Reporte de un Caso
*Claudia Constanza Marín Marín
**Guillermo Robayo
*Médico Pediatra, estudiante de post grado en Neonatología Universidad Militar Nueva Granada
**Médico Pediatra Neonatólogo, Coordinador Docencia Servicio de Neonatología, Hospital Universitario Clínica San Rafael, Universidad Militar Nueva Granada
Resumen
La hidranencefalia es una de las malformaciones cerebrales que se presenta desde el final del tercer trimestre de gestación hasta los 2 años de edad, caracterizada por compromiso isquémico, especialmente en la circulación cerebral anterior, que induce a destrucción del parénquima cerebral y cavitación.
Se presenta el caso de un neonato pretérmino femenino, con múltiples eventos hipóxicos durante su hospitalización, que conduce a una hidranencefalia, diagnosticada por la clínica y las características de las neuroimágenes. El grupo neuroquirúrgico descarta la posibilidad de una derivación ventrículo peritoneal. El artículo busca incentivar el estudio de esta entidad,
Introducción
La hidranencefalia integra un grupo de malformaciones cerebrales que varían en tiempo de aparición, patogénesis y organización de cualquier remanente cerebral que persista1, resultando en una gran cavidad parenquimatosa cerebral que no se comunica con el espacio subaracnoideo, con un efecto común de marcada reducción de la masa cerebral que se reemplaza por líquido cefalorraquídeo1,2. Este defecto generalmente ocurre in útero por un proceso destructivo a mitad de la gestación,3 después de la formación del telencéfalo.

Foto 1. Caso hidranencefalia
reportar casos nuevos e investigar sobre el pronóstico, tratamiento y evolución de los pacientes con hidranencefalia (Foto 1).
Su etiología ha sido atribuida a múltiples causas que conducen a la lesión isquémica, las infecciones virales son las principales implicadas, como herpes virus, parvovirus,3 citomegalovirus,4 orbi virus, bunyavirus, virus de la peste, entre otros; otra posible etiología son los procesos tóxicos (alcohol)2,5 o genéticos (síndrome de Fowler, enfermedad de Border, síndrome de PEHO, etc.)6,7,8
Generalmente los rasgos faciales son normales, lo cual difiere con otras malformaciones del sistema nervioso central (Foto 2). Los déficit motores focales dependen de la ubicación y extensión de la lesión, siendo contralateral.

Foto 2. Rasgos Faciales.
Fisiopatológicamente se considera que estos agentes etiológicos originarán una alteración de la circulación anterior cerebral con necrosis y destrucción de la masa cerebral y posterior cavitación (Foto 3).
Se encuentra necrosis de las placas germinales del sistema nervioso central e infiltración de células inflamatorias, especialmente macrófagos9. Experimentalmente se encontró que la prevalencia de la hidranencefalia depende del tipo de agente y del estado inmunitario materno.6
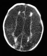
Los hallazgos anatomopatológicos se relacionan con la supervivencia, cuando se conservan las relaciones anatómicas e histológicamente la estructura y las conexiones están preservadas, la sobrevida es mayor. La atrofia talámica e hipoplasia de los pedúnculos cerebrales con ausencia de las pirámides medulares tienen una sobrevida menor5 (Foto 4).

Foto 3. Tomografía.
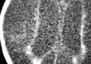
La hidranencefalia no se presenta posterior a una hidrocefalia, mientras que puede iniciarse como encefalopatía multiquística (Foto 5), y progresar a hidranencefalia, ya que en esta también hay una lesión vascular severa de base.10

Foto 4. Tomografía.
Con el mejoramiento de las neuroimágenes, la resonancia magnética y la angioresonancia cerebral, más casos de hidranencefalia se han descrito, diferenciándola de hidrocefalias severas y otras malformaciones cerebrales que cursan con cavidades en el encéfalo.
Dada la posible etiología isquémica de la hidranencefalia es posible diferenciarla de la hidrocefalia por la morfología vascular cerebral, (Foto 6)11,12 La sobrevida a largo plazo de estos pacientes es menor que en la población general, además, muchos de los fetos son óbitos o mueren pocos días o semanas después del nacimiento.

Foto 5. Acercamiento.

