La artritis psoriásica produce alteraciones características de las articulaciones sinoviales y cartilaginosas y de las inserciones de tendones y ligamentos en el hueso. En la mayor parte de las ocasiones el diagnóstico es sencillo y se basa en sus características radiológicas específicas, entre las que se encuentra una cierta asimetría, cambios erosivos intraarticulares progresivos con separación de los bordes del hueso subcondral, proliferación perióstica, fusión ósea intraarticular y ausencia de osteoporosis en las articulaciones sinoviales; alteraciones bilaterales simétricas o asimétricas de las articulaciones sacroilíacas con osificación para vertebral; erosiones y esclerosis de las articulaciones cartilaginosas; erosiones y proliferación ósea en las zonas de inserción de tendones y ligamentos en el hueso y, por último, osteólisis de las falanges terminales. (Figura 11)
Figura 11. Pies comparativos. Se aprecian lesiones osteolíticas en las falanges distales del cuarto y quinto dedos de manera bilateral (Flechas). También hay subluxación, disminución del espacio articular y erosiones en la primera interfalángica proximal derecha (Cabeza de flecha).
Generalmente se presenta en pacientes mayores que los afectados por espondilitis anquilosante. Se han descrito cinco variantes clínicas de artritis psoriásica: 1) poliartritis con afección de las articulaciones interfalángicas distales; 2) poliartritis seronegativa simétrica, que simula una AR; 3) monoartritis u oligoartritis asimétrica; 4) Sacroilitis y espondilitis y 5) artritis mutilante. Aproximadamente 25% de los pacientes con espondilitis psoriásica presentará puentes óseos similares a los de la espondilitis anquilosante. Más de la mitad de los pacientes con artritis psoriásica o síndrome de Reiter mostrará sindesmofitos no marginales en la columna lumbar superior y torácica inferior además de los cambios marginales.
En contraste con la espondilitis anquilosante, los puentes óseos en espondilitis psoriásica y el síndrome de Reiter pueden ser asimétricos o unilaterales (Figura 12). Además la cuadratura de los cuerpos vertebrales es menos frecuente que en la espondilitis anquilosante o la colitis ulcerativa. El compromiso de las articulaciones apofisiarias se ve en las radiografías de la mitad de pacientes que han padecido espondilitis psoriásica o síndrome de Reiter por más de 15 años. Las espondilitis psoriásica y de Reiter son tardías aunque menos severas.
Figura 12. Osteofito marginal formando un puente óseo de manera asimétrica en un paciente con artritis psoriásica.

La tríada clásica del síndrome de Reiter consiste en uretritis, artritis y conjuntivitis. Actualmente se reconoce que muchos pacientes que padecen el síndrome no presentan toda la tríada. El síndrome tiene unos hallazgos radiológicos característicos. Afecta a las articulaciones sinoviales y cartilaginosas y las zonas de inserción de tendones y ligamentos en el hueso. En el esqueleto apendicular, la afección típica consiste en una artritis asimétrica de las articulaciones de las extremidades inferiores distales a la cadera. En el pie es donde están los hallazgos más importantes. En el esqueleto axial se observan alteraciones simétricas o asimétricas (o incluso unilaterales) de las articulaciones sacroilíacas. La osificación paravertebral puede producir excrecencias óseas de gran tamaño. La unión dorsolumbar es el área más frecuentemente comprometida. Los puentes óseos no marginales son asimétricos y focales.
El crecimiento del sindesmofito inicialmente es irregular y mal definido, pero con el tiempo se define mejor y emerge del cuerpo vertebral, llegando a formar puentes óseos con el cuerpo vertebral adyacente pasando sobre el disco intervertebral (Figura 13). Todos los pacientes con espondilitis en esta enfermedad tienen evidencia de sacroilitis.
Figura 13. Sindesmofito no marginal, asimétrico haciendo puente entre dos cuerpos vertebrales en un paciente con síndrome de Reiter (Flecha). (Ver figura 2 para otro ejemplo).

