Diagnóstico por TAC de 4 nuevos casos
Restrepo Santiago, Solano Gloria, Serrano Luis Fernando
El hematoma intramural del esófago es una rara condición, relacionada con una disección y hemorragia entre la mucosa y la capa muscular del esófago. Ocurre usualmente después de vómito, náuseas, arcadas o trauma relativamente menor, como resultado de cambios súbitos de la presión intratorácica; también pueden presentarse espontáneamente en pacientes con coagulopatías o como complicación de procedimientos endoscópicos.
Las manifestaciones clínicas son el dolor torácico (de predominio retroesternal), la disfagia y la hematemesis.
El diagnóstico de esta entidad puede ser difícil y los estudios radiológicos y endoscópicos son necesarios para diferenciarla de otras emergencias torácicas como el infarto agudo del miocardio, el aneurisma aórtico roto, la disección de la aorta torácica y el tromboembolismo pulmonar.
Esta condición benigna usualmente se presenta en mujeres de edad avanzada.
El tratamiento del hematoma esofágico es conservador y su reconocimiento es importante para evitar procedimientos agresivos e innecesarios. En el presente artículo queremos revisar nuestra experiencia con 4 casos de esta infrecuente patología, así como sus manifestaciones clínicas y radiológicas, haciendo énfasis en la TAC, que fue el método que permitió realizar el diagnóstico correcto en la totalidad de los casos.
Informe de Casos
Caso 1
Se trata de un paciente de sexo masculino, de 67 años de edad quien, posterior a la ingestión de comida (pollo) 24 horas antes, manifestó dolor torácico intenso de inicio súbito que se irradiaba al hemiabdomen superior con distensión abdominal, vómito bilioso y hematemesis no cuantificada.
Se realizó electrocardiograma y cuantificación de enzimas cardíacas que descartaron un infarto agudo de miocardio. Las radiografías de tórax y abdomen no demostraron alteraciones.
Se practicó endoscopia de vías digestivas altas observándose, por debajo del esfínter cricofaríngeo una gran masa correspondiente a un hematoma que cubría aproximadamente el 60% de la superficie de la circunferencia esofágica y comprometería todo el trayecto del esófago hasta el cardias, sin evidencia de ruptura.
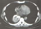
Posteriormente, se solicitó una TAC del tórax donde se demostró un engrosamiento anormal de la totalidad de la pared esofágica que comprometía en forma excéntrica su aspecto posterior y lateral izquierdo y condicionaba rechazo de la luz esofágica, compatible con el diagnóstico clínico de hematoma de la pared esofágica (figura 1).

Figura 1. Caso 1. TAC simple del tórax, a la altura de la ventana aortopulmonar, en la que se demuestra la colección intramural esofágica de alta densidad sobre el contorno izquierdo de la pared, con desviación de la luz en sentido anterior y lateral derecho.
El paciente recibió tratamiento conservador con dieta líquida y bloqueadores H2, y se obtuvo disminución importante del dolor torácico. Tres días después se repitió procedimiento endoscópico que mostró una considerable disminución de tamaño del hematoma con evidencia de una pequeña laceración esofágica en el tercio superior esofágico; por esta razón, se inició tratamiento antibiótico y se obtuvo una evolución satisfactoria.
Se le dio de alta a los 10 días después de su ingreso, en buenas condiciones y sin anormalidad posterior durante los 2 años de seguimiento.
Caso 2
Se trata de un paciente de 49 años de sexo masculino, con cuadro de hematemesis de inicio súbito, en forma repetida y sin hipotensión ortostática.
Como antecedente de importancia refiere enfermedad articular de un año de evolución, para lo cual recibió tratamiento con AINES y corticoides.
Se realizó endoscopia de vías digestivas altas, dos horas después de la hematemesis, que reveló la presencia de un extenso hematoma esofágico submucoso que se extendía desde el esófago cervical hasta la unión gastroesofágica. El estómago, el píloro y el duodeno eran anormales.
[enc_su_row][enc_su_column size=”1/2″]
[/enc_su_column] [enc_su_column size=”1/2″]
[/enc_su_column] [/enc_su_row]
Figura 2. Caso 2. (a) TAC simple, con medio de contraste positivo oral, en la que se observa una marcada dilatación del esófago, con el engrosamiento focal de su pared en su cara posterior, por el hematoma que contiene escasas burbujas gaseosas. (b) En un corte más inferior, se identifica la imagen redonda del coágulo dentro de la luz.
En la TAC del tórax, la cual se realizó antes y después de la administración de material de contraste oral, se observó una masa mediastinal posterior por aumento del tamaño del esófago desde su porción paratraqueal hasta el cardias. Por la presencia de un hematoma intramural el cual se encontraba contenido, sin extravasación hacia el mediastino.
Existía comunicación entre el hematoma y la luz del esófago, observándose gas en el interior del coágulo (figura 2). En la radiografía de tórax se demostró marcada dilatación esofágica con ensanchamiento mediastinal del mediastino medio, retrotraqueal y retrocardíaco (figura 3).
[enc_su_row][enc_su_column size=”1/2″]
[/enc_su_column] [enc_su_column size=”1/2″]
[/enc_su_column] [/enc_su_row]
Figura 3. Caso 2. Radiografías PA (a) y lateral (b), en las que se observa la imagan de alta densidad del hematoma esofágico, de localización retrocardíaca y retrotraqueal, siguiendo el trayecto esofágico. No hay otras alteraciones mediastinales, pleurales ni del parénquima pulmonar. El aspecto de las radiografías se diferencia de los hallazgos de la acalasia, en la ausencia de nivel hidroaéreo.
