Katherine Redondo1, César Redondo1, Asdrúbal Miranda2,
RinaBarrios3, DanielaBertel3, Andys Gómez4
Palabras clave: actinomicosis; neoplasias del colon; obstrucción intestinal; terapia.
Resumen
La actinomicosis es una enfermedad infecciosa crónica, infrecuente y progresiva. El diagnóstico es difícil y puede llegar a enmascararse con procesos inflamatorios del colon o neoplasias malignas. El principal agente patógeno es Actinomyces israelii. Frecuentemente, se encuentra como flora endógena de la mucosa del tubo digestivo; sin embargo, en ocasiones se produce disrupción de la mucosa, lo cual origina una enfermedad inflamatoria granulomatosa, crónica, con manifestaciones clínicas diversas. Menos del 20 % de los pacientes tienen más de 60 años, como el presente caso, y se manifiesta predominantemente en el sexo femenino (65 %) en localización abdominal. El tratamiento combina la resección tumoral con antibioticoterapia prolongada, lográndose una evolución satisfactoria.
Se presenta el caso clínico de un hombre de 68 años de edad con dolor en el flanco y la fosa iliaca derechos, asociado a sensación de masa, astenia, adinamia y pérdida de peso. En la fosa iliaca y el flanco derechos, se palpaba una masa indurada mal delimitada, de 10 x 5 cm, dolorosa y sin signos de irritación peritoneal. Las imágenes diagnósticas, ecografía abdominal total y tomografía axial con contraste, sugirieron una neoplasia en el flanco derecho. En la colonoscopia no se demostraron lesiones en su luz. Se le practicó una hemicolectomía derecha con anastomosis íleon-colon y en el estudio histopatológico se demostró un pseudotumor inflamatorio secundario a actinomicosis abdominal.
La actinomicosis abdominal es un reto diagnóstico preoperatorio debido a su baja incidencia, por ello, es importante conocer la entidad y lograr sospecharla.
Introducción
La actinomicosis es una enfermedad infecciosa crónica rara y paulatinamente progresiva, producida por bacterias filamentosas anaerobias Gram positivas, no esporuladas, del género Actinomyces spp. Diversas especies de las mismas son parte de la flora comensal en la cavidad oral, el tubo digestivo, la cavidad torácica y otros órganos, incluyendo la piel 1. El diagnóstico es difícil debido a sus manifestaciones clínicas variables, que llegan a enmascararse como procesos inflamatorios del colon o neoplasias malignas 2.
A continuación se presenta un caso inusual de actinomicosis abdominal que simulaba un tumor maligno.
Caso clínico
Se trata de un hombre de 68 años de edad que consultó por un cuadro clínico de un año de evolución consistente en dolor en el flanco y la fosa iliaca derechos, asociado a sensación de masa y acompañado de astenia, adinamia y pérdida de peso no cuantificada.
En el examen físico de ingreso se encontró un paciente con importante palidez mucocutánea, mucosa oral seca, lengua seca, dolor a la palpación en la fosa iliaca y el flanco derechos, donde se palpaba una masa indurada y mal delimitada, de 10 x 5 cm, sin signos de irritación peritoneal.
Se practicó una ecografía abdominal en la que se observó la imagen de una masa heterogénea e irregular, sólida, de aproximadamente 60 x 62 x 40 mm, en el flanco derecho, posiblemente del colon ascendente. En la tomografía axial (TC) abdominal con contraste, el hígado era de forma y coeficiente de atenuación normales, con múltiples imágenes hipodensas en el parénquima hepático, las cuales captaban el contraste en forma periférica y parecían corresponder a lesiones secundarias (figura 1). Llamaba la atención el engrosamiento de las paredes del íleon distal y una formación con densidad de tejidos blandos como probable neoplasia en el ciego y el íleon distal (figura 2).
En la colonoscopia no se encontró presencia de lesiones en la luz intestinal y en la anoscopia se encontraron hemorroides internas sin huellas de sangrado reciente (figura 3). El antígeno carcinoembrionario se reportó en 4,5 ng/ml.
El paciente presentó deterioro del estado general y hemoglobina de 3,9 g/dl, por lo cual se transfundieron cuatro unidades de glóbulos rojos empacados y se sometió a laparotomía exploratoria. Se encontró una masa de 12 x 10 cm en el ciego, con compromiso de la pared abdominal anterior y moderada cantidad de ganglios mesentéricos aumentados de tamaño. Se practicó resección en bloque con compromiso de pared abdominal, hemicolectomía derecha y anastomosis íleon-colon transverso.
