Si bien las campañas y las leyes actuales han llegado a disminuir de manera importante el consumo de cigarrillo, la incidencia de cáncer pulmonar como neoplasias pulmonares broncrogénicas, sigue siendo elevada, situación que pone al tabaquismo pone en el rango de problema de salud pública.
Es así como el número de fumadores de sexo masculino ha disminuido y en la misma forma el número de fumadores femeninos se ha venido incrementando, así las cifras se han compensado para definir un mismo rango de incidencia.
De otro lado la poca efectividad de las campañas contra el tabaco, así como la de los programas para dejar de fumar, además de que no las acepten fácilmente los pacientes, resultan ser medidas de prevención poco prácticas y efectivas. No queriendo decir con esto que se deban abandonar, si no por el contrario, tomar acciones con el fin de fortificarlas y hacerlas de mayor cubrimiento poblacional.
El siguiente capítulo tiene como fin dar una información global de las neoplasias pulmonares broncogénicas, tanto primarias como metastásicas, (en ningún momento tiene como fin llegar a profundizar en cada una de ellas) siendo importante la patología, la epidemiología, así como la aproximación diagnóstica y terapéutica con el fin de llegar a un rápido diagnóstico y tratamiento, lo cual tiene influencia directa sobre la sobrevida del paciente. (Lea también: Uso de los Colgajos Musculares en la Enfermedad Pleuropulmonar Infecciosa Complicada)
Francisco Cuervo Millán, MD*; Jorge Carrillo Bayona, MD**.
* Medicina Interna – Neumología.
Hospital Santa Clara E.S.E. – Clínica de Marly – Clínica Palermo.
** Radiología- Hospital Santa Clara E.S.E.
Epidemiología
El cáncer pulmonar continúa siendo una de las principales causas de mortalidad en el mundo, en Estados Unidos ocupa la primera posición (1); constituyendo el 16% de todas las neoplasias, con una mortalidad aproximada del 28% entre todas las enfermedades neoplásicas, y un 6% de todas las muertes sin importar su causa (2).
Para el año 2000 la Organización Mundial de la Salud presentó un estimado de 2’000.000 de casos nuevos de cáncer pulmonar lo que constituye un alto costo para los sistemás de salud (2).
La incidencia fue un 50% mayor en los hombres de raza negra que en los hombres de raza blanca, sin embargo, en los mujeres, tanto de raza negra como en las mujeres blancas la incidencia fue igual (3).
Entre los diferentes grupos étnicos se evidenció una gran variedad con bajas tasas de incidencias en hispánicos, coreanos, japoneses, chinos y filipinos, así como incidencias moderadamente altas en vietnamitas, blancos no hispánicos, esquimales y hawaianos (3).
Cáncer pulmonar en personas jóvenes
Si bien se ha evidenciado una disminución en la incidencia de cáncer pulmonar entre las personas jóvenes, ésta ha sido directamente relacionada a la disminución del consumo de cigarrillo en estos grupos de edades. Considerándose éste como el principal factor de riesgo (1-6). Casi un 3% de los tumores pulmonares afectan a personas menores de 40 años (4).
Aún cuado el cáncer pulmonar afecta más a los hombres que a las mujeres, durante los últimos años se ha observado una tendencia a la disminución de la incidencia en los hombres, en las mujeres la incidencia ha venido tomando un curso contrario, situación ésta que se encuentra relacionada de manera directa con los hábitos de fumar entre estos grupos, no teniendo en cuenta ésta la relación con la edad y la raza (4).
Se ha descrito una relación inversamente proporcional entre el riesgo de desarrollar cáncer pulmonar y el nivel socioeconómico, esta relación se ha encontrado aún después de tener en cuenta factores de riesgo tan importantes como el hábito de fumar (4,6).
Los adelantos en medicina han llevado a aumentar la expectativa de vida derivada de las diferentes patologías, no se puede decir lo mismo de la mortalidad derivada del cáncer pulmonar. Sigue siendo este tipo de neoplasia la principal causa de mortalidad entre todas las enfermedades neoplásicas, teniendo una variación dependiente del estadio del diagnóstico, de la raza, del sexo, de la edad y sobre todo del tipo histopatológico del tumor.
Incidencia del cáncer pulmonar en Colombia
La incidencia del cáncer pulmonar en nuestro país es baja, debido a las malas fuentes de información que resultan de nuestros registros, así como la inexistencia de una central de datos para este tipo de problema.
Sin embargo, si podemos decir que de los ingresos mensuales de un hospital como el Santa Clara, neumológico por naturaleza, se encuentra entre un 1% y un 2%, no teniendo acceso completo a una base de datos para definir la influencia de la raza, el género, la edad, así como tampoco la tasa de mortalidad.
Claro está que se trata de un hospital de referencia de enfermedades neumológicas, estas cifras podrían magnificar las tasas de incidencia de esta enfermedad.
Factores de Riesgo de Neoplasias Pulmonares Broncogénicas
Consumo de tabaco
La relación causal que se establece entre el consumo de tabaco y el desarrollo de cáncer pulmonar se estableció entre las décadas de los 50s y 60s en los estudios que realizaron Doll y Hill, así como por Levin y cols. (6).
Se ha atribuido relación de causalidad en cerca del 90% de las muertes por cáncer pulmonar (1). Mientras que sólo el 85% de los cánceres pulmonares tienen relación directa con el consumo de tabaco (4).
Si bien la relación entre el consumo del tabaco y el desarrollo del cáncer pulmonar se acepta mundialmente. No se conoce de manera exacta cuál de todas las sustancias encontradas en el humo del cigarrillo es la que se relaciona con esta tipo de patología (4).
Una gran variedad de estudios mostraron una relación, no solo entre el consumo, sino con el número de cigarrillos consumidos por día. Así como por el inicio y tiempo de consumo (4), teniendo como base la siguiente fórmula:
Nº Cajetillas/Día * Años de Consumo
Llegando a un valor de 20 paq/día como factor de incremento del riesgo para el desarrollo del cáncer pulmonar. Sin embargo, diferentes estudios han demostrado que implica mayor riesgo el tiempo de la exposición que la cantidad de la exposición (4).
Otro de los puntos controversiales en cuanto al humo de cigarrillo es el riesgo relativo que se ha postulado a los “fumadores pasivos”, estudios realizados por Matsukura y cols. en 1984 han demostrado peso suficiente para tener en cuenta este tipo de riesgo, que si bien no es tan alto como el del fumador activo, si es epidemiológicamente importante (7).
Tabla 1. Factores de Riesgo Relacionados con el Cáncer Pulmonar.
| Consumo de Tabaco | Nº de Cigarrillos Tiempo de la Exposición Edad de Inicio de la Exposición |
| Exposición Ambiental y Ocupacional |
Medio Ambiente Carcinógenos Conocidos (Arsénico, Asbesto, Bysether, Cromo, Níquel) Carcinógenos Probables (Berilio, Cadmio, Formaldehído, Acetaldehído, Sílice, otros) |
| Infecciones Virales | |
| Enfermedades Pulmonares |
EPOC Fibrosis Pulmonares |
| Factores Dietarios | Ácidos Grasos Saturados Baja Ingesta de Antioxidantes |
| Factores Genéticos | Heredados Mutaciones |
Otro punto importante es la disminución del riesgo relativo asociada a la descontinuación del hábito del tabaco que SA ha visto en algunos estudios, pero sin llegar a la normalización del riesgo (4). Teniendo como excepción aquellos pacientes en los que la exposición fue menor a 20 años, en los que el riesgo relativo puede llegar a normalizarse (2).
Exposición ambiental y ocupacional
Si bien el cigarrillo se identifica como el principal factor de riesgo para el desarrollo de cáncer pulmonar, el menor porcentaje de pacientes que han desarrollado esta patología sin tener el antecedente de consumo de tabaco ha hecho ver la influencia de otro tipo de exposiciones en el desarrollo de esta enfermedad.
Asbesto: La asociación entre el asbesto y el desarrollo de cáncer pulmonar está documentada no sólo en aquellos pacientes que tienen relación directa. Sino también en aquellos con relación indirecta con las fibras de asbesto (1-6).
Aluminio: En algunos estudios se demostró que posterior a una exposición de 21 años o más los trabajadores de la industria de aluminio van a tener un incremento en el riesgo de desarrollar cáncer pulmonar (2).
Arsénico: Se limita a trabajadores que estuvieron expuestos a altos niveles de arsénico, con un aumento del riesgo relativo del 3.7, tuvo mayor importante en décadas pasadas, en las que se utilizó en el tratamiento de la sífilis, de poca importancia en la actualidad (1-6).
Sílice: Tiene una importancia mayor en aquellos pacientes que tienen una silicosis pulmonar definida, con un aumento del riesgo relativo de 6, sin embargo la exposición conlleva un aumento del riesgo relativo menor pero con importancia estadística (1,4,5).
Otros: Han sido relacionado como factores de riesgo en el desarrollo del cáncer pulmonar una diversidad de sustancias entre las cuales mencionaremos las siguientes: Radón, arsénico, cromo, níquel, Bysether, hidrocarburos aromáticos, cadmio, berilio, gas mostaza y otros, las cuales aunque tienen valor epidemiológico son de menor importancia en la clínica.
