Dr. Federico Escobar Jaramillo
Urólogo del Instituto de Ciencias de la Salud, CES.
Instituto de Cirugía Mínimamente Invasiva – MEDLAP.
Dr. Jean Pierre Vergnaud
Cirujano General del Instituto de Ciencias de la Salud, CES.
Instituto de Cirugía Mínimamente Invasiva – MEDLAP.
Drs. Juan Carlos Castaño Botero y Juan Gabriel De los Ríos Posada
Residentes Urología del Instituto de Ciencias de la Salud, CES.
Medellín, Colombia
Resumen
Paciente de 72 años, femenino, monorrena desde hace 12 años por Tumor renal, con historia de múltiples resecciones trans uretrales secundarias a tumor vesical, con vejiga esclerosada, pequeña y de poca capacidad, uréter refluyente y compromiso de la función de su única unidad renal con hidroureteronefrosis.
Como opción para la conservación del único riñón, se propone una derivación no continente tipo Ureterostomía cutánea, la cual se realizará por vía laparoscópica.
Se lleva a cirugía, la paciente es colocada en decúbito lateral izquierdo y se realiza el abordaje laparoscópico con el fin de disecar el uréter y posteriormente ubicarlo en el sitio previamente elegido para el sitio de la ostomía definitiva. El procedimiento se completa sin complicaciones, y la paciente sale para recuperarse hospitalariamente.
La evolución posterior al procedimiento es muy satisfactoria, se recupera en buen porcentaje la función de su único riñón, con mejoría importante de los parámetros de laboratorio. La recuperación también se produce en un tiempo relativamente corto, lo cual ayuda a mejorar el pronóstico.
Se hace el seguimiento y se encuentra, disminución de la dilatación renal, mejoría de la función del mismo, ureterostomía activa y sana, y paciente en mejores condiciones generales.
Se observa así un resultado satisfactorio de la técnica la cual brinda una mejor calidad de vida a la paciente.
Introducción
Paciente de 72 años, femenino, con antecedente de Nefrectomía derecha por tumor renal hace doce años, con historia de múltiples resecciones trans uretrales secundarias a papilomas vesicales.
Ahora consulta por infecciones urinarias de difícil manejo, asociadas a Incontinencia urinaria permanente; se solicitan paraclínicos en los que se evidencia hidroureteronefrosis de su única unidad renal, secundaria a reflujo vesicoureteral, secundario a vejiga pequeña, esclerosa y retráctil y de poca capacidad con altas presiones intravesicales, que comprometen de manera importante la función renal, valores de Creatinina de 5 mg/dl y depuración de Creatinina de 10 ml/minuto.
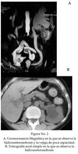
Presenta dilatación del sistema colector izquierdo, que, no se observaba hace un año en una Tomografía Axial Computarizada (TAC) (Figura 1) que le fué ordenada como control de su patología vesical, pero si una vejiga retraída, pequeña y de poca capacidad.

En los estudios actuales se demuestra la hidroureteronefrosis izquierda, el reflujo vesicoureteral y se reitera nuevamente la retracción y disminución de la capacidad vesical (figuras 2 y 3).


La paciente es evaluada y como propuesta para salvar la función de su única unidad renal se propone una derivación tipo Ureterostomía cutánea, la cual se realiza por Laparoscopia.
Se solicita evaluación por el equipo encargado de las Ostomías, para que previo al procedimiento quirúrgico evalue la paciente y demarque el sitio en la pared abdominal donde se ubicará finalmente la Ureterostomía.
Posteriormente se lleva la paciente a cirugía, se coloca en decúbito lateral izquierdo y se colocan los puertos para ganar el acceso a la cavidad abdominal, de manera similar a la utilizada para Nefrectomía transperitoneal por vía laparoscópica (figura 4).

Con un trócar de 10 milímetros como cámara en el flanco izquierdo con línea medio clavicular, 2 puertos de 5 milímetros para el instrumental de trabajo subcostales, dos de los cuales se localizan en la misma forma que la técnica de Nefrectomía mencionada, y el tercer puerto de 10 milímetros se localiza en el área donde finalmente se decidió previamente quedará la Ostomía.
Se procede a la liberación del Colon, posteriormente a la apertura del retroperitoneo a traves de la línea avascular de Toldt, y acto seguido se procede a la búsqueda del Uréter, el cual se encuentra engrosado, y dilatado. Se diseca en su tercio distal, se libera de la vejiga, dejando ligado el cabo distal y posteriormente se procede a extraer el extremo distal del mismo por el orificio del puerto de 10 milímetros ubicado en el sitio de la Ostomía, y previamente demarcado, para finalmente fijar la ostomía a la pared abdominal y tutorizarla.
En el postoperatorio la paciente evoluciona satisfactoriamente, con poco dolor.

Se hace el seguimiento y se encuentra, disminución de la dilatación renal, mejoría de la función del mismo, del cual se obtiene disminución de las cifras de Creatinina a valores de 2 mg/dl y aumento de la Depuración de Creatinina de 34 ml/min, ureterostomía activa y sana (figura 5), y paciente en mejores condiciones generales.
Se observa así un resultado satisfactorio de la técnica el cual brinda una mejor calidad de vida a la paciente.
Bibliografía
1. Bishoff Jay T , Kavoussi, Louis R: Laparoscopic Surgery of the Kidney: Campbell´s Urology, ed 8. Philadelphia, WB Saunders, 2002, p 3645-3686.
2. Suzuki, Kazuo: Laparoscopic Adrenalectomy: Retro¬peritoneal Approach: The Urologic Clinics of North America, Vol 28, numb 1, WB Saunders, feb 2001, p 85-88.
3. Jarret, Thomas W: Laparoscopic Nephrourete¬rectomy: Atlas of Laparoscopic Retroperitoneal Surgery, Philadelphia, WB Saunders, 2000, p 105-120.