Hernia Obturatriz: Aspectos clínicos, Imagenológicos y Tratamiento
Obturator Hernia: Clinical, imaging and treatment aspects
Resumen
Introducción. Debido a la rareza de la hernia obturatriz y la imposibilidad para desarrollar estudios controlados de alto grado de evidencia, la mayoría de la literatura al respecto proviene de reportes de casos. Lo anterior, aunado al poco conocimiento del área anatómica de presentación y el cuadro clínico, la convierte en la hernia con mayor mortalidad.
Métodos. Se realizó una búsqueda de la literatura en las principales bases de datos, ilustrado con pacientes manejados en el Servicio de Cirugía general de la Clínica Santa María de Sincelejo, Colombia.
Discusión. La hernia obturatriz se puede descubrir en mujeres ancianas con antecedentes de cirugía abdominal o multiparidad.
El signo de Howship–Romberg, que se presenta en la mitad de los pacientes, puede acompañarse de dolor abdominal en hipogastrio, vómitos y distensión progresiva.
La radiografía de abdomen simple muestra tardíamente niveles hidroaéreos con ausencia de gas en ampolla rectal, pero como es poco específica para demostrar el sitio de obstrucción, es preferible la Tomografía computarizada.
Conclusión. La hernia obturatriz requiere alto índice de sospecha, que ayude a la detección temprana e intervención quirúrgica inmediata, para evitar las complicaciones.
Palabras claves: hernia obturatriz; obstrucción intestinal; dolor abdominal; dolor pélvico; diagnóstico; tomografía computarizada.
Abstract
Introduction. Due to the rarity of the obturator hernia and the impossibility to develop controlled studies with a high degree of evidence, most of the reference in the literature comes from case reports. This, coupled with little knowledge of the anatomical area of presentation and clinical picture, makes it the hernia with the highest mortality.
Methods. A literature search was carried out in the main databases, illustrated with patients managed in the General Surgery Service of the Clínica Santa María de Sincelejo.
Discussion. Obturator hernia can be discovered in elderly women with a history of abdominal surgery or multiparity. The Howship – Romberg sign occurs in half of the patients, it can be associated with lower abdominal pain, vomiting, and progressive distension.
Plain abdominal X-ray shows delayed airfluid levels with absence of gas in the rectal ampulla, but since it is not very specific to demonstrate the site of obstruction, computed axial tomography is preferable.
Conclusion. Obturator hernia requires a high index of suspicion, which helps early detection and immediate surgical intervention, to avoid complications.
Keywords: obturator hernia; intestinal; abdominal pain; pelvic pain; diagnosis; tomography, computed.
Introducción
Una hernia es una protrusión o proyección de un órgano o parte de este a través de la pared corporal que en condiciones normales lo contiene o resguarda 1.
Donde esté ubicada dicha pared le dará el nombre al defecto, de esta forma, cuando alguna víscera intraabdominal o tejido extraperitoneal sale a través del canal obturador, se llamará hernia obturatriz. Esta se puede clasificar según su etiología en 2:
- Hernia congénita: es un defecto presente desde el nacimiento del paciente y en este caso se debe al cierre incompleto de la membrana del agujero obturador 3
- Hernia adquirida: presentación más frecuente en hernia obturatriz, debida al debilitamiento de las líneas fibromusculares de la pared pélvica 2, asociado a malnutrición, pérdida de peso, estreñimiento crónico, edad avanzada y sexo femenino 4
La hernia obturatriz fue descrita por primera vez por Pierre Roland Arnaud de Ronsil en 1724, en la Royal Academy of Sciences of Paris, y en 1851 Obre desarrolla su primera reparación exitosa 5.
De todos los casos de hernias reportados, la obturatriz solo representa el 0,07 % al 1 % 4, lo que hace más difícil su sospecha inicial.
Es por eso que la literatura acerca de estas hernias más raras (Spiegel, lumbar y obturador) se basa en reportes de casos con una revisión de la literatura asociada 6. El fenotipo de un paciente con hernia obturatriz consiste comúnmente en mujeres delgadas y ancianas, por tal razón es llamada “la hernia de las ancianitas” 6.
Métodos
Se realizó una búsqueda de la literatura sobre artículos publicados en las principales bases de datos como PubMed, LILACS y Google académico, desde 1° de enero de 2010 hasta 30 de diciembre de 2020 y algunas de las referencias de los reportes originales, con las palabras claves: hernia obturatriz, obstrucción intestinal, dolor pélvico, pseudo obstrucción intestinal, diagnóstico, tomografía axial computarizada, signo de Howship-Romberg.
La revisión de la literatura se ilustra con fotografías de pacientes atendidos en el servicio de Cirugía General de la Clínica Santa María de Sincelejo, Colombia.
Descripción anatómica
Las paredes laterales de la pelvis menor, compuesta por los huesos coxales derecho e izquierdo 7,8, contienen un foramen obturado y el agujero obturatriz, resultado del cierre incompleto de la membrana obturatriz, formada por fibras fuertes entrelazadas unas a otras (Figura 1).

Figura 1: Anatomía del agujero obturador: 1a y 1d: Cara externa de la pelvis menor. 1b y 1e: Cara interna pelvis menor, cubierto por el músculo obturador interno, permite el paso del paquete vasculo-nervioso obturador. Flecha azul: agujero obturador, borde inferior de la rama ilio-púbica. Flecha naranja: rama isquio-púbica. Elaborada por los autores con piezas anatómicas del programa de Medicina del departamento de morfología de la Universidad de Sucre.