Infecciones virales
Si bien no se a encontrado una relación causal directa si han sido detectados inclusiones celulares similares a las encontradas en los infecciones virales en algunos tipos de cáncer pulmonar (4).
Enfermedades pulmonares
Diferentes enfermedades pulmonares han sido relacionadas de una u otra forma al aumento del riesgo relativo para desarrollar cáncer pulmonar, sin embargo, a pesar que en algunas se ha podido encontrar relación de causalidad, como es en el EPOC, la Fibrosis Pulmonar, en otras han sido hallazgos fortuitos (1-6).
Factores dietarios
Si bien los factores dietarios predominan como factores de prevención se ha encontrado que las dietas ricas en grasas, colesterol y alcohol aumentan el riesgo relativo para desarrollar cáncer pulmonar, sin embargo este aumento puede estar relacionado a la baja ingesta de antioxidantes, los cuales tienen un efecto protector (1-6).
Factores genéticos
En los años 40, en el estudio realizado por Tokuhata y cols, se encontró que los parientes fumadores de los pacientes con cáncer tenían un aumento de dos veces el riesgo relativo de desarrollar cáncer pulmonar, en tanto que los familiares no fumadores de los pacientes fumadores tenían un aumento de cuatro veces el riesgo de desarrollar cáncer pulmonar (6,8).
En otros estudios se ha encontrado que la interacción entre el hábito de fumar y la historia familiar de cáncer pulmonar incrementa entre 30 – 47 veces el riesgo de desarrollar cáncer pulmonar (2, 4).
De otro lado las mutaciones genéticas ligadas a las familias de oncogenes también han sido relacionadas de manera positiva con el desarrollo del cáncer pulmonar.
Es así que las mutaciones específicas ligadas a las familias de los Gen Ras (KRas, NRas y HRas) han sido observadas hasta en un 95% de los adenocarcinomás pulmonares (9). De igual forma las mutaciones en los Genes de la Familia ERBB se encuentran ligadas, hasta en un 30% a los adenocarcinomas (9).
Si revisamos la literatura encontramos que muchas otras mutaciones han sido relacionadas con cáncer pulmonar, tanto de célula pequeña. Como de no célula pequeña, es así como las mutaciones como el PTEN Gen, FHIT Gen también han sido relacionados de manera positiva con el aumento del riesgo relativo de desarrollar cáncer pulmonar (9).
Mutaciones multifactoriales
De todo lo anterior podemos llegar a concluir, que si bien hay mutaciones puntuales definidas, parece ser más un problema de las mutaciones multifactoriales las que nos llevan a tener un aumento del riesgo relativo, que con otros factores van a jugar un papel preponderante en el desarrollo del cáncer pulmonar (6).
De igual forma teniendo en cuenta la revisión previa y el gran soporte que encontramos en la literatura, podemos decir que si bien el cigarrillo es un factor de riesgo de alta importancia no es el único, siendo el cáncer pulmonar una enfermedad multifactorial que tiene como factor de riesgo central, más no único, el hábito de fumar.
Fisiopatología
Así como los factores de riesgo son variados, de igual forma la fisiopatología del cáncer pulmonar se rige por diferentes factores.
Tabla 2. Factores Genéticos Relacionados con la Fisiopatología del Cáncer Pulmonar.
| FACTORES GENÉTICOS IMPLICADOS EN LA FISIOPATOLOGÍA DEL CÁNCER PULMONAR |
| Actividad de la Telomerasa |
| Anormalidades en la Mutilación |
| Inestabilidad Microsatélite |
| Receptores Transmembrana y sus Ligandos |
| Familia RAS |
| Familia MYC |
| Genes Supresores de Tumor y Apoptosis |
| PTEN, FHIT, TGF-B y Retinoides y Carotenoides |
| Familia BCL2 y Apoptosis |
| Respuesta del Huésped y Progresión del Tumor |
| Angiogénesis del Tumor |
| Factores que Influencian las Metástasis |
Como dijimos anteriormente por ser este un libro de medicina interna general vamos a revisar de manera superficial los diferentes eventos que se han relacionado con el desarrollo del cáncer pulmonar, sin llegar a profundizar mucho en ellos.
Actividad de la telomerasa
Dado que la ausencia de actividad de ésta lleva a la célula a una fase muerte celular programada, la hiperactividad que se observa durante la aparición del cáncer pulmonar conlleva a un aumento de la proliferación celular y por ende a un crecimiento tumoral (9).
Anormalidades en la mutilación
Dado que la mutilación es u proceso que ayuda a mantener la estabilidad del DNA, las anormalidades de la mutilación llevan a un aumento del número de mutaciones relacionadas con el cáncer pulmonar (9-11).
Inestabilidad microsatélite
Las áreas de repetición microsatélites son zonas de pequeñas secuencias de DNA que se repiten de manera frecuente, la inestabilidad en este tipo de áreas conlleva a un aumento del número de mutaciones, facilitando de esta forma la aparición de mutaciones relacionadas al desarrollo del cáncer pulmonar (9 -11).
Receptores transmembrana y sus ligandos
Son receptores que están relacionados en la embriogénesis del pulmón ayudando a la migración celular para una adecuada formación del pulmón, éstos se encuentran activos durante embriogénesis, así como durante la cicatrización que se encuentra posterior a la injuria pulmonar, si bien pueden tener una función normal, la sobreexpresión de algunos ha sido relacionada hasta un 20 a 60 % de los diferentes tipos histológicos de cáncer pulmonar (9 -11).
Familia RAS
Los genes de la familia RAS corresponden a la familia de oncogenes más importante en el desarrollo del cáncer pulmonar encontrándose en cerca del 15 al 20% de los adenocarcinomás y entre un 20 a 30% de todos los tumores de no célula pequeña (9,15).
Si bien podemos encontrar cualquiera de los tres miembros de la familia (KRAS, HRAS y NRAS), las mutaciones del KRAS engloban el 90% de los adenocarcinomás (9,11,15). De otro lado en las poblaciones asiáticas las mutaciones en el HRAS y NRAS se encuentran de manera más frecuente (12).
Si bien de gran importancia en la fisiopatología del cáncer pulmonar, no parece haber correlación entre este tipo de mutaciones y la respuesta adecuada o inadecuada a los diferentes tipos de terapia, ni a la sobrevida de cada uno de los tumores en los que se encuentran (11,15).
Familia MYC
Ha sido relacionado de manera frecuente con los tumores de célula pequeña, siendo los dos miembros más importantes de esta familia los MYCN y MYCL (9,13,15).
Se estima que la amplificación o desrregulación de este tipo de oncogén se encuentra en cerca del 18 al 31% de los tumores de célula pequeña y en solo un 8 a 12% de los tumores de no célula pequeña (11,13,15).
Usualmente se encuentran asociados a las líneas celulares que han sido afectadas por metástasis, y no en los tumores primarios (9,13,15).
De igual forma este tipo de mutación se encuentra más en aquellos pacientes que de una u otra forma han recibido quimioterapia y en algunos pacientes con subtipos de tumores mal diferenciados, lo que se correlaciona de manera directa con la evolución adversa de los tumores en los que se encuentra este tipo proto-oncogen (9,11,13,15).
Otras familias de oncogenes
Si bien algunos reportes han relacionados otras familias de oncogenes con la aparición de cáncer pulmonar, como son MYB, JUN y FOS la significancia biológica de estos genes no ha sido del todo bien determinada y se encuentran aún en investigación (9,11,13,15).
Genes supresores de tumor y apoptosis
Si bien estos genes tienen como función inicial la coordinación del crecimiento de los diferentes tipos celulares, permitiendo de esta manera mantener a los diferentes tipos celulares en los diferentes ciclos vitales de la célula, su mutación o disrregulación pueden llevar a la no supresión del crecimiento tumoral y por ende a facilitar el crecimiento tumoral. De estos mencionaremos los más importantes a continuación:
Vía de la p53
Mantiene la integridad del genoma en la fase de daño del DNA. Funciona regulando la fase de transición G1/S o apoptosis (9,11,14,15). De esta forma podemos entender que la pérdida de la función del p53 nos lleva a una vida prolongada de las células con daño en el DNA facilitando así la evolución a células cancerosas (9,11,14,15).
Las mutaciones de la proteína p53 se correlacionan con el consumo de tabaco (11). Algunos estudios han evidenciado pérdida de la función del p53 en cerca del 40 al 70% de los tumores de célula pequeña y en cerca del 40 al 60% en los tumores de no célula pequeña (9,14,15).
Cerca del 15 al 25% de los cánceres pulmonares desarrollan anticuerpos contra la proteína p53, sugiriendo la posibilidad que la mutación de la proteína p53 puede llevar a una respuesta inmune humoral (9,14,15).
