Feocromocitoma Adrenal Gigante Derecho. Reporte de un caso
Right Giant Adrenal Ppheochromocytoma. A case report
Resumen
Introducción. El feocromocitoma es una neoplasia endocrina productora de catecolaminas, poco común, que generalmente se origina en la medula suprarrenal, y rara vez en el tejido cromafín extraadrenal, dándosele el nombre de paraganglioma.
Existe una gran variedad de signos y síntomas secundarios a la secreción excesiva de catecolaminas por lo que su diagnóstico y tratamiento oportunos son fundamentales para evitar complicaciones potencialmente fatales.
Caso clínico. Paciente femenina de 54 años, con dolor abdominal intermitente y con aumento progresivo, localizado en el cuadrante superior derecho.
Por estudios imagenológicos se diagnosticó una gran masa suprarrenal derecha, con pruebas de laboratorio que encontraron niveles de metanefrinas y catecolaminas en orina normales.
Discusión. Debido al tamaño del tumor y al íntimo contacto con las estructuras adyacentes, se realizó la resección por vía abierta, sin complicaciones y con una buena evolución postoperatoria.
El informe anatomopatológico confirmó el diagnóstico de feocromocitoma suprarrenal derecho.
Conclusión. Aunque poco frecuente, el feocromocitoma es una patología que se debe sospechar ante la presencia de masas suprarrenales y alteraciones relacionadas con la secreción elevada de catecolaminas. Se debe practicar el tratamiento quirúrgico de forma oportuna.
Palabras claves: feocromocitoma; catecolaminas; médula suprarrenal; metanefrinas; adrenalectomía.
Abstract
Introduction. Pheochromocytoma is a rare catecholamine-producing endocrine neoplasm that generally originates in the adrenal medulla, and rarely in extra-adrenal chromaffin tissue, giving it the name of paraganglioma. There is a wide variety of signs and symptoms secondary to excessive secretion of catecholamines, so its timely diagnosis and treatment are essential to avoid potentially fatal complications.
Clinical case. A 54-year-old female patient with intermittent abdominal pain and progressive increase, located in the right upper quadrant. By imaging studies, a large right adrenal mass was diagnosed, with laboratory tests that found normal levels of metanephrines and catecholamines in urine.
Discussion. Due to the size of the tumor and the intimate contact with the adjacent structures, the resection was performed by open approach, without complications and with a good postoperative evolution. The pathology report confirmed the diagnosis of right adrenal pheochromocytoma.
Conclusion. Although rare, pheochromocytoma is a pathology that should be suspected in the presence of adrenal masses and changes related to elevated catecholamine secretion. Surgical treatment should be performed in a timely manner.
Keywords: pheochromocytoma; catecholamines; adrenal medulla; metanephrines; adrenalectomy.
Introducción – Feocromocitoma Adrenal Gigante Derecho
El feocromocitoma es una lesión tumoral rara, cuya incidencia es de 1–2 por cada 100.000 habitantes/año.
Usualmente es benigna y se origina a partir de células cromafines secretoras de catecolaminas, que se derivan del sistema neural ectodérmico, encontrándose principalmente en la médula suprarrenal.
El resto de estos tumores suelen tener su origen en el sistema paragangliónico y su presentación puede ser espontánea o hereditaria 1,2.
Debido a la secreción excesiva de catecolaminas, el feocromocitoma puede generar hipertensión o arritmias cardíacas potencialmente mortales, puede cursar con la tríada sintomática clásica presente en más del 50 % de los pacientes, la cual incluye cefalea, palpitaciones y diaforesis.
En otros casos, presenta una evolución silente, por lo que su diagnóstico se da de manera incidental.
En los casos de ausencia de sintomatología el diagnóstico suele ser difícil, pero es de vital importancia realizarlo para evitar complicaciones futuras y, en algunas ocasiones, la muerte. El enfoque terapéutico es multidisciplinario, sin embargo, el tratamiento definitivo es quirúrgico 3,4.
