ROOSEVELT FAJARDO1, VIRGINIA CUEVAS2, JHONNY FUENTES1
Palabras clave: divertículo ileal; abdomen agudo; laparoscopía; anomalías congénitas.
Resumen
El divertículo de Meckel es la anomalía congénita más común del tubo digestivo. Usualmente, es un divertículo único y es muy raro encontrar dos divertículos de Meckel en un mismo paciente.
Se presenta el caso de una mujer con dolor abdominal agudo, cuyos exámenes de laboratorio mostraban una respuesta inflamatoria. La tomografía computadorizada fue sugestiva de divertículo de Meckel. En el examen por laparoscopia se evidenciaron dos divertículos de Meckel. Cuando los hallazgos quirúrgicos son normales en la exploración inicial de un paciente con cuadro clínico de abdomen agudo, se impone la búsqueda de alteraciones que lo expliquen y determinen la causa real de la enfermedad.
Introducción
El divertículo de Meckel es la anomalía congénita más común del tubo digestivo y tiene una incidencia de 2 % en la población (1-3). Se detecta, principalmente, en niños menores de 10 años (1). Fue descrito por primera vez por el cirujano alemán Fabricius Hildanus, en 1598; sin embargo, el primero en publicar y reportar los hallazgos anatómicos y embriológicos fue el anatomista alemán Johann Friedrich Meckel en 1809 (4).
Embriológicamente, el divertículo de Meckel se origina cuando existen fallas en la obliteración del conducto ónfalo-mesentérico durante el desarrollo fetal, hacia la séptima semana de gestación (5). Lo más frecuente es que sea único. Contiene todas las capas del intestino delgado, por lo cual se considera un verdadero divertículo (5), y es usual que se localice en el borde antimesentérico del íleon, a una distancia entre 30 y 100 cm de la válvula ileocecal.
Usualmente es asintomático (6) y su hallazgo es incidental (3-7) pero, cuando presenta complicaciones como perforación, obstrucción o inflamación (2), ocasiona un cuadro clínico de abdomen agudo que sugiere apendicitis aguda –principalmente, en adolescentes y en adultos jóvenes– o úlcera péptica, y signos de obstrucción intestinal (8,9). Uno de los síntomas comúnmente encontrado es la rectorragia; en estos casos, y con un alto índice de sospecha, podría utilizarse un examen tomográfico específico para divertículo de Meckel, con marcador radioactivo (tecnecio 99m) (10).
Actualmente, los estudios más usados para confirmar el diagnóstico de esta alteración, son el ultrasonido y la tomografía computadorizada (TC).
El tratamiento del divertículo de Meckel es quirúrgico (11,12). Sea mediante abordaje abierto o por laparoscopia, los principios usados para su resección son los mismos: puede practicarse una diverticulectomía o, en caso de ser necesario, una resección parcial del íleon comprometido (1,13).
A continuación se reporta el caso de una paciente con cuadro clínico de abdomen agudo, estudiada con TC abdominal con contraste, la cual indicó un posible divertículo de Meckel, inflamado.
Caso Clínico
Se trata de una paciente de 72 años de edad que consultó por “dolor abdominal y vómito”. Refería dolor abdominal difuso y continuo de 24 horas de evolución, de tipo cólico, asociado a distensión abdominal progresiva, vómito en dos oportunidades, hiporexia y astenia. Presentaba estreñimiento y tenesmo. Negaba fiebre o síntomas urinarios. La paciente recibió butilbromuro de hioscina, sin que hubiera presentado cambios en su sintomatología.
En el examen físico se encontró una paciente alerta, en deficiente estado general, con deshidratación grado II. Sus signos vitales eran normales, excepto por taquicardia de 102 latidos por minuto. El abdomen se encontraba distendido, con disminución de los ruidos intestinales, dolor a la palpación en el cuadrante inferior derecho y signo de rebote. El resto del examen físico fue normal.
En el hemograma se encontró leucocitosis de 14.490 x 109/L con neutrofilia de 81,2 %. Los otros exámenes practicados –uroanálisis, electrolitos y pruebas de función renal– estuvieron dentro de límites normales.
La radiografía de abdomen simple señalaba leve distensión de asas intestinales delgadas, sin signos radiológicos de obstrucción. La TC abdominal con contraste indicaba un proceso inflamatorio del intestino delgado, con una pequeña colección en el borde antimesentérico, que podría corresponder a un divertículo de Meckel (figura 1). En el examen laparoscópico se encontró a 30 cm de la válvula ileocecal, un divertículo de Meckel sin aparente proceso inflamatorio, el cual se extrajo (figura 2). Al continuar la exploración del intestino a 90 cm de la válvula ileocecal, se identificó otro divertículo de Meckel de aspecto edematoso e inflamatorio, el cual se resecó (figura 3). Se terminó la exploración sin ningún otro hallazgo.
