Caso radiológico de paciente masculino de 65 años, mestizo, quien consulta por dolor precordial asociado a disnea, dolor escapular izquierdo y en el hombro del mismo lado, de 3 días de evolución, que ha sido permanente y progresivo. Refiere además, pérdida de peso los últimos 6 meses y disnea de esfuerzo de 1 mes de evolución. Niega escalofrío, fiebre, tos o expectoración.
Horacio Giraldo Estrada, MD*.
Colaboración de: Rubén Dueñas V, MD**,
Ricardo Triana Harker, MD***,
Ana María Segura, MD****,
Ricardo Buitrago, MD*****
Internista Neumólogo. Jefe Neumología Clínica Shaio
** Neumólogo Clínica Shaio
*** Radiólogo Clínica Shaio
**** Patóloga Clínica Shaio
***** Cirujano de Tórax Clínica Shaio
Introducción
Antecedentes
Úlcera gástrica tratada hace 1 año, Fumador de 2 paquetes de cigarrillos diarios de los 15 a los 40 años; trabajó en albañilería toda su vida. No hay otros antecedentes de importancia. (Lea también: Neumotórax: glosario radiológico de la Revista de Neumología)
Examen de ingreso
El examen de ingreso mostró TA: 120/70 mm. Hg., FC: 80x´ FR: 20x´, hay dolor a la palpación en la reja costal izquierda y a la movilización del miembro superior izquierdo, referido a la región interescapular. La auscultación cardíaca era normal, con disminución de los ruidos respiratorios en el hemitórax derecho. El abdomen y extremidades no mostraron anormalidades al examen.
Cuadro hemático
El cuadro hemático mostró: 14.6 Htc: 44.7 Leucocitos: 15.200 con 52% de neutrófilos, 33% de linfocitos, 7% de monocitos, 3% de eosinófilos y 1% basófilos. VSG: 33 mm./h. Plaquetas: 334.000. ECG, glicemia y creatinina, normales. Gases arteriales al aire: pH: 7.44 PaCO2: 26.7 Torr, PaO2: 56.2 Torr, HCO3: 17.8 mmol/L, SaO2: 90.3% D(A-a)O2: 20.5 Torr. La Radiografía de tórax a su ingreso se muestra en la Figura No 1.

Figura No 1. Rx tórax PA y lateral al ingreso
Radiografía de tórax
La radiografía de tórax mostró una opacidad que comprometía la porción apical y marginal superior del hemitórax izquierdo, de contorno lobulado y que se extendía involucrando el contorno izquierdo del mediastino superior.
Existía elevación diafragmática izquierda e infiltrados peri bronco-vasculares en ambas bases; acuñamiento anterior de dos cuerpos vertebrales dorsales altos y cambios artrósicos en los cuerpos vertebrales dorsales bajos.
TAC
Se tomó TAC de tórax (Figura No 2) que mostró una masa en el surco apical izquierdo (casquete apical pleural y lóbulo superior izquierdo) con extensión a los espacios intercostales, compromiso costal, extensión al mediastino y al tercio superior y medio de la pleura.

Figura No 2. TAC de tórax
Biopsia abierta
Se decidió realizar biopsia abierta la cual mostró una masa apical con placas blancas adheridas a pleura, y pulmón subyacente normal, compatible con Mesotelioma maligno.
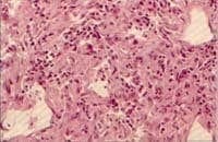
El estudio histológico de la masa (Figura No 3) demostró tejido pleural infiltrado por neoplasia maligna constituída por células atípicas con citoplasma eosinófilo y núcleos hipercromáticos irregulares con ocasionales mitosis atípicas; el tejido colágeno formaba haces asociados a extenso infiltrado de histiocitos y linfocitos, hallazgos que corresponden a un mesotelioma desmoplásico linfohistiocitoide.

Figura No 3. Estudio histológico de la masa que muestra una neoplasia constituída por células histiocitoides con haces de colágeno alrededor y extenso infiltrado linfocitario. Hematoxilina y esosina x 10.
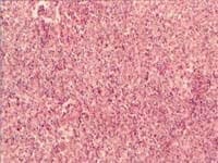
A mayor aumento se observan las células mesoteliales neoplásicas, de citoplasma eosinófilo, con atipia nuclear, hipercromasia y ocasionales nucleolos. Las rodea abundante tejido colágeno e infiltrado linfocitario. Hematoxilina y eosina x 400
Discusión mesotelioma pleural
El mesotelioma pleural es una neoplasia rara, constituyendo aproximadamente el 3% de las neoplasias malignas de pleura. Aproximadamente el 85% de los pacientes diagnosticados con mesotelioma maligno refieren exposición ambiental u ocupacional a asbesto, y el tiempo de latencia entre la exposición inicial y el desarrollo del mesotelioma es aproximadamente 40 años. Su curso es rápido e inevitablemente fatal, usualmente durante los siguientes dos años.
Las fibras de asbesto se dividen en: Serpentinas (Crisotilo o asbesto blanco) y Anfíbolas (Amosita o asbesto café, Crocidolita o asbesto azul, Antofilita, Tremolita y Actinolita). Todas pueden producir mesotelioma, aunque los estudios epidemiológicos demuestran que la Crocidolita es la más asociada a malignidad.
Otras posibles causas de mesotelioma son la radioterapia, y las vacunas para polio contaminadas con el virus SV40 del simio. Parece existir una predisposición genética a la susceptibilidad para el desarrollo de mesotelioma.
Presentación clínica del mesotelioma pleural
La presentación clínica más frecuente es el dolor en el tórax, usualmente difuso pero ocasionalmente de tipo pleurítico o irradiado al hombro. La disnea, tos, debilidad, malestar y fatiga aparecen usualmente en etapas más avanzadas de la enfermedad. La aparición de pérdida de peso, sudoración, fiebre y compromiso del estado general sugieren enfermedad avanzada y mal pronóstico.
El hallazgo radiológico más común es el de una opacidad irregular alrededor de la periferia del pulmón, asociada a derrame pleural ipsilateral, con evidencia de pérdida de volumen, contracción del hemitórax comprometido y ausencia de desviación del cardiomediastino al lado contrario, a pesar de derrames pleurales importantes. Sólo el 25% de los mesoteliomas se presentan como engrosamiento o masas en la pleura sin derrame pleural asociado.
Diagnóstico de mesotelioma pleural
El diagnóstico debe sospecharse cuando se encuentra engrosamiento pleural que rodea el pulmón, atrapándolo y fijando el mediastino. El aumento del hilio del mismo lado y el ensanchamiento del mediastino sugieren compromiso mediastinal, y puede presentarse invasión a la reja costal con destrucción ósea.
Rara vez se presenta como neumotórax espontáneo o como opacidades nodulares que sugieren metástasis pulmonares. La Tomografía Axial Computarizada (TAC) es muy útil para determinar la extensión de la enfermedad y demostrar más claramente las lesiones.
Categorías de mesotelioma pleural
Histológicamente, los mesoteliomas malignos se dividen en 4 categorías:
- Epitelioide, que abarca el 50 a 70% de los casos, y es en general el de mejor pronóstico y expectativa de vida
- Sarcomatoide, que ocurre en el 7 a 20% de los casos
- Mixto o Bifásico, que ocurre en el 20 a 35% de los casos, y el
- Pobremente diferenciado.
El de tipo Sarcomatoide presenta una variante, Desmoplásica Linfohistiocitoide, caracterizada por células tumorales grandes histiocitoides y un denso infiltrado linfocítico.
Clasificación del mesotelioma maligno
El mesotelioma maligno se clasifica por el sistema TNM, así:
| ESTADIO | T | N | M |
| Ia Ib II III IV |
1a 1b 2 3 4 |
0 0 0 1 o 2 3 |
0 0 0 0 1 |
T1a
Tumor limitado a la pleura parietal ipsilateral y/o pleura mediastinal y/o pleura diafragmática. No hay compromiso la pleura visceral.
T1b
Tumor compromete la pleura parietal ipsilateral y/o pleura mediastinal y/o pleura diafragmática. También compromete de la pleura visceral.
T2
Tumor compromete la pleura parietal ipsilateral y/o pleura mediastinal y/o pleura diafragmática, y la pleura visceral, con al menos uno de los siguientes items:
- Compromiso del músculo diafragmático
- Invasión al parénquima pulmonar subyacente a la lesión de la pleura visceral
T3
Tumor localmente avanzado, pero potencialmente resecable: Compromete la pleura parietal ipsilateral y/o pleura mediastinal y/o pleura diafragmática, y la pleura visceral, con al menos uno de los siguientes items:
- Compromiso de la fascia endotorácica
- Extensión a la grasa mediastinal
- Foco solitario resecable de tumor extendiéndose a los tejidos blandos de la reja costal
T4
Tumor localmente avanzado, técnicamente irresecable: Compromete la pleura parietal ipsilateral y/o pleura mediastinal y/o pleura diafragmática, y la pleura visceral, con al menos uno de los siguientes items:
- Extensión difusa o masas multifocales de tumor en la reja costal, con o sin destrucción costal asociada
- Extensión directa transdiafragmática del tumor al peritoneo, o a la pleura contralateral, o a los órganos mediastinales, o a la columna vertebral.
- Tumor extendiéndose a través de la superficie interna del pericardio con o sin derrame pericárdico, o tumor comprometiendo el miocardio
N0
No metástasis a los ganglios linfáticos regionales
N1
Metástasis a los ganglios broncopulmonares o hiliares ipsilaterales
N2
Metástasis a los ganglios linfáticos subcarinales o mediastinales ipsilaterales, incluyendo los ganglios mamarios internos ipsilaterales
N3
Metástasis a los ganglios mediastinales contralaterales, mamarios internos contralaterales, o ganglios linfáticos supraclaviculares ipsi o contralaterales.
M0
No hay metástasis a distancia
M1
Metástasis a distancia presentes
Tratamiento para mesotelioma maligno
El tratamiento depende del estadío de la enfermedad: En los estadíos tempranos el tratamiento debe intentar ser curativo, mediante la resección quirúrgica amplia (Pleuroneumonectomía) seguida por radioterapia, quimioterapia, o ambas.
La pleuroneumonectomía consiste en una resección en bloque de la pleura, el pulmón, hemidiafragma ipsilateral y pericardio. En estadíos más avanzados, la pleurectomía/decorticación a menudo se realiza con fines paliativos, para resecar la mayor parte del tumor, disminuir el dolor y hacer pleurodesis con talco.
La toracoscopia para realizar pleurodesis con talco se utiliza como único tratamiento también con fines paliativos en los casos más severos asociados a derrame pleural recurrente.
La terapéutica más reciente incluye combinaciones de terapia fotodinámica, inmunoterapia, y terapia genética. La terapia fotodinámica incluye la sensibilización de las células malignas con sustancias como Porfirina o Hematoporfirina, las cuales son activadas mediante una luz de una determinada longitud de onda en presencia de oxígeno molecular.
La inmunoterapia se ha estudiado principalmente con el uso de Interferón gamma intrapleural con resultados cercanos al 65% en estadio I y 6% en estadío II. La terapia genética, que consiste en la transferencia de timidin kinasa del virus del Herpes Simple (HSVtk) a las células malignas mediada por Adenovirus haciéndolas sensibles al Ganciclovir, causa la muerte selectiva de las células malignas al exponerlas ante este fármaco. Esta modalidad terapéutica se encuentra actualmente en fase de experimentación.
Bibliografía
1. Colt HG. Mesothelioma: Epidemiology, Presentation and Diagnosis. Seminars in Respir and Crit Care Med. 1997; 18(4):353-361
2. Rush VW. Treatment of Malignant Pleural Mesothelioma. Seminars in Respir and Crit Care Med. 1997; 18(4):363-373
3. Churg A. Chrysotile, Tremolite and Malignant Mesothelioma in man. Chest 1988; 93:621-628
4. Antman KH, Corson JM. Benign and malignant pleural Mesothelioma. Clin Chest Med. 1985; 6:127-140