Se presenta el caso clínico de una paciente con un feocromocitoma suprarrenal, quien consultó por dolor abdominal y sin las manifestaciones clásicas de esta entidad.
Se realizó la extirpación quirúrgica vía abierta del feocromocitoma en el Hospital Universitario San Vicente Fundación, de Medellín, de forma exitosa.
Caso clínico – Feocromocitoma Adrenal Gigante Derecho
Paciente femenina de 54 años de edad, que consultó por dolor abdominal de 15 días de evolución, el cual inició en cuadrante superior derecho, con posterior irradiación a la región escapular ipsilateral, de aumento progresivo, con leve mejoría con la ingesta oral de analgésicos, acompañado de múltiples deposiciones diarreicas en los últimos dos meses, sin restos hemáticos, y sin pérdida de peso asociada.
Como antecedente mencionó el diagnóstico dos años atrás de una masa suprarrenal derecha, en seguimiento por endocrinología, con estudios imagenológicos de seguimiento que no mostraban crecimiento de la lesión y paraclínicos seriados que descartaban un tumor funcional.
Al examen físico se encontró en buen estado general, peso de 88 Kg, talla de 1,5 mt, IMC:39,1 kg/m2, con presión arterial de 114/64 mm/Hg, frecuencia cardiaca de 85 latidos por minuto, temperatura 36,6°C y saturación de oxígeno de 89 %.
Cuello sin adenopatías, tiroides sin lesiones, cardiopulmonar normal, abdomen con abundante panículo adiposo, sin masas palpables, con dolor moderado a la palpación de hipocondrio y flanco derechos. Se realizaron los paraclínicos registrados en la tabla 1.
Tabla 1. Resultados de los estudios bioquímicos practicados a la paciente

La ecografía abdominal informó una lesión sólida bien definida en espacio hepatorrenal, con ecogenicidad heterogénea, de 11 x 10 cm, en relación con tumor adrenal derecho (figura 1).

Figura 1. Ultrasonografía con evidencia de lesión tumoral en glándula suprarrenal derecha.
Fuente: Hospital Universitario San Vicente Fundación
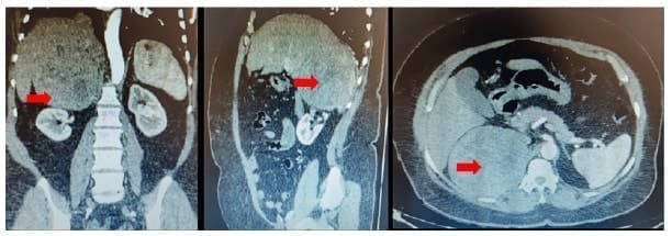
La tomografía computarizada de abdomen simple y contrastada confirmó la presencia de una masa solida adrenal derecha, de 11 x 10,5 x 10,7 cm, de densidad heterogénea, con áreas centrales hipodensas por necrosis, que desplazaba y con efecto compresivo sobre la vena cava y renal derecha, y en estrecha relación con la arteria renal derecha aproximadamente a 1,8 cm de su origen, compatible con carcinoma adrenal cortical (figura 2).

Figura 2. Tomografía computarizada de abdomen simple y contrastada con
evidencia de lesión tumoral en la glándula suprarrenal derecha.
Fuente: Hospital Universitario San Vicente Fundación
La resonancia nuclear magnética encontró además desplazamiento de la vena cava, hígado y riñón derecho sin invadirlos, áreas necróticas y una fuerte adherencia a la fascia pararrenal posterior derecha.
Debido a que no se sospechaba un tumor funcional, se decidió llevar a tratamiento quirúrgico por vía abierta sin preparación previa, realizando una adrenalectomía derecha al encontrar un tumor sólido de 15 x 10 cm que comprometía la glándula suprarrenal, bien encapsulado, sin invasión por fuera de la cápsula y sin compromiso de estructuras vecinas (figura 3).

Figura 3. Feocromocitoma Adrenal Gigante Derecho A. Hallazgo quirúrgico.
B. Aspecto macroscópico del tumor resecado.
Fuente: Hospital Universitario San Vicente Fundación.
