Evisceración de Intestino Delgado por Periné Posterior como Presentación de Hernia Interrecto-Vaginal: Reporte de un Caso
Evisceration of the Small Intestine Through the Posterior Perineum as Presentation of Interrecto-Vaginal Hernia: A Case Report
Resumen
Introducción. El enterocele es causado por un defecto herniario del piso pélvico, siendo el más común la hernia interrecto-vaginal.
Se produce por un debilitamiento del piso pélvico, por diversos factores, entre ellos, las cirugías en la región pélvica, el estreñimiento crónico o las patologías que aumentan la presión intraabdominal, el antecedente de prolapso rectal o vaginal, y también, factores congénitos.
Presentación de caso. Paciente femenina de 84 años de edad, con antecedentes de un parto eutócico y múltiples procedimientos quirúrgicos, entre ellos histerectomía hace 40 años y rectosigmoidectomía por enfermedad diverticular complicada hace 6 años, quien cuatro meses antes presenta constipación crónica, que empeora en los días previos a su ingreso, con dolor perineal intenso y salida de asas intestinales a nivel de la región perineal, que la obliga a consultar a Urgencias.
Al encontrarse con asas intestinales expuestas, con cambios de coloración, es intervenida quirúrgicamente con resultado satisfactorio, postquirúrgico inmediato optimo y seguimiento por consulta externa por 3 meses sin evidencia de recidiva.
Discusión. La hernia interrecto-vaginal tiene una incidencia baja y una presentación clínica variada. El único tratamiento es quirúrgico.
Palabras clave: diafragma pélvico; perineo; fondo de saco recto-uterino; hernia; intestino delgado; enterocele.
Abstract
Introduction. The enterocele is produced by an hernia defect of the pelvic floor, being the most common the interrecto-vaginal hernia. It is produced by weakness of the pelvic floor for multiples factors, among them surgeries of the pelvic region, chronic constipation or pathologies that increase intra-abdominal pressure, a history of rectal or vaginal prolapse, and congenital factors.
Case report. A 84-year-old female patient, with a history of eutocic delivery and multiple surgical procedures, including hysterectomy 40 years ago and rectosigmoidectomy for complicated diverticular disease 6 years ago, presented four months earlier with chronic constipation, which worsens in the days before her admission, with intense perineal pain and exit of intestinal loops at the level of the perineal region, which forced her to consult the emergency room.
At examination the intestinal loops were found exposed, with color changes, she underwent surgery with satisfactory results, optimal immediate postoperative and outpatient follow-up for 3 months with no evidence of recurrence.
Discussion. Interrecto-vaginal hernia has a low incidence and a varied clinical presentation. The only treatment is surgery.
Keywords: pelvic floor; perineum; Douglas’ pouch; hernia; small intestine; enterocele.
Introducción – Presentación de Hernia Interrecto-Vaginal
El enterocele, o protrusión de asas de intestino delgado, es producido por un defecto herniario interrecto-vaginal. Este defecto es la forma de presentación menos común de los prolapsos por debilidad del piso pélvico, después del cistocele, el rectocele y el prolapso uterino, en orden de frecuencia.
Lo más común es el prolapso de la porción superior de la pared posterior de la vagina, junto con asas intestinales y epiplón, a través del periné posterior.1
El parto, la edad y cualquier otro factor que aumente de manera excesiva la presión sobre el suelo pélvico, a la larga logrará debilitar los músculos y los ligamentos que mantienen en su lugar a los órganos pélvicos, y esto aumentará la posibilidad de desarrollar un prolapso del intestino delgado.
También, las diferentes técnicas quirúrgicas empleadas para la reparación de patologías del piso pélvico pueden debilitarlo.2
La sintomatología en esta patología es variada, desde casos leves donde no se encuentran síntomas, hasta prolapsos evidentes, con dolor en el periné o la zona lumbar, protuberancias en periné posterior, dispareunia y, en casos muy avanzados, evisceración del contenido herniario.1
El diagnóstico es meramente clínico, pero nos podemos ayudar con imágenes diagnósticas, como tomografía computarizada o resonancia magnética.2
El tratamiento es quirúrgico y depende del tipo de enterocele, la edad, la actividad sexual, y si se acompaña de algún otro defecto de la dinámica pélvica.1-2
Caso clínico – Presentación de Hernia Interrecto-Vaginal
Paciente femenina de 84 años de edad, con antecedentes médicos de hipertensión arterial controlada en tratamiento, ginecoobstétricos de un embarazo con parto eutócico sin novedad, y quirúrgicos de histerectomía hace 40 años, cirugía de reemplazo de cadera izquierda hace 10 años, colporrafia anterior por cistocele hace 9 años, rectosigmoidectomía por enfermedad diverticular complicada hace 6 años, colecistectomía y hernioplastia umbilical hace 5 años, y rectopexia hace 4 años.
