Presentación de un Caso

M. Faubel, MD*.; S. Brotons, MD*.; V. Torres, MD**.; J. Dalmau, MD*.; R. López, MD.*
* Servicio de ORl. Hospital Universitario Dr. Peset-Valencia
** Servicio Anatomía Patológica Hospital Unversitario Dr. Peset-Valencia
Resumen
El tejido linfoide de las glándulas salivares se puede considerar como parte del Tejido Linfoide Asociado a Mucosas (MALT).Este tipo de linfomas, rara vez asientan en órganos donde el tejido MALT es mas abundante, si no que es más frecuente en órganos donde este tejido aparece con resultado de un estiímulo antigénico repetido, de todos es conocido la relación existente entre la sialoadenitis mioepitelial o lesión linfoepitelial benigna y el desarrollo de un clon de células B que da lugar a un Linfoma de bajo grado. Presentamos un caso de Linfoma B de Bajo grado. MALT.
Palabras clave: Linfomas de Glándulas Salivares. Linfoma MALT de Parotida,.
Introducción
Los linfomas son una enfermedad propia de los nódulos linfáticos (linfomas nodales), pero puede presentarse en otras localizaciones como: las glándulas salivares, piel, estómago, senos paranasales, orofaringe, tiroides etc. (linfomas extranodales). La localización más habitual de los Linfomas No Hodgkin extranodales es la gastrointestinal, seguida del área cervico facial con un 34% de los casos y dentro de esta, el lugar de asiento más frecuente es el anillo de Waldeyer, seguido de los senos paranasales y la glándulas salivares. (1,2)
Los linfomas salivares, son una entidad patológica poco frecuente, aunque la verdadera incidencia de los linfomas parotídeos es difícilmente estimable. Según Freedman, la incidencia de los linfomas en las glándulas salivares es del 5 %, lo que constituye el 10% de todas las neoplasias parotídeas. La localización más habitual es la glándula Parótida con un 75 % de los casos, seguida de la Submaxilar (23%) y la glándula sublingual (1%). (3,4,5,6,)
La mayoría de los linfomas parotídeos son linfomas No Hodgkin (LNH) y se consideran derivados del tejido linfoide asociado a mucosas (MALT) (6)
El tejido MALT se sitúa en la Placas de PEYER del intestino, pero existen otros sitios como el tejido gástrico, bronquial, salivar, tiroideo ,etc., en los que este tejido puede aparecer como respuesta a un estimulo antigénico. (4). En la glándulas salivares el tejido linfático periductal estimulado por la exposición repetida a un estímulo antigénico produce una respuesta local inmune que recuerda al tejido MALT.
Los linfomas MALT son más frecuentes en los órganos, donde este tejido es adquirido (2). Es bien conocido el desarrollo de linfomas MALT en las glándulas salivares afectas de una sialoadenitis mioepitelial (MESA) (7,8,9), asi como la aparición de un linfoma gástrico asociado a la infección crónica por Helicobacter pylori. (4).
La lesión linfoepitelial benigna o Sialoadenitis mioepitelial (MESA) es un desorden progresivo que comienza con un reacción linforreticular focal alrededor de los ductos, que progresa hacia el total o casi total reemplazamiento del parénquima glandular con metaplasia del sistema ductal y aparición de islas mioepiteliales esparcidas por todo el parénquima (4, 10). La evolución de la lesión linfoepitelial benigna o Sialoadenitis mioepitelial al linfoma es considerada como un proceso múltiple en el que un clon neoplásico desarrollado de forma rápida escapa al control inmunológico desarrollando un linfoma No Hodgkin. (4)
Asi pues pensamos que nuestro caso se encuadra dentro de los linfomas primarios parotideos, pues es un linfoma de células B, típicamente extranodales y perteneciente al grupo de los MALT, es decir Linfomas asociados a mucosas, como son los linfomas gástricos, tiroideos, mamarios, etc.
