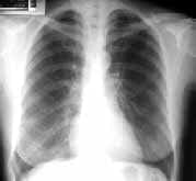
Como parte del seguimiento de su enfermedad, le fueron practicadas en nuestro hospital Radiografía, TAC de tórax y se realizó una revisión de la patología. La radiografía de tórax evidenció opacidades reticulares finas en ambos pulmones (Figura 1).
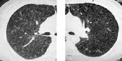
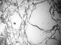
La TAC con cortes de alta resolución, mostró imágenes quísticas parenquimatosas multilobares, con diámetros entre 2 y 5 mm, la mayoría de las cuales, presentaban pared fina ( Figura 2). La revisión de la biopsia pulmonar se interpretó como linfangioleiomiomatosis ( Figuras 3 y 4).

| Figura 1. Radiografía PA de tórax. Opacidades reticulares finas. Figura | Figura 2. TAC de alta resolución. Lesiones quísticas, de pared fina, comprometiendo el parénquima pulmonar en forma difusa. |

| Figura 3. Biopsia pulmonar. HE 10X .Quistes cuya pared está constituida por músculo liso. | Figura 4. Biopsia pulmonar. 10X . Múltiples quistes. La coloración de tricromo, confirma la presencia de músculo liso en su pared. |
Discusión
La linfangioleiomiomatosis es una enfermedad poco frecuente, que compromete principalmente a mujeres jóvenes, en edad reproductiva y se caracteriza por la proliferación anormal de células de músculo liso en los linfáticos pulmonares y retroperitoneales, vasos sanguíneos pulmonares y vías aéreas, con destrucción quística del parénquima y falla respiratoria progresiva (1,2,3,4,6).
La linfangioleiomiomatosis ha sido asociada a otra enfermedad: la esclerosis tuberosa o enfermedad de Bourneville. Algunos autores consideraron la esclerosis tuberosa como una forma frustra de linfangioleiomiomatosis (10).
En el momento se conoce que la esclerosis tuberosa se asocia a 2 mutaciones de genes: TSC2 en el cromosoma 9q34 y TSC2 en el cromosoma 16p13. Al parecer la naturaleza proliferativa e invasiva de las células en la linfangioleiomiomatosis, es debida en parte a mutaciones somáticas en el gen TSC2 (1,2,4,7).
Manifestaciones clínicas de linfagioleiomiomatosis pulmonar
Las manifestaciones clínicas más frecuentes incluyen disnea y neumotórax con episodios a repetición. La obstrucción de las vénulas pulmonares puede llevar a hipertensión postcapilar y hemoptisis secundaria y la obstrucción de los linfáticos a quilotórax y ascitis quilosa (2, 6).
La radiografía de tórax, se caracteriza por la presencia de opacidades reticulares finas de predominio basal (por sumatoria de imágenes de las lesiones quísticas). Ocasionalmente pueden definirse imágenes quísticas en el parénquima.
Clásicamente el volumen pulmonar está aumentado. Se han descrito líneas septales y edema intersticial en relación con obstrucción de linfáticos. El 49% de los pacientes pueden presentar neumotórax y el 13% derrame pleural quiloso (9). El compromiso pleural a repetición puede causar engrosamiento de extensión variable.
En la TAC de alta resolución, el hallazgo más frecuente es la presencia de quistes, de tamaño variable (2 mm-5 cm), de pared fina, rodeados por parénquima pulmonar relativamente normal, que se visualizan en el 100% de pacientes con linfangioleiomiomatosis.
En ocasiones los quistes no presentan pared definida y su morfología es irregular, lo que dificulta el diagnóstico. La distribución de los quistes es difusa, sin predilección por ninguna zona del pulmón y aumenta con la progresión de la enfermedad.
Hay una buena correlación entre las pruebas funcionales, las manifestaciones clínicas y la profusión de los quistes (2, 7, 8). Se han informado otras manifestaciones torácicas como: derrame pericárdico, dilatación del conducto torácico y adenomegalias mediastinales (2, 7).
Alteración abdominal
La alteración abdominal más frecuente es el hallazgo de angiomiolipomas renales, presentándose hasta en el 57% de las pacientes con linfangioleiomatosis; siendo frecuentemente bilaterales, múltiples y generalmente asintomáticos.
Clásicamente los angiomiolipomas son de gran tamaño en el momento del diagnóstico. Imagenológicamente se presentan como masas hipervasculares , con densidades de grasa y músculo (2, 5, 7, 8). Tambien se han descrito en estos pacientes, linfangioleiomiomas retroperitoneales, adenomegalias y ascitis quilosa.
Diagnóstico diferencial
El diagnóstico diferencial de la linfangioleiomiomatosis debe incluir esclerosis tuberosa, enfísema centrilobulillar, histiocitosis de células de Langerhans y fibrosis pulmonar con quistes asociados a patrón de “panal de abejas” (2, 7).
Bibliografía
1. Whale CI, Jonson SR, Phillips KG, Newton SA, Lewis SA,Tattersfield AE. Lymphangioleiomyomatosis : a case-control study of perinatal and early life events.Thorax 2003; 58(11):979-82.
2. Pallisa E, Sanz P, Roman A, Majo J, Caceres J. Lymphangioleiomyomatosis: pulmonary and abdominal findings with patologic correlation. Radiographics. 2002; 22 Spec:S185-98.
3. Avila NA, Kelly JA, Dwyer AJ, Johnson DL, Jones EC, Moss J. Lymphangioleiomyomatosis: correlation of qualitative and quantitative thin-section CT with pulmonary function test and assessment of dependence of pleurodesis. Radiology. 2002; 223(1):189-97.
4. Pacheco-Rodriguez G, Kristof AS, Stevens LA, Zhang Y, Crooks D, Moss J. Genetics and gene expression in lymphangioleiomyomatosis.Chest; 2002; 121(3Suppl): 56S-60S.
5. Avila NA, Bechtle J, Dwyer AJ, Ferrans VJ, Moss J.Lymphangioleiomyomatosis: CT of diurnal variation of lymphangioleiomyomas. Radiology. 2001;221(2):415-21.
6. Avila N A, Chen C C., Chu S C., Wu M, Jones E, Neumann RD, Moss J, Pulmonarylymphangioleiomyomatosis:Correlation of ventilation-perfusion Scintighaphy, Chest Radiography, and CT with pulmonary function test. Radiology.2000;214:441-446.
7. Urban T. Clinical and molecular epidemiology of lymphangio-leiomyomatosisand pulmonary pathology in tuberous sclerosis. Rev Mal Respir.2000; (2 Pt 2):597-603.
8. Avila NA, Kelly JA , Chu SC, Dwyer AJ, Moss J. Lymphangio-leiomyomatosis: Abdominopelvic CT and US Findings. Radiology.2000;216:147-153.
9. Johnson S. Liymphangioleiomyomatosis: clinical features, management and basic mechanisms. Thorax 1999;54:254-264.
10. Capron F, Ameille J, Leclerc P, et al.Pulmonary lymphangio-leiomyomatosis and Bourneville´s tuberous sclerosis with pulmonary involvement: the same disease? Cancer 1983; 52:851-855.