Foto 6. Hidrocefalia.
Se han publicado pocos casos con sobrevida a largo plazo.
En el período postnatal hay un crecimiento progresivo del perímetro cefálico, con alteraciones importantes del neurodesarrollo. Como no se encuentran estudios acerca de la supervivencia a largo plazo de estos pacientes, presentamos este caso de hidranencefalia de aparición postnatal.
Reporte de Caso
Neonato femenino de 29 semanas, producto de tercera gestación de madre de 28 años, con control prenatal, parto por cesárea, APGAR 8-9/10, peso: 1.300g, talla de 38 cm, perímetro cefálico de 28,5 cm, es hospitalizado en la Unidad de Neonatología por dificultad respiratoria. Durante su hospitalización requirió dos dosis de surfactante y ventilación mecánica durante 6 días, fue necesario cierre farmacológico del conducto arterioso persistente, recibió apoyo nutricional parenteral, se realizaron dos exanguinotransfusiones por hiperbilirrubinemia multifactorial, cursó con infección neonatal tardía requiriendo tratamiento con antibióticos.
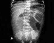
A pesar del tratamiento instaurado tiene deterioro hemodinámico y respiratorio, requiere ventilación mecánica, transfusión de glóbulos rojos, inotrópicos y cambio de antibióticos, además se observa distensión y dolor abdominal; la radiografía de abdomen es compatible con enterocolitis necrotizante (Foto 7), se realiza ileostomía por perforación ileal, continúa antibióticos y apoyo nutricional parenteral, se extuba nuevamente con adecuada tolerancia, se reinicia la vía oral y su evolución es satisfactoria.

Foto 7. Radiografía de abdomen.
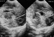
Se le realizó ecografía cerebral transfontanelar en la primera y segunda semana postnatal que evidenciaron hemorragia de la matriz germinal GI; posteriormente, durante su estancia presentó aumento del perímetro cefálico, fontanela anterior tensa, una nueva ecografía de SNC (Foto 8) ya demuestra hidrocefalia con dilatación del tercer ventrículo y los ventrículos laterales, el cuarto ventrículo es normal.

Foto 8. Ecografía cerebral trasnsfontanelar.
La TAC cerebral (Fotos 3, 4 y 5), muestra alteración difusa en la densidad de la corteza y la sustancia blanca en relación con degeneración quística vista en pacientes con hidranencefalia severa, se conserva la densidad de los territorios de la circulación posterior; se toma resonancia magnética cerebral (Foto 9), siendo los hallazgos compatibles con hidranencefalia, sin signos de hipertensión endocraneana. Por el estado clínico del paciente se considera continuar seguimiento ambulatorio por neuropediatría, neonatología y pediatría.
El paciente evoluciona en forma adecuada con tolerancia y aceptación de la vía oral, se realiza cierre de ileostomía (Foto 10), continúa hipoactivo, hipotónico, en estimulación.
por terapia física, se da salida con controles ambulatorios.

Fotografía 10. Cierre de ilestomia.