Vía de la p16INK4A-Cyclin D1-CDK4-RB
Es la vía central para controlar la fase de transición de la G1/S del ciclo celular (9,11,15). Al igual que con la anterior, la inactivación de esta vía es frecuente en los tumores pulmonares encontrándose en aproximadamente el 90% de los tumores de célula pequeña y en solo un 15 a 30% de los tumores de célula no pequeña (9,11,15).
De igual forma su presencia en los tumores de célula no pequeña es un signo de mal pronóstico (9,11,15). Si bien todos pertenecen a la misma vía, éstas se pueden subdividir en diferentes partes, cada una con sus funciones específicas.
El Gen del retinoblastoma o RB Gen que se halla en el cromosoma 13q14, da rasgos de mal pronóstico (9,11,14,15). La Cyclin D1 y CDK4 se encargan de inhibir la actividad del RB gen, de esta forma su sobreexpresión está ligada al crecimiento del cáncer pulmonar (9,11,14,15).
El gen p16INK4A regulan la función del gen RB por inhibición de la CDK4 y CDK6, por ende su inhibición conlleva a un aumento del crecimiento tumoral (9,11,14,15). Si bien la inhibición del gen RB y del p16INK4A concomitantes son raras, la sobreexpresión del CyclinD1 y CDK4 si pueden coexistir con cualquiera de los dos aumentando así su acción sobre el crecimiento del tumor (9,11,15).
PTEN, FHIT, TGF- b y retinoides y carotenoides
– El Gen PTEN: dado que su función inicial es la supresión del crecimiento tumoral, la mutación de este gen ha sido encontrada en con relativa frecuencia en algunos tumores primarios del pulmón (9).
– El Gen FHIT: al igual que el anterior es un gen que promueve el control del crecimiento tumoral, sin embargo, entre un 40 a 80% de los tumores de células pulmonares se encuentran anormalidades a nivel de mRNA lo que conlleva a una inadecuada función tumoral y por ende facilita el crecimiento tumoral (9).
– Vía del TGF- b: esta familia regula la proliferación de algunos tipos celulares (9). Las mutaciones a nivel de este gen han sido ampliamente relacionadas con el cáncer de colon, sin embargo, su relación con el Cáncer Pulmonar no ha sido relacionada de manera frecuente (9).
– Retinoides y carotenoides: tienen una función importante en la regulación de la morfogénesis pulmonar durante el desarrollo fetal, es por eso que las anormalidades que se desarrollen en esta vía van a estar relacionadas con el desarrollo de grupos celulares anormales, incluyendo células cancerosas pulmonares (9).
Familia BCL2 y apoptosis
La expresión de las proteínas BCL2 se puede correlacionar con la diferenciación neuroendocrina del cáncer pulmonar (9,15). La expresión de la proteína BCL2 ha sido observada en cerca del 75 al 95% de los tumores de célula pequeña, tumores que son más quimiosensibles, dada la respuesta mediada por la apoptosis (9,15).
Respuesta del huésped y progresión del tumor
– Complejo mayor de histocompatibilidad: el complejo mayor de histocompatibilidad Clase I está, down-regulation en todos los tipos de cáncer incluyendo el pulmonar (9).
– Fas y ligando fas: La vía fas y su ligando juegan un papel importante en la inducción de la vía de la apoptosis, este mecanismo está sobre expresado en la células de defensa en los pacientes con tumores de cualquier tipo lo que facilita el mayor crecimiento tumoral (9).
Angiogénesis tumoral
El factor de crecimiento endotelial es el factor más importante en la angiogénesis tumoral, teniendo una baja expresión en los tumores de no célula pequeña, los cuales cursan con una baja vascularización (9).
Sin embargo, otros tipos de factores como el factor de crecimiento del fibroblasto se encuentra con una alta incidencia en los tumores de no célula pequeña, encontrándose hasta en un 70% (9).
El factor de crecimiento celular derivado de las plaquetas se correlaciona con mal pronóstico (9). El factor tisular se relaciona con una baja densidad de microvasos, así como con un mal pronóstico en los tumores de no célula pequeña (9).
Factores que tienen influencia en la formación de metástasis
La formación de metástasis de cada uno de los tumores, depende tanto de los factores del huésped, como había sido expuesto anteriormente, como de los factores propios de cada tumor. Dado que para la invasión de otros tejidos, los tumores requieren de la invasión de los vasos, y del transporte celular a través de ellos, las moléculas de adhesión juegan un papel importante en la fisiopatología de los tumores.
– E-Caderinas: ha sido relacionada con la diferenciación tumoral, incrementando las metástasis linfáticas y se asocia a un mal pronóstico en los tumores de no célula pequeña (9).
– Integrinas: su expresión ha sido asociada a mal pronóstico en los pacientes con adenocarcinomás (9).
– CD44: la expresión del CD44v6 ha sido correlacionada con pronóstico adverso en los pacientes con estadio I de los tumores de célula no pequeña (9).
– Colágeno tipo IV: baja expresión en los tumores de mala diferenciación (9).
Patología
Dentro de los tumores pulmonares debemos tener en cuenta que al igual que los demás tejidos no todos son malignos.
Tabla 3. Clasificación Histológica de los Carcinomas Pulmonares.
| 1. Lesiones Preinvasivas: a. Displasia escamosa/carcinoma in situ. b. Hiperplasia Adenomatosa Atípica. c. Hiperplasia Celular Difusa Idiopática del tipo Neuroendocrino. |
| 2. Carcinoma Escamocelular a. Papilar. b. Células Claras. c. De Célula Pequeña d. Basaloide |
| 3. Carcinoma de Células Pequeñas: a. Carcinoma Combinado de Célula Pequeña. |
| 4. Adenoarcinoma: a. Adenocarcinoma Acinar. b. Adenocarcinoma Papilar c. Carcinoma Bronquioloalveolar: 1- No Mucinoso. 2- Mucinoso. 3- Mixto Mucinoso y no Mucinoso 4- Indeterminado d. Adenocarcinoma Sólido con Mucina e. Adenocarcinoma con Subtipos Mixtos 1- Adenocarcinoma fetal bien diferenciado 2- Adenocarcinoma mucinoso (“coloide”) 3- Cistadenocarcinoma mucinoso 4- Adenocarcinoma en Anillo de Sello. 5- Adenocarcinoma de Células Clara. |
| 5. Carcinoma de Célula Grande: a. Variantes b. Carcinoma Neuroendocrino de Célula Grande. 1- Carcinoma c. Carcinoma Basaloide d. Carcinoma Linfoepitelioma-Like e. Carcinoma de Células Claras. f. Carcinoma de Célula Grande con Fenotipo Rabdoide. |
| 6. Carcinoma Adenoescamoso. |
| 7. Carcinomas con Elementos Plemórficos, Sarcomatoides o SArcomatosos: a. Carcinomas con Carcinomas con Células en Aguja y/o Gigantes. 1- Carcinoma Plemórfico. 2- Carcinoma de Células en Aguja. 3- Carcinoma de Células Gigantes. b. Carcinosarcoma. c. Blastoma Pulmonar. d. Otros. |
| 8. Tumores Carcinoides: a. Carcinoide Típico b. Carcinoma Atípico. |
| 9. Carcinoma del Tipo de Glándula Salivar: a. Carcinoma Adenoide Quístico. b. Carcinoma Mucoepidermoide. c. Otros. |
| 10. Carcinomas no Clasificados. |
| World Health Organization/International Association for the Study of Lung Cancer; Histologic Typing of Lung and Plural Tumors; Berlin, Germany 1999, con permiso (16). |
Sin embargo, si son ellos a los que más nos vamos a dedicar durante este capitulo, de otro lado los tumores de pleura y de mediastino serán tratados en otros capítulos.
Lesiones Preinvasivas
Es de gran importancia el diagnóstico en etapas tempranas del cáncer pulmonar basado en el screening en los pacientes de alto riesgo (17, 20).
Displasia escamosa y carcinoma In Situ
La displasia escamosa se puede dividir en leve, moderada o severa dependiendo tanto del grado de la atipia, así como del grosor de la atipia con respecto al epitelio bronquial (18), la displasia está graduada dependiendo del grado agrandamiento nucleolar, del hipercromatismo y del pleomorfismo celular, sin embargo, una vez halladas, las mitosis a través de todo el epitelio bronquial, podemos hablar de carcinoma in situ (17).
Hiperplasia adenomatosa atípica
Es una proliferación broncoalveolar que se encuentra como un hallazgo incidental en las biopsias pulmonares por cáncer pulmonar (18), su incidencia varía entre un 5.7 a 21.4% dependiendo de los criterios diagnósticos usados (18). Si bien en la gran mayoría de los casos se encuentran como lesiones de pequeño tamaño, también, son múltiples de manera frecuente (18).
Hiperplasia celular difusa idiopática del tipo neuroendocrino
Es una patología rara que se puede presentar como una enfermedad pulmonar intersticial con obstrucción de la vía aérea, que usualmente se relaciona con fibrosis bronquial (18), su presencia puede correlacionarse con el desarrollo posterior de tumores carcinoides, parece presentarse como una respuesta inflamatoria a sustancias tóxicas como puede ser el cigarrillo y otros (17).
