Tumor Desmoide Abdominal Gigante en Puerperio: Caso Clínico y Revisión de la Literatura
Giant Abdominal Desmoid Tumor during the Puerperium: Case Report and Review of Literature
Resumen
Introducción. Los tumores desmoides o fibromatosis agresiva corresponden a neoplasias mesenquimales poco frecuentes. Son tumores localmente agresivos que ocurren especialmente en jóvenes, no desarrollan metástasis a distancia, pero se asocian con invasión locorregional y alta tasa de recurrencia después de la resección.
Su etiología es desconocida, pero se ha asociado al síndrome de Gardner, trauma, embarazo, estados hiperestrogénicos y puerperio. El objetivo de este artículo fue hacer una revisión sobre el tema a propósito de un caso clínico.
Caso clínico. Se presenta el caso de una paciente puérpera con progresivo y rápido aumento del volumen abdominal. Se realizó una tomografía computarizada de abdomen y pelvis que confirmó la presencia de una masa intraperitoneal bien definida.
La paciente fue operada con escisión de la masa y confirmación histológica de tumor desmoide a partir de la muestra de patología.
Discusión. Los tumores desmoides tienen una incidencia de 2 a 4 casos por millón de habitantes por año, con leve predominio en el sexo femenino y representan menos del 3 % de los tumores de partes blandas. Aunque el tumor se puede ubicar a nivel intraabdominal o en la pared, la ubicación más común es en las extremidades.
Conclusiones. La sospecha y detección del tumor desmoide es fundamental, así como su adecuado estudio, para determinar el tratamiento quirúrgico como fue realizado en este caso.
Palabras clave: fibromatosis agresiva; desmoide; sindrome de Gardner; puerperio; cirugía; radiología.
Abstract
Introduction. Desmoid tumors or aggressive fibromatosis correspond to rare mesenchymal neoplasms. They are locally aggressive tumors that occur especially in young people, they do not develop distant metastases, but are associated with locoregional invasion and a high recurrence rate after resection.
Its etiology is unknown, but it has been associated with Gardner syndrome, trauma, pregnancy, hyperestrogenic states, and puerperium. The objective of this article was to review the topic based on a clinical case.
Clinical case. The case of a puerperal patient with progressive and rapid increase in abdominal volume is presented. An abdominal and pelvic CT scan was performed, which confirmed the presence of a well-defined intraperitoneal mass. The patient underwent surgery with excision of the mass and histological confirmation of a desmoid tumor from the pathology sample.
Discussion. Desmoid tumors have an incidence of 2 to 4 cases per million inhabitants per year, with a slight predominance in females, and represent less than 3% of soft tissue tumors. Although the tumor can be located intra-abdominal or in the wall, the most common location is in the extremities.
Conclusions. The suspicion and detection of the desmoid tumor is essential, as well as its adequate study to determine the surgical treatment as it was done in this case.
Keywords: aggressive fibromatosis; desmoid; Gardner syndrome; puerperium; surgery; radiology.
Introducción – Tumor Desmoide Abdominal Gigante en Puerperio
El tumor desmoide o fibromatosis agresiva es una neoplasia de partes blandas, de tipo fibroblástico poco frecuente. A pesar de ser histológicamente benigno es muy agresivo localmente, pero no desarrollan metástasis a distancia. La recidiva local y el compromiso de órganos adyacentes son causa importante de morbimortalidad 1.
La incidencia del tumor desmoide es mayor en la población femenina y se han descrito asociaciones con el síndrome de Gardner, trauma, embarazo o estados hiperestrogénicos 2. El tratamiento requiere de un enfoque multidisciplinario y va desde la observación hasta al tratamiento sistémico, con quimioterapia o agentes moleculares, y cirugía.
La elección del tratamiento se hace considerando las relaciones anatómicas del tumor, de ahí la importancia del estudio imagenológico adecuadamente interpretado por un radiólogo, para objetivar adecuadamente la localización y la extensión, lo que permite realizar una adecuada planificación quirúrgica y evitar recidivas.
Caso Clínico – Tumor Desmoide Abdominal Gigante en Puerperio
Paciente de sexo femenino de 26 años, en tercer mes de puerperio, quien consultó al servicio de urgencia por presentar un mes de evolución de aumento del volumen abdominal y crecimiento rápido de la región periumbilical, asociado en las últimas 24 horas a un dolor abdominal intenso de aparición súbita.