Se realizaron pruebas de coagulación que fueron normales. El cuadro hemático mostró disminución del hematocrito y de la hemoglobina.
Se inició tratamiento conservador con líquidos endovenosos, somatostatina, bloqueadores H2, corticoides y transfusión de dos unidades de glóbulos rojos. El paciente se encontró hemodinámicamente estable y evolucionó satisfactoriamente; toleró la vía oral y presentó mejoría del hematocrito y de la hemoglobina.
Se dio de alta a los 10 días de su ingreso. Los controles posteriores, durante varios meses, no mostraron molestias residuales ni complicaciones posteriores.
(Lea También: Informe de Caso de Hematoma Intramural Esofágico)
Caso 3
Se trata de un paciente varón de 65 años, procedente de Santa Fe de Bogotá, con cuadro de 8 días de evolución consistente en dolor abdominal, náuseas y vómito persistente, que se inició luego de la ingestión de comida con pescado. El paciente fue enfático en negar el haber ingerido espinas del mismo.
Como antecedentes de importancia refirió ser bebedor diario de alcohol, frecuentemente hasta la embriaguez, con cirrosis documentada. Y haber presentado un año antes un episodio de hematemesis masiva después de vómito asociado con importante ingestión de alcohol. Para ello se realizó endoscopia digestiva alta que entonces mostró laceraciones longitudinales del tercio distal de la mucosa esofágica, conclusivas de un síndrome de Mallory-Weiss, y recibió manejo médico. No se observaron várices esofágicas.
Igualmente, presentaba historia conocida de EPOC secundario a tabaquismo importante.
A los dos días de iniciado el cuadro de dolor:
Que hasta ese momento había sido solamente abdominal, presentó severo dolor torácico y en cuello, asociado a vómito y odinofagia, por lo cual ingresó al servicio de urgencias. En el examen físico se encontró un paciente en mal estado general, taquicárdico con TA 120/80, FC 120 por minuto y temperatura de 37,5 ºC. El cuadro hemático fue normal.
Se realizó una TAC del tórax, que mostró un engrosamiento concéntrico de la pared del esófago, con reducción puntiforme de la luz. Compatible con un extenso hematoma intramural, que se extendía desde el esfínter cricofaríngeo hasta la unión esofagogástrica, con mínimos derrames pleurales bilaterales y sin gas o líquido libres en el mediastino (figura 4).
Confirmaron los hallazgos por endoscopia digestiva alta, en la cual no se observó ulceración ni perforación de la mucosa.
Se manejó médicamente, con suspensión de la vía oral, observándose una semana más tarde mejoría del dolor y de la odinofagia, por lo que se realizó esofagograma con medio de contraste hidrosoluble, el cual fue normal.
Se inició la vía oral, con dieta líquida y posteriormente blanda, con adecuada tolerancia, por lo que se decidió dar de alta. Una semana más tarde, refirió reaparición de los síntomas de dolor retroesternal, con hematemesis y fiebre.
El cuadro hemático mostró:
Leucocitos con desviación hacia la izquierda y bandas aumentadas. Se realizó una nueva TAC, en la que se demostró gas anormal intramural en el hematoma esofágico, engrosamiento concéntrico de su pared con gas en el mediastino, sin derrame pleural (figura 5).
Con estos hallazgos se diagnosticó una mediastinitis infecciosa y se decidió inmediatamente llevarlo a cirugía, para una toracotomía izquierda. En la cirugía, se encontraron signos de mediastinitis infecciosa y ruptura transmural del esófago, por lo que se realizó esofagoguectomía y ascenso gástrico al tórax.

Figura 4. Caso 3. TAC simple, en la que se observa el hematoma concéntrico de la pared esofágica, que condiciona reducción de la luz del esófago, la cual se identifica en posición central. No se observa neumomediastino, ni evidencia de perforación esofágica.
Su evolución fue tórpida inicialmente por la sepsis, la cirrosis hepática y su neumopatía crónica. Pero, posteriormente, y tras 40 días en la Unidad de Cuidado Intensivo, se logró dar de alta. Actualmente, después de un año de seguimiento, se encuentra asintomático y sigue ingiriendo alcohol de manera importante.
[enc_su_row][enc_su_column size=”1/2″]
[/enc_su_column] [enc_su_column size=”1/2″]
[/enc_su_column] [/enc_su_row]
Figura 5. (a y b). Es el mismo paciente de la figura anterior en quien, en el TAC helicoidal realizado posteriormente, se observa imagen en capas concéntricas del hematoma esofágico, con imágenes de gas intramural y mediastinal, consistentes con esofagitis y mediastinitis infecciosa. La colección esofágica desplaza la tráquea y la vía aérea en sentido anterior.
Autores:
SANTIAGO RESTREPO. Médico Radiólogo. Jefe, sección de Imagen Corporal, Departamento de Imágenes Diagnósticas, Fundación Santa Fe de Bogotá.
GLORIA SOLANO. Médica Radióloga. Fundación Santa Fe de Bogotá. Imágenes Santa Bárbara.
LUIS FERNANDO SERRANO. Residente de Radiología. Fundación Santa Fe de Bogotá.