Refería cuadro clínico de larga data de estreñimiento, y 3 días de constipación que no mejora, acompañada de distensión abdominal, con dolor abdominal en el último día, que progresa hasta llegar a ser de gran intensidad, con tenesmo y pujo, dolor perineal y perianal intenso, y finalmente evisceración de asas de intestino delgado, motivo por el cual acude a nuestra casa asistencial.
Al ingreso se encuentra normotensa (100/70 mm/Hg), taquicárdica (FC: 100 latidos por minuto), taquipneica (FR: 26 respiraciones por minuto), consciente, intranquila, con facies álgicas, pálida, con abdomen distendido, depresible pero doloroso a la palpación difusa, ruidos hidroaéreos abolidos, y a la inspección de la región perianal, se evidencia evisceración de asas de intestino delgado a través de periné posterior, con cambios de coloración (figura 1).

Figura 1. Paciente con enterocele en el examen físico.
El diagnóstico clínico fue prolapso de intestino delgado, o enterocele, por hernia perineal posterior encarcelada, en proceso de estrangulamiento.
Los exámenes de laboratorio prequirúrgicos mostraron leucocitosis (15.710 celulas/mm3) con tendencia la neutrofilia (89,8 %), anemia (hemoglobina: 9,8 g/dL y hematocrito: 29,3%) y reactantes de fase aguda elevados (PCR: 27,49 md/dL y Procalcitonina: 0,75 mg/dL).
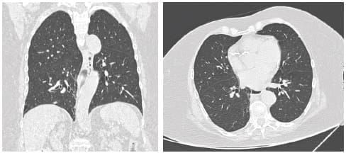
Al encontrarnos cursando el pico de la pandemia, para el ingreso hospitalario, por protocolo se realizó hisopado nasofaríngeo para detección de SARS-CoV2, que fue negativo, y tomografía computarizada de tórax, evidenciando probables imágenes de vidrio deslustrado en base izquierda, compatible con anormalidades consistentes con infecciones diferentes a COVID-19 (CO-RADS 2) (figura 2).
Figura 2. Tomografía de tórax de alta resolución compatible con CO-RADS 2.
Concluida la toma de exámenes protocolarios, se procede a llevar la paciente a quirófano de emergencia para realizar laparotomía exploratoria, encontrando hernia interrecto-vaginal y asas de íleon (aproximadamente 50 cm) con eritema, edema y cambio de coloración.
De manera manual se reducen las asas protruidas a través de hernia, liberando las adherencias entero-entéricas y del anillo herniario, se resecan unos 60 cm de intestino y se practica anastomosis íleo-ileal latero- lateral isoperistáltica con sutura mecánica.
Se identifica defecto herniario interrecto-vaginal de aproximadamente 2.5 cm de diámetro (figura 3), el cual se corrige con puntos de polipropileno 1 y se realiza cervicopexia y cierre de la cavidad por planos.

Figura 3. En la cirugía se aprecia el defecto herniario interrectovaginal por donde protruyeron asas intestinales (izquierda), que fueron resecadas por encontrarse con signos de hipoperfusión y necrosis (derecha).
Durante postoperatorio, a pesar de la edad y las comorbilidades de la paciente, no desarrolla complicaciones y se dio de alta al quinto día.
Acude a consulta de control a los 15 días, para retiro de las suturas de piel y a los 3 meses de su intervención, sin presentar molestias, alteraciones en el ritmo defecatorio, ni aparente masa en región perineal.
Discusión – Presentación de Hernia Interrecto-Vaginal
Las hernias perineales son un subgrupo entre las hernias del piso pélvico. Según la anatomía, se pueden dividir las hernias perineales en anteriores y posteriores.1
Según su etiología, pueden llegar a ser primarias o secundarias; las primeras, se producen por defectos congénitos o adquiridos de los músculos y aponeurosis del piso pélvico; las secundarias, muchas veces tienen relación con la cantidad de cirugías realizadas en la zona, llegando a ser consideradas como una hernia incisional en el caso de resecciones abdominoperineales del recto, histerectomías vaginales y otras más.2,3
La incidencia de esta entidad es baja, entre el 0,6 al 7 %, mientras que la prevalencia se estableció de un 3,4 %, aproximadamente.3
Como factores de riesgo se han descrito diversas condiciones que aumentan la probabilidad de desarrollar una hernia perineal, como el aumento de la presión intraabdominal o pélvica durante el embarazo, el parto y la obesidad, así como tabaquismo, ascitis crónica, infecciones recurrentes del tracto urinario y del canal vaginal; o la debilidad adquirida del piso pelvico.3,4
Las hernias perineales se presentan más frecuentemente en mujeres que en hombres:
Con una relación 5:1, y más comúnmente a partir de la cuarta o quinta década de vida.4 El compromiso del piso pélvico puede llegar a ocasionar dificultad o alteraciones para la micción y la defecación.