Al examen físico se encontró una masa abdominal de gran volumen en la región periumbilical, bien delimitada, no adherida a planos profundos, de consistencia blanda, superficie lisa y levemente dolorosa. Se planteó el diagnóstico de abdomen agudo quirúrgico y se solicitó una tomografía computarizada (TC) de abdomen y pelvis que confirmó la presencia de una masa intraperitoneal central bien delimitada, levemente hipodensa, homogénea, en contacto con la pared abdominal y que causaba desplazamiento de las asas intestinales.
Con el uso de medio de contraste intravenoso se observó un leve realce homogéneo que persistía en la fase tardía (Figura 1).

Figura 1. Tomografía computarizada de abdomen y pelvis. El tumor presenta estructuras vasculares en su interior (flecha), mide 15 x 16 x 16 cm, es hipodenso y homogéneo, genera desplazamiento de asas intestinales y compresión de la aorta abdominal y la vena cava inferior (cabezas de flecha).
La paciente fue hospitalizada y llevada a exploración quirúrgica, identificando una lesión sólida en el mesenterio íntimamente adherida al apéndice cecal, íleon terminal y ciego, irrigada por ramas de la arteria mesentérica superior (Figura 2).

Figura 2. Imagen intraoperatoria en la que se observa el tumor del mesenterio íntimamente adherido al apéndice cecal (flecha), íleon terminal (cabezas de flecha) y ciego (asterisco).
No se observaron nódulos linfáticos aumentados de tamaño en el retroperitoneo ni en el mesenterio.
El tumor se encontraba en íntima relación con el íleon y ciego, pero sin invadirlos, por lo que fue posible la disección por planos y la resección únicamente de la masa peritoneal y del apéndice cecal.
El informe de anatomía patológica describió un tumor mesentérico redondeado, de superficie externa blanquecina lisa y con áreas hemorrágicas, de 18 x 15 x 14 cm y peso aproximado de 3000 gramos, observando en uno de sus extremos el apéndice cecal que medía 10 cm de longitud por 10 mm de diámetro y que se encontraba fuertemente adherido e invadido por el tumor (Figura 3).

Figura 3. Pieza macroscópica. Muestra en su interior un aspecto arremolinado blanquecino, con áreas fibrosas y áreas edematosas.
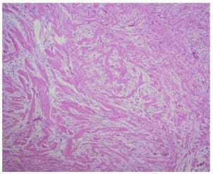
El examen microscópico informó la presencia de proliferación mesenquimática entremezclada con haces voluminosos de colágeno grueso, compuesta por células dispuestas en haces fusiformes, de núcleos estrellados y con recuento mitótico mínimo o ausente. Presentaba vascularización prominente sin necrosis ni hemorragia, hallazgos compatibles con un tumor desmoide (Figura 4).

Figura 4. Microfotografía que muestra la proliferación mesenquimática entremezclada con gruesos haces de colágeno. Hematoxilina & eosina. 10x.
La paciente presentó un postoperatorio sin complicaciones y fue dada de alta, sin presentar recidiva tumoral tras un año de seguimiento.
Revisión del tema – Tumor Desmoide Abdominal Gigante en Puerperio
Epidemiología
Los tumores desmoides representan menos del 3 % de los tumores de partes blandas, con una tasa de incidencia estimada en la población general de 2 a 4 casos por millón de habitantes por año, con leve predominio en el sexo femenino. La máxima incidencia se encuentra en la tercera y cuarta décadas de la vida, siendo más agresiva en los pacientes jóvenes 3.
Presentación clínica
El cuadro clínico es amplio y variable, e incluye desde pacientes asintomáticos hasta cuadros de dolor abdominal con vómito, diarrea y hematoquezia 4. El tumor se puede ubicar a nivel intraabdominal (mesenterio o pelvis), pared abdominal o ser extra abdominal, siendo la ubicación más común en las extremidades 5.
