Introducción
En el presente artículo del glosario radiológico nos vamos a referir a tres reparos anatómicos observados en las radiografías del tórax, los tres situados en las regiones posteriores, cuya visualización y análisis es importante cuando se está tratando de establecer la etiología de algún proceso patológico que se ubica en esa parte posterior del tórax y causa alteración de las líneas y banda mencionadas.
Esas sombras observadas en las radiografías simples, tienen una excelente representación cuando se observa la imagen axial del tórax como se obtiene mediante la tomografía computarizada y si se quiere también con la imagen por resonancia magnética. Se hará una descripción anatómica y se mencionarán los procesos patológicos que más frecuentemente causan anormalidad o pérdida de visualización de ellas. (Lea también: Definiendo quién pudiera estar enfermo: propedéutica del proceso diagnóstico. MMIV)
Ramón Reina N., M.D. *
* Médico Radiólogo. Director Departamento de Imágenes Diagnósticas. Clínica de Marly. Bogotá
Línea paraespinal
Definición (radiol.): una interfase orientada verticalmente, generalmente observada en una radiografía frontal del tórax a la izquierda (raramente a la derecha) de la columna vertebral torácica. Se extiende desde el arco aórtico hasta el diafragma y representa el contacto entre el lóbulo inferior aireado y tejido mediastinal adyacente. La interfase anatómica está situada posterior a la aorta descendente y se ve entre el margen lateral izquierdo de la aorta y la columna.
Sinónimo: reflexión pleural paraespinal izquierda; Interfase paraespinal.
Comentario: es una característica específica de anatomía radiológica. Cualquiera de los sinónimos citados es preferido puesto que la sombra representa una interfase, no una línea.
Discusión
Cualquiera de estas características anatómicas que se están describiendo, sólo son visibles si se obtienen radiografías del tórax de alta calidad con la técnica de alto kilovoltaje.
Vale la pena mencionar primero la diferencia entre línea, banda e interfase. De acuerdo al comité de nomenclatura de la sociedad Fleishner, una LÍNEA se define como una sombra que se extiende longitudinalmente y no tiene más de 2mm. de amplitud.
Una BANDA es una opacidad compuesta extendida longitudinalmente de 2 a 5 mm. de ancha y una INTERFASE puede definirse como los límites entre las sombras de dos estructuras yuxtapuestas o tejido de diferente textura u opacidad. Por lo tanto, en el caso de la sombra que estamos describiendo, el término más apropiado es el de interfase.
Esta interfase o línea paraespinal es producida por la reflexión de la pleura sobre los cuerpos vertebrales. En el estudio de Woodring y Daniel del análisis mediastinal correlacionando radiografía simple y tomografía computadorizada, la línea paraespinal derecha se observó en 21 % de los casos y la izquierda en 41 %. Medida desde el cuerpo vertebral, la derecha tiene una amplitud de 2 a 4 mm. y la izquierda de 6 a 15.
Esta última se extiende desde el arco aórtico hasta el nivel del diafragma y generalmente se encuentra medial a la línea paraaórtica. Puede verse a lo largo del margen de la línea paraespinal izquierda una línea blanca delgada que representa un fenómeno visual y no la pleura misma como alguna vez se consideró.
Líneas paraespinales
Las líneas paraespinales se encuentran comúnmente desplazadas por osteofitos de la columna torácica. Otras causas de desplazamiento son abscesos paraespinales, enfermedad metastásica, linfoma, hematoma, lipomatosis, agrandamiento de las venas Ácigos y Hemiácigos, derrame pleural, hematopoyesis extramedular y tortuosidad o aneurisma de la aorta torácica descendente.
Una consideración muy importante cuando hay masa en la región paraespinal son los tumores neurogénicos, mencionándose los quistes neuroentéricos los cuales tienen generalmente asociado la presencia de hemivértebra y los tumores sólidos como los de la serie ganglionar (neuroblastoma, ganglioneuroma y ganglioneuroblastoma) que son generalmente de forma oval y elongada extendiéndose de 3 a 5 espacios intercostales y por otro lado los tumores de las vainas nerviosas (schwannoma y neurofibroma) que son redondeados y pequeños extendiéndose máximo 2 espacios.
Línea de unión posterior
Definición
(radiol.) Una opacidad linear o curvilínea orientada verticalmente, de 2 mm. aproximadamente de amplitud, comúnmente proyectada sobre la sombra aérea de la tráquea y usualmente con leve concavidad hacia la derecha.
Es producido por las sombras de las pleuras derecha e izquierda entre los pulmones aireados. Representa el plano de contacto entre los pulmones, posterior a la tráquea y esófago y anterior a la columna; en contraste con la línea de unión anterior, esta línea de unión posterior puede proyectarse arriba y abajo de la muesca supraesternal.