Carcinoma escamocelular
En algunos países es el tipo de tumor más común (17). Corresponde a cerca del 30% de todos los cánceres pulmonares en los Estados Unidos, de los cuales las dos terceras partes se presentan como tumores centrales (17,18,22).
Tiene una predominancia en hombres, aunque la incidencia en mujeres ha venido aumentado en relación directa con el consumo de cigarrillo (19). Su diagnóstico diferencial se puede hacer con los tumores de célula grande con los cuales presenta algunas similitudes histológicas (17, 22).
Carcinoma de célula pequeña
Corresponde a cerca del 20% de todos los tumores pulmonares, siendo la gran mayoría encontrados como masas parahiliares, teniendo compromiso peribronquial y de la submucosa bronquial (18).
Sin embargo, con poca invasividad a la luz bronquial, por lo que los cuadros de obstrucción son poco frecuentes, sin embargo, los cuadros de atelectasia, se pueden presentar por compresión extrínseca de la luz bronquial (3,17,18,19,22).
Está considerado como un subtipo de los tumores de origen neuroendocrino caracterizándose por un crecimiento rápido, desarrollo temprano de metástasis, además de una respuesta inicial adecuada a la radio y quimioterapia.
Sin embargo, tiene una alta tasa de recaída, siendo la gran mayoría dentro de los tres primeros años, aun con tipos diferentes de tumores, posteriores al tratamiento con una sobrevida a los cinco años no mayor del 10 al 20% (17), teniendo peor pronóstico los del subtipo combinado (18).
Es importante anotar que en las recaídas éstas pueden presentarse como el mismo tipo de tumor, sin embargo, en la gran mayoría de los casos se presentan como otros tipos de tumor, especialmente tumores de célula grande (3,17,18, 22).

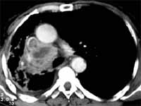
Figura 3. Carcinoma de célula pequeña parahiliar derecho.
Dentro de las características clínicas de este tipo de tumor se encuentran la gran proporción de síndromes paraneoplásicos asociados a éstos, como son el de Eaton-Lambert (17), secreción inadecuada de hormona antidiurética, síndrome de Cushing y otros (23). Dentro de la sintomatología general se pueden presentar síntomas constitucionales (23).
Cáncer de células pequeñas combinado
Su frecuencia es bajo aportando menos del 10% de los casos, se comporta de manera más agresiva que la variedad pura. Y, tiene una mayor incidencia de síndromes paraneoplásicos, mortalidad mayor a más corto plazo (18, 23).
Como diagnósticos diferenciales se pueden presentar los siguientes tumores: Carcinomas escamocelulares, adenocarcinomas, y con una mención especial con el Linfoma no Hodgkin (17).
Adenocarcinoma
Los adenocarcinomas aportan el 30% de todos los cánceres a nivel pulmonar (18), de los cuales entre un 5 a 24% son del subtipo bronquioloalveolar (17).
La gran mayoría de los adenocarcinomas contienen hallazgos histológicos compatibles con más de uno de los subtipos (18), la cavitación es rara, y al igual que su localización, en la gran mayoría se encuentran periféricos, son hallazgos que no dan puntos importantes en el diagnóstico diferencial con el carcinoma escamocelular (17).
Dentro de los subtipos histológicos, el bronquioloalveolar es el menos común. Correspondiendo a menos del 3% de todos los tumores malignos de pulmón, de estos, el 50% pueden estar asociados a cicatrices o ha tejido pericicatricial (18). Cuando se encuentra compromiso pleural, este se caracteriza por lesiones nodulares en la pleura (18,19).

Figura 4. Adenocarcinoma basal derecho.
Los hallazgos clínicos no difieren de un síndrome constitucional, con fiebre, astenia, adinamia. Sin embargo, dado su componente tumoral tiene una mayor incidencia de complicaciones trombóticas, que los otros tipos de tumor (17-19).

Figura 5. Adenocarcinoma de hemitórax izquierdo con compromiso pleural y derrame pleural asociado.
Su pronóstico está directamente relacionado al estadio en el que se encuentre. Situación que será revisada más adelante, teniendo sobrevivas tan disímiles en los estadios I del 90% a los cinco años hasta del 55% en los estadios IIIB en adelante (17-19).
Dentro de los diagnósticos diferenciales debemos contar con el carcinoma escamocelular, tumores de célula pequeña, tumores de tipo de glándula salivar. Y, cuando se encuentra compromiso plural, es importante el uso de las coloraciones de inmunohistoquímica para poderlos diferenciar del mesotelioma, que puede tener similitudes macroscópicas importantes (17).

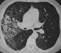
Figuras 6 y 7. Rx tóraxcon infiltrados en base de hemitórax derecho. TAC de tórax con infiltrados alveolares parahiliares derechos. La patología fue compatible con adenoma bronquioalveolar.
Carcinomas de célula grande
Corresponden al 9% de todos los tumores pulmonares, se localizan en su gran mayoría en la periferia, sin embargo, hay algunos centrales (17,18).
Como se mencionó en la Tabla 3, tienen diferentes subtipos histológicos. Sin embargo, dado su gran componente histológico que se puede confundir con otros tipos histológicos. Usualmente se considera un diagnóstico de exclusión (17-19,22).
– Carcinoma neuroendocrino de célula grande: tiene los siguientes criterios histológicos: morfología neuroendocrina, hallazgos citológicos de cáncer de no célula pequeña, alta tasa de mitosis, necrosis frecuente y al menos una coloración inmunohistoquímica positiva (18).
Su aparición es usual entre la cuarta y novena década de la vida. Se encuentra relacionado a un alto consumo de cigarrillos, y tienen un mal pronóstico. Tanto la respuesta a la quimioterapia, como la relación entre los marcadores positivos y su pronóstico son situaciones que no han sido ampliamente estudiadas (17,18,19,22).
– Carcinoma de células claras: si bien ha sido descrito como un subtipo de los tumores de células grandes, no se ha visto una correlación directa, con el hallazgo histológico y el pronóstico de estos pacientes (19).
Carcinoma adenoescamoso
Son tumores raros, que aportan sólo entre el 0.6 y 2.3% de todos los tumores pulmonares. No hay claridad sobre pronóstico, ni sobrevida, ya que hay pocos estudios y todos dan resultados disímiles (17,18,22). Se presenta más comúnmente como masa periférica, usualmente asociado a lesión central (19).
Carcinomas con elementos pleomórficos, sarcomatoides o sarcomatosos
Los carcinomas pleomórficos, suelen presentarse como lesiones periféricas, con invasión a la pared del tórax y que se asocian con mal pronóstico (18,19,24).
Sarcoma de Kaposi
Es un tipo inusual de tumor vascular, descrito en 1872, se han descrito cuatro variantes independientes las cuales son:
– Variante clásica.
– Variante endémica africana.
– Sarcoma de Kaposi en pacientes con inmunosupresión inducida.
– Sarcoma de Kaposi endémico (24).
Usualmente descrito en la zona mediterránea, con una gran incidencia entre los judíos e italianos, ha venido tomando gran importancia dada su aumento en la incidencia en los pacientes con SIDA. En los que la incidencia ha sido tan alta como del 20 a 25%, teniendo una relación importante con las personas homosexuales (24).
Es en estos pacientes en los que se ha encontrado una relación directa con el Eipstein Barr. Su compromiso es bien variado, yendo desde un compromiso intersticial con líneas B de kerley, hasta el compromiso pleuropulmonar, con derrames pleurales hasta en un 35 a 60%, compromiso ganglionar mediastinal en un 20% de los pacientes (24).
Carcinoma del tipo glándula salivar
Carcinoma adenoide quístico: es el tumor más común de los tumores traqueobronquiales de origen glandular, con una incidencia del 20 al 35% de todos los tumores de tráquea (19). Su incidencia es igual en hombres que en mujeres, y no tiene predominancia por ningún tipo de edad (19).
Dada su ubicación puede ser confundido en sus etapas iniciales con asma, dado que su sintomatología de sibilancias y estridor es frecuente. Sin embargo al presentar hemoptisis puede llegarse rápidamente al diagnóstico.
A la broncoscopia se encuentra una masa endobronquial exofítica, con poca invasión a los bronquios subyacentes, tiende a ser su diseminación por contigüidad. Sin embargo, y en muy baja incidencia puede dar las metástasis distales. Las cuales son en su mayoría el parénquima pulmonar, aunque las metástasis extratorácicas se describieron (19).
Si se logra su resección adecuada pueden llegar a tener excelente sobrevida, con una baja tasa de recaídas. Sin embargo, en los que no son resecables, tanto la quimioterapia, como la broncoscopia invasiva son alternativas terapéuticas adecuadas y con aceptables tasas de sobrevida.
Carcinoma mucoepidermoide: son tumores raros que ocupan sólo el 0.2 al 0.3% de todos los tumores malignos pulmonares (19). Al igual que el anterior los pacientes pueden presentarse asintomáticos, y en algunas oportunidades presentarse con síntomas obstructivos. Y no revisarlos si no hasta los episodios de hemoptisis. Tienen un excelente pronóstico, y su tratamiento es quirúrgico (19).