Etiología
La etiología no es clara, pero con frecuencia se asocia con traumas o incisiones quirúrgicas previas. De manera característica a nivel molecular presenta mutaciones en el gen de la β-catenina, CTNNB1 o el gen APC (Adenomatous polyposis coli) 6,7.
La asociación de tumores desmoides abdominal y extra abdominal con el síndrome de Gardner está bien establecida, al igual que con el embarazo y el uso de anticonceptivos orales 8.
La mayoría de los tumores de pared abdominal anterior ocurren en mujeres en edad reproductiva, especialmente durante el embarazo y puerperio, situaciones en que los tumores crecen rápidamente debido a los altos niveles hormonales, que estimulan la proliferación de fibroblastos y células musculares lisas.
Otros elementos que sustentan la asociación hormonal son la regresión espontánea del tumor con la menopausia o posterior a la ooforectomía bilateral, además de la disminución del tamaño tumoral observada con el uso de terapia antiestrogénica 9.
Diagnóstico
En la actualidad, los pacientes con dolor o masas abdominales suelen ser sometidos a estudio mediante imágenes diagnósticas que, por su alta sensibilidad y especificidad y su fácil disponibilidad, permiten orientar hacia el tratamiento quirúrgico, por lo que la imagenología cumple un rol fundamental para determinar la extensión, efecto de masa y evaluar el potencial de resecabilidad.
En la tomografía computarizada se visualizan como tumores bien definidos, relativamente isodensos al músculo y que presentan leve realce con el uso de contraste intravenoso, en caso de degeneración o necrosis se puede observar una densidad heterogénea. Dependiendo del grado de infiltración adyacente puede existir dificultad en distinguir los márgenes 10.
La resonancia magnética (RM) es el examen de elección por la evaluación óptima que hace del tejido blando y su relación con estructuras adyacentes. Una mayor intensidad de señal en secuencias potenciadas en T2 se relaciona directamente con la velocidad de crecimiento celular 11.
Diagnóstico diferencial
Con base en los hallazgos imagenológicos y clínicos de la paciente, los diagnósticos diferenciales a considerar fueron el de mioma uterino gigante ya que durante el embarazo estas lesiones pueden presentar un crecimiento acelerado 12, sin embargo, la masa identificada no presentaba continuidad con el útero.
Otro diagnóstico posible fue el de tumor estromal gastrointestinal (GIST, por sus siglas en inglés) que característicamente pueden presentar degeneración quística con realce heterogéneo cuando alcanzan tamaños tumorales grandes y en general se encuentran en contacto con las asas intestinales 13, lo que no ocurrió en el caso de la paciente.
Tratamiento
El tratamiento debe ser multidisciplinario y adecuado para cada paciente, especialmente en caso de un tumor sintomático, con efecto de masa en estructuras vitales. En el tratamiento de los tumores situados fuera del abdomen y en la pared abdominal está indicada la cirugía con márgenes amplios, seguida de la radioterapia, lo que disminuyen la tasa de recurrencias locales 14.
En los tumores intrabdominales esporádicos, como en el caso de nuestra paciente, debe intentarse la cirugía radical y, si no fuera posible, estos pacientes pueden beneficiarse del tratamiento hormonal y/o con antiinflamatorios no esteroideos como en los casos de poliposis asociada.
La extirpación quirúrgica puede tener un efecto desencadenante del crecimiento del tumor en caso de no realizar la resección completa 15, y la recurrencia es común (19-77 %), siendo más frecuente en tumores extra abdominales que en tumores intrabdominales 16.
Recientemente, se ha observado un creciente cambio hacia el manejo conservador de los tumores desmoides.
Las opciones de tratamiento no quirúrgicos incluyen la terapia sistémica y la radiación, la cual es comparable al tratamiento quirúrgico, y además útil como terapia adyuvante, reduciendo la recurrencia local.
La terapia sistémica incluye agentes citotóxicos como antraciclinas, agentes moleculares como interferón, imatinib y agentes antiestrogénicos como el tamoxifeno 17.
En caso de tratamiento conservador, los pacientes deben ser sometidos a una evaluación periódica con imágenes, especialmente si el tumor es de ubicación intraabdominal. Dado el potencial de recurrencia, el control imagenológico y el seguimiento regular se han recomendado después de la terapia elegida, en forma inicial cada 3 a 6 meses 18.