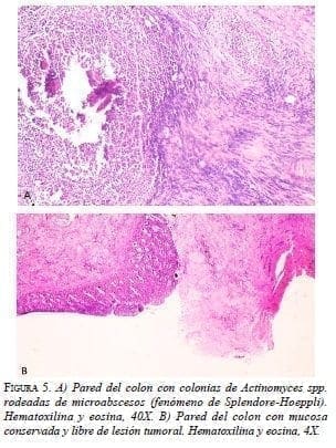
En el estudio histopatológico del segmento del colon resecado, se observó deformación de la serosa por una masa firme. Al corte, se evidenció la mucosa con edema y enrojecimiento, sin lesiones en la luz, y en los cortes sucesivos de la pared, se identificó un área indurada, aproximadamente de 7 x 6 x 4 cm, amarillenta, mal delimitada y de localización submucosa, que se extendía hasta la serosa (figura 4). En la histopatología se evidenció un importante proceso inflamatorio agudo y crónico, con colonias de Actinomyces spp., acompañado de necrosis isquémica transmural y tejido de granulación, sin evidencia de compromiso de la mucosa del colon (figura 5). Con estos hallazgos se hizo el diagnóstico de seudotumor inflamatorio secundario a actinomicosis abdominal. En las adenopatías estudiadas se encontró hiperplasia folicular reactiva, sin compromiso por lesión tumoral.
La evolución posquirúrgica fue buena y se dio de alta con tratamiento médico al quinto día de la hospitalización.




La actinomicosis es un proceso de origen infeccioso caracterizado por una inflamación crónica granulomatosa, en el cual se ha identificado Actinomyces israelii como el principal agente patógeno. Sin embargo, se han registrado otras cepas que con menor frecuencia producen infección en humanos, como como A. naeslundii, A. odontolyticus, A. viscosus y A. meyeri. Todas ellas se multiplican lentamente y se ramifican antes de dividirse, adquiriendo un aspecto semejante al de un micelio, razón por la cual inicialmente el género se clasificó como un hongo 1,3.
La actinomicosis se describió en 1878 en Israel, como una enfermedad de curso clínico insidioso y lento 4. Es frecuente encontrar Actinomyces spp. como parte de la flora endógena normal de las mucosas del tubo digestivo, del aparato respiratorio y del genital. Sin embargo, en algunos casos puede generar infecciones oportunistas al romper la barrera mucosa, causando una enfermedad inflamatoria crónica de difícil diagnóstico y con manifestaciones clínicas variadas, que incluyen formación de múltiples abscesos y, ocasionalmente, orificios fistulosos 1,2,5.

Existen muchas formas de presentación de la infección; las más frecuentes son la actinomicosis cérvico-facial (20 a 55 %), la abdomino-pélvica (15 a 20 %) y la torácica (10 a 15 %) 1,2,3,5-7. En su localización intraabdominal, la actinomicosis se desarrolla frecuentemente en la región ileocecal y la rectosigmoidea, simulando otros procesos inflamatorios crónicos intraabdominales como la enfermedad de Crohn, la tuberculosis intestinal, la amebiasis e, incluso, neoplasias malignas, como en el presente caso, por lo cual resulta un reto su diagnóstico preoperatorio 5,8,9.
Otras localizaciones frecuentes son el estómago, el área prepilórica y el recto 8. Puntualmente, la actinomicosis pélvica se ha asociado al uso de dispositivos intrauterinos, lo cual incrementa el riesgo de infección por posibles lesiones de la mucosa uterina normal. La prevalencia de colonización pélvica varía entre 1,6 y 36 %, con manifestaciones clínicas evidenciables 10.
En las series de casos reportadas, hubo sospecha previa al diagnóstico definitivo en 7 % de los pacientes con compromiso del aparato respiratorio 11. Se han reportado casos anecdóticos de actinomicosis localizada en el sistema nervioso central, con un cuadro clínico inespecífico y de difícil diagnóstico 12.
La infección por Actinomyces spp. se puede encontrar a cualquier edad, aunque tiene mayor prevalencia entre los 40 y los 45 años, y menos del 20 % de los pacientes son mayores de 60 años. En general, se ha observado predominio de la enfermedad en pacientes de sexo masculino; sin embargo, su presentación abdominal es más frecuente en mujeres (65 %), a una edad media de 53 años 5.
La actinomicosis abdominal tiende a simular muchas otras enfermedades, pues no tiene una presentación clínica ni radiológica específica. Usualmente, se presenta como una masa de lento crecimiento que altera el hábito intestinal, y se acompaña de dolor abdominal y síntomas constitucionales. En casos raros, se presenta en forma de abscesos abdominales con drenaje fistuloso o sin él a otros sitios del abdomen o en la región perianal, y en ocasiones, puede producir un abdomen agudo 13. Otros hallazgos frecuentes incluyen anemia, leucocitosis y elevación de los marcadores inflamatorios, como la velocidad de eritrosedimentación y la proteína C reactiva 14.
