Rangel Jaime, Daza Fabian, Poveda Jose, Santos Paulo y Citarella Danilo
Hospital Universitario de La Samaritana, Bogotá, D.C. – Colombia
Resumen
Los autores hacen una revisión y presentan la experiencia de un Hospital Universitario de Bogotá en el manejo de cuatro casos de pacientes. Dos hombres y dos mujeres, con cuerpos extraños en el tracto urinario que incluyen problemas iatrogénicos como catéteres ureterales o dispositivos intrauterinos. Un episodio accidental y una lesión autoinflingida en pene.
Summary (Foreign Bodies in the Urinary Tract)
The authors do a review and present the experience at a University Hospital in Bogotá in the management of four cases of patients, two men and two women, with foreign bodies in the urinary tact that included iatrogenic problems as uretheral catheters or intrauterine devise, an accidental episode, and a self-inflicted lesion in the penis.
Los cuerpos extraños se insertan en el tracto urinario principalmente por pacientes psiquiátricos, intoxicados, confusos o por curiosidad sexual. Se han descrito pacientes sin alteraciones mentales, que, en un intento de resolver una retención urinaria o prurito uretral, se insertan cuerpos extraños en el tracto urinario2,4.
Son menos frecuentes los asociados a traumas de guerra, migración del tracto gastrointestinal al urinario y secundarios a Iatrogénia3. Se ha encontrado en la literatura las siguientes referencias de cuerpos extraños.1,2,3,4,5
• En pene:
Anillos de metal, botellas de todas formas, bandas elásticas.
• En uretra:
Agujas de pescar, lápices, huesos de ballena, ramas, fósforos, tenedores, cables eléctricos, tornillos, huesos de coyote, cepillos de dientes, máquinas de afeitar, serpientes decapitadas, moldes de goma y cera, pez gato, sanguijuelas, balas de rifle y arpones.
• En vejiga:
Cabello, paja de escoba, botellas de perfume, cepillos de diente, pene de perro, hormigas, caracoles, huesos de columna de ardilla, hierba, astillas de madera, goma de mascar, pegamento, moldes de parafina, lápices y lapiceros, termómetros, balas, esquirlas de granada, compresas, bujías, guantes quirúrgicos, sondas, cemento óseo, generador de marcapasos, huesos de pollo y pescado, piezas dentales, pipas de tabaco, remanentes esqueléticos de embarazos Ectópicos.
• En uréter:
Proyectiles y esquirlas de granada, cabellos, termómetros, palillos de cóctel, fragmentos de catéteres.
• En riñón:
proyectiles, agujas, huesos de pescado, masas fungales (Bezoares).
Los síntomas y el diagnóstico de cuerpos extraños del tracto urinario se relacionan con su localización. En el tracto urinario superior excepcionalmente son silentes, y se asocian a infección, fiebre, malestar general y dolor en el flanco, con orina estéril si el cuerpo extraño no penetra al sistema colector2.
En pene puede ser evidente, por la presencia del cuerpo extraño. Los síntomas que inducen, típicamente resultan de uretritis mecánica, los más frecuentes son: descarga uretral purulenta, hematuria, estranguria, retención urinaria. La gangrena es infrecuente5.
A continuación, presentamos 4 casos representativos de esta patología poco frecuente en nuestro medio y realizamos una revisión de la literatura disponible.
Caso 1
Nombre: A.D.G
Sexo: Femenino
Edad: 39 AÑOS
Motivo de consulta y enfermedad actual:
Cuadro clínico de 3 años de evolución de dolor en hipogastrio tipo cólico, irradiado a región lumbar bilateral, asociado disuria y hematuria. Dificultad para la micción e infecciones de vías urinarias a repetición.
Antecedentes:
Ureterolitotomía endoscópica hace 4 años. (Realizada en otra institución).
Examen físico:
Paciente en buen estado general, con palidez muco cutánea, afebril, hidratada, FC: 80x, FR 18x, TA 90/70, cardiopulmonar sin alteraciones, abdomen blando no doloroso a la palpación en hipogastrio, genitales femeninos eutróficos, no celes.
Laboratorios:
Urocultivo positivo para Enterococus faecalis Bun 9.0, Creatinina 0.65, Hb. 10.5, Hto. 92.2.
Urografía excretora: Litiasis Vesical e imagen de catéter doble J. Uretero-hidronefrosis izquierda. Reflujo V–U izq. G IV). Divertículo vesical.
 Evolución:
Evolución:
Es llevada a cirugía donde se realiza nefroureterectomía izquierda más cistolitotomía sin complicaciones.
Hallazgos: Uretero-hidronefrosis izquierda, con múltiples adherencias peri renales e intestinales, catéter doble “J” y gran lito vesical. Uréter derecho de aspecto normal.
 Caso 2
Caso 2
NOMBRE: A.T.M.