Conclusión – Tumor Desmoide Abdominal Gigante en Puerperio
Se presentó el caso de una paciente con un tumor desmoide intraabdominal gigante, de aparición infrecuente, que puede resultar en un desafío tanto en su diagnóstico como en el tratamiento. La sospecha y detección es fundamental y las imágenes tienen un papel clave para determinar extensión, relaciones anatómicas y para la planificación quirúrgica.
Cumplimiento de normas éticas
Consentimiento informado: Se obtuvo el consentimiento informado por escrito de la paciente para la publicación de este reporte de caso y sus imágenes adjuntas. El nombre, datos de identificación, historia clínica e imágenes de la paciente permanecen anónimos.
Conflictos de interés: Los autores no declaran ningún conflicto de interés respecto al presente artículo.
Fuente de financiación: No se contó con financiamiento externo para la realización de este artículo.
Contribución de los autores
Concepción y diseño del estudio: Giancarlo Schiappacasse- Faúndes, Consuelo Gatica-Troncoso, Pablo Alvayay- Quilodran, Claudio Silva Fuente-Alba.
Adquisición de datos: Giancarlo Schiappacasse-Faúndes, Consuelo Gatica-Troncoso, Pablo Alvayay-Quilodran, Claudio Silva Fuente-Alba.
Análisis e interpretación de datos: Giancarlo Schiappacasse- Faúndes, Consuelo Gatica-Troncoso, Pablo Alvayay- Quilodran, Claudio Silva Fuente-Alba.
Redacción del manuscrito: Giancarlo Schiappacasse- Faúndes, Consuelo Gatica-Troncoso, Pablo Alvayay- Quilodran, Claudio Silva Fuente-Alba.
Revisión crítica: Giancarlo Schiappacasse-Faúndes, Consuelo Gatica-Troncoso, Pablo Alvayay-Quilodran, Claudio Silva Fuente-Alba.
Referencias – Tumor Desmoide Abdominal Gigante en Puerperio
1. Sakorafas GH, Nissotakis C, Peros G. Abdominal desmoid tumors. Surg Oncol. 2007;16:131-42. https://doi.org/10.1016/j.suronc.2007.07.009
2. Robinson WA, McMillan C, Kendall A, Pearlman N. Desmoid tumors in pregnant and postpartum women. Cancers (Basel). 2012;4:184-92. https://doi.org/10.3390/cancers4010184
3. Penel N, Coindre JM, Bonvalot S, Italiano A, Neuville A, Le Cesne A, et al. Management of desmoid tumours: a nationwide survey of labelled reference centre networks in France. Eur J Cancer. 2016; 58:90-6. https://doi.org/10.1016/j.ejca.2016.02.008
4. Knudsen AL, Bülow S. Desmoid tumour in familial adenomatous polyposis. A review of literature. Fam Cancer. 2001;1:111-9. https://doi.org/10.1023/A:1013841813544
5. Shinagare AB, Ramaiya NH, Jagannathan JP, Krajewski KM, Giardino AA, Butrynski JE, et al. A to Z of desmoid tumors. Am J Roentgenol. 2011;197:1008-14. https://doi.org/10.2214/AJR.11.6657
6. Azizi L, Balu M, Belkacem A, Lewin M, Tubiana JM, Arrivé L. MRI features of mesenteric desmoid tumors in familial adenomatous polyposis. Am J Roentgenol. 2005;184:1128-35. https://doi.org/10.2214/ajr.184.4.01841128
Bibliografía – Tumor Desmoide Abdominal Gigante en Puerperio
7. Palacios-Fuenmayor L, Naranjo-Isaza A, Fuentes O, Palacio M, Martelo A, Gómez L, García H, Tumor desmoide intraabdominal. Presentación de caso clínico y revisión de la literatura. Cir Cir. 2020;88:361-5. https://doi.org/10.24875/CIRU.19001011
8. Häyry P, Reitamo JJ, Tötterman S, Hopfner-Hallikainen D, Sivula A. The desmoid tumor. II. Analysis of factors possibly contributing to the etiology and growth behavior. Am J Clin Pathol. 1982;77:674-80. https://doi.org/10.1093/ajcp/77.6.674