La TC es la modalidad diagnóstica de elección para valorar el grado de compromiso y comprobar la efectividad del tratamiento, en especial, cuando este no es quirúrgico 15. Esta enfermedad tiende a manifestarse como una masa sólida con baja atenuación focal, frecuentemente con áreas quísticas de paredes delgadas, y a producir infiltración. Se propaga principalmente a los tejidos adyacentes, lo cual no está del todo entendido; se ha descrito que la masa producida por la infección tiene tendencia a infiltrar y sobrepasar los límites y planos de las fascias, con compromiso de múltiples compartimientos y extendiéndose, incluso, hasta la pared abdominal 15,16.
El diagnóstico definitivo de la actinomicosis requiere el estudio histopatológico, donde se observan gránulos de azufre e hifas ramificadas Gram positivas.
Asociado al estudio histopatológico, el método diagnóstico estándar es el cultivo microbiológico. Sin embargo, este tiene ciertas limitaciones, ya que se requiere procesar el material fresco de forma inmediata o transportarlo en contenedores anaerobios; aun manejado con una adecuada técnica, puede dar resultados negativos hasta en 76 % de los casos 10.
Las colonias crecen en medio anaerobio en una semana, aproximadamente, y los gránulos de azufre se observan solo en 50 % de los casos; sin embargo, este último no es un hallazgo patognomónico debido a que otros microorganismos como Nocardia spp. y Streptomyces spp., pueden desarrollar agregados que recuerdan estos gránulos 10,13,17. Estos gránulos actinomicóticos tienen una reacción positiva con las tinciones de ácido peryódico de Schiff y Grocott, pero son negativos con la reacción de Kossa 10,18.
Con respecto al tratamiento, se recomienda la combinación de resección tumoral, drenaje de abscesos y tratamiento antibiótico prolongado para disminuir las recaídas. Las especies de Actinomyces son sensibles a un amplio grupo de antibióticos, entre los cuales el más usado como de primera línea es la penicilina G, en dosis de 20 millones de UI diarias por vía intravenosa durante cuatro semanas, para continuar luego con penicilina V en dosis de 2 a 4 g diarios por vía oral durante doce meses. En caso de intolerancia o alergia, se sugiere reemplazarla por tetraciclinas o clindamicina 19,20. La evolución de estos pacientes es satisfactoria y alcanza la curación en 90 % de los casos con tratamiento quirúrgico combinado con antibioticoterapia. La mortalidad es escasa 19.
Conclusión
La actinomicosis abdominal es uno de los tantos diagnósticos diferenciales en el paciente con abdomen agudo y masa abdominal; sin embargo, debido a su baja prevalencia, en muy pocas ocasiones se tiene en cuenta como diagnóstico preoperatorio, lo cual lleva a someter a estos pacientes a amplias resecciones del colon con tratamientos enfocados en posibles neoplasias. De allí la importancia de conocer la enfermedad, y aprender sus sutilezas diagnósticas y en qué momento sospecharla.
Abdominal actynomycosis simulating malignant tumor of the colon
Abstract
Actinomycosis is a rare and progressive chronic infectious disease. The diagnosis can be masked by inflammatory processes or malignant colonic tumors. Actinomyces israelii is the main pathogen isolated, frequently found as usual endogenous flora of the gastrointestinal tract mucosa; however, occasional mucosal disruptions may cause a chronic granulomatous inflammatory condition with various clinical manifestations. Less than 20% of patients are above 60 years of age, like our case, and it predominantly occurs in females (65%), generally presenting in the abdomen. Treatment combines resection of the mass and prolonged antibiotic therapy, often concluding with a satisfactory outcome. We report a 68 year old male with clinical symptoms of flank pain and right lower quadrant mass, associated with fatigue, weakness and weight loss. The mass was located in the abdominal right lower quadrant and right flank, indurated, painful and ill-defined, measuring 10 x 5 cm, with no signs of peritoneal irritation. Diagnostic imaging, total abdominal ultrasound and CT suggested a colonic neoplasia located in the right flank. No lesions were reported by endoluminal colonoscopy. Right hemicolectomy with ileontransverse anastomosis was performed. The specimen was sent for histopathological study, concluding the diagnosis of inflammatory pseudotumor secondary to abdominal actinomycosis.
Key words: actinomycosis; colonic neoplasms; intestinal obstruction; therapy.
Referencias
1. Merchán J, Gómez H. Actinomicosis abdominal y pélvica: reto diagnóstico y quirúrgico para el cirujano general. Rev Colomb Cir. 2010;25:56-60.