Sinónimos: septum mediastinal posterior; línea mediastinal posterior; línea o banda de unión supraaórtica posterior; mesenterio del esófago.
Comentario: ss una característica específica de anatomía radiológica. Se prefiere el nombre de línea de unión posterior que los de sus sinónimos.
Discusión
La línea de unión posterior se extiende desde la entrada torácica superior hasta la parte alta del arco aórtico. En la radiografía posteroanterior del tórax se diferencia de la línea de unión anterior por su posición más alta, es vertical, retrotraqueal y no está inclinada a la izquierda.
También debe diferenciarse de las bandas paraesofágicas por ser más recta y no con una forma ligeramente abombada. Para que se forme la línea de unión posterior es necesario que el pulmón derecho en el receso supraácigos y el pulmón izquierdo en el receso supraaórtico estén en contacto por detrás del esófago.
Por lo tanto, en muchas personas no se forma esa línea y en el mismo estudio de Woodring, la línea de unión posterior fue visible tan sólo en 32 % de los casos. Alteraciones patológicas en la línea de unión posterior son raras. Tal vez, una de las pocas implicaciones en el análisis de la radiografía de tórax es su reconocimiento para diferenciarla de cualquier otra línea anormal que sea visible en ese lugar.
Banda traqueal posterior
Definición
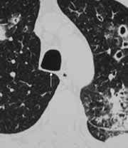
(radiol.) Una opacidad lineal orientada verticalmente, de una amplitud entre 2 y 5 mm., la cual se extiende desde la entrada torácica superior hasta la bifurcación de la tráquea y visible sólo en la radiografía lateral del tórax. Está situada entre la sombra aérea de la tráquea y el pulmón derecho y está formada por la pared traqueal posterior y tejido mediastinal adyacente. (figuras 3a y 3b).

| Figura 3a. Radiografía lateral de tórax: Banda traqueal posterior (flechas). | Figura 3b. TAC mostrando Banda traqueal posterior con pulmón derecho en el receso supraácigos. |
Comentario: es una característica específica de anatomía radiológica.
Discusión
Normalmente la banda traqueal posterior se aprecia como una densidad de tejidos blandos retrotraqueal la cual tiene un diámetro que oscila entre 1 y 5 mm.. Por detrás de la pared posterior de la tráquea puede situarse pulmón derecho , pero en otros casos se sitúa directamente el esófago.
Por lo tanto, en el primer caso se refiere como la verdadera banda traqueal posterior, pero en el segundo, se debe llamar la banda traqueoesofágica en la cual la opacidad de tejidos blandos estará formada por la pared posterior de la tráquea, por la pared anterior del esófago y por tejido mediastinal interviniendo entre los dos.
En el estudio que se ha citado anteriormente, la opacidad retrotraqueal representando la banda se observó en 45 % de los casos.
Cuando se encuentra que la banda supera los límites normales, se puede considerar como causa de ello una alteración de los componentes como puede serlo por engrosamiento o masa de las paredes posterior de la tráquea y anterior del esófago o por alteración del tejido mediastinal como en el caso de adenomegalias o lesiones de tipo vascular. En ocasiones un bocio endotorácico crece en el tórax por detrás de la tráquea y producirá una sombra de tejidos blandos retrotraqueal que causa ensanchamiento de la banda.
Conclusión
Es muy importante el reconocimiento de cualquier línea, banda o interfase en las radiografías de tórax para determinar si corresponden a estructuras anatómicas visualizadas normalmente o están alteradas por procesos patológicos. En el presente artículo se ha realizado la descripción de tres sombras que se observan normalmente, no en todos los pacientes, pero el análisis cuidadoso de la imagen puede orientar a establecer el origen de patologías mediastinales que causan alteración de esas sombras.
Bibliografía
1. ACCP/ATS joints committee on pulmonary nomenclature. Chest 1975; 67: 583.
2. Glossary of terms for thoracic radiology: recommendations of the nomenclature committee of the Fleischner Society. Am J Roentgenol 1984; 143:509
3. Woodring, JH, Daniel TL , Mediastinal analysis emphasizing plain radiographs and computed tomograms. Medical Radiography and Photography. Volume 62, number 1, 1986. Eastman Kodak Company.
4. Proto AV, Speckman JM, The left lateral radiograph of the chest. Medical Radiography and Photography. Volume 55, number 2, 1979. Eastman Kodak Company.
5. Genereux GP. The posterior pleural reflections. AJR 141: 141 – 149, july 1983.