Estas paredes están cubiertas por los músculos obturadores, interno y externo, y se encuentran inervadas por el nervio obturador interno (L5, S1, S2), cuya función principal es la rotación lateral del muslo, ayudando también a mantener la cabeza del fémur en el acetábulo.
Las fibras musculares de cada uno de estos músculos posteriormente se vuelven tendinosas y rotan lateralmente de manera abrupta para poder pasar desde su punto de origen (el cual se encuentra en la pelvis menor) a través del foramen isquiático menor, hasta llegar a su punto de inserción localizado en el trocánter mayor del fémur; por fuera se encuentran relacionados con el músculo pectíneo7-9.
Las superficies mediales de estos músculos están cubiertas por la fascia obturatriz, la cual esta engrosada en la parte central para formar el arco tendinoso, cuya función es proporcionar la fijación al diafragma pélvico 7,8.
Epidemiología
Su incidencia es 6 a 9 veces más frecuente en mujeres que en hombres, posiblemente secundario a la anatomía característica de las mujeres que les otorga una pelvis más grande y ancha, con el canal obturador inclinado horizontalmente 5,10.
Lo anterior, sumado a hábitos de malnutrición o adelgazamiento, dan como resultado una pérdida de grasa preperitoneal y tejido conectivo, que en condiciones normales sella el canal obturador 5.
Posee alto riesgo de complicaciones como incarceración, estrangulación y mortalidad. De hecho, es la hernia con la tasa de mortalidad más alta reportada, en un rango de 12 % al 70 %, debido al diagnóstico tardío, a la necrosis intestinal y comorbilidades asociadas 4,11-14.
Del mismo modo, el riesgo de presentar obstrucción intestinal en la hernia obturatriz es del 90 % 15, sin embargo, de todos los pacientes con obstrucción intestinal, solo 0,2 a 1,6 % son debidos a hernia obturatriz 4.
La obstrucción intestinal suele ser de predominio derecho, sintomáticas hasta en el 6 % y asintomáticas hasta el 34 %.
Fisiopatología y clasificación
La fisiopatología de la hernia obturatriz, descrita por Gray, consta de 3 etapas (figura 2):
Primero inicia con el abultamiento de la grasa preperitoneal a través del agujero obturador debilitado previamente, luego sigue la etapa de desarrollo, que como su nombre lo indica lleva a la formación de un verdadero saco herniario por la prolongación del peritoneo, y por último, en la tercera etapa, hallamos una protrusión de las vísceras abdominales hacia el saco, que involucra principalmente el íleon, en ocasiones con pinzamiento y suboclusión (hernia de Richter), pero también se han descrito el apéndice cecal, divertículo de Meckel, trompa, ovarios, colon y vejiga 11,16,17, con la subsecuente aparición de síntomas clínicos 5.

Figura 2. Fisiopatología de la hernia obturatriz.
Imagen elaborada por los autores, adaptado de la clasificación de Gray y dibujo de Zevallos 17,52
Su clasificación depende del trayecto de la protrusión y su verdadera importancia radica al momento de la cirugía.
Según estudios en cadáveres, se clasifica en 3 tipos (Figura 3): en el tipo, 1 el saco herniario transcurre paralelo a la rama anterior del nervio obturador, por tal motivo también es llamado “tipo rama anterior”; en el tipo 2 el saco herniario pasa paralelo a la rama posterior del nervio obturador, también llamado “tipo rama posterior” y, por último, está el tipo 3 o intermembranoso, nombrado así porque el saco herniario transcurre entre las membranas del músculo obturador interno y el externo; este representa el tipo más raro de hernia obturatriz 18.

Figura 3. Clasificación de la hernia obturatriz.
Imagen elaborada por los autores y adaptado de la clasificación de Gray y dibujo de Skandalakis 3,52
Hallazgos clínicos
La hernia obturatriz típicamente se presenta en pacientes femeninas, en edades entre 70 a 80 años (85 % de los casos) 4, multíparas, con un IMC menor de 25 kg/m2 y con posibles defectos en el piso pélvico 11, generalmente del lado derecho de la pelvis, porque el colon sigmoides cubre con su peso al foramen obturador izquierdo, dejando al derecho en desventaja 5.
Su forma de presentación en el 90 % de los casos consiste en un cuadro de oclusión intestinal 7,15,19 con historia previa de dolor pélvico crónico intermitente y obstrucciones parciales que ceden espontáneamente.
El 60 % de los casos se presentan con vómito y 50 % con dolor abdominal bajo inespecífico 4. Adicional a la forma de presentación de la hernia obturatriz como obstrucción intestinal con incarceración, puede manifestarse con un cuadro clínico de dolor inguinal refractario.
El tipo I es el que con más frecuencia se subdiagnostica 20.
Examen físico – Hernia Obturatriz
Cuando se sospecha una hernia obturatriz, el examen físico inicial se debe enfocar en buscar abultamiento o masa reducible en la región femoral. Adicionalmente, en mujeres, al realizar tacto vaginal se percibe una masa tensa, dolorosa a la palpación, principalmente en el tipo 3.
También, se podría hallar equimosis en la punta del triángulo de Scarpa, que indicaría estrangulamiento de la hernia o necrosis de asa intestinal 1,7.
Se recomienda valorar al paciente acostado en una posición cómoda y buscar los signos de Howship-Romber y Hannington-Kiff.