SEXO. Masculino
EDAD: 72 AÑOS
Motivo de consulta y enfermedad actual:
Paciente con retardo mental leve, con cuadro clínico de aproximadamente 8 días de evolución de edema y eritema en pene. Niega hematuria o síntomas urinarios. Al parecer no hay antecedentes de retención urinaria, Informante, auxiliar de trabajo social.
Antecedentes:
No hay datos disponibles.
Examen físico:
Paciente en buen estado general, FC 70x, FR 18x, TA 100/60, cardiopulmonar normal, abdomen blando no doloroso no masas, adenopatías inguinales bilaterales, edema en prepucio, anillo fimótico no reductible, se observa salida de material purulento. Masa sólida localizada en uretra peneano-bulbar, móvil, no adherida a planos profundos. Esfínter anal normotónico, próstata lisa, grado I.
Laboratorios:
PdeO contaminado. Urocultivo negativo a las 72 horas Gram y cultivo secreción uretral: S. epidermidis.
Evolución:
Se inicia manejo antibiótico con Ciprofloxacina y posteriormente es llevado a cirugía, donde se realiza uretrocistoscopia y uretrolitotomía abierta.
Hallazgos:
Lito uretral de 10×5 cms. En uretra penano-bulbar, con cambios inflamatorios periuretrales, próstata bilobular, parcialmente obstructiva para un campo endoscópico.
El análisis del cálculo permite establecer la presencia de un lápiz.
|  |  | 
Caso 3
Nombre: CV
SEXO: Masculino
Edad: 24 años
Motivo de consulta y enfermedad actual:
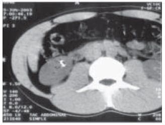
Paciente quien refiere punción accidental con aguja de costura a nivel lumbar. Dicho cuerpo extraño se localizó radiológicamente en región paravertebral derecha, dentro de la masa muscular.
El paciente no refería sintomatología. El examen físico se encontró dentro de límites normales, por este motivo se decide dar manejo expectante. 5 años después el paciente refiere hematuria macroscópica intermitente. El estudio imagenológico establecería la migración de la aguja hasta el parénquima renal. El paciente no acepto tratamiento quirúrgico y permanece en observación.
 Caso 4
Caso 4
Nombre: M.E.E
Sexo: Femenino
Edad: 40 AÑOS
Motivo de consulta y enfermedad actual:
Paciente con cuadro clínico de 10 meses de evolución consistente en dolor tipo picada localizado en hipogastrio, asociado síntomas urinarios irritativos bajos persistentes, hematuria, disminución del calibre del chorro urinario y dispareunia.
Examen físico:
Dentro de límites normales
 Paraclínicos:
Paraclínicos:
TAC abddominopélvico: Imagen intravesical hiperdensa con estructura metálica.
Evolución:
Se realiza cistolitotomía abierta sin complicaciones.
Hallazgos:
Lito de 6cm por 4cm. El análisis del cálculo comprobó la presencia de dispositivo intrauterino.
 Discusión
Discusión
Los cuerpos extraños en tracto urinario son hallazgos poco frecuentes y no hay consenso en la literatura acerca del manejo de esta patología. Los casos presentados reflejan lo descrito en publicaciones urológicas. Se han descrito métodos de extracción que van desde la cirugía abierta, hasta procedimientos mínimamente invasivos laparoscópicos. Pero el manejo de cada paciente debe ser individualizado y debe estar encaminado a la extracción del cuerpo extraño y a evitar las complicaciones derivadas del procedimiento.
Bibligrafía
- 1. BALA S. REDDY, REJOO D. DANIEL. A Novel Laparoscopic Technique for Removal of Foreign Bodies from the Urinary Bladder Using Carbon Dioxide Insufflation. Surg Laparosc Endosc Percutan Tech. Volume 14, N° 4, Agosto 2004.
- 2. ARNDT VAN OPHOVEN, DEKERNION JEAN. Clinical Management Of Foreign Bodies Of The Genitourinary Tract. The journal of urology. Vol. 164, 274–287, Agosto 2000.
- 3. POULTON THOMAS, WESSELLS HUNTER. Delayed Presentation Of An Intravesical Foreign Body 6 Years After Impalement Injury. The journal of urology. Vol. 169, 1792, Mayo 2003.
- 4. Ptochos Anastasios, Losifidis Nikolaos. Removal of Unusual Neglected Foreign Bodies From the Urinary Bladder: Case Report. The Journal of trauma_ Injury, Infection, and Critical Care. Volume 55, Number 4, 2003.
- 5. SUKKARIEH TROY, SMALDONE MARC. Multiple Foreign Bodies In The Anterior And Posterior Urethra. International Braz J Urol. Vol. 30 (3): 219-220, Mayo – Junio 2004.
Enviado para publicación: Junio de 2005
Aceptado para publicación: Marzo de 2006
 
					 
 Evolución:
Evolución: Caso 2
Caso 2

 Caso 4
Caso 4 Paraclínicos:
Paraclínicos: Discusión
Discusión