El estudio histopatológico informó una lesión tumoral de la glándula suprarrenal derecha, de 15 x 13 x 9 cm, con proliferación neoplásica de células grandes, una mitosis en 10 campos de gran aumento, sin mitosis atípica, invasión de la capsula, ni invasión vascular.
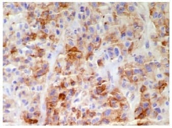
El estudio de inmunohisto-química de inhibina, calretinina y citoqueratinas fue negativo; S100 y cromogranina negativos; positivo para células sustentaculares y sinaptofisina. Con estos resultados se diagnosticó feocromocitoma, nódulo satélite de grasa periadrenal y bordes de resección sin compromiso (figuras 4 a 6)

Figura 4. Aspecto macroscópico: lesión sólida, compacta, bien delimitada, con un área
nodular blanquecina y marrón correspondiente a necrosis.
Fuente: Hospital Universitario San Vicente Fundación

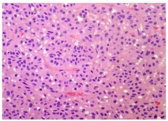
Figura 5. Histológicamente las células neoplásicas tienen citoplasma amplio, eosinofílico,
con núcleos ovoides centrales, leve pleomorfismo y se disponen en nidos, dando
un aspecto descrito como “organoide” (hematoxilinaeosina, 400X).
Fuente: Hospital Universitario San Vicente Fundación

Figura 6. La inmunohistoquímica demostró positividad para sinaptofisina, con negatividad para
citoqueratinas e inhibina, lo cual ayudó a confirmar el diagnóstico de feocromocitoma
(inmunohistoquímica para sinaptofisina, 400X).
Fuente: Hospital Universitario San Vicente Fundación.
La paciente evolucionó de forma adecuada y se hizo el seguimiento ambulatorio conjuntamente con endocrinología.
Discusión – Feocromocitoma Adrenal Gigante Derecho
El feocromocitoma es una neoplasia poco común, derivada de las células del tejido cromafín, que se sitúa principalmente en la médula suprarrenal 5. Se presenta en personas de todas las razas, con menor frecuencia en personas de raza negra, pero con la misma incidencia independiente del género.
Aunque puede comprometer cualquier edad, su mayor incidencia ocurre entre la tercera y quinta década de la vida, y solo un 10 % en niños 1,6.
La mayoría de los casos son esporádicos, unilaterales y entre el 16-33 % tiene antecedentes de trastornos endocrinos asociados, como neoplasia endocrina múltiple tipo II, neurofibromatosis I y enfermedad de von Hippel-Lindau.
Únicamente el 10 % tiene una presentación bilateral, siendo en esos casos, más frecuente en mujeres y en personas con mutaciones genéticas mencionadas anteriormente 5.
Generalmente es una neoplasia benigna, pero hasta en el 10 % de los casos puede tener un comportamiento maligno. No existe un criterio clínico, bioquímico o histológico específico que pueda diferenciar un feocromocitoma benigno de uno maligno.
Anteriormente se consideraba que la invasión directa de la capsula o de los vasos sanguíneos, la presencia de mitosis o de algún grado de atipia determinaba la malignidad, pero en los últimos estudios se desmienten estos conceptos, siendo el único factor determinante de malignidad la presencia de metástasis regional o a distancia 7.
Debido a la alteración en el sistema regulatorio, este tipo de tumor se caracteriza por la secreción excesiva de catecolaminas, como la epinefrina y la norepinefrina, de forma intermitente o continua; rara vez secreta dopamina 8.
La presentación clásica de un paciente con feocromocitoma incluye episodios paroxísticos caracterizados por cefalea, palpitaciones y diaforesis, asociados a la presencia de hipertensión arterial severa.
Los episodios pueden durar de varios segundos a horas, y presentarse desde varias veces al día hasta de forma mensual.
Los paroxismos pueden ser desencadenados por la actividad física, por numerosos fármacos como antidepresivos tricíclicos, metoclopramida y opiáceos, por medios de contraste o por los medicamentos empleados en una inducción de anestesia general 9,10.