![]() |
![]() |

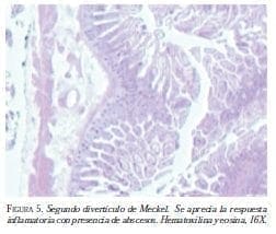
En el examen de histopatología se describieron dos piezas quirúrgicas sacciformes, una pequeña de 2 x 1 x 1 cm, sin alteraciones histopatológicas, y otra más grande, de 3,5 x 2 x 1 cm, con abundante infiltrado inflamatorio de predominio de neutrófilos, con compromiso extenso de la mucosa, la lámina propia, la muscular propia y la serosa, y el epitelio intestinal residual presentaba cambios reactivos y sin displasia. No presentaban ningún otro tipo de epitelio especializado (figuras 4 y 5).
El diagnóstico final fue de dos divertículos de Meckel, uno de ellos con diverticulitis aguda grave y con formación de abscesos.
La paciente evolucionó sin complicaciones durante su periodo posoperatorio.
Discusión
El divertículo de Meckel representa el 80 % de las anomalías congénitas del saco vitelino (14). Se produce por falta de involución del extremo intestinal del conducto ónfalo-mesentérico o vitelino, hacia la séptima semana de gestación (15). Es un verdadero divertículo pues contiene todas las capas de la pared intestinal (16). Esta malformación es de tres a cinco veces más común en hombres que en mujeres y se diferencia de la duplicación intestinal porque esta última se sitúa sobre el lado mesentérico del intestino(17)
![]() |
![]() |
Las complicaciones del divertículo de Meckel comprenden hemorragia digestiva baja, obstrucción intestinal, diverticulitis, formación de un enterolito y tumores (13,18-20). El patrón de las complicaciones varía según la edad. La hemorragia es más frecuente en niños (14) y es rara en adultos. La obstrucción del intestino delgado puede producirse en cualquier edad (21); en adultos, puede causarse por estenosis inflamatoria debida a episodios repetidos de diverticulitis (22), y la intususcepción del divertículo es la causa más probable de obstrucción en niños (23).
En la búsqueda de la literatura científica, se encontraron dos reportes de caso sobre duplicación de divertículo de Meckel. Uno de ellos refiere ser la primera descripción de una duplicación de un divertículo de Meckel (24) y el segundo informa el caso de un hombre de 29 años que consultó por un cuadro clínico de abdomen agudo cuya sintomatología evolucionó a peritonitis y, durante el abordaje quirúrgico de emergencia, se hallaron dos divertículos de Meckel (25).
La duplicación de un divertículo de Meckel es bastante paradójica. Se han reportado casos de duplicaciones intestinales y del conducto cístico, entre otras. Sin embargo, actualmente sólo existen dos reportes de duplicación de divertículo de Meckel. Lo anterior resalta la importancia de este informe, al tratarse de un caso poco común.
Además, se debe mencionar el valor que proporciona la impresión diagnóstica y su relación con los exámenes de laboratorio y el estudio de imágenes, durante cualquier procedimiento quirúrgico y terapéutico (17). En este caso, la paciente acudió al servicio de urgencias por un cuadro clínico de abdomen agudo, se le practicaron todos los estudios necesarios y se sometió a cirugía con un diagnóstico de posible divertículo de Meckel. Durante la laparoscopia, se encontró en primera instancia un divertículo de Meckel sano, pero, dadas las condiciones de la paciente (dolor y respuesta inflamatoria) y al observar las características del divertículo, se decidió explorar más a fondo el intestino, hasta encontrar lo que realmente estaba causando la sintomatología de la paciente, lo cual resultó ser otro divertículo de Meckel evidentemente inflamado.
Menos de 10 % de todos los divertículos de Meckel sintomáticos se diagnostican en el periodo preoperatorio (26). Esto hace que sea indispensable la revisión de los últimos 100 cm del íleon en todo paciente que se someta a cirugía con diagnóstico de apendicitis y cuyos hallazgos macroscópicos intraoperatorios sean normales.
Double Meckel´s Diverticulum
Abstract
Meckel’s diverticulum is the most prevalent congenital anomaly of the gastrointestinal tract. Usually it appears as a single diverticulum, and it is very rare to find two Meckel´s diverticula in the same patient.
We report the case of a woman with acute abdominal pain, whose initial tests indicated inflammatory response and the CT scan suggested the presence of a Meckel’s diverticulum. The laparoscopic exploration showed two Meckel’s diverticula. When findings appear normal during the initial surgical exploration in a patient with acute abdominal pain, it is necessary to look for alterations that explain the symptoms and establish the real cause of the disease.
Key words: Meckel diverticulum; abdomen, acute; laparoscopy; congenital abnormalities.
Referencias
1. Yahchouchy E, Marano A, Etienne J, Fingerhut A. Meckel’s diverticulum. J Am Coll Surg. 2001;192:658-62.
2. Koh HC, Page B, Black C, Brown I, Ballantyne S, Galloway DJ. Ectopic pancreatic-type malignancy presenting in a Meckel’s diverticulum: A case report and review of the literature. World J Surg Oncol. 2009;7:54.
3. Chandramohan K, Agarwal M, Gurjar G, Gatti RC, Patel MH, Trivedi P, et al. Gastrointestinal stromal tumour in Meckel’s diverticulum. World J Surg Oncol. 2007;5:50.