Caso Clínico
Paciente, mujer de 83 años de edad, que acude a consulta por presentar tumoración parotídea izquierda de 5 meses de evolución de crecimiento progresivo, sin otra sintomatología acompañante. Como antecedentes presentaba Diabetes Mellitus no Insulino Dependiente, dislipemia y ulcus duodenal inactivo. No presenta semiología previa de sequedad de piel y mucosas.
A la exploración se apreció la existencia de una tumoración en el lóbulo superficial de la parotída izquierda de 5 x 4 cm de diámetro, redondeada, de consistencia elástica dura, aparentemente no adherida a planos profundos ni a la piel, indolora al tacto, sin adenopatías satélites cervicales. Tampoco se evidenció déficit facial.
Se realizaron estudios complementarios mediante Resonancia Nuclear Magnética (RNM) y Punción Aspiración con Aguja Fina (PAAF). Los resultados fueron los siguientes:
•RNM; Aumento de toda la glándula parótida izquierda, tanto en el lóbulo superficial como en el profundo, sin signos de invasión de las estructuras adyacentes. Adenopatías satélites en el espacio cervical posterior, carotideo y submaxilar.
•PAAF; Proliferación linfoide polimorfo, compatible con lesión linfoepitelial.
Dados estos hallazgos y tras un estudio preoperatorio, sin contraindicaciones, se procedió a la extirpación de la tumoración mediante una Parotidectomía suprafacial izquierda, en la que extirpó la parótida suprafacial que contenía tres nódulos de consistencia firme, mal delimitados y coloración grisácea. El estudio anatomopatológico de la pieza indicó la existencia de sustitución de la estructura normal de la glándula por una proliferación linfoide con amplias formaciones pseudolinfomatosas de células grandes, de fenotipo B, rodeadas de linfocitos maduros B y más en periferia T. Entre la celularidad linfoide se observó grupos de células mioepiteliales y zonas aisladas de glándula preservada, a veces con infiltración linfocitaria. El diagnóstico fue de: Linfoma B de bajo grado , TIPO MALT.
La paciente recibió posterior tratamiento con radioterapia.
Discusión
La localización parotídea es la más frecuentes de los Linfomas de la glándulas salivares, pero no por ello dejan de ser una rara entidad clínica.
La mayor incidencia en esta glándula se explicaría por la gran riqueza de tejido linfoide presente en el tejido parotídeo, recordemos que la glándula parótida, a diferencia de las otras glándulas, se desarrolla junto a formaciones linfoides que pueden quedar alojadas en el interior de la misma de forma dispersa o formando los ganglios intraparotideos. Prueba de ello es la alta proporción de lesiones linfoides parotideas entre las que encontramos: los quistes linfoepiteliales, la hiperplasia linfoepitelial, el Tumor de Warthin y los linfomas malignos, que constituyen el 16 % de todas las lesiones parotídeas. (3). El tejido linfoide en la parótida puede ser considerado como parte del tejido linfoide asociado a mucosas (MALT) (6)
Los linfomas de la glándulas salivares, predominan en el sexo femenino, en una proporción 1,5 /1, (11), al igual que el S. SJÖGREN. Suele aparecer después de la 5ª década de la vida.. Se presenta generalmente como un crecimiento progresivo, difuso o focal, de consistencia dura, aunque también puede presentarse como un crecimiento rápido y doloroso, otras características más átipicas, como son la adherencia a la piel, al hueso, parálisis facial, y puede acompañarse de adenopatias satélites. (3)
Se puede asociar a patologías autoinmunes con la Artritis Reumatoide, el Lupus Eritematoso o la Tiroiditis de Hashimoto. (3,4,12)
Los estudios complementarios como la PAAF, la Sialografia, la RNM o la T.C., no tienen valor diagnóstico. (13)
El diagnóstico definitivo se realizará mediante el estudio histopatológico de la pieza pues la biopsia a parte del riesgo que conlleva para el facial, puede no aportar suficiente material y dar lugar a un diagnóstico erróneo de lesión linfoepitelial benigna, ya que ambas lesiones pueden coexistir, como sucedió en nuestro caso.