Con el paso del tiempo, los síntomas generalmente pueden empeorar y tener una mayor frecuencia de presentación debido al crecimiento progresivo del tumor 11.
Aunque raramente exceden los 11-12 cm, se considera que un feocromocitoma es gigante cuando tiene más de siete cm de tamaño; esto ocurre en solo el 10 % de los pacientes y se consideran infrecuentes.
En estos casos se manifiestan por las alteraciones causadas por el desplazamiento de las estructuras vecinas o por la presencia de una masa abdominal palpable, y no por los síntomas clásicos 12,13.
Muchos pacientes mueren por complicaciones cardiovasculares antes del diagnóstico y de acuerdo a varios estudios, se considera que solo en una cuarta parte de los casos se logra hacer el diagnóstico en pacientes vivos y en el 75 % de los casos en estudios de necropsia 5,14.
Para realizar un adecuado enfoque diagnóstico de esta entidad, se debe tener la confirmación bioquímica del exceso de catecolaminas.
La prueba de metanefrinas en plasma tiene la mayor sensibilidad (96 %) para detectar un feocromocitoma, pero tiene una menor especificidad.
En comparación, un estudio de catecolaminas y metanefrinas en orina de 24 horas, tiene una sensibilidad del 87,5 % y una especificidad del 99,7 % 5,14. Se debe realizar un estudio imagenológico completo para definir la localización y las características del tumor, y para descartar la presencia de metástasis.
Debido a que la tomografía computadorizada tiene una sensibilidad del 85–94 % y que los medios de contraste pueden provocar paroxismos, se prefiere la resonancia magnética, que tiene una sensibilidad del 93–100 % 7.
Los estudios con I-MIBG (metayodobencilgua-nida marcada con yodo-131) se reservan para los casos en los que un feocromocitoma se confirma bioquímicamente, pero no son documentados en la tomografía o en la resonancia 15.
Está contraindicado cualquier tipo de procedimiento invasivo para realizar el diagnóstico de esta entidad ya que el contacto con el tumor puede precipitar arritmias cardiacas, crisis hipertensivas o hemorragias de difícil control 16.
Aunque debe haber un enfoque multidisciplinario para el tratamiento de esta entidad, es bien conocido que el pilar del tratamiento es la resección quirúrgica 17.
Es fundamental realizar una estricta preparación preoperatoria con un bloqueo combinado alfa y beta (con previo bloqueo alfa completo) para controlar la presión arterial, taquicardias y prevenir una crisis hipertensiva intraoperatoria, debido al aumento de catecolaminas por la manipulación del tumor o la disminución repentina de la resistencia vascular periférica, con su consecuente crisis hipotensiva después de la ligadura de la vena suprarrenal 4,5,18.
Se recomienda la sobrecarga preoperatoria de líquidos para controlar la expansión repentina del lecho vascular cuando se realiza la extirpación del tumor.
La adrenalectomía laparoscópica es la técnica quirúrgica de elección en casos de tumores de menos de seis cm, comparable al abordaje abierto. Para tumores de mayor tamaño o extraadrenales, se prefiere un abordaje abierto 6,11.
Para identificar feocromocitomas recurrentes o metacrónicos, el seguimiento debe realizarse de por vida con la medición de catecolaminas en orina. El pronóstico general es bueno, pero en los casos de malignidad la supervivencia a cinco años es de menos del 50 % 19.
Conclusión – Feocromocitoma Adrenal Gigante Derecho
Por tratarse de una entidad poco frecuente, en la literatura existen pocos reportes de casos de feocromocitoma gigante. Aunque su presentación es atípica, es factible realizar el diagnóstico mediante estudio bioquímicos e imagenológicos.
Es fundamental sospecharlo en casos de hipertensión arterial de novo, principalmente en personas jóvenes, ya que es una de las pocas causas de hipertensión arterial que puede tratarse quirúrgicamente, lo que además evita complicaciones futuras relacionadas con el tumor mismo.