El signo de Howship-Romberg, descrito por primera por John Howship en 1840 y su fisiopatología explicada por Moritz Heinrich Romberg, es patognomónico de hernia obturatriz, sin embargo, solo se ha demostrado en 15 % a 50 % de los casos reportados.
Este signo se reproduce y confirma mediante la maniobra de abducción, extensión y rotación medial del muslo, con la subsecuente generación de dolor en la zona medial del muslo, debido a la compresión del nervio obturador, que es origen de las ramas que suministran fibras sensitivas al muslo medial distal 21,22.
El signo de Hannington-Kiff es menos frecuente y consiste en la ausencia del reflejo aductor.
Se obtiene colocando el dedo índice perpendicular sobre los aductores (5 cm arriba de la rodilla) e intentando, mediante golpes con el martillo de reflejos, observar la abolición visual o táctil del reflejo (contracción de los aductores), comparándola con el miembro contralateral 5,7. Algunos autores lo consideran más específico 19.
Al parecer el signo de Howship-Romberg es más frecuente en tipo 1 de hernia obturatriz y el signo de Hannington-Kiff en el tipo 2, sin embargo, se necesitan más revisiones y estudios sobre esta relación 18.
Cabe recalcar, siendo de mucha importancia, que debido a la edad avanzada de los pacientes y su osteoartritis concomitante no siempre se puede evaluar correctamente estos signos 17.
Imágenes diagnósticas
Dada su baja incidencia, la hernia obturatriz puede representar un reto diagnóstico para el radiólogo y el cirujano 20. La evaluación con radiografía convencional es inespecífica y en su forma de presentación como obstrucción intestinal muestra signos de distensión de asas y niveles hidroaéreos (Figura 4).

Figura 4. Radiografía simple de abdomen (A) y Tomografía computarizada (B), donde se aprecia distensión intestinal, con ausencia de gas en colon izquierdo y recto (Flechas). Fotografías originales tomadas de los estudios de imágenes de pacientes. AB
Ocasionalmente se aprecia gas intraluminal (burbuja gaseosa) en las proximidades de la rama iliopúbica o del agujero obturador, siendo esta última muy sugestiva de hernia obturatriz 7,23.
La utilidad del ultrasonido es limitada y operador dependiente, sin embargo, puede jugar un papel en el diagnóstico temprano, al demostrarse el segmento intestinal herniado como una lesión quística, de pared engrosada y localización profunda al músculo pectíneo.
Este músculo es la estructura de referencia para diferenciar una hernia obturatriz de una hernia femoral, pues en esta última se observa la hernia ventral al músculo pectíneo, en el espacio subcutáneo.
La cantidad de líquido peritoneal y la actividad peristáltica pueden variar en la hernia obturatriz, según el grado de incarceración 24.
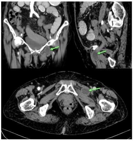
La tomografía computarizada (TC) de pelvis es el estándar dorado para el diagnóstico de esta entidad, porque su sensibilidad puede ser mayor al 90 % 4,25 y es capaz de mostrar hernias bilaterales asintomáticas.
Fue sugerida desde 1983 por Cubillos, y su imagen típica es una burbuja con un nivel hidroaéreo, localizada entre el músculo obturador externo y el pectíneo (Figura 5) o entre ambos músculos obturadores (hernia obturatriz tipo 3 o intermembranosa).

Figura 5. Hernia obturatriz izquierda incarcerada sin signos de isquemia en Tomografía axial computarizada de abdomen doble contraste; muestra el paso del intestino delgado a través del agujero obturador, entre el músculo obturador externo y el pectíneo izquierdo (Flecha verde). Fotografías originales tomadas de los estudios de imágenes de pacientes.
En otras ocasiones, esta imagen representa el segmento de asa intestinal con el saco herniario protruyendo entre los músculos pectíneo y obturador externo en el tipo I 7,10,17,26-28.
Un estudio japonés con 43 pacientes logró medir el impacto que tuvo el descubrimiento y el desarrollo de la TC en el diagnóstico oportuno de la hernia obturatriz, demostrando que el grupo B, tratado luego de 1987 (año en que se adoptó la TC para diagnosticar hernia obturatriz en el país nipón), tuvo una precisión de diagnóstico prequirúrgico de 80 % versus 43 % del grupo A (tratados entre 1968 y 1986), además de menor tasa de resección y mortalidad (5 % vs 30,4 %).
Concluyendo así la importancia de esta técnica imagenológica, que mejora el panorama vital en la reducción de morbimortalidad de los pacientes con hernia obturatriz 29, tanto así que para algunos autores, el desarrollo de la TC fue comparable en el siglo XX con el descubrimiento de los rayos X por Wilhelm Conrad Röntgen 30.
Por último, debido a su superior resolución tisular, la resonancia magnética nuclear (RMN) muestra mayor valor diagnóstico en la identificación de hernias tipo I y sensibilidad similar a la TC en el tipo II y III, sin embargo, su disponibilidad en el ámbito de urgencia tiende a ser limitada o retardada, por lo que no es mejor opción que la TC 17.
Con imágenes coronales y axiales T2 y axial STIR (secuencia empleada que permite suprimir la señal de determinados elementos o tejidos específicos, como grasa o agua), se muestra el saco herniario distendido por líquido entre los músculos pectíneo y obturador externo (Figura 6).

Figura 6. Resonancia magnética nuclear de pelvis que permite visualizar una hernia obturatriz tipo 2. Imágenes coronales y axiales T2 (arriba) y axial STIR (abajo) mostrando saco herniario distendido por líquido entre músculos pectíneo y obturador externo derecho. Fotografías originales tomadas de los estudios de imágenes de pacientes.