4. Estrella M, Bernal J, Fuenzalida L. Hernia interna de divertículo de Meckel como causa de obstrucción intestinal en un senescente. Revista Chilena de Cirugía. 2009;61:187-90.
5. Dumper J, Mackenzie S, Mitchell P. Complications of Meckel’s diverticula in adults. Can J Surg. 2006;49:353-8.
6. Codrich D, Taddio A, Schleef J, Ventura A, Marchetti F. Meckel’s diverticulum masked by a long period of intermittent recurrent subocclusive episodes. World J Gastroenterol. 2009;15: 2809-11.
7. Kosmidis C, Efthimiadis C, Levva S, Anthimidis G, Baka S, Grigoriou M, et al. Synchronous colorectal adenocarcinoma and gastrointestinal stromal tumor in Meckel’s diverticulum; an unusual association. World J Surg Oncol. 2009;7:33.
8. Prall R, Bannon M, Bharucha A. Meckel’s diverticulum causing intestinal obstruction. Am J Gastroenterol. 2001;96:3426-7.
9. Clarke R, Ferraro R, Ozick L, Adediji O. Diverticulosis, small Intestinal. eMedicine. 2006. Fecha de consulta: 10 de junio de 2010 Disponible en: https://emedicine.medscape.com/article/185356-overview.
10. Safer D. Divertículo de Meckel. Beth Israel Deaconess Medical Center. 2010. Fecha de consulta: 10 de junio de 2010 Disponible en: https://bidmc.org/YourHealth/MedicalProcedures/Splenectomy.aspx?ChunkID=127569.
11. Park J, Wolff B, Tollefson M, Walsh E, Larson D. Meckel’s diverticulum: The Mayo Clinic experience with 1,476 patients (1950-2002). Ann Surg. 2005;241:529-33.
12. Di Giacomo JC. Surgical treatment of Meckel’s diverticulum. South Med J. 1993;86:671.
13. Londoño E, López R, Barrera L, Vélez J. Divertículo de Meckel en el paciente adulto. Experiencia en la Fundación Santa Fe de Bogotá. Rev Colomb Gastroenterol. 2005;20:11-7.
14. Yeo C. Meckel’s diverticulum and other omphalomesenteric duct remnants. In: Shackelford, R, Yeo, C, Petters J, editors Shackelford’s surgery of the alimentary tract. Sixth edition. Philadelphia: Elsevier; 2007. p. 15.
15. Floch MH. Divertículo de Meckel. En: Floch NR, Netter FH, editores. Gastroenterología de Netter. Primera edición. Barcelona: Elsevier Saunders; 2006. p. 320-1.
16. Liu C, Crawford J. Anomalías congénitas. Tracto gastrointestinal. En: Kumar V, Abbas A, Fausto N, editores. Patología estructural y funcional. Séptima edición. Madrid: Elsevier; 2005. p. 834.
17. Sarioglu-Buke A, Corduk N, Koltuksuz U, Karabul M, Savran B, Bagci S. An uncommon variant of Meckel’s diverticulum. Can J Surg. 2008;51:E46-7.
18. Martin J, Connor P, Charles K.. Meckel’s diverticulum. American Academy of Family Physicians. 2000. Fecha de consulta: 15 de julio de 2010. Disponible en: https://www.aafp.org/afp/20000215/1037l.
19. Thurley P, Halliday K, Somers J. Radiological features of Meckel’s diverticulum and its complications. Clin Radiol. 2009;64:109-18.
20. Devanaboyna G, Singh-Ranger D, Shami S. Meckel’s diverticulum causing mechanical small bowel obstruction. Can J Surg. 2008;51:156.
21. Thakor AS, Liau SS, O’Riordan DC. Acute small bowel obstruction as a result of a Meckel’s diverticulum encircling the terminal ileum: A case report. J Med Case Reports. 2007;1:8.
22. Balducci G, Dente M, Cosenza G, Mercantini P, Salvi PF. Multiple giant diverticula of the foregut causing upper gastrointestinal obstruction. World J Gastroenterol. 2008;14:3259-61.
23. Ahmed HU, Wajed S, Krijgsman B, Elliot V, Winslet M. Acute abdomen from a Meckel’s lipoma. J R Soc Med. 2004;97:288-9.
24. Losanoff JE, Kjossev KT. Meckel’s diverticulum duplication. Case report. S Afr J Surg. 2000;38:61-2.
25. Urakawa M, Ikeno T, Arai T, Natori K, Miyamoto H, Kawaguchi K. Meckel’s diverticulum duplication revealed by acute operation of ileus: A case report. Nippon Shokakibyo Gakkai Zasshi. 2009;106:542-5.
26. Beltrán M, Larenas R, Almonacid J, Danilova T, Cruces K, Barría C, et al. Vólvulo de divertículo de Meckel: una complicación inusual. Revista Chilena de Cirugía. 2006;58:50-3.
Correspondencia:
ROOSEVELT FAJARDO, MD
Correo electrónico: roosevelt.fajardo@fsfb.edu.co
Bogotá, D.C., Colombia