Macroscópicamente la glándula es de consistencia firme. El linfoma puede afectar de forma difusa, con reemplazamiento de todo el parenquima salivar por tejido linfoide o de forma multifocal, con grandes áreas de tejido glandular de apariencia normal, como en nuestro caso (4)
![]() |
| Figura 1. RNM: En secuencia STIR, se observa una alteración de la intensidad de la señal de toda glándula parótida tanto en el lóbulo profundo como en el superficial, con aumento de tamaño de la misma. Se encuentran respetados los vasos intraparotideos y se acompaña de adenopatias de menos de 1 cm de diámetro localizadas en el espacio cervical posterior, submaxilar y parotideo izquierdo. Existe un buen plano de separación de estructuras adyacentes sin signos de invasión. |
Histológicamente el típico linfoma MALT de bajo grado esta formado por células B de tamaño medio, parecidas a la centrocíticas, caracterizadas por un núcleo de contorno irregular y citoplasma claro bien definido. Estas células están rodeadas de folículos e infiltrados epiteliales que forman las lesiones linfoepiteliales, esto es casi patognomónico de los Linfomas MALT. La diferenciación plamocitaria es una característica común de este tipo de Linfomas. El inmunofenotipo de estos linfomas es sIgM (+), CD5 (-), CD 19 (+), CD20 (+) CD 22 (+) (2).
El diagnóstico diferencial se debe realizar con la Lesión linfoepitelial benigna o sialoadenitis mioepitelial (MESA), diagnóstico que nos dio la PAAF en nuestro caso, pero nuestra pieza tenia lesiones linfoepiteliales benignas, por lo que es probable que se realizara la punción en una de estas zonas.
El termino Lesión Linfoepitelial Benigna (LLB) fue introducido por GODWIN en 1952 para designar una patología que afecta a las glándulas salivares y que histológicamente se caracteriza por; atrofia acinar, sialoadenitis linfoide e hiperplasia epitelial ductal asi como metaplasia con formación de islas mioepiteliales. Estas islas mioepiteliales representan la hiperplasia o metaplasia del epitelio ductal y puede aparecer en gran cantidad de procesos inflamatorios y neoplásicos, entre los que podemos encontrar el Linfoma. En al L.L.E.B. la arquitectura lobular se conserva, en contraste con las áreas linfomatosas que están compuestas por infiltrados de células monotípicas inmaduras que destruyen la arquitectura normal de la glándula (3,14)
El tratamiento será quirúrgico seguido de radioterapia, como en nuestro caso, y solo se administrará Quimioterapia en los estadios avanzados. (15) Con respecto al pronóstico, los Linfomas , los podemos dividir en 3 grupos :
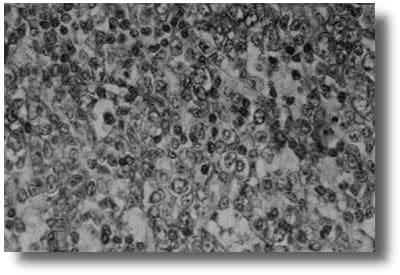
Figura 2. Anatomía Patológia: Muestra la positividad de las células linfoides al CD 20.
1.Linfoma que se origina en el tejido linfoide periglandular
2.Linfoma originado en una lesión linfoepitelial benigna sin S.Sjögren
3.Linfoma originado en una Lesión linfoepitelial benigna asociado a S. Sjögren.
Los dos primeros grupos tienen una supervivencia del 92 % a los dos años y del 85 % a los 4 años. En ellos la enfermedad tiende a estar localizada durante periodos prolongados de tiempo con evolución más frecuentes hacia la recidiva local que a la metástasis. El tercer grupo tiene tendencia a desarrollar un linfoma generalizado. (11) Los linfomas MALT según Isaacson y Wright, constituyen una entidad clinicopatológica diferentes a los linfomas B extranodales tienden localizarse durante mucho tiempo en el órgano de origen, rara vez diseminan al hueso esponjoso y responden bien al tratamiento quirúrgico. (3)
Abstract
The lymphoid tissue of salivary glands can be considered as part of the Mucosa-Associated Lymphoid Tissue. (MALT). The lymphomas only infrequently arise in sites in which MALT is most abundant. Therefoe acquiered MALT appears to be of mayor importance in the development of MALT Lymphomas at sites normaly devoid of Malt. It has also recently been shown that a considerable proportion of patients initialy considerar to hace myoepithelial sialadenitis may in fact have a clonal B – cell proliferation, ie, a low grade lymphoma.