Diagnóstico diferencial
La presencia de signo de Howship-Romber también se puede encontrar en pacientes con coxartrosis 19. Además, se deben tener en cuenta otros diagnósticos como hernia femoral, neuralgia genitofemoral posterior a herniorrafía y dolor pélvico crónico.
Entre las razones por las cuales se retrasa el diagnóstico y el respectivo tratamiento, están la baja incidencia de la patología, su cuadro clínico totalmente inespecífico y la consecuente baja sospecha clínica, que pueden estar relacionados con el aumento de la tasa de estrangulación y mortalidad, que se presentan entre el 25-100 % y el 12-70 % de casos de hernia obturatriz, respectivamente 19.
Tratamiento y técnica quirúrgica – Hernia Obturatriz
Solo el 21,5 al 31,3% de pacientes con hernia obturatriz son diagnosticados correctamente antes de la cirugía 4.
Generalmente, la obstrucción intestinal es la que motiva el tratamiento quirúrgico, por lo que los pacientes son llevados a laparotomía exploratoria, con hallazgos intraoperatorio de hernia obturatriz incarcerada (Figura 7), asociada o no a necrosis del intestino delgado, acorde al tiempo de evolución, lo que obliga a practicar resección intestinal con anastomosis 13,19,31.

Figura 7. Reducción del asa intestinal delgada estrangulada a través de un defecto de hernia obturatriz; obsérvese la estrangulación del yeyuno (flecha verde). Fotografías originales del procedimiento quirúrgico tomadas por los autores.
Aunque la vía laparoscópica ha venido aumentando su participación en el estudio de dolores pélvicos crónicos y resolución de las hernias con buenos resultados 32-34, no ha sido abiertamente aceptada para hernia obturatriz debido a su mayor tiempo operatorio y alto costo 10, a pesar de que un reciente estudio demostró que no hay diferencias significativas en el tiempo de cirugía laparoscópica versus vía abierta, y posee estancias hospitalarias menores, además de menos complicaciones y mortalidad 35,36.
Existe una gran variedad de técnicas para el tratamiento de la hernia obturatriz, y su escogencia depende de las condiciones del paciente, etapa de la herniación, presentación clínica, sea de urgencias o programada, con alternativas quirúrgicas intra, extraperitoneales o mixtas, reducción cerrada y luego corrección laparoscópica 7,13,33,34:
– Laparotomía:
Es el procedimiento tradicional. La incisión mediana infraumbilical es la preferida en cirugía de urgencias con alta sospecha de estrangulación o necrosis intestinal, cuyas ventajas residen en la obtención de una mejor exposición del campo de visión sobre el saco herniario, la posibilidad de generar un diagnóstico definitivo, además de realizar una resección intestinal con anastomosis, si es necesario 10,17,36-41.
Se inicia con la incisión infraumbilical mediana, se continúa la exploración sistemática del intestino para descubrir el asa incarcerada en el conducto obturador, utilizando pinza atraumática para evitar la apertura accidental del intestino, con salida de material contaminante 7.
– Vía laparoscópica:
Es el procedimiento en auge y cada día hay más reportes de técnicas sea la totalmente extraperitoneal (TEP), para casos programados, y la transabdominal preperitoneal (TAPP), en situación de urgencia o en estudio de dolor pélvico crónico, logrando diagnóstico de bilateralidad en un 6 %, con un 10 % de conversión a laparotomía 13,35,39.
Se utiliza esencialmente en caso de asociación de hernia obturatriz con hernia inguinal o femoral, y se inicia con el posicionamiento del paciente, la creación del neumoperitoneo y la ubicación de los trocares, con incisión por encima de las fositas inguinales; se procede a la disección del colgajo inguinal, reducción del saco y aplicación de la malla en el espacio extraperitoneal, cubriendo la zona de las hernias inguinales directa e indirecta, con posterior cierre del peritoneo 7.
– Vía abierta transinguinal o transfemoral:
Es una técnica en desuso por la dificultad técnica para reducir el saco herniario y el manejo del asa intestinal. 42. Algunas veces se cierra el defecto aproximando el músculo obturador afectado y el músculo pectíneo con sutura no absorbible 22.
Generalmente los defectos se corrigen con prótesis (malla), aún más cuando se asocian a hernia inguinal o femoral, sin embargo, hay controversias en los casos con gangrena o perforación intestinal y peritonitis, considerando el reparo del defecto con solo sutura, colgajos de aponeurosis y periostio, aunque es difícil por lo fibroso del área y tiene una alta incidencia de recidiva, superior al 22% 13,32,40,41.
La guía de reparación de emergencia de hernias de pared abdominal del año 2017 recomienda, con el mejor grado de evidencia posible, el uso de mallas solo en hernias con incarceración intestinal, debido al bajo nivel de recurrencia y no aumento de tasa de infección del sitio operatorio en comparación con la reparación de tejidos 43,44.
Por otro lado, en caso de necrosis intestinal o peritonitis es preferible inicialmente la reparación primaria, a saber el tratamiento más común para hernia obturatriz 45, mientras que la malla resulta de segunda opción, para casos de reparación sin éxito, con un grado 2C de evidencia, es decir, muy baja recomendación 44. Al contrario, en casos con estrangulación y resección intestinal, las recomendaciones resultan controversiales.