Suelen pasar asintomáticas, pero cuando desarrollan síntomas, las manifestaciones pueden variar, desde ligero malestar o dolor perineal mientras se encuentra sentado o de pie, hasta molestias o alteraciones del ritmo urinario, obstrucción intestinal, prolapso rectal, vaginal, vesical o del intestino delgado.2,5
El enterocele, comúnmente denominado prolapso del intestino delgado, se produce por la protrusión de este órgano a través de la cavidad pélvica inferior, más comúnmente por el periné posterior; esto debido a un defecto herniario encontrado en el piso pélvico, específicamente una hernia interrecto-vaginal.5
Durante el examen físico, los pacientes deberán ser evaluados en posición decúbito lateral izquierdo, o también en posición de litotomía, y el piso pélvico deberá ser palpado de una manera sistemática, con el paciente en reposo y después con el paciente usando la técnica de Valsalva, tratando de expulsar el dedo explorador.6
Esta maniobra nos permite detectar defectos posterolaterales del músculo elevador del ano. La contracción del puborrectal puede palparse durante esta maniobra, ya que un debilitamiento del puborrectal desviará el dedo hacia delante.6-7
En posición de litotomía, el prolapso debe observarse en relación con una marca anatómica, como el anillo del himen, en reposo y durante la contracción.1, 7
Las imágenes diagnósticas para evaluar este tipo de hernias del piso pélvico son diversas:
Entre ellas encontramos la resonancia magnética nuclear dinámica, la cistocolpoproctografía, la peritoneografía, el ultrasonido de partes blandas y la tomografía computarizada de piso pelvico.2,8
La resonancia magnética dinámica se ha recomendado porque es una prueba rápida y no invasiva, que determina el prolapso visceral pélvico y la estructura de la musculatura del piso pélvico.
Las pruebas de fisiología anorrectal y urodinamia pueden ser requeridas para evaluar los síntomas relacionados con la incontinencia o la obstrucción (o ambas).5,9
En el desarrollo de esta enfermedad, es muy poco común llegar al encarcelamiento o el estrangulamiento de los órganos protruidos, porque el cuello de la hernia es amplio y el defecto muscular es flexible; lo común es encontrar un crecimiento progresivo, que logra la destrucción del piso pélvico.9
Aunque el desgarro del periné es raro, también es una indicación de cirugia.2,3 Para la reparación de hernias perineales, primarias y secundarias, se han descrito distintos abordajes abdominales, perineales y abdominoperineales combinados.7,9
Los principios básicos de tratamiento son los mismos que se establecen para otros tipos de hernias:
Disección del saco herniario, reducción del contenido, resección del saco y cierre del defecto herniario.2,10
Algunos autores indican el acceso abdominal como el estándar de oro, pues permite reducir el contenido del saco herniario, disminuyendo el riesgo de lesionarlo, y realizar un cierre más seguro del defecto aponeurótico.4,10
Cuando el defecto es mayor o existe una tensión excesiva en la línea de sutura, pueden emplearse colgajos aponeuróticos o aplicar una malla protésica.4,9,10
La vía perineal tiene el beneficio de que se puede realizar con anestesia conductiva (raquídea), y a veces se prefiere porque evita riesgos de un procedimiento abdominal. Estas son las denominadas técnicas de sostén autólogo, donde se emplea el propio tejido para reparar el defecto.10
Con este acceso perineal se obtienen excelentes resultados en gran parte de los pacientes, y el abordaje abdominal se debe reservar para aquellos con hernias recidivantes o en caso de que se necesite revisar el contenido abdominal o pelvico.8,10
Las técnicas por vía perineal incluyen cierre simple por planos, transposición de un colgajo con músculo semitendinoso o con glúteo mayor, fijación de mallas sintéticas o biológicas, y retroflexión del útero para el cierre del defecto.9,10
Conclusiones – Presentación de Hernia Interrecto-Vaginal
El enterocele es la protrusión de asas de intestino delgado a través del piso pélvico, en la región del periné posterior, más frecuentemente por hernias interrecto-vaginales. Al ser una patología muy poco común, es importante conocer la probable causa base y sus opciones terapéuticas.
En este caso en particular, al contar la paciente con una historia constipación crónica, produjo aumento de la presión intraabdominal, logrando romper el saco herniario y, debido a una debilidad extensa del piso pélvico por las múltiples intervenciones quirúrgicas previas, desarrolló una evisceración del intestino delgado.
Para el tratamiento, en todos los pacientes con esta entidad, es necesario considerar el tipo de enterocele, la edad, la actividad sexual y si se acompaña de algún otro defecto de la dinámica pélvica. En esta paciente se practicó una cervicopexia, con cierre del orificio del defecto herniario.