We report a case of lymphoma Malt the parotid gland.
Key Words: Lymphoma Malt the Parotid Gland Lymphoma Salivary Gland. Lymphoma MALT
Correspondencia: Dra. Marta Faubel. Avda. Virgen del Lidón 44, 5º. 12003 – Castellón – España
Bibliografía
1.Burton G.V.; Atwater S.; Borowitz M.; Huang A.; ” Extranodal Head and Neck lymphoma Prognosis and Patterns recurrence” Arch. Otolaryngol. Head Neck Surg.1990; 116 : 69
2.Horny H.P.; Ferlito A.; Carbone A.; ” laryngeal Lymphoma derived from mucosa associated Lympoid tissue” Ann.Otol. Rhinol. Laryngol. 1996; 105 : 577-583.
3.Sciubba J.J.; Auclair Pl. Ellis G.L.; “Malignant Lymphomas” In ” Surgical Pathology of the Salivary Glands” Ellis C.L. Auclair P.L.Gnepp Dr. Eds Philadelphia W.B. Saunder 1991.; pag 30 y ss.
4.Isaacson P.; Norton A.; ” Malignant lymphoma of the Salivary Glands ” Edinburg 1994.EdChurchill Livingston 67-83.
5.Freedman C.; Berg J.W. Cutler S.J.; ” Ocurrence and prognosis of extranodal lymphomas” Cáncer 1972; 29 : 252-260
6.Seifert G.; Sabin l.; ” The world Health Organitayion´s Histologial Classification of Salivary Glands Tumors. A commentary on the Second Edition” Cáncer 1992; 70 (2) : 379-385
7.De Vita S.; Ferracioli G.; De Re V.; et al. ” The polimerase chain reaction detects B cell clonalities in patients with Sjögren´s Syndrome and suspected malignant Lymphoma” J. Reumatol 1994; 21: 1497-1501.
8.Azzopardi J.G.; Evan D.J.; ” Malignant lymphoma of parotid associated with MiKulicz disease (benin Lymphoepitelial lesion)” J. Clin. Pathol 1971; 24: 744-752.
9.Batsakis J.G.; Bernacki E.G.; Rice D.H. ” Malignancy and the bening Lymphoepithelial lesion” laryngoscope; 1975; 85 : 385-399
10. Kott E.; Goeepfert H.; Ayala A.; Ordoñez N.; ” Lymphoepithelial Carcinoma (malignant Lymphoepithelial lesion) of the salivary glands” Arch. Otolaryngol 1984; 110 : 50-53
11. Margalejo C.; Ruiz A.; Soteras J.; Margalejo P.; Palomar V.; ” Linfoma parotideo Maligno. Presentación de dos casos” ORL- Dips 1992; 2 : 103-106
12. Gleeson M.; Bennet M.; Cawson R.; ” Lymphomas of the salivary glands” Cáncer 1986; 58 : 669-704
13. Podoshin L.; Talmon Y.; Grishkan a.; Fradis M.; ” Primary Lymphoma of the parotid gland” J. Laryngol. Otol 1979; 93 : 417- 422
14. Godwin J.T.; ” Bening lymphoepithelial lesion of the parotid gland” (adenolymphoma chronic insterticial Lymphoepithelial. Lymphatic tumor Mickulicz disease) Cáncer 1952; 5 : 1089-1103
15. Seifert G.; Miehlke A.; Haubrich J.; Chilla R.; ” Diseases of the salivary glands” Ed.Georg. Thieme. Verlag 1986 : 304-311
16. Isaacson P.G.; Wright D.H. ” Malignant lymphoma of mucossa associated lymphoid tissue. A distintiva tipe of B – cell lymphoma” Cáncer 1983; 52 : 1410- 1416.