Por ejemplo, un metaanálisis con nueve estudios vinculados en su metodología de investigación, determinó que en pacientes con estrangulación la tasa de recurrencia e infección de la herida fue menor en reparación con malla que en el grupo sin malla, sin embargo, concluyen que en casos de resección intestinal no se podría recomendar, sin importar que las tasas de infección del sitio operatorio fueron similares en ambos grupos 46.
Así mismo, otro estudio prospectivo de 6 años no encontró diferencias en morbilidad, infección o recurrencia de la hernia con el uso de mallas en resección intestinal 47, y otro estudio de 10 años concluye que la no viabilidad del intestino en casos de hernia abdominal no es una contraindicación para reparación con malla 43.
En definitiva, varias series actuales de revisiones sistemáticas demuestran la mejoría significativa de la tasa de morbilidad perioperatoria con el uso de malla versus reparación sin malla 13, empero no se ha logrado determinar un grado alto de evidencia para su uso en casos de resección intestinal.
La técnica del tapón con malla (Figura 8) necesita una adecuada calibración y ha logrado menos complicaciones de compresión del paquete neurovascular, tales como neuralgias difíciles de tratar 12, rechazo a cuerpo extraño y recurrencia herniaria.

Figura 8. Disección del saco herniario y corrección del defecto con técnica de tapón de malla de polipropileno (flecha verde). Fotografías originales del procedimiento quirúrgico tomadas por los autores.
Algunos autores fijan la malla al ligamento de Cooper y al músculo obturador interno 40 y otros no la fijan 41.
Complicaciones
La hernia obturatriz posee alto riesgo de incarceración y estrangulación, que conlleva un 75 % de resecciones intestinales y posible mortalidad, que va desde el 12 % hasta el 70 % de los casos 7,11,16. Este hecho se relaciona con las edades de los pacientes, comorbilidades y, sobre todo, con el retraso en el diagnóstico y la intervención, que aumentan la tasa de morbimortalidad según varias revisiones 16,17,19,48.
La infección del sitio operatorio es la principal complicación de las hernias de pared abdominal 44, y la hernia obturatriz no es una excepción a esta regla. También, se le suman otras como insuficiencia respiratoria aguda, íleo paralítico, insuficiencia cardiaca, peritonitis y necrosis intestinal 4,16.
Las complicaciones del tratamiento quirúrgico incluyen sangrado y hemorragia, recurrencia de la hernia, neuralgia del nervio obturador, falla en la anastomosis y sepsis 48.
Pronóstico – Hernia Obturatriz
La morbilidad y mortalidad asociada en pacientes con hernia obturatriz se verá influenciada proporcionalmente por la prontitud del diagnóstico y el manejo quirúrgico, encontrándose en diferentes revisiones que la tomografía computarizada influye positivamente cuando es incluida tempranamente en la evaluación y no modifica el pronóstico en pacientes con presentación clínica retardada 49,50.
De esta manera, la morbimortalidad de los pacientes con hernia obturatriz tenderá a ser alta dada la edad de presentación y sus diferentes comorbilidades como EPOC, falla renal crónica o cardiopatía isquémica 48,51.
Conclusión – Hernia Obturatriz
La hernia obturatriz es una enfermedad de la mujer anciana con desnutrición, difícil de diagnosticar a tiempo porque es poco frecuente, con una alta morbimortalidad debido a la rigidez del canal obturador, además de síntomas indirectos de obstrucción intestinal, signos difíciles de encontrar como la neuralgia, anestesia por compromiso del nervio obturador, o el abultamiento cubierto por el músculo pectíneo en la región femoral.
Solo la sospecha clínica temprana y el conocimiento de la patología, apoyada en el estudio imagenológico de elección, como la tomografía axial computarizada contrastada, llevan a disminuir el retardo diagnóstico y la morbimortalidad, así como lograr el tratamiento oportuno.
La corrección del defecto se puede realizar por vía abierta, generalmente con incisión mediana infraumbilical, o por vía laparoscópica, con uso de malla.
Sobre esta, los autores recomiendan su uso en hernias con incarceración intestinal, pero no en necrosis intestinal, mientras que en peritonitis y estrangulación intestinal se deberá revisar la relación riesgo/beneficio y la posibilidad de complicaciones dependiendo del grado de la hernia obturatriz.
De la misma forma, se podría emplear desde cierre simples, colgajos de vecindad en etapas iniciales, hasta el uso de prótesis en estadios tardíos, e incluso resección intestinal y anastomosis en algunos casos.
En resumen, la hernia obturatriz tipo 1 se repara con plicatura local con fijación al periostio, mientras que el tipo 2 y 3 se repara mediante la técnica de tapón de malla o, si está asociada a hernias femoral o inguinal, la colocación de mallas planas cobijando los defectos correspondientes.
Cumplimiento de normas éticas
Consentimiento informado: Las ilustraciones son originales y las fotografías fueron tomadas de la intervención quirúrgica y los estudios imagenológicos, previa autorización por la paciente para su publicación con diligenciamiento del respectivo consentimiento.
Las imágenes no han sido alteradas digitalmente y representan fielmente los hechos. El presente trabajo es una revisión de la literatura por lo que no requirió aprobación por el Comité de ética.
Financiamiento: Se realizó con recursos propios de los autores.
Conflictos de interés: Los autores declaran no tener conflictos de interés.
Contribución de los autores
Concepción y diseño del estudio: Alfonso Palmieri-Luna, Jaime Andrés González-Vega, Adriana María Palmieri-Hernández y Linda Lucía Guardo-Martínez.
Adquisición, análisis y síntesis de artículos: Alfonso Palmieri-Luna.