Una vez establecido el diagnostico, la intervención quirúrgica es el tratamiento indicado, como en el caso presentado, que demuestra el desafío que constituye la resección de estos tumores de gran tamaño, siendo factible sin ninguna complicación asociada.
Cumplimiento de normas éticas – Feocromocitoma Adrenal Gigante Derecho
Consentimiento informado: Para la publicación de este caso se contó con la autorización por parte de la paciente. Se siguieron los lineamientos de la Resolución 008430 de 1993 del Ministerio de Salud de Colombia.
Conflicto de interés: Los autores declararon no tener conflictos de interés.
Fuente de financiación: Los recursos de financiación de este proyecto de investigación provienen en su totalidad de aportes de los autores.
Contribución de los autores:
Concepción y diseño del estudio: Daniel Jurado-Gómez, Catalina Pineda-Garcés, Luis Fernando Arias, Jorge Iván Gutiérrez-Montoya.
Adquisición de datos: Daniel Jurado-Gómez, Catalina Pineda-Garcés, Luis Fernando Arias, Jorge Iván Gutiérrez-Montoya.
Análisis e interpretación de datos: Daniel Jurado-Gómez, Catalina Pineda-Garcés, Luis Fernando Arias, Jorge Iván Gutiérrez-Montoya.
Redacción del manuscrito: Daniel Jurado-Gómez, Catalina Pineda-Garcés, Luis Fernando Arias, Jorge Iván Gutiérrez-Montoya.
Revisión crítica: Daniel Jurado-Gómez, Catalina Pineda-Garcés, Luis Fernando Arias, Jorge Iván Gutiérrez-Montoya.
Referencias – Feocromocitoma Adrenal Gigante Derecho
1. Gjata M, Hoxha E, Xhanaj J, Gjermeni I, Collaku L, Tase M. A case report of a giant adrenal pheochromocy-toma. Annals of Hypertension. 2018;1:20-2. http://www.remedypublications.com/open-access/pa-case-report-of-a-giant-adrenal-pheochromocyto-map-2005.pdf
2. Barrientos M, González G. Feocromocitoma, Reporte de caso. Rev Guatemala Cir. 2018;24:1-7. http://pp.centramerica.com/pp/bancofotos/1519-36742.pdf
3. Joya-Vázquez R, Vecino-Bueno C, Bengochea-Cantos JM, Gómez-García O, López-López MÁ, Molina-Sánchez A, et al. Feocromocitoma quístico gigante: reporte de un caso. Rev Gastroenterol Peru. 2017;37:374–8. https://doi.org/10.47892/rgp.2017.374.846
4. Barros J, Mora M, Restrepo W. Feocromocitoma: reporte de un caso. Rev Colomb Anestesiol. 2000;28:1-6. https://www.redalyc.org/pdf/1951/195118021004.pdf
5. Jain A, Baracco R, Kapur G. Pheochromocytoma and paraganglioma—an update on diagnosis, evaluation, and management. Pediatr Nephrol. 2020;35:581–94. https://doi.org/10.1007/s00467-018-4181-2
6. Biswas SK, Alam MJ, Rahman MM, Rahman MM, San-jowal L, Islam M. A case report of adrenal pheochro-mocytoma. Faridpur Med Coll J. 2011;6:55-8. https://doi.org/10.3329/fmcj.v6i1.7413
7. Farrugia FA, Charalampopoulos A. Pheochromocytoma. Endocr Regul. 2019;53:191–212. https://doi.org/10.2478/enr-2019-0020
Bibliografía – Feocromocitoma Adrenal Gigante Derecho
8. Chen X, Deng X, Chen W, Gu X, Deng S, Chen W, et al. Pheochromocytoma: a case report and literature re-view. J Diabetes Metab. 2017;8:8–11. https://doi.org/10.4172/2155-6156.1000728
9. Álvarez TR, Álvarez TR, Portela OJM, Olvera BC, Burgos ZÁ. Feocromocitoma. Presentación de un caso y revisión de la literatura. Rev Mex Cirugía Endoscópica. 2007;8:148–56. https://www.medigraphic.com/cgi-bin/new/resumen.cgi?IDARTICULO=14247
10. Cabrera-Gámez M, Turcios-Tristá S, Fuentes M, González-Calero T, Yanes-Quesada M, Díaz-Socorro C. Feocromocitoma: presentación de un caso clínico. Rev Cuba endocrinol. 2008;19:1-7. http://scielo.sld.cu/pdf/end/v19n2/end05208.pdf
11. Alface MM, Moniz P, Jesus S, Fonseca C. Pheochromo-cytoma: Clinical review based on a rare case in adolescence. BMJ Case Rep. 2015;2015:bcr2015211184. https://doi.org/10.1136/bcr-2015-211184
12. Fonseca AM, Rojas W. Feocromocitoma gigante. Rev Repert Med y Cirugía. 2015;24:152–6. https://doi.org/10.31260/RepertMedCir.v24.n2.2015.640
Lecturas Recomendadas – Feocromocitoma Adrenal Gigante Derecho
13. Henríquez R, Irribarra G, Mardones R. Feocromocitoma gigante no funcionante de rápido crecimiento: reporte de un caso. Revista chilena de urología. 2016;81:3–6.