2. Ng N, Ng G, Davis BR, Meier DE. Actinomyces appendicitis: Diagnostic dilemma –malignancy or infection? Am Surg. 2014;80:33-5.
3. Alegría J, Paz M, Galleguillos M, Whittle C, Franco C. Revisión de infección pelviana por actinomices: presentación de un caso clínico. Rev Chil Rad. 2003;9:196-200.
4. Taga S. Diagnosis and therapy of pelvic actinomicosis. J Obstet Gynaecol Res. 2007;33:882-5.
5. McFarlane M, Coard KC. Actinomycosis of the colon with invasion of the abdominal wall: An uncommon presentation of a colonic tumour. Int J Surg Case Rep. 2001;1:9-11.
6. Kim YS, Lee BY, Jung MH. Metastatic hepatic actinomicosis masquerading as distant metastases of ovarian cancer. J Obstet Gynaecol Res. 2012;38:601-4.
7. Villa A, Cardona N. Micetoma. CES Medicina. 2008;22:71-8.
8. Dumitru E, Dumitru IM, Popescu R, Resul G, Bulbuc I, Rugina S. Simultaneous occurrence of two rare diseases: Actinomyco¬sis and melanoma of the rectum. J Gastrointestin Liver Dis. 2014;23:95-8.
9. Sevilla F, Villalba F, Domingo C, Laforga J, de la Morena E. Actinomicosis abdominal simulando enfermedad de Crohn. Gastroenterol Hepatol. 2001;24:300-2.
10. Sung HY, Lee IS, Kim SI, Jung SE, Kim SW, Kim SY, et al. Clinical features of abdominal actinomycosis: A 15-year expe¬rience of a single institute. J Korean Med Sci. 2011; 26: 932-7.
1. Ramírez F, Barrera E, Méndez R. Actinomicosis pulmonar: una enfermedad olvidada. Acta Méd Colomb. 2010;35:132-4.
2. Bello Y, Ojeda P, Mosquera O, Martínez M, Lozano A. Acti¬nomicosis del sistema nervioso central: presentación de caso. Rev Colomb Radiol. 2013;24:3827-31.
3. Zamani F, Sohrabi M. Clinical, endoscopic, and histopatho¬logical aspects of sigmoid actinomycosis; A case report and literature review. Middle East J Dig Dis. 2015;7:41-4.
4. Grey T, Lindsay K, Bhowmick A. Actinomycosis: An unusual cause of unresectable rectal cancer. Ann R Coll Surg Engl. 2013; 95:92-4.
5. Böler DE, Uras C, Göksel S, Karaarslan M. Actinomycosis of cecum associated with Entamoeba infection mimicking perfo¬rated colon cancer. Case Rep Gastrointest Med. 2013;1:1-4.
6. Pusiol T, Morichetti D, Pedrazzani C, Ricci F. Abdominal-Pel¬vic Actinomycosis Mimicking Malignant Neoplasm. Infectious Diseases in Obstetrics and Gynecology. 2011;2011:747059. doi:10.1155/2011/747059.
7. Bhuiyan AS, Chaitanya K, Vikas M, Vikram HN, Mukherjee A, Vasudevaiah T, et al. Abdominal actinomycosis –an interesting case. Indian J Surg. 2013;75:93-5.
8. Mesa R, Cataño V, Miranda A. Actinomicosis abdominal causa de exéresis intraabdominal sin diagnóstico previo. Rev Colomb Cir. 1999;14:118-21.
9. Wagenlehner F, Mohren B, Naber KG, Männl HF. Abdominal actinomicosis. Clin Microbiol Infect. 2003;9:881-5.
10. Karakus E, Mambet E, Az11l MN, Gülhan B, Tiryaki T, Tezer H. Actinomycosis of the appendix in childhood- an unusual cause of appendicitis. APSP J Case Rep. 2014;5:26-8.
Correspondencia: Daniela Bertel, MD
Correo electrónico: damibero@gmail.com
Cartagena, Colombia
1 Médico, especialista en Patología, Grupo de Investigación en Histopatología; docente, Sección de Patología, Facultad de Medicina, Universidad de Cartagena; Laboratorio de Citopatología, E.S.E., Hospital Universitario del Caribe, Cartagena, Colombia
2 Médico, especialista en Cirugía General; docente, Departamento Quirúrgico, Facultad de Medicina, Universidad de Cartagena, E.S.E., Hospital Universitario del Caribe, Cartagena, Colombia
3 Médica, residente de primer nivel, especialidad de Patología, Grupo de Investigación en Histopatología, Facultad de Medicina, Universidