El hueso
El hueso es un tejido conjuntivo con múltiples funciones, tales como albergar el sistema hematopoyético, sostener el peso corporal, soporte muscular, locomoción, protección de órganos vitales, reaccionar a los traumatismos, restaurador principal de la homeostasis del calcio, el fósforo, el magnesio y otros minerales y oligoelementos.
El esqueleto humano está en un continuo proceso de regeneración el cual se lleva a cabo manteniendo un equilibrio entre la formación y resorción ósea. Este proceso está controlado por factores bioquímicos, mecánicos, celulares y hormonales con la intervención de varios factores de crecimiento y citoquinas, creando mecanismos de retroalimentación positivos y negativos. En el proceso de remodelado óseo existe un complejo sistema de regulación paracrina y de mensajes celulares a células que controlan el intercambio de nutrientes y por lo tanto la remodelación1.
Para una buena comprensión del metabolismo óseo debemos conocer los componentes de la estructura ósea la cual tiene múltiples funciones.
Composición ósea
El hueso se clasifica como hueso trabecular o esponjoso y cortical o compacto. El primero es metabólicamente más activo que el hueso cortical. Está constituido por láminas de hueso horizontales y verticales conformando una trama que confiere resistencia mecánica a la estructura ósea. En la pérdida de masa ósea se adelgazan, se microfracturan y se pierde la conectividad entre las mismas, lo cual lleva a la pérdida de la resistencia mecánica e incremento del riesgo de fractura. El hueso trabecular se nutre desde su superficie y no tiene irrigación propia. Se encuentra en las vértebras, la pelvis y otros huesos planos.
El hueso cortical constituye el 70 a 80% del esqueleto. A nivel microscópico el hueso cortical se encuentra formado por sistemas Haversianos que comprenden túbulos de 2 nm de largo y 200 nm de diámetro entre los cuales se encuentran dispuestos los osteocitos (Figuras 1 y 2). En el centro de esta estructura se localiza un canal que contiene los vasos sanguíneos. El hueso cortical se encuentra fundamentalmente en los huesos largos y en la capa externa de los huesos trabeculares.

Figura 1. Hueso esponjoso y compacto

Figura 2. Reconstrucción tridimensional del hueso cortical o compacto. Se observa osteona con el canal central de Havers,
los cuales se intercomunican con canales oblicuos y perpendiculares, los canales de Volkmann.
El hueso cortical consta de endostio en contacto con la cavidad medular; periostio en la superficie externa del hueso y el tejido cortical que se encuentra comprendido entre el endosito y el periostio (Figura 1). La remodelación ósea varía según la edad del individuo; durante la primera infancia se produce un aumento del hueso nuevo perióstico sobrepasando la destrucción que ocurre a nivel del endostio; durante la pubertad existe un aumento global del hueso cortical y de la masa ósea total; durante la vida adulta y el envejecimiento ocurre una pérdida paulatina de la masa ósea por un aumento de la pérdida del endostio el cual no es sustituido por el hueso perióstico, con el consecuente adelgazamiento progresivo de la cortical y el ensanchamiento de la cavidad medular. (Ver: Fisiología del Hueso)
La resistencia ósea está dada en un 70% por la densidad ósea y en un 30% por la calidad del hueso.
La densidad ósea está determinada por el pico de masa ósea y la pérdida de masa ósea. La calidad del hueso está determinada por la microarquitectura, la tasa de recambio, la geometría del hueso, y el grado de mineralización.
El 80% del pico de la masa ósea está genéticamente determinado y realmente podemos actuar sobre un 20% modificando el estilo de vida y logrando efectos profilácticos y terapéuticos2. Se ha planteado la osteoporosis como una enfermedad genética, se han identificado múltiples genes potenciales, como los del colágeno Tipo I, los del receptor de la vitamina D3 y su polimorfismo y también a nivel del receptor estrogénico donde se han reportado mutaciones3. Todas estas alteraciones influirían en la génesis del proceso osteoporótico.
Tejido óseo
Está constituido en un 65% por hidroxiapatita y en un 35% por la matriz ósea, las células y el agua. Las células del tejido óseo son los osteocitos, los osteoblastos, los osteoclastos y las células de revestimiento. El componente mineral da rigidez y el colágeno da resistencia.
La hidroxiapatita es una sal cristalina que constituye el contenido inorgánico del hueso, que se deposita en la matriz orgánica. Está compuesta por fosfato cálcico, carbonato cálcico, con pequeñas cantidades de magnesio, flúor y sodio4.
Matriz ósea
Un componente importante lo constituye el osteoide como matriz orgánica no mineralizada, segregada por los osteoblastos. La matriz ósea está constituida en un 90% por colágeno y el resto por lípidos y proteinglucanos especialmente condroitín sulfato y ácido hialurónico que ayudan a controlar el depósito de sales de calcio.
Células del tejido óseo
Osteoblastos
Se derivan de células progenitoras mesenquimatosas multipotenciales de la médula ósea y de los pericitos. Las primeras también dan origen a los condrocitos, las células musculares y los adipocitos. Las segundas son células mesenquimatosas adheridas al endotelio vascular. La función de los osteoblastos es sintetizar matriz ósea, tienen una vida media de 12.5 días (300 horas), regulan la concentración local de calcio y fosfato, lo cual es fundamental para que la hidroxiapatita se deposite durante la mineralización (Figura 3).

Figura 3. Osteoblastos de forma poliédrica. Con citoplasma basófilo y cromatina laxa.
Reunidos en fila durante un proceso de formación ósea.

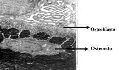
Figura 4. Macrofotografía electrónica. Se observa arriba un osteoblasto, con abundante retículo endoplásmico
característico y prolongaciones citoplasmáticas en contacto con un osteocito.
En sus membranas hay receptores hormonales para estrógenos, para el factor de crecimiento transformante TGF-ß, factor de crecimiento insulínico IGF y prostaglandinas. Tiene la capacidad de expresar el RANK-L (Ligando del receptor activador del Factor nuclear Kappa-ß).
La principal proteína que sintetizan es el colágeno tipo 1 segregado de un precursor, el pro colágeno, con la extensión N-propéptido y C- propéptido. Produce además otras proteínas como los glicosaminoglicanos, la osteocalcinaosteopontina, la sialoproteína ósea, la fibronectina, la vitronectina y la trombospondina.
Los osteoblastos expresan una fosfatasa alcalina específica del hueso, la cual actúa en el proceso de mineralización cuyo mecanismo exacto no se conoce.
Una vez que los osteoblastos han completado la osteogenésis se incluyen en la matriz ósea y se transforman en osteocitos, o permanecen en la superficie como células de revestimiento, mientras que otros se ubican en la superficie del periostio y endostio y un remanente entra en apoptosis5-7.
Osteocitos
Son células derivadas de los osteoblastos, las más abundantes del hueso, encontrándose en proporción de 10:1 con los osteoblastos (Figura 4). Los osteocitos se comunican entre sí y con los osteoblastos por proyecciones citoplasáticas y al igual que los osteoblastos, se comunican con el endotelio, estableciendo un sincitio entre los osteocitos hasta la pared de los vasos sanguíneos (Figura 5).
Los osteocitos provienen de los osteoblastos que quedan atrapados en las lagunas de la matriz ósea. Tienen diferentes funciones: controlan la concentración de Ca y fosfato extracelular, regulan el remodelado óseo en respuesta a los cambios del microambiente local; detectan las necesidades de formación ósea para lograr la adaptación esquelética y reparar las microlesiones, gracias a que son células mecano-sensibles emitiendo señales a los osteoblastos y osteoclastos.
La pérdida de osteocitos altera la red celular y las señales bioquímicas causando una acumulación de microlesiones en la matriz celular.

Figura 5. Sincitio formado por osteocitos, osteoblastos, células de la médula ósea y endotelio. Modificado de Marotti, 1996.
Estas células son sensibles a los cambios de hormonas como los estrógenos y glucocorticoides. El déficit de estrógenos parece que aumenta la muerte por apoptosis. El impacto de la menopausia en los osteocitos a largo plazo no se conoce con exactitud; sin embargo, el patrón de distribución de los osteocitos dentro y entre las trabéculas no se altera por la edad y la menopausia8,9.
Osteoclastos
Son células grandes multinucleadas, tienen abundantes mitocondrias, lisosomas y ribosomas (Figura 6). Se derivan de monocitos macrófagos de la médula ósea, constituyendo los preosteoclastos. Poseen un sistema de proyecciones digitiformes. Esta estructura está rodeada de una zona especializada denominada la zona clara, de aspecto homogéneo y con filamentos que forman un borde en cepillo, que delimita el área de fijación a la superficie ósea por donde irá la resorción. Las proyecciones digitiformes liberan hidrogeniones al medio que con las enzimas líticas lisosomales disuelven la matriz orgánica e inorgánica del hueso y el cartílago calcificado, produciendo las lagunas de Howship; acción realizada a través de proteinasas.
El osteoclasto incorpora la matriz degradada por endocitosis y es trasladada al extremo celular contrario donde se libera a través de la membrana10.
Células de Revestimiento Superficial – CRS
Cuando los osteoblastos han completado la formación ósea uno de los caminos a seguir es convertirse en células de revestimiento.
La superficie del hueso que no está en fase de remodelación (en reposo) está cubierta por una capa de matriz colágena no mineralizada, encima de la cual se encuentran las CRS, son planas y elongadas, segregan colagenasa que elimina la matriz o capa de colágeno no mineralizada que recubre la superficie del hueso normal eliminando la matriz antes de que puedan actuar los osteoclastos. Las CRS limpian las lagunas de Howship ya que digieren las fibrillas de colágeno dejadas por los osteoclastos e inician la formación del hueso, depositando una fina capa de matriz colágena11.

Figura 6. Osteoclastos : son multinucleados, con abundantes lisosomas. Su borde en cepillo que se adhiere a la matriz
ósea para la resorción constituyendo la laguna de Howship.
MARCELA GONZÁLEZ, CLARA TORRES, JULIÁN CORONEL, HOOVER CANAVAL, MIGUEL BUENO, ÁLVARO CUADROS, SANDRA ALFARO, ARLEX ECHEVERRY Y GUSTAVO GÓMEZ







