Antonio Duque Quintero *
Dr. Juan Pablo Luengas Monroy **
Beatriz Arango de Samper ***
* Profesor de Cirugía Pediátrica, Universidad de Manizales. Cirujano pediatra, Hospital Infantil de la Cruz Roja, Manizales.
** Residente de cirugía pediátrica, Universidad Militar Nueva Granada.
*** Patóloga, Hospital Infantil de la Cruz Roja, Manizales.
Resumen
Antecedentes: Los quistes de quilo son un tipo poco común de quiste mesentérico, que afecta principalmente a los adultos.
Resumen del caso: Se describe el caso de un niño de 5 meses que presenta un cuadro de obstrucción intestinal, razón por la cual, es llevado a cirugía donde se observa como causa de la oclusión una masa quística que obstruía la luz intestinal y que hizo necesaria una resección intestinal. El resultado de la anatomía patológica confirmó un quiste quiloso, entidad rara en la edad pediátrica.
Conclusiones: Los quistes de quilo son infrecuentes y se han informado muy pocos casos en la población pediátrica.
Palabras clave: Obstrucción intestinal; Quistes mesentéricos; Quiste de quilo.
Abstract
Background: Chylous cysts are a rare type of mesenteric cyst, which are seen mostly in adults.
Case summary: A five-moths of age child developed intestinal obstruction. He is taken to surgery, where a cyst mass that produces intestinal obstruction is found. An intestinal resection was needed. The pathology analysis confirmed a chylous cyst, a rare condition in children.
Conclusions: Chylous cysts are uncommon in children, and few cases have been informed in the literature.
Key words: Bowel obstruction; Mesenteric cyst; Chylous cysts.
Introducción
Los quistes mesentéricos son una rara entidad de baja ocurrencia. Hasta 1994 se habían descrito en la literatura solo 800 casos, con una incidencia en niños aproximada de 1 en 20.000. Se clasifican en infecciosos y degenerativos, neoplásicos, traumáticos y embriogénicos o del desarrollo; estos últimos incluyen los entéricos, urogenitales, dermoides y linfáticos o de quilo1, 2. Los quistes de quilo son variantes raras de lesiones mesentéricas, y constituyen entre el 7 y 9% de los quistes mesentéricos, siendo más frecuentes en adultos; el cuadro clínico de presentación varía desde dolor abdominal postprandial hasta cuadros agudos de obstrucción intestinal1.
En los párrafos siguientes se presentará el caso de un lactante afectado por esta entidad y se hace una breve revisión de la condición.
Descripción del Caso
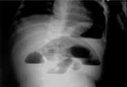
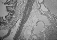
Un paciente de 5 meses de edad se presentó con cuadro clínico de tres días de evolución de vómito, inicialmente alimentario, que luego se tornó bilioso, asociado a ausencia de deposición. En el examen físico se apreció un abdomen blando con peristaltismo presente, pero disminuido, y sin masas palpables. La radiografía simple de abdomen mostró dilatación de asas delgadas y presencia de niveles hidroaéreos, hallazgos sugestivos de obstrucción intestinal mecánica (Figura 1). La ecografía abdominal fue reportada como sugestiva de obstrucción intestinal sin que se apreciaran masas. Con este diagnóstico de obstrucción intestinal mecánica se decidió practicar una laparotomía exploratoria en la que se encontró un quiste de 5 cm de diámetro, con contenido quiloso, localizado a 10 cm de la unión duodeno yeyunal, que causaba compresión del asa intestinal (Figura 2). Se practicó seguidamente una resección intestinal y una anastomosis termino-terminal. El informe de patología mostró una dilatación marcada de vasos linfáticos y quistes que comprometían desde la submucosa hasta el mesenterio, con contenido proteináceo y presencia de histiocitos espumosos, hallazgos compatibles con un quiste quiloso (Figura 3). La evolución del paciente en el postoperatorio fue satisfactoria.