9. Sakorafas GH, Nissotakis C, Peros G. Abdominal desmoid tumors. Surg Oncol. 2007;16:131-42. https://doi.org/10.1016/j.suronc.2007.07.009
10. Walker EA, Petscavage JM, Brian PL, Logie CI, Montini KM, Murphey MD. Imaging features of superficial and deep fibromatoses in the adult population. Sarcoma. 2012;12:1-17. https://doi.org/10.1155/2012/215810
11. Walker EA, Fenton ME, Salesky JS, Murphey MD. Magnetic resonance imaging of benign soft tissue neoplasms in adults. Radiol Clin North Am. 2011;49:1197-217. https://doi.org/10.1016/j.rcl.2011.07.007
12. Murase E, Siegelman ES, Outwater EK, Perez-Jaffe LA, Tureck RW. Uterine leiomyomas: histopathologic features, MR imaging findings, differential diagnosis, and treatment. RadioGraphics. 1999;19:1179-97. https://doi.org/10.1148/radiographics.19.5.g99se131179
Fuentes Bibliográficas – Tumor Desmoide Abdominal Gigante en Puerperio
13. Lee NK, Kim S, Kim GH, Jeon TY, Kim DH, Jang HJ, et al. Hypervascular subepithelial gastrointestinal masses: CT-pathologic correlation. RadioGraphics 2010; 30:1915-34. https://doi.org/10.1148/rg.307105028
14. Nuyttens JJ, Rust PF, Thomas CR Jr, Turrisi AT. Surgery versus radiation therapy for patients with aggressive fibromatosis or desmoid tumors: A comparative review of 22 articles. Cancer. 2000;88:1517-23. https://doi.org/10.1002/(SICI)1097-0142(20000401)88:7<1517::AID-CNCR3>3.0.CO;2-9
15. González MA, Menéndez R, Ayala JM, Herrero M, Cuesta J, Dominguez A, et al. Tumor desmoide intraabdominal. Cir Esp. 2005;77: 362-4. https://doi.org/10.1016/S0009-739X(05)70872-1
16. Crago AM, Denton B, Salas S, Dufresne A, Mezhir JJ, Hameed M, et al. A prognostic nomogram for prediction of recurrence in desmoid fibromatosis. Ann Surg. 2013;258:347-53. https://doi.org/10.1097/SLA.0b013e31828c8a30
17. Martínez Trufero J, Pajares Bernad I, Torres Ramón I, Hernando Cubero J, Pazo Cid R. Desmoid-type fibromatosis: who, when, and how to treat. Curr Treat Options Oncol. 2017;18:29. https://doi.org/10.1007/s11864-017-0474-0
18. Sturt NJ, Clark SK. Current ideas in desmoid tumours. Fam Cancer. 2006;5:275-85. https://doi.org/10.1007/s10689-005-5675-1
Autores – Tumor Desmoide Abdominal Gigante en Puerperio
1 Giancarlo Schiappacasse Faundes, Pablo Alvayay Quilodran, Claudio Silva Fuente-Alba, Médico, especialista en Radiología, Facultad de Medicina Clínica Alemana, Universidad del Desarrollo. Santiago, Chile.
2 Consuelo Gatica Troncoso, Médico, residente de Radiología, Facultad de Medicina Clínica Alemana, Universidad del Desarrollo. Santiago – Chile.
Fecha de recibido: 15/12/2020 – Fecha de aceptación: 29/03/2021 – Fecha de publicación en línea: 30/07/2021
Autor de correspondencia: Giancarlo Schiappacasse-Faúndes. Avenida Vitacura 5951. Vitacura, Santiago, Chile.
Teléfono: +56 22 2101398. Correo electrónico. gschiappacasse@alemana.cl
Citar como: Schiappacasse Faundes G, Gatica Troncoso C, Alvayay Quilodran P, Silva Fuente-Alba C. Tumor desmoide abdominal gigante en puerperio: caso clínico y revisión de la literatura. Rev Colomb Cir. 2021;36:703-8. https://doi.org/10.30944/20117582.794
Este es un artículo de acceso abierto bajo una Licencia Creative Commons – BY-NC-ND https://creativecommons.org/licenses/by-ncnd/4.0/deed.es