Clínica de las neoplasias pulmonares broncogénica
Por ser enfermedades sistémicas, los tumores malignos del pulmón pueden presentar una sintomatología variable, siendo el síndrome constitucional uno de los hallazgos clínicos más relevantes, pero de poca especificidad para el diagnóstico.
La pérdida de peso, no voluntaria, asociada a un antecedente importante de cigarrillo puede hacer pensar en la presencia de enfermedades neoplásicas, variadas, si embargo, es el cáncer pulmonar el más directamente relacionado con este tipo de antecendente.
De otro lado un número importante de pacientes pueden presentarse con sintomatología variada, relacionada a síndromes paraneoplásicos, o enfermedad metastásica, siendo previamente sanos.
A continuación mencionaremos los síntomas más comúnmente relacionados con la presencia de cáncer pulmonar.
Tos
Es el síntoma más común el cual se encuentra entre el 35 y el 70% de los casos (25), pero su incidencia aumenta en aquellos pacientes con antecedente de consumos de cigarrillo hasta en un 99% de los casos (26). La tos puede acompañarse de otros síntomas o de hallazgos radiológicos importantes (25).
Disnea
Se describe en cerca del 60% de los pacientes, teniendo como característica el inicio progresivo, usualmente asociado a la diseminación intratorácica (25). Pude tener causas variadas como son procesos obstructivos, atelectasias, derrame pleural, diseminación linfangítica, derrame pleural, embolia tumoral, tromboembolismo y otros (26).
Dolor torácico
Se encuentra entre el 20 a 45% de los casos de cáncer pulmonar usualmente en relación con invasión a estructuras dolorosas intratorácicas (25,27). Este puede ser intermitente o continuo dependiendo de los sitios de invasión o de origen del tumor (26). Los dolores torácicos de características pleuríticas se encuentran en relación con el compromiso pleural y su derrame pleural asociado (25).
Diagnóstico
Si bien tanto los antecedentes como la clínica referida por el paciente tienen una gran importancia en la sospecha de esta patología, son las pruebas paraclínicas, tanto no invasivas como las invasivas, las que nos llevan a la confirmación y obtención de especímes patológicos que nos llevaran a un diagnóstico específico del tipo de cáncer pulmonar que tienen nuestro paciente.
De otro lado son estas también las que nos llevan a la estadificación de la enfermedad, la cual es de suma importancia para definir tanto el tipo de tratamiento como el pronóstico de la enfermedad.
A continuación enumeraremos y realizaremos una aproximación a cada uno de los métodos diagnósticos que tenemos a nuestra disposición en la actualidad.
Citología de esputo
Es el método diagnóstico más antiguo en el estudio de las neoplasias pulmonares, el cual data de 1940, época en la que el Dr. Papanicolaou describió la técnica. Si bien en un principio sencilla, con el transcurrir del tiempo se le han venido adicionando otras técnicas que han renovado su uso y aumentado su utilidad en el diagnóstico de esta patología, teniendo gran importancia en aquellos tumores en los que se encuentra compromiso de la mucosa (27).
La citología de esputo se ha relacionado con una alta sensibilidad en el diagnóstico de las neoplasias pulmonares (22), teniendo tasas tan altas, mayores al 80% en estadios 0 y 1 (27).
En la realización del examen se ha encontrado que en aquellos pacientes en los que las muestras se toman por inducción se encuentra una mayor tasa de diagnóstico que en aquellos en los que las muestras son obtenidas de manera espontánea (22).
De igual forma se ha observado que las muestras obtenidas en el segundo intento son de mejor calidad (27), y su preservación hasta el estudio sigue siendo llevada a cabo de acuerdo a las indicaciones hechas por Saccomanno en 1963 (Etanol al 50%, Polietilenglicol-1450 al 2%), siendo esta solución un excelente medio de conservación de la morfología celular (22,27).
Posteriormente las muestras deben ser fijadas con Etanol al 95% y posteriormente coloreadas con la técnica de Papanicolaou y posteriormente estudiadas con las coloraciones que el patólogo requiera (22).
Diferenciación del tumor
Si bien las fases iniciales de este estudio nos pueden indicar la diferenciación entre malignidad y benignidad, otros tipos de métodos adosados a estas técnicas deben ser realizados, para la diferenciación definitiva del tipo histológico del tumor.
Dentro de estos estudios podemos contar con el estudio de la mutilación anormal, el estudio de la sobreexpresión de la hnRNP A2/B1 y otras técnicas descritas, que no solo aumentan la especificidad, sino la sensibilidad de la técnica (27).
Es importante anotar, que si bien este examen puede dar un buen rendimiento diagnóstico, solo se considera como complementario con las imágenes diagnósticas, y como screening en aquellos pacientes con alto riesgo (22,27).
Radiografía de Tórax
Su utilidad puede ser considerada de manera directa o indirecta, es decir depende de si se observa directamente la lesión o si por el contrario encontramos hallazgos radiológicos que nos hagan pensar en la presencia de una masa pulmonar, es por esto que las manifestaciones se relacionan tanto con el tamaño de la lesión, así como por las cambios que éstas puedan producir en el parénquima pulmonar (4).
Dentro de las manifestaciones radiologicas más comúnes tenemos las neumonías postobstructivas, atelectasias lobares o segmentarias, nódulo pulmonar solitario, engrosamiento de las paredes bronquiales, masa pulmonar, alteración en la morfología del hilio, compromiso pleural (engrosamiento, derrames), ensanchamiento mediastinal (3,4,23,25,28).

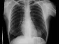
Figura 8. Masa pulmonar basal izquierda
Si bien la radiografía de tórax es altamente sensible en la identificación de estas alteraciones, es mucho menos específica. Estas alteraciones se puede asociar a otras patologías. Es por eso que su relación con la clínica y los antecedentes del paciente son de suma importancia en la interpretación de estos hallazgos.
De otro lado, es este el método de entrada en el estudio de lesiones pulmonares sospechosas, pero no el final, es por eso que las otras técnicas imagenológicas han venido adquiriendo una mayor importancia en el estudio de las neoplasias pulmonares.

Figura 9. Enfermedad pulmonar metastásica.
Tomografía axial computarizada
Tiene una importancia vital en la diferenciación inicial de lesiones benignas versus lesiones malignas, así como en la estadificación posterior al diagnóstico (4).

Figura 10. Carcinoma escamolecular asociado a pérdida de volumen y compromiso pleural.
Tiene una gran importancia en el estudio de las características de las lesiones nodulares, en los que estudios han demostrado que ciertos tipos morfológicos han sido relacionados en un mayor porcentaje con benignidad (calcificación central, calcificación laminada, patrón de roseta de maíz). Así como su tamaño, menores de 3 cms (4,28), así como las malignas se relacionan en un mayor porcentaje con lesiones mal definidas, espiculadas, pseudocavitadas, etc.) (4,28).

Figura 11. Enfermedad pulmonar metastásica.
Otras técnicas se están desarrollando en relación con la tomografía con el fin de aumentar tanto su sensibilidad como su especificidad. Es el caso de los estudios hechos por Swenson SJ y cols.; en los cuales los realces en la densidad de las lesiones mayores de 20 UH, en una TAC helicoidal con cortes finos, hace tener una posibilidad cercana al 99% de que la lesión que se estudia sea de origen maligno (4,29,30,31).
En los últimos años se ha venido estudiando la técnica de tomografía a bajas dosis, la cual ha demostrado una gran especificidad en el estudio de las lesiones únicas, sin embargo, los estudios siguen en curso.
Resonancia nuclear magnética
Los estudios realizados por Kono y cols., en 1992 también demostraron que los aumentos en la intensidad de la señal en la Resonancia por encima del 62% están relacionados con las características malignas de la enfermedad (28).
De igual forma es importante el uso de esta técnica de imagenología en la evaluación de la estadificación de la enfermedad. Así como en la detección de metástasis en otros sistemas (4).
Tomografía con emisión de positrones
Esta técnica ha venido siendo admitida dentro de las técnicas de imágenes diagnósticas que se utilizan en el estudio de las imágenes pulmonares. Teniendo en cuenta que la gran mayoría de las lesiones malignas tienen un metabolismo de la glucosa aumentado. De ahí que el uso de esta técnica con deoxiglucosa reportó una sensibilidad entre el 83 al 100% y una especificidad del 63 al 90% (4, 28).
Sin embargo, es importante tener en cuenta que tenemos lesiones inflamatorias con altas tasas de metabolismo. Así como tumores con baja tasa de metabolismo que se han convertido en los falsos positivos y negativos de esta técnica (4, 28).
Aspiración percutánea con aguja fina
Es una técnica útil en el estudio de todas las lesiones periféricas, obteniendo muestras adecuadas para el estudio citológico, específicamente en las lesiones de nódulo pulmonar solitario (20, 22, 32).
Toracoscopia
Es útil en aquellos pacientes que por tener lesiones pequeñas y periféricas de difícil acceso por la fibrobroncoscopia es de difícil obtención de la mues-tra, de igual forma nos sirve para el estudio de lesiones satélites y de la extensión del tumor (33).