14. Rípodas B, Arillo A, Murie M, García D. Feocromocitoma. Informe de un caso. An Sist Sanit Navar. 2012;35:121-5. https://doi.org/10.4321/S1137-66272012000100011
15. Sbardella E, Grossman AB. Pheochromocytoma: An approach to diagnosis. Best Pract Res Clin Endocrinol Metab. 2020;34:101346. https://doi.org/10.1016/j.beem.2019.101346
16. Young WF. The incidentally discovered adrenal mass. N Engl J Med. 2007;356:2005–6. https://doi.org/10.1056/NEJMcp065470
17. Castillo C, Riera AP, Rodríguez JY, Alemán FE, Aranguren G, López-Vallejo CJ. Feocromocitoma maligno: comunicación de 2 casos tratados con cirugía de mínima invasión. Rev Chil cirugía. 2014;66:63–7. https://doi.org/10.4067/S0718-40262014000100010.
18. Naranjo J, Dodd S, Martin YN. Perioperative management of pheochromocytoma. J Cardiothorac Vasc Anesth. 2017;31:1427–39. https://doi.org/10.1053/j.jvca.2017.02.023
19. Phillips R, Manger W, Gifford R. Pheochromocytoma. J Clin Hypertens. 2002;4:26–7. https://doi.org/10.1111/j.1524-6175.2002.01452.x
Autores – Feocromocitoma Adrenal Gigante Derecho
1 Daniel Alberto Jurado-Gómez, Médico, residente de Cirugía general, Universidad de Antioquia, Medellín, Colombia
2 Catalina Pineda-Garcés, Médico, especialista en Cirugía general, Hospital San Vicente Fundación, Medellín, Colombia
3 Luis Fernando Arias, Médico, especialista en Patología, Hospital San Vicente Fundación, Medellín, Colombia.
4 Jorge Iván Gutiérrez-Montoya, Médico, especialista en Cirugía de trasplantes, Hospital San Vicente Fundación, Medellín, Colombia
Fecha de recibido: 28/06/2021 – Fecha de aceptación: 08/08/2021 – Publicación en línea: 07/06/2022
Correspondencia: Daniel Alberto Jurado-Gómez, Carrera 80 # 28 A 07, Medellín, Colombia. Teléfono: +57 3136852330. Dirección electrónica: danieljurado100@hotmail.com
Citar como: Jurado-Gómez DA, Pineda-Garcés C, Arias LF, Gutiérrez-Montoya JI. Feocromocitoma adrenal gigante derecho.Reporte de un caso. Rev Colomb Cir. 2022;37:511-7. https://doi.org/10.30944/20117582.905
Este es un artículo de acceso abierto bajo una Licencia Creative Commons – BY-NC-ND https://creativecommons.org/licenses/by-nc-nd/4.0/deed.es Rev Colomb Cir. 2022;37:511-7 https://doi.org/10.30944/20117582.905