Figura 1. Radiografía de abdomen con niveles hidroaéreos

Figura 2. Vista macroscópica de la pieza quirúrgica

Figura 3. Vista de la histología
Discusión
El mesenterio consiste en 2 hojas peritoneales que fijan las asas del intestino a la pared posterior del abdomen. Entre estas hojas existe tejido conectivo, adiposo, vasos sanguíneos y linfáticos, fibras musculares y nervios. Todas estas estructuras se consideran como posible origen de los tumores del mesenterio1. Beneviene, anatomista italiano, informó en 1507 el primer caso de un quiste mesentérico en un niño de 8 años, hallado durante una autopsia.
En 1842, Rokitansky documentó el primer caso de quiste quiloso. Solo hasta 1880 se realizó la primera resección exitosa de quiste mesentérico.
El mesotelioma peritoneal fue descrito por primera vez en 1908 por Miller y Wynn1. Existen muchas clasificaciones basadas en el contenido del quiste o en su etiología. La clasificación más aceptada fue propuesta por Beahrs, que con base en la etiología y las características clínicas divide los quistes mesentéricos en cuatro grupos: embrionarios (entre los cuales se encuentran los de quilo), traumáticos, neoplásicos e infecciosos. Esta clasificación excluye los quistes mesoteliales y considera a los linfagiomas como parte del grupo neoplásico2.
Los quistes de quilo son infrecuentes y se han informado muy pocos casos en la población pediátrica1. La acumulación de quilo en estos quistes probablemente obedece a desequilibrio en los lugares con alto flujo linfático, por lo que son más frecuentes en el yeyuno1. Aunque no ha sido posible esclarecer la etiopatogenia de estos tumores, existen varias hipótesis: a) Ruptura de los vasos linfáticos con extravasación de linfa y formación de tejido de granulación; b) Localización anómala del tejido linfático sin vía de drenaje; c) Falla en la fusión de las hojas del mesenterio durante su desarrollo; d) Trauma abdominal; y e) Degeneración linfática1, 2. Los síntomas varían desde cólico postprandial hasta cuadros de obstrucción intestinal aguda por compresión o vólvulos; ocasionalmente se puede presentar ruptura del quiste que causa ascitis quilosa. La palpación de una masa abdominal es dependiente del tamaño del quiste3, 4.
El diagnóstico clínico usualmente se confirma con una radiografía simple del abdomen y una ecografía abdominal. La primera suele mostrar niveles hidroaéreos si hay obstrucción intestinal5-8, mientras que la ecografía evidencia el signo del nivel “líquido-líquido”, que puede ser sugestivo del quiste de quilo; sin embargo, el diagnóstico definitivo es intraoperatorio3.
Dentro del diagnóstico diferencial se incluyen lipomas, liposarcomas mesentéricos, tumores retroperitoneales, teratomas, tuberculosis abdominal y abscesos. El estudio anatomopatológico macroscópico muestra quistes uniloculares o multiloculares con contenido quiloso en su interior; microscópicamente se aprecian espacios anastomóticos de varios tamaños, que pueden estar separados por septos de endotelio y tejido linfático, incluso con tejido muscular y células inflamatorias en estos septos3.
El tratamiento consiste en la resección completa del tumor, con o sin resección intestinal de acuerdo con el compromiso del intestino; la marsupialización está indicada cuando la extirpación pudiera ocasionar lesión de órganos vecinos irresecables1. Dentro de las alternativas quirúrgicas de manejo existentes hasta el momento se encuentra la laparoscopia6, 7.
Conclusiones
Los quistes de quilo son poco frecuentes en la población pediátrica. Su patogenia es desconocida y se manifiestan de forma variada, causando desde cólico persistente hasta obstrucción intestinal. El diagnóstico se confirma mediante imágenes diagnósticas (radiografía y ultrasonido abdominal). El tratamiento es la resección quirúrgica.
Bibliografía
1. Rivas L, Asensio J, Forno W. Quistes Mesentéricos. Cir Gen 2002;24:61-65.
2. Guzmán G. Quiste de Mesenterio. Rev Gastroenterología México 2003;68:235-238.
3. Simmi K Ratan, Kamal N Ratan, Seema Kapoor. Giant Chylolymphatic Cyst of the Jejunal Mesentery in a Child: Report of a Case. Surg Today 2003;33:120-122.
4. Yasoshima T, Mukaiya M, Hirata K, Takashima T, Kashiwagi K. A Chylous Cyst of the Mesentery: Report of a Case. Surg Today 2002;30:185-187.
5. Barut I, Ridvan O, Ciris M, Akdenis Y. Intestinal Obstruction Due to a Mesenteric Cyst. Yonsei Medical Journal 2004;45:356-358.
6. Dequanter D, Lefevbre J, Belva P. Mesenteric Cysts a case treated by laparoscopic and a review of the literature. Surg Endosc 2002;16:1493- 1495.
7. Trompetas V, Varsamidakis N. Laparoscopic Management of Mesenteric cysts. Surg Endosc 2003;17:2036.
8. Kamat MM, Bahal NK, Prabhu SR, Pai MV. Multiple Chylous Cysts of Abdomen Causing Intestinal Obstruction. Journal of postgraduate medicine 1992;38:206-207.