Fibrobroncoscopia
La fibrobroncoscopia tiene su gran utilidad en el diagnóstico de las neoplasias pulmonares, en aquellas lesiones centrales, en las cuales tanto la visualización directa, como la toma bajo visión directa, hacen que este procedimiento tenga un alto rendimiento diagnóstico ( 20,34,35).
De otro lado, se crearon técnicas para aumentar el rendimiento diagnóstico de la fibrobroncoscopia en las lesionesperiféricas. Por ejemplo, las biopsias guiadas por fluoroscopia, de lesiones tumorales peribronquiales y periféricas.
En este punto es importante recalcar que el rendimiento diagnóstico aumenta con el número de biopsias tomadas. Este un método adicional para mejorar el rendimiento diagnóstico de ésta técnica. Así como de la aspiración transbronquial de las cadenas ganglionares regionales las cuales se pueden estudiar fácilmente por esta vía (20, 34, 35).
Otra de las utilidades diagnósticas de las fibrobroncoscopia. Es el estudio de las lesiones in situ a través del método de autofluorescencia, mediada por los cambios en la refringencia de los diferentes tejidos, dependiendo de la onda de luz. Así como del ángulo de refracción, permitiendo así la identificación tanto de displasia, como de carcinoma in situ.
La utilización de sustancias encaminadas a aumentar la respuesta además de no mejorar rendimiento, aumentan costos y complicaciones (20, 21).
Hay también en la literatura reporte del uso del ultrasonido endoscópico como guía en la toma de biopsias. El cual ha llevado a aumentar el rendimiento diagnóstico de este procedimiento. Sin embargo, es difícil de conseguir en nuestro medio, por lo que no dedicaremos mayores explicaciones a esto (20,36).
Otros usos de la fibrobroncoscopia, están relacionados a la terapéutica, por lo que se describirán en la sección de tratamiento.
Estadificación de las neoplasias pulmonares broncogénica
La estadificación del cáncer pulmonar se rige desde 1997 por las guías dadas por el American Joint Comité on Cancer (AJCC) y La Internacional Union Against Cancer (UICC) (37). Esta estadificación es aplicable a los cuatro tipos de tumores de pulmón más frecuentes, tienen importancia en la programación del tratamiento a seguir, así como del pronóstico (37).
Tabla 4. TNM por estadios
| ESTADIO | SUBGRUPO TNM |
| 0 | Carcinoma N0 M0 |
| IA | T1 N0 M0 |
| IB | T2 N0 M0 |
| IIA | T1 N1 M0 |
| IIB | T2 N1 M0 T3 N0 M0 |
| IIIA | T3 N1 M0 T1 N2 M0 T2 N2 M0 T3 N2 M0 |
| IIIB | T4 N0 M0 T4 N1 M0 T4 N2 M0 T1 N3 M0 T2 N3 M0 T4 N3 M0 |
| IV | Cualquier T o N con M1 |
| Mountain CF: Revisions in the International Staging System for Lung Cancer. Chest 111:1712, 1997, with permission. | |
Tumor primario (T) (37)
– TX: tumor diagnosticado por citología de eo, pero no o bservable.
– T0: no hay evidencia de tumor primario.
– Tis: cáncer in situ.
– T1: tumor menor o igual a 3 cms, envuelto por parénquima pulmonar o pleura visceral sin evidencia endoscópica de invasión proximal.
– T2: mayor de 3 cms o con compromiso de el bronquio a más de 2 cms de la carina o con compromiso de la pleura visceral o con atelectasico o neumonía postobstructiva lobar.
– T3: tumor de cualquier tamaño que invada la pared torácica, o el diafragma o la pleura mediastinal, o el pericardio parietal. O cualquier tumor que invada el bronquio a menos de 2 cms de la carina, o con atelectasia o neumonía postobstructiva de todo el pulmón.
– T4: tumor de cualquier tamaño que invada mediastino, corazón, grandes vasos, tráquea, esófago, cuerpos vertebrales, o carina, con derrame pleural o pericárdico maligno, o con nódulo satélite en el hemitórax ipsilateral.
Ganglios linfáticos regionales (37)
– NX: ganglios regionales no estudiados.
– N0: sin metástasis a ganglios regionales.
– N1: metástasis peribronquiales ipsilaterales, o a ganglios linfáticos ipsilaterales y compromiso de ganglios intrapulmonares por extensión directa del tumor.
– N2: metástasis a ganglios linfáticos ipsilaterales mediastinales o subcarinales.
– N3: metástasis a ganglios linfáticos contralaterales mediastinales e hiliares, a escaleno ipsilateral o contralateral o ganglios linfáticos supraclaviculares.
Metástasis distantes (37)
– MX: presencia de metástasis distantes que no se han podido estudiar.
– M0: sin metástasis.
– M1: con metástasis distantes presentes.
El estadio es asignado a cada paciente al inicio de la enfermedad y no debe cambiar en transcurso de la misma (37).
Tratamiento
El tratamiento del cáncer pulmonar ha sufrido modificaciones a lo largo de la historia, pasando de ser tumores de muy mal pronóstico y mala sobre vida, que ahora ostentan mejoría en la sobrevida a cinco años.
Aún así, siguen siendo una alta causa de mortalidad, y presentan un gran reto terapéutico que podemos dividir en dos ramas, aquellos tratamientos convencionales (Cirugía, Radio y Quimioterapia) y otros tipos de terapia (Broncoscopia Terapéutica y Terapia Génica), la primera usualmente encaminada a la paliación en la gran mayoría de los casos y la segunda en plena evolución.
A continuación trataremos de hacer una aproximación a cada una de ellas, sin embargo, no profundizaremos en cada una, ya que se puede considerar como otra revisión independiente.
Cirugía, radioterapia y quimioterapia
La utilización y los resultados de estas terapias varían de manera importante dependiendo del tipo celular por lo que dividiremos esta sección en dos grupos:
Cáncer de célula no pequeña
Si bien han venido apareciendo medicamentos oncológicos que prometen mejores resultados en el tratamiento del cáncer, la resección anatómica completa sigue siendo la piedra angular en el tratamiento de ésta patología (38).
Sin embargo, la efectividad de estos tratamientos está directamente relacionada al estadio en el que encontremos la enfermedad (38), que no es muy halagador en la gran mayoría de las oportunidades. Es por esto que a continuación revisaremos estas terapias de acuerdo al estadio.
Cáncer oculto
Si bien han sido asociados a el mejor pronóstico, en la gran mayoría de las veces requieren resecciones amplias, debido a su localización central, sin embargo, en la actualidad algunos estudios dirigidos a resecciones limitadas (segmentectomía, lobectomías o bilobectomías) han tenido una gran acogida y han demostrados buenos resultados (38,39).
Estadios I y II
Siguen sendo considerados estadios quirúrgicos, los estudios realizados con estadios con N2 pueden causar controversia con esta afirmación. De acuerdo a la literatura mundial, tanto los estadios IA como IB se correlacionan con altas tasas de sobrevida a los cinco años.
Sin embargo, esto se ha relacionado de manera directa tanto con el tamaño, localización y en los últimos tiempos con el tipo celular (38,39). De ahí podemos afirmar que los de mejor pronóstico son aquellos menores de 1 cm, de localización periférica y los bronquioloalveolares en estadios tempranos (38,39).
Por otro lado, en los estadios IIA esta correlación no ha podido ser probada de manera tan clara, ya que debido a su compromiso ganglionar concomitante, en algunas oportunidades no quedan del todo bien clasificados, o los procedimientos terapéuticos no alcanzan a tener resecciones completas (38,40).
Sin embargo, cuando comparamos entre aquellos que tienen compromiso ganglionar intraparenquimatoso, del compromiso ganglionar extraparenquimatoso, si es clara la mayor tasa de sobrevida en los primeros (38,40).
Estadios IIB
En los estadios IIB la aproximación terapéutica de tipo quirúrgico varia dependiendo del compromiso pleural y de la pared torácica, habiendo cambios tan dramáticos en la sobrevida hasta de un 30% a los 5 años (38,40,41).
De otro lado cuando el Tumor de Pancoast es encontrado, la sobrevida depende del tratamiento escogido, siendo el tratamiento de radioterapia inicial, con posterior resección quirúrgica la que mayor aumento en la sobrevida ha demostrado (38,41,42).
Si bien se han realizado estudios con otros tipos de terapia, para aquellos pacientes que se rehusan a la resección, o que bien por su patología de base tienen contraindicada la resección quirúrgica, los resultados de éstos no han sido esperanzadores (38).
Sin embargo, en algunas situaciones especiales, como en los pacientes ancianos, la radioterapia, sola, ha demostrado tasas de sobrevida de hasta un 31% a los cinco años, todos ellos en estadios I (38,42).
De otro lado, los estudios con algunos regímenes de quimioterapia han demostrado mejorar la sobrevida a los cinco años en un porcentaje mayor que en aquellos tratados con radioterapia de manera exclusiva (38).