Cumplimiento de normas éticas
Consentimiento informado: Este estudio es una revisión de historias clínicas retrospectiva. Se obtuvo el consentimiento informado por escrito de la paciente para la publicación de este caso y sus imágenes adjuntas.
Conflictos de intereses: Los autores no declaran ningún conflicto de interés.
Fuente de financiación: Recursos propios de los autores.
Contribución de los autores:
– Concepción y diseño del estudio: Jorge Pazmiño Medina y Gabriela Zurita Aguirre.
– Adquisición de datos: Gabriela Zurita Aguirre y Jonathan Coello Vergara.
– Análisis e interpretación de datos: Pedro Marin Castro y Gabriela Zurita Aguirre.
– Redacción del manuscrito: Pedro Marin Castro.
– Revisión crítica: Jorge Pazmiño Medina y Pedro Marin Castro
Referencias – Presentación de Hernia Interrecto-Vaginal
1. Bejarano-García RJ. Evisceración del intestino delgado estrangulado en una anciana con douglascele. Medisan. 2020;24:897-905.
2. Alobuia WM, Laryea JA. Perineal hernia repair with mesh and gluteal myocutaneous flap after abdominoperineal resection for rectal cancer: A case report. Ann Clin Case Rep. 2018;3:1569.
3. Ýmisson B, Hamad A, Govindarajah N, Khan A. Symptomatic perineal hernias: A rare but challenging problem after laparoscopic abdominoperineal resection for rectal cancers. Combined abdominoperineal approach and biological mesh repair. Int J Surg Res Pract. 2018;5:077. https://doi.org/10.23937/2378-3397/1410077
4. Camacho-Marente V, Navarro-Morales L, Martín-Cartes J, Bustos Jiménez M, Tallón-Aguilar L, Padillo-Ruiz J. Reparación de hernia perineal con prótesis de polipropileno. Cir Andaluza. 2018;29:148-50.
5. Mai J, Chen S, Chan CC, Chuquin K, Ky-Miyasaka A. Repair of a primary perineal hernia. World J Surg Surgical Res. 2019;2:1171.
6. Narang SK, Alam NN, Köckerling F, Daniels IR, Smart NJ. Repair of perineal hernia following abdominoperineal excision with biological mesh: A systematic review. Front Surg. 2016;3:49. https://doi.org/10.3389/fsurg.2016.00049
7. Watanobe I, Miyano S, Mahida M, Sugo H. Primary anterior perineal hernia: A case report and review of the literature. Assian J Endosc Surg. 2020;13:600-4. https://doi.org/10.1111/ases.12800
8. Ntaganda E, Niyongombwa I, St-Louis E, Emil S, Laberge JM. Congenital perineal hernia. Journal of Pediatric Surgery Case Report. 2018;32:46-8. https://doi.org/10.1016/j.epsc.2018.01.016
9. Sánchez-Brizuela JA. Hernias Perineales. Rev Cubana Cir. 2018;57:1-20.
10. Méndez-Ibarra JU, Mora-Sevilla JM, Evaristo-Méndez G. Hernia perineal posterior primaria asociada a dolicocolon. Cirugía y Cirujanos. 2017;85:181-5. https://doi.org/10.1016/j.circir.2015.12.009
Autores – Presentación de Hernia Interrecto-Vaginal
1 Jorge Pazmiño-Medina, Médico, especialista en Cirugía General, Departamento de Cirugía General, Hospital Luis Vernaza; profesor titular, cátedra de
Cirugía, Escuela de Medicina, Universidad Estatal de Guayaquil, Guayaquil, Ecuador.
2 Gabriela Zurita-Aguirre, Jonathan Coello-Vergara, Médico, residente de Cirugía General, Universidad de Especialidades de Espíritu Santo, Hospital Luis Vernaza, Guayaquil, Ecuador.
3 Pedro Marín-Castro, Médico, especialista en Cirugía General, Universidad de Especialidades de Espíritu Santo, Guayaquil, Ecuador.
Fecha de recibido: 11/12/2020 – Fecha de aceptación: 08/01/2021 – Fecha de publicación en línea: 11/06/2021
Correspondencia: Pedro Marin-Castro, Ciudadela San Felipe, Manzana 158 Villa 18, Guayaquil, Ecuador.
Teléfono: (+593) 98 029 4128. Email: pedro.mc91md@gmail.com
Citar como: Pazmiño-Medina J, Zurita-Aguirre G, Coello-Vergara J, Marín-Castro P. Evisceración de intestino delgado por periné posterior como presentación de hernia interrecto-vaginal: reporte de un caso. Rev Colomb Cir. 2021;36:732-7.
https://doi.org/10.30944/20117582.827
Este es un artículo de acceso abierto bajo una Licencia Creative Commons – BY-NC-ND https://creativecommons.org/licenses/by-ncnd/4.0/deed.es