Fotografía 9. Resonancia magnética nuclear.
Discusión
La hidranencefalia es una de las patologías del sistema nervioso central más complicadas y de mal pronóstico. Resulta de una variedad de anormalidades congénitas o de lesiones destructivas que producen un defecto en el desarrollo cerebral, desde finales del tercer trimestre de la gestación hasta los 2 años de edad.5
Las lesiones postnatales comparten la misma fisiopatogenia con similar apariencia imagenológica.1 Se han descrito casos de hidranencefalia posteriores a hemorragia intra ventricular e hipoxia prolongadas.2 No se ha encontrado evidencia que demuestre que la hidrocefalia obstructiva lleve a hidranencefalia sin que haya una malformación o lesión destructiva de base.
En nuestro caso, es un paciente pretérmino con múltiples eventos postnatales que le inducen hipoxia severa y finalmente presenta hidranencefalia hidranencefalia diagnosticada imagenológicamente, que se correlaciona con la presentación clínica. Es dado de alta y seguido ambulatoriamente, con un compromiso importante del neurodesarrollo.
La literatura es escasa respecto a estos pacientes, a su calidad de vida, pronóstico y supervivencia, sólo se encuentra reporte de casos o estudios experimentales. Además, la mayoría de los casos se han originado in útero y pocos son descritos de aparición postnatal. Nuestro caso lo consideramos como hidranencefalia de aparición postnatal.
Es importante que se describan los pocos casos que encontramos en nuestras instituciones y en nuestro trabajo como neonatólogos para investigar más sobre su fisiopatología, diagnóstico, prevención, tratamiento, pronóstico y sobrevida, para ofrecer una mejor calidad de vida a estos pequeños pacientes.
Bibliografía
1. McAbee GN, Chan A. et. al. Prolonged survival with hydranencephaly: report of two patients and literature review. Pediatric neurology 23:80-84. 2000.
2. Wintour EM, Lewitt M. et. al. Experimental hydranencephaly in the ovine fetus. Acta neuropathology 91: 537-544. 1996.
3. Sharp NJH, Davis JS. Et. al. Hydranencephaly and cerebellar hypoplasia in two kittens attributed to intrauterine parvovirus infection. J. Comp. Path 121: 39-53. 1999.
4. Sener RN. Congenital cytomegalovirus infection and hydranencephaly. Radiography 2: 229-232. 1996.
5. O´Leary CM. Fetal alcohol syndrome: Diagnosis, epidemiology and developmental outcomes. J Paediatr. Child Health 40: 2-7. 2004.
6. Helsey JH, Allen N. et. al. The morphogenesis of hydranencephaly. J. Neurological Sciences 12:187-217. 1971.
7. Mori F, Nishie M. et. al. Hydranencephaly with extensive periventricular necrosis and numerous ectopic glioneuronal nests. 45th Annual Meeting of the Japanese Society of Neuropathology.
8. Barlow RM. Morphogenesis of hydranencephaly and other intracranial malformations in progeny of pregnant ewes infected with pestiviruses. J. Comparative Pathology 90: 87-98. 1980.
9. Laurichesse-Delmas H, Beafrere AM. et. al. First trimester features of fowler syndrome (hydrocephaly-hydranen-cephaly proliferative vasculopathy). Ultrasound Obstet Gynecol 20: 612-615. 2002.
10. Goizet C, Espil-Taris C. et. al. A patient with hydranencephaly and PEHO like dysmorphic features. Annales de Génétique 46: 25-28. 2003.
11. Jordan L, Raymond G. et. al. CT angiography in a newborn child with hydranencephaly. J. Perinatology. 24: 565-567. 2004
12. Glastonbury C. and Kennedy A. Ultrafast MRI of the fetus. Australasian Radiology 46: 22-32. 2002.
Hola mi hijo tiene hidraencefalea y tiene 14 años sobre 15 es un reto muy difícil animo revístanse de muchas paciencia tendrán días muy difíciles no será fácil respiren.
Hola hoy embarazada y tengo 23 semana y me dicen k mi bb viene con hidroanencefalia y nacerá y morirá enseguida pero no kiero bajar los brazo Y luchar junto a mi bb alguien k me pueda dar respuesta Consejo como preparame 0 pasar esta pena k es terrible siento a mi bb moverse mucho y tiene un corazón k suena tan fuerte k no me quita la esperanza de tenerla en mi brazo luchado conmigo
Ánimo Priscilla! Es un momento difícil, el mejor apoyo lo tienes en tu pareja y en tu familia. Saludos
Hola, mi sobrina tiene hidranencefalia, ya tiene 4 años, 4 meses. La verdad no es mucho lo que puede hacer… pero gracias a Dios es una bebe hermosa y muy fuerte. Espero poder tener más información sobre esta malformación, nos sería de gran ayuda
hola me llamo claudia tengo un niño con hidranencefalia que esta por cumplir dos años me gustaria poder contactarme para compartir y saber mas sobre tratamientos vivo en cucuta -colombia
Yo tengo una niña con hidranencefalia,. Ya Está claro cumplir sus dos anitos. Aún no camina ni se cienta ni
Hola tengo una niña con hidranencefalia apenas tiene 2 meses de edad me gustaría saber mas sobre el caso de tu niña, si no te molesta claro, me gustaría saber si ah tenido complicaciones y de q tipo espero se pueda me interesa mucho
Buenas noches, el tema es duro cuándo tu hija ya tenga más años, en mi caso mi pequeña ya tiene 9 nueve años y la vida es bastante dura con ella, no hay oración o poder humano que solucione la situación. Solo se requiere fuerza y tranquilidad para seguir adelante