Espondilitis enteropática
Algunas enfermedades gastrointestinales se asocian con frecuencia a manifestaciones músculo-esqueléticas. La colitis ulcerativa, las enfermedades de Crohn y de Whipple se acompañan de artralgias y artritis en las articulaciones periféricas, aunque los hallazgos radiológicos suelen ser mínimos e inespecíficos. Además estas tres enfermedades también pueden asociarse a alteraciones en las sacroilíacas y en la columna que son idénticas a las de la espondilitis anquilosante clásica. En la enfermedad de Crohn se observa la espondilitis en el 3% de los pacientes, ésta puede anteceder al reconocimiento de la enfermedad intestinal durante algunos años. Los hallazgos pueden ser similares a los de espondilitis anquilosante, anotándose que en algunos casos estos hallazgos se han visualizado de manera asimétrica.
Infecciones intestinales por Salmonella, Shigella y Yersinia pueden producir poliartritis y, en raras ocasiones, sacroilitis y espondilitis. La cirugía con derivación intestinal puede provocar una respuesta en las articulaciones del esqueleto apendicular y axial. En la cirrosis biliar aparecen xantomas y un tipo especial de artritis erosiva. Las enfermedades pancreáticas pueden manifestarse con nódulos subcutáneos, lesiones de la piel y poli artritis, probablemente debidas a necrosis grasa, infartos epifisiarios y metafiso-diafisiarios y metástasis esqueléticas.
Artritis reumatoidea juvenil
Los cambios en esta enfermedad de anquilosis de las apofisiarias no están acompañados de las sacroilíacas, ni formación de sindesmofitos. Existe predilección del compromiso por la columna lumbar.
Hiperostosis esquelética difusa idiopática
La Hiperostosis esquelética idiopática difusa, también conocida como hiperostosis anquilosante de Forestier-Rotes Querol7-8, se presenta con osificación extensa a lo largo del aspecto anterior y lateral de la columna vertebral, que semeja los hallazgos observados en la Espondilitis Deformans. Resnick y Niwayama definieron tres características radiográficas que se requiere estén presentes para definir con exactitud el diagnóstico; estas son:
- Presencia de calcificación y osificación a lo largo del aspecto anterolateral de al menos cuatro cuerpos vertebrales contiguos con o sin excrecencias en la unión del disco intervertebral con el cuerpo vertebral.
- Relativa preservación de la altura del disco intervertebral y ausencia de cambios radiológicos sugestivos de enfermedad “degenerativa” del disco, incluyendo fenómeno de vacío y esclerosis marginal del cuerpo vertebral.
- Ausencia de anquilosis en articulaciones apofisiarias, erosiones, esclerosis o fusión ósea intraarticular en articulaciones sacroilíacas9.
Estos hallazgos radiológicos las diferencia claramente de la Espondilitis Deformans, osteocondrosis y espondilitis anquilosante.
Este desorden se caracteriza por calcificación ondulada u osificación a lo largo del aspecto anterior y lateral de la columna, la deposición ósea posterior en la columna torácica es rara y se ha notado solamente en el 6% de los pacientes, los depósitos óseos varían considerablemente en grosor de uno a veinte milímetros. Además se presenta formación ósea de ligamentos en los sitios en donde éstos se unen al hueso.
En la columna torácica el desorden comienza en la región media o inferior. Particularmente en casos tempranos una zona radiolúcida se nota entre el depósito óseo y la vértebra subyacente. Estas áreas radiolúcidas dentro de la masa osificada son comunes a nivel del disco intervertebral y corresponden a la extensión anterolateral del material discal. La formación ósea es más prominente a lo largo del lado derecho de la columna torácica inferior, presumiblemente debido a la inhibición de la osificación del lado izquierdo por la pulsación de la aorta (Figura 14)10.
Figura 14. Columna Dorso-lumbar. Se aprecian osteofitos marginales a lo largo del lado derecho de la columna torácica, formando puentes óseos, en un paciente con DISH (Flechas).

En la región lumbar ambos lados pueden estar igualmente afectados. La estructura trabecular de la vértebra en su aspecto anterior y lateral puede estar alterada formando un semicírculo cuya base se localiza en la unión del ligamento longitudinal con el área radiolúcida central.
La reorientación lateral interna de la trabecula demuestra la alteración en la dirección de las fuerzas. Las líneas de peso cambian de la posición central de la vértebra al osteofito lateral fusionado y el margen vertebral. El engrosamiento cortical también ocurre al mismo nivel como primera manifestación.
Las alteraciones en la columna cervical son también frecuentes y se presentan en el 78% de los pacientes, estas anormalidades son más frecuentes en la región cervical inferior. El hallazgo inicial es una hiperostosis cortical a lo largo de la superficie anterior del cuerpo vertebral. Posteriormente y de manera gradual hay un crecimiento óseo en el margen anterior e inferior de las vértebras y se extiende a través del disco intervertebral. Pueden observarse radiolucencias por extensiones discales a este nivel. Las áreas radiolúcidas entre hueso neoformado y cuerpo vertebral son menos frecuentes que en la columna torácica, aunque pueden observarse en esta zona . Se observa compromiso de la columna lumbar en el 93% de los pacientes.
Las anormalidades en la pelvis se observan en todos los pacientes y consisten en proliferación ósea, calcificación de los ligamentos y osteofitos para-articulares11-12. A nivel del pie se visualizan excrecencias óseas en el aspecto dorsal y medial del escafoides y en el aspecto lateral y plantar del cuboides y quinto metatarsiano. En el talón hay espolones de la superficie posterior e inferior del calcáneo; estos espolones son bien demarcados e irregulares sin esclerosis reactiva13.
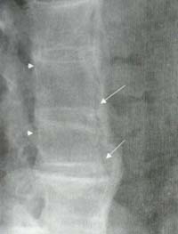
La osteoporosis, erosiones óseas y la anquilosis intraarticular no son hallazgos característicos de esta enfermedad. La osificación del ligamento longitudinal posterior se ha identificado en la región cervical en aproximadamente el 50% de los pacientes. Puede coexistir la espondilitis anquilosante con DISH14 (Figura 15), sin embargo esta asociación es rara y ha sido informada pocas veces en la literatura15.
Figura 15. Espondilitis anquilosante y DISH. Se visualiza rectificación de la lordosis lumbar, osteopenia generalizada, calcificación del ligamento longitudinal anterior, una zona radio-lúcida entre el ligamento y los cuerpos vertebrales (Flechas) además de calcificación del ligamento longitudinal posterior (Cabezas de flechas).