Redacción del manuscrito: Alfonso Palmieri-Luna, Jaime Andrés González-Vega, Adriana María Palmieri – Hernández, Luz Adriana Hernández-Amín, Linda Lucía Guardo-Martínez y Alfredo Navarro-Ucrós.
Revisión crítica: Alfonso Palmieri-Luna y Jaime Andrés González-Vega.
Referencias – Hernia Obturatriz
1. Brooks D. Overview of abdominal wall hernias in adults. Up to date. 2020. Fecha de consulta: 22 de agosto de 2021. Disponible en: https://www.uptodate.com/contents/overview-of-abdominal-wall-hernias-in-adults
2. Vacca VM. Hernia inguinal. La lucha contra la protru-sión. Nursing. 2018;35:26-33. https://doi.org/10.1016/j.nursi.2018.03.009
3. Skandalakis LJ, Skandalakis PN, Colborn GL, Skandala-kis JE. Obturator hernia: embryology, anatomy, surgery. Hernia. 2000;4:121-8. https://doi.org/10.1007/BF02353761
4. Allamand JF, Schönffeldt K, Campero JM, Santibáñez C, Rojas N. Obstrucción intestinal por hernia obturatriz: Serie de casos. Rev Cir (Mex). 2019;71:173-7. https://doi.org/10.4067/s2452-45492019000200173
5. Rona K, Bildzukewicz NA. Lumbar, pelvic, and uncommon hernias. In: Yeo C, Matthews JB, Fleshman JW, editors. Shackelford’s Surgery of the Alimentary Tract. Volume 2, Chapter 54. 8th ed. Elsevier; 2019. p. 606–20. https://doi.org/10.1016/B978-0-323-40232-3.00054-6
6. Fitzgibbons RJ, Anthone G, Tieszen M. Management of Spigelian, lumbar, and obturator herniation. In: Cameron JL, Cameron AM, editors. Current surgical therapy. 13th ed. Philadelphia: Elsevier; 2020. p. 1466.
7. Pélissier E, Ngo P, Armstrong O. Tratamiento quirúrgico de las hernias obturatrices. EMC – Técnicas Quirúrgicas – Aparato Digestivo. 2010;26:1-5. https://doi.org/10.1016/S1282-9129(10)70115-X
8. Moore KL, Dailey AF, Agur AMR. Pelvis y periné. In: Moore Anatomia con orientacion clinica. 8th ed. Philadelphia: Wolters Kluwer Lippincott Williams & Wilkins; 2017. p. 1022–211.
Otras Referencias – Hernia Obturatriz
9. Nayak SB, Deepthinath R, Prasad AM, Shetty SD, Aithal AP. A South Indian cadaveric study on obturator neurovascular bundle with a special emphasis on high prevalence of ‘venous corona mortis.’ Injury. 2016;47:1452-5. https://doi.org/10.1016/j.injury.2016.04.032
10. Liu J, Zhu Y, Shen Y, Liu S, Wang M, Zhao X, et al. The feasibility of laparoscopic management of incarcerated obturator hernia. Surg Endosc. 2017;31:656-60. https://doi.org/10.1007/s00464-016-5016-5
11. Federle MP, Raman SP, Tublin ME, editors. Defect in Abdominal Wall (Hernia). In: ExpertDDx: Abdomen and Pelvis. 2nd ed. Philadelphia: Elsevier; 2017. p. 399–417.
12. Tchupetlowsky S, Losanoff J, Kjossev K. Bilateral obturator hernia: A new technique and a new prosthetic material for repair—Case report and review of the literature. Surgery. 1995;117:109-12. https://doi.org/10.1016/S0039-6060(05)80237-5
13. Schizas D, Apostolou K, Hasemaki N, Kanavidis P, Tsapralis D, Garmpis N, et al. Obturator hernias: a systematic review of the literature. Hernia. 2021;25:193-204. https://doi.org/10.1007/s10029-020-02282-8
14. Chan KV, Chan CKO, Yau KW, Cheung MT. Surgical morbidity and mortality in obturator hernia: a 10-year retrospective risk factor evaluation. Hernia. 2014;18:387-92. https://doi.org/10.1007/s10029-013-1169-5
15. Tublin M, Borhani AA, Alessandro F, Heller MT, editors. Hernia. In: Diagnostic Imaging: Genitourinary. 3rd ed. Ámsterdam: Elsevier; 2016. p. 508-11.
16. Rodríguez-Hermosa JI, Codina-Cazador A, Maroto-Ge-nover A, Puig-Alcántara J, Sirvent-Calvera JM, Gar-sot-Savall E, Roig-García J. Obturator hernia: clinical analysis of 16 cases and algorithm for its diagnosis and treatment. Hernia. 2008;12:289-97. https://doi.org/10.1007/s10029-007-0328-y
Bibliografías – Hernia Obturatriz
17. Zevallos-Quiroz JC. Actualización en el manejo de la hernia obturatriz complicada. Rev Hispanoam Hernia. 2020;8:131-6. https://doi.org/10.20960/rhh.00295
18. Karasaki T, Nakagawa T, Tanaka N. Obturator hernia: the relationship between anatomical classification and the Howship–Romberg sign. Hernia. 2014;18:413-6. https://doi.org/10.1007/s10029-013-1068-9
19. Eguaras-Cordoba I, Sánchez-Acedo P, Fernández-Velilla San José B, Otegi-Altolagirre I, Goikoetxea-Urdiain A, Mateo-Retuerta J, Hernando-Sanz A. Análisis de nuestra experiencia en el diagnóstico y tratamiento de la hernia obturatriz en un hospital de tercer nivel. An Sist Sanit Navar. 2018;41:201-4. https://doi.org/10.23938/ASSN.0298
20. Droukas DD, Zoland MP, Klein DA. Radiographic and surgical findings of type I obturator hernias in patients with refractory groin pain. Clin Imaging. 2019;55:35-40. https://doi.org/10.1016/j.clinimag.2019.01.016
21. Schoeff JE. Abdominal Wall Hernias. In: Stehr W, editor. The Mont Reid Surgical Handbook. 6th ed. Philadelphia: Saunders Elsevier; 2008. p. 227-41.