Estadios IIA y IIB
De otro lado en estadios IIA y IIB la terapia neoadyuvante ha demostrado aumento de la sobrevida a los cinco años, debido a que aumenta el porcentaje de resecciones exitosas, además de las recaídas en el sitio de la lesión (38,39).
Estadios IIIA
Si bien, por definición, el tratamiento continúa siendo quirúrgico, la definición del estadio es esencial en el éxito de la misma (43). Es por esto que el estudio juicioso del compromiso ganglionar mediastinal es importante en la definición del estadio.
Cuando se revisan los diferentes estudios, se observa una gran variabilidad en la sobrevida a cinco años posiblemente mediado por una mala estadificación inicial lo que lleva a una resección incompleta de la lesión.
De otro lado, tanto la radioterapia, como la quimioterapia adyuvante no han demostrado un efecto importante en la sobrevida, sin embargo, en la gran mayoría de los estudios la radioterapia ha demostrado un impacto importante sobre el control local de la lesión (43,44).
De igual forma la quimioterapia neoadyuvante ha demostrado un aumento de la resecabilidad del tumor y de esta forma también a aumentado la sobrevida, situación que no podido ser lograda con la radioterapia. Sin embargo, la utilización de las dos, si parece tener un beneficio sobre la sobrevida (43).
En algunos estudios que se ha utilizado radioterapia, como terapia única, se ha logrado demostrar mejoría de la sobrevida a los tres años cuando esta se aplica de manera intensiva (43, 45, 46).
Estadio IIIB y IV
En estos pacientes en el que el concepto de curación es poco frecuente, la efectividad de las terapias va encaminada a aumentar la sobrevida y disminuir la sintomatología para de esa forma mejorar calidad de vida, los regímenes mixtos (quimioradioterapia) han demostrado un mayor beneficio, que cada una de las terapias de manera individual (47).
De otro lado, las resecciones quirúrgicas sólo van encaminadas a paliación y sólo deben ser practicadas cuando son estrictamente necesarias.
Cáncer de célula pequeña
Si bien ha sido definido como un buen respondedor, tanto a la radioterapia como a la quimioterapia, la mortalidad relacionada permanece cercana al 95% (48).
Los regímenes de Etopósido asociado a Cisplatino seguidos de radioterapia han demostrado control de la enfermedad en el 80% de los casos con un estadio temprano, teniendo sobrevivas cercanas a el 25% a los cinco años, esta sobrevida desciende de manera dramática en la medida que el estadio es mayor (48, 49).
La quimioterapia ha demostrado beneficio en aquellos pacientes con remisión completa, como terapia profiláctica de las metástasis en sistema nervioso central (48, 50).
Otras terapias
Broncoscopia
Si bien el uso de la fibrobroncoscopia como terapia curativa sólo se limita a los tumores que comprometen exclusivamente la mucosa, su uso paliativo ha venido aumentando en cantidad y efectividad (51-54).
Tanto el láser, como el electrocauterio y la crioterapia han sido utilizados en pacientes con lesiones endobronquiales ayudando a la permeabilización del bronquio disminuyendo así tanto la sintomatología como las complicaciones derivadas de estas lesiones (51,55,56,57).
En algunas ocasiones en las que después de la permeabilización del bronquio la pared demuestra debilidad o parte de la estenosis persiste el uso de stent ha demostrado utilidad (51,58). De otro lado la braquiterapia, la radioterapia endobronquial y la terapia fotodinámica han demostrado utilidad en el control del tamaño tumoral (51,52,53,54,59,60,61).
Terapia génica
Debido a la gran importancia que tienen los genes en la fisiopatología de la enfermedad se debe considerar la terapia génica como una posibilidad, sin embargo, se encuentra en estudio y desarrollo (62).
Bibliografía
1. Smith B.K., Murin S, Matthay R.A. Epidemiology, Etiology and Prevention of Lung Cancer; Clinics in Chest Medicine; March 2002; Vol 23; Number 1.
2. Osann K.E., Ernster V.L., Mustacchi P. Epidemiology of Lung Cancer; Textbook of Respiratory Medicine; Murray – Nadel – Mason – Baushey; Vol 2; W.B. Saunders; 3th Edition; 2000; pag: 1395 – 1414.
3. Matthay R.A., Tanque L.T., Carter D.C.; Lung Neoplasms; Chest Medicine – Essentials of Pulmonary and Critical Care Medicine; George-Light-Matthay. Lippincott Williams å Wilkins; 2000; 4Th Edition; pag 346 – 376.
4. Carcinoma Pulmonar; Diagnóstico de las Enfermedades del Tórax; Fraser-Colman-Müller-Parè; 4Th Edition; Editorial Médica Panamericana. 2002;Vol 2; pag 1061 – 1213.
5. Postmus P.E.; Epidemiology of Lung Cancer; Fishman’s Pulmonary Diseases and Disorders; Fishman A. et al; Mc-Graw Hill;3Th Edition; 1997; Vol 2; pag 1707 – 1717.
6. Schotthenfeld D.; Epidemiology of Lung Cancer; Lung Cancer – Principles and Practice; Pass-Michel-Johnson-Turrisi; pag 305 – 321; Lippincott – Raven Publishers; 1995.
7. Matsukura S, Taminato T, Kitano N, et al. Effects of environmental tobacco smoke on urinary cotinina excretion in non smokers. Evidence for passive smoking; N. Engl J Med 1984; 311: 828 – 832.
8. Tokuhata GR, Lilienfield AM; Familial Aggregation of Lung Cáncer Among Hospital Patient; Public Health Rep 1963; 78:277 – 283.
9. Sekido Y, Fong KM, Gazdar AF, Minna JD. Biology of Lung Cáncer; Textbook of Respiratory Medicine; Murray – Nadel – Mason – Baushey; Vol 2; W.B. Saunders; 3th Edition; 2000; pag: 1375 -1393.
10. Mulligan-Kehoe MJ, Twomey PE, Russo A. General Concepts of Molecular Biology Related to Lung Cáncer; Lung Cancer – Principles and Practice; Pass-Michel-Johnson-Turrisi; Lippincott – Raven Publishers; 1995; pag: 5– 54.
11. Fong KM, Minna JD; Molecular Biology of Lung Cancer; Clinics in Chest Medicine; March 2002; Vol 23; Number 1.
12. Rodenhuis S.; RAS Oncogenes and Human Lung Cáncer; Lung Cancer – Principles and Practice; Pass-Michel-Johnson-Turrisi; Lippincott – Raven Publishers; 1995; pag: 73 – 82.
13. Johnson B.E.; The Role of MYC, JUN, and FOS Oncogenes in Human Lung Cancer; Lung Cancer – Principles and Practice; Pass-Michel-Johnson-Turrisi; Lippincott – Raven Publishers; 1995; pag: 83 – 98.
14. Carbone D., Cratzke R.; RB1 y P53 Genes; Lung Cancer – Principles and Practice; Pass-Michel-Johnson-Turrisi; Lippincott – Raven Publishers; 1995;pag: 107 – 121.
15. Sundaresan V; Rabbitts PH; Genetics of Lung Tumors; Spencers’s Pathology of the Lung; Hasleton PS; 5Th Edition; Mc Graw Hill; 1996; pag: 987 – 1008.
16. World Health Organization / International Association for the Study of Lung Cancer; Histological typing of Lung and Pleural Tumors; 3Th Edition; Berlin, Germany; World Health Organization, 1999.
17. Mooi WJ. Common Lung Cancer; Genetics of Lung Tumors; Spencers’s Pathology of the Lung; Hasleton PS; 5Th Edition; Mc Graw Hill; 1996; pag: 1009 – 1064.
18. Travis WD; Pathology of the Lung Cancer; Clinics in Chest Medicine; March 2002; Vol 23; Number 1.
19. Litzky LA. The Pathology of Non-Small Cell Lung Carcinoma; Fishman’s Pulmonary Diseases and Disorders; Fishman A. et al; 3Th Edition; Hill; Mc-Graw 1997; Vol 2; pag: 1739 – 1758.
20. Mazzone P, Jain P, Arroliga CA, Matthay RA. Bronchoscopy and Needle Biopsy Techniques and Staging of Lung Cancer; Clinics in Chest Medicine; March 2002; Vol 23; Number 1.
21. Nakhosteen JA, Khanavkar B. Autofluorescence Bronchoscopy: The Laser Imaging Fluorescence Endoscope; Interventional Bronchoscopy; Bollinger CT; Mathur PN; Karger; 2000; Vol 30; Pag 236 – 242.
22. Travis WD, Linder J, Mackay B. Classification, Histology, Cytology and Electron Microcopy;.Lung Cancer – Principles and Practice; Pass-Michel-Johnson-Turrisi; Lippincott – Raven Publishers.1995; pag: 361 – 394.
23. Johnson DH, Blanke CH. Small Cell Lung Cancer: Diagnosis, Treatment, and Natural History; Fishman’s Pulmonary Diseases and Disorders; Fishman A. et al; 3Th Edition; Mc Graw Hill; 1997; Vol 2; pag: 1819 – 1831.