22. Saeed R, Ahmed M, Lara G, Mahmoud A, Nurick H. Howship-Romberg sign and bowel obstruction: A case report. Cureus. 2019;11:e5066. https://doi.org/10.7759/cureus.5066
23. Hsu CH, Wang CC, Jeng LB, Chen MF. Obturator hernia: a report of eight cases. Am Surg. 1993;59:709-11.
24. Ogata M. Incarcerated obturator hernia: pitfalls in the application of ultrasound. Crit Ultrasound J. 2009;1:59-63. https://doi.org/10.1007/s13089-009-0017-4
Otras Bibliografías – Hernia Obturatriz
25. González-Ospina DA, Ortega-Toscano CA, Flórez-Arango N, Flórez-Leguía MK. Hernia obturatriz y obstrucción intestinal. Reporte de caso. Rev Hispanoam Hernia. 2016;4:179-83. https://doi.org/10.1016/j.rehah.2016.06.002
26. Cubillo E. Obturator hernia diagnosed by computed tomography. Am J Roentgenol. 1983;140:735-6. https://doi.org/10.2214/ajr.140.4.735
27. Petrie A, Tubbs RS, Matusz P, Shaffer K, Loukas M. Obturator hernia: Anatomy, embryology, diagnosis, and treatment. Clin Anat. 2011;24:562-9. https://doi.org/10.1002/ca.21097
28. Aguirre DA, Casola G, Sirlin C. Abdominal wall hernias: MDCT findings. Am J Roentgenol. 2004;183:681-90. https://doi.org/10.2214/ajr.183.3.1830681
29. Kammori M, Mafune KI, Hirashima T, Kawahara M, Hashimoto M, Ogawa T, et al. Forty-three cases of obturator hernia. Am J Surg. 2004;187:549-52. https://doi.org/10.1016/j.amjsurg.2003.12.041
30. Bosch E. Sir Godfrey Newbold Hounsfield y la tomografia computada, su contribucion a la medicina moderna. Rev Chil Radiol. 2004;10:183-5. https://doi.org/10.4067/S0717-93082004000400007
31. Chang SS, Shan YS, Lin YJ, Tai YS, Lin PW. A Review of obturator hernia and a proposed algorithm for its diagnosis and treatment. World J Surg. 2005;29:450-4. https://doi.org/10.1007/s00268-004-7664-1
32. Hayama S, Ohtaka K, Takahashi Y, Ichimura T, Senmaru N, Hirano S. Laparoscopic reduction and repair for incarcerated obturator hernia: comparison with open surgery. Hernia. 2015;19:809-14. https://doi.org/10.1007/s10029-014-1328-3
Lecturas Recomendadas – Hernia Obturatriz
33. Kawanaka H, Hiroshige S, Kubo N, Hirashita T, Masuda T, Kaisyakuji Y, et al. Therapeutic strategy for incarcerated obturator hernia using preoperative manual reduction and laparoscopic repair. J Am Coll Surg. 2018;226:891-901. https://doi.org/10.1016/j.jamcollsurg.2018.02.009
34. Cahais J, Lupinacci RM, Valverde A. Laparoscopic treatment for stranguled obturator hernia (with video). J Visc Surg. 2017;154:377-8. https://doi.org/10.1016/j.jviscsurg.2017.08.008
35. Ng DCK, Tung KLM, Tang CN, Li MKW. Fifteen-year experience in managing obturator hernia: From open to laparoscopic approach. Hernia. 2014;18:381-6. https://doi.org/10.1007/s10029-013-1080-0
36. Chen D, Fei Z, Wang X. Bowel obstruction secondary to incarcerated obturator hernia. Asian J Surg. 2017;40:193-6. https://doi.org/10.1016/j.asjsur.2015.08.003
37. Kulkarni SR, Punamiya AR, Naniwadekar RG, Janugade HB, Chotai TD, Singh TV, Natchair A. Obturator hernia: A diagnostic challenge. Int J Surg Case Rep. 2013;4:606-8. https://doi.org/10.1016/j.ijscr.2013.02.023
38. Liao CF, Liu CC, Chuang CH, Hsu KC. Obturator hernia: A diagnostic challenge of small-bowel obstruction. Am J Med Sci. 2010;339:92-4. https://doi.org/10.1097/MAJ.0b013e3181bc2129
39. Otsuki Y, Konn H, Takeda K, Koike M. Midline extraperitoneal approach for obturator hernia repair. Keio J Med. 2018;67:67-71. https://doi.org/10.2302/kjm.2017-0014-OA
40. Bueno J, Serralta A, Dobón F, Galeano J, Ballester C, Ibáñez F, et al. Reparación de hernia obturatriz con malla de polipropileno. Cir Esp. 2000;67:516-7.