24. Koss M, Travis W, Moran C. Pulmonary Sarcomas, Blastomas, Carcinosarcomas, an Teratomas; Spencers’s Pathology of the Lung; Hasleton PS; 5Th Edition; Mc Graw Hill.1996; pag: 1065 – 1109.
25.Margolis ML. Non- SmallCell Lung Cancer – Clinical Aspects,Diagnosis, Staging, and Natural History; Fishman’s Pulmonary Diseases and Disorders; Fishman A. et al; 3Th Edition; Hill; Mc-Graw. 1997; Vol 2; pag: 1759 – 1781.
26. Midthun DE, Jett JR. Clinical Presentation of Lung Cancer; Lung Cancer – Principles and Practice; Pass-Michel-Johnson-Turrisi; Lippincott – Raven Publishers; 1995; pag: 421 – 435.
27.Petty T, Tockman M, Palcic B. Diagnosis of Roentgenographycally Occult Lung Cancer By Sputum Cytology; Clinics in Chest Medicine; March 2002; Vol 23; Number 1.
28. McLoud T; Imaging Techniques for Diagnosis and Staging of Lung Cancer; Clinics in Chest Medicine; March 2002; Vol 23; Number 1.
29. Swenson SJ, Brown LR, Colby TV, et al. Lung Nodule Enhancement al CT: Prospective Findings; Radiology, 1996; 201: 447.
30. Swenson SJ, Viggrano RW, Midthum DE, et al. Lung Nodule Enhancement at CT: Multicenter Study; Radiology 2000; 214:73.
31. Swenson SJ, Morin RI, Schuler BA, et al; Solitary Pulmonary Nodule: CT Evaluation of Enhancement with Iodinated Contrast Material; Radiology 1995; 193:393.
32. Unger M, Sterman D. Bronchoscopy, Transthoracic Needle Aspiration, and Related Procedures; Fishman’s Pulmonary Diseases and Disorders; Fishman A. et al; 3Th Edition; 1995; Mc-Graw Hill; 1997; Vol 2; pag: 589 – 606.
33. Kaiser L. Thoracoscopy; Fishman’s Pulmonary Diseases and Disorders; Fishman A. et al; 3Th Edition; Mc-Graw Hill; 1997. Vol 2; pag: 607 – 618.
34. Edell ES, Cortese DA. Bronchoscopic Localization and Therapy of Occult Lung Cancer; Prakash UBS; Bronchoscopy; Raven Press; 1994; pag: 199 – 226.
35. Minai OA, Dasgupta A, Mehta AC. Transbronchial Needle Aspiration of Central and Peripheral Lesions; Interventional Bronchoscopy; Bollinger CT; Mathur PN; Vol 30; Karger; 2000; Pag: 66 – 79.
36. Becker HD, Herth F. Endobronchial Ultrasound of the Airway and the Mediastinum; Interventional Bronchoscopy; Bollinger CT; Mathur PN; Karger; 2000.;Vol 30; Pag: 80 – 93.
37. Mountain CF. Staging Classification of Lung Cancer: A Critical Evaluation; Clinics in Chest Medicine; March 2002; Vol 23; Number 1.
38. Tanoue LT, Ponn RB. Therapy for Stage I and Stage II Non-Samll Cell Lung Cancer; Clinics in Chest Medicine; March 2002; Vol 23; Number 1.
39. Luketich JD, Ginsberg RJ. Limited Resection Versus Lobectomy for Stage I Non-Small Cell Lung Cancer; Lung Cancer – Principles and Practice; Pass-Michel-Johnson-Turrisi; Lippincott – Raven Publishers; 1995; pag: 561 – 566.
40. Warren WH, Faber LP. Extended Resections for Locally Advanced Pulmonary Carcinomas; Lung Cancer – Principles and Practice; Pass-Michel-Johnson-Turrisi. Lippincott – Raven Publishers; 1995; pag: 567 – 584.
41. Temek BK, Okunieff PG, Pass HI. Chest Wall Disease Including Superior Sulcus Tumor; Lung Cancer – Principles and Practice; Pass-Michel-Johnson-Turrisi; x Lippincott – Raven Publishers; 1995; pag: 567 – 584.
42. Wagner Henry; Radiotherapeutic Management of Stage I and II Lung Cancer; Lung Cancer – Principles and Practice; Pass-Michel-Johnson-Turrisi; Lippincott – Raven Publishers; 1995; pag: 729 – 739.
43. Evans TL, Donahue DM, Mathisen DJ, Lynch TJ. Building a Better Therapy For Stage IIIA Non-Samll Cell Lung Cancer; Clinics in Chest Medicine; Vol 23; March 2002; Number 1.
44. Sause WT, Turrisi AT. Principles and Application of Preoperative and Standard Radiotherapy for Regionally Adnaced Non-Small Cell Lung Cancer; Lung Cancer – Principles and Practice; Pass-Michel-Johnson-Turrisi; Lippincott – Raven Publishers; 1995; pag: 697 – 710.
45. Byhardt RW; Hyperfractionation. Lung Cancer – Principles and Practice; Pass-Michel-Johnson-Turrisi; Lippincott – Raven Publishers; 1995; pag: 711 – 719.
46. Saunders ML. Radiotherapeutic Techniques for Lung Cancer: Accelerated Hyperfractionation; Lung Cancer – Principles and Practice; Pass-Michel-Johnson-Turrisi; Lippincott – Raven Publishers; 1995; pag: 721 – 727.
47. Kim TE, Murren JR. Therapy for Stage IIIB and Stage IV Non-Samll Cell Lung Cancer; Clinics in Chest Medicine; March 2002; pag: 721 – 727; Vol 23; Number 1.
48. Johnson BE. Management of Small Cell Lung Cancer; Clinics in Chest Medicine; March 2002; Vol 23; Number 1.
49. DeVore III RF, Johnson DH. Chemotherapy of Small Cell Lung Cancer; Lung Cancer – Principles and Practice; Pass-Michel-Johnson-Turrisi; Lippincott – Raven Publishers; 1995; pag: 825 – 835.
50. Ball DL, Matthews JP. Prophylactic Cranial Irradiation In Small Cell Lung Cancer; Lung Cancer – Principles and Practice; Pass-Michel-Johnson-Turrisi; Lippincott – Raven Publishers; 1995; pag: 761 – 773.
51. Lee P, Kupeli E, Mehta AC. Therapeutic bronchoscopy in Luna Cancer: Laser Therapy, Elestrocautery, Brachytherapy, Stents and Photodynamic Therapy; Clinics in Chest Medicine; March 2002; Vol 23; Number 1.
52. Mehta MP. Endobronchial Radiotherapy for Lung Cancer; Lung Cancer – Principles and Practice; Pass-Michel-Johnson-Turrisi; Lippincott – Raven Publishers; 1995; pag: 741 – 750.
53. Armstrong JG, Harrison LB. Interstitial Brachytherapy for Lung Cancer; Lung Cancer – Principles and Practice; Pass-Michel-Johnson-Turrisi; x Lippincott – Raven Publishers; 1995; pag: 741 – 750.
54. Shaw EG, McDougall. Bronchoscopic Brachytherapy; Prakash UBS; Bronchoscopy; Raven Press; 1994; pag: 293 – 300.
55. Cavaliere S, Dumon JF. Laser Bronchoscopy; ; Interventional Bronchoscopy; Bollinger CT; Mathur PN; Vol 30; Karger; 2000; Pag: 108 – 119.
56. Sutedja G, Bolliger CT. Endobronchial Electrocautery and Argon Plasma Coagulation; Interventional Bronchoscopy; Bollinger CT; Mathur PN; Karger; 2000; Vol 30; Pag: 120 – 132.
57. Vergnon JM, Mathur PN; Cryotherapy for Endobronchial Disorders; Interventional Bronchoscopy; Bollinger CT; Mathur PN; Vol 30; Karger; 2000; Pag: 133 -14.
58. Freitag L; Tracheobronchial Stents. Interventional Bronchoscopy; Bollinger CT; Mathur PN; Vol 30; Karger; 2000; Pag: 171 – 186.
59. Fischer R, Huber RM. Endoluminal Brachytherapy in Central Lung Cancer; Interventional Bronchoscopy; Bollinger CT; Mathur PN; Vol 30; Karger; 2000; Pag: 146 – 158.
60. Häussinger K, Díaz-Jimenez JP, Rodriguez AN, Stanzel F, et al. Photodynamic Therapy: Palliative and Curative Aspects; Interventional Bronchoscopy; Bollinger CT; Mathur PN; Karger; 2000; Vol 30; Pag: 159 – 170.
61. Bolliger CT; Multimodality Treatment of Advance Pulmonary Malignances; Interventional Bronchoscopy; Bollinger CT; Mathur PN; Vol 30; Karger; 2000; Pag: 187 – 196.
62. Albelda SM, Wiewrodt R, Sterman DH. Gene Therapy for Lung Neoplasms; Clinics in Chest Medicine; March 2002;Vol 23; Number 1.