Otras Lecturas Recomendadas – Hernia Obturatriz
41. Carreño-Sáenz O, Pous-Serrano S, Aguilar-Martí M, Bordallo-Vázquez M, Iserte-Hernández J, Carbone-ll-Tatay F. Tratamiento urgente de la hernia obturatriz encarcelada mediante hernioplastia laparoscópica. A propósito de un caso y revisión de la literatura. Rev Hispanoam Hernia. 2014;2:17-21. https://doi.org/10.1016/j.rehah.2013.10.002
42. Milligan ETC. The inguinal route for radical cure of obturator hernia. Br Med J. 1919;2:134-5. https://doi.org/10.1136/bmj.2.3057.134-a
43. Bessa SS, Abdel-Fattah MR, Al-Sayes IA, Korayem IT. Results of prosthetic mesh repair in the emergency management of the acutely incarcerated and/or strangulated groin hernias: a 10-year study. Hernia. 2015;19:909-14. https://doi.org/10.1007/s10029-015-1360-y
44. Birindelli A, Sartelli M, Di Saverio S, Coccolini F, Ansaloni L, van Ramshorst GH, et al. 2017 update of the WSES guidelines for emergency repair of complicated abdominal wall hernias. World J Emerg Surg. 2017;12:37. https://doi.org/10.1186/s13017-017-0149-y
45. Holm MA, Fonnes S, Andresen K, Rosenberg J. Laparotomy with suture repair is the most common treatment for obturator hernia: a scoping review. Langenbecks Arch Surg. 2021;406:1733-8. https://doi.org/10.1007/s00423-021-02293-8
46. Hentati H, Dougaz W, Dziri C. Mesh repair versus nonmesh repair for strangulated inguinal hernia: Systematic review with meta-analysis. World J Surg. 2014;38:2784-90. https://doi.org/10.1007/s00268-014-2710-0
47. Ellatif MEA, Negm A, Elmorsy G, Al-Katary M, Yousef AEAM, Ellaithy R. Feasibility of mesh repair for strangu-lated abdominal wall hernias. Int J Surg. 2012;10:153-6. https://doi.org/10.1016/j.ijsu.2012.02.004
48. Yokoyama Y, Yamaguchi A, Isogai M, Hori A, Kaneoka Y. Thirty-six cases of obturator hernia: Does computed tomography contribute to postoperative outcome? World J Surg. 1999;23:214-7. https://doi.org/10.1007/PL00013176
Fuentes Bibliográficas – Hernia Obturatriz
49. Nasir BS, Zendejas B, Ali SM, Groenewald CB, Heller SF, Farley DR. Obturator hernia: the Mayo Clinic experience. Hernia. 2012;16:315-9. https://doi.org/10.1007/s10029-011-0895-9
50. Nishina M, Fujii C, Ogino R, Kobayashi R, Kohama A. Preoperative diagnosis of obturator hernia by computed tomography in six patients. J Emerg Med. 2001;20:277-80. https://doi.org/10.1016/S0736-4679(01)00281-5
51. Mandarry MT, Zeng SB, Wei ZQ, Zhang C, Wang ZW. Obturator hernia a condition seldom thought of and hence seldom sought. Int J Colorectal Dis. 2012;27:133-41. https://doi.org/10.1007/s00384-011-1289-2
52. Gray SW, Skandalakis JE, Soria RE, Rowe JS. Strangula-ted obturator hernia. Surgery. 1974;75:20-7.
Autores – Hernia Obturatriz
1 Alfonso Palmieri-Luna, Médico, especialista en Cirugía General y Cirugía Laparoscópica, Clínica Santa María; Miembro de la Asociación Colombiana y Latino americana de Cirugía; docente de cátedra, Programa de Medicina, Universidad de Sucre, Sincelejo, Colombia.
2 Jaime Andrés González-Vega, Médico Interno, Universidad de Sucre, Clínica Santa María, Sincelejo, Colombia.
3 Adriana María Palmieri-Hernández, Estudiante de Medicina, Universidad del Norte, Barranquilla, Colombia.
4 Luz Adriana Hernández-Amin, Enfermera profesional, maestría en Enfermería, especialista en Auditoría y Salud Ocupacional; coordinadora de la relación docencia-servicio, Facultad de Ciencias de la Salud, Universidad de Sucre, Sincelejo, Colombia.
5 Linda Lucía Guardo-Martínez, Médica, Universidad de Sucre, Sincelejo, Colombia.
6 Alfredo Carlos Navarro-Ucros, Médico, especialista en Radiología e Imágenes diagnóstica, IPS Imagen diagnóstica, Escanografía Sincelejo, Clínica Santa María, Sincelejo, Colombia
Fecha de recibido: 07/09/2021 – Fecha de aceptación: 16/10/2021 – Publicación en línea: 06/04/2022
Correspondencia: Alfonso Palmieri-Luna, MD, ACC, FELAC, Carrera 43 # 25A – 04, Sincelejo, Colombia. Teléfono: +57 3205122401.
Dirección electrónica: alfonsopalmieri@hotmail.com, alfonso.palmieri@unisucre.edu.co
Citar como: Palmieri-Luna A, González-Vega JA, Palmieri-Hernández AM, Hernández-Amin LA, Guardo-Martínez LL, Navarro-Ucros AC. Hernia obturatriz: Aspectos clínicos, imagenológicos y tratamiento. Rev Colomb Cir. 2022;37:455-68. https://doi.org/10.30944/20117582.975
Este es un artículo de acceso abierto bajo una Licencia Creative Commons – BY-NC-ND https://creativecommons.org/licenses/by-nc-nd/4.0/deed.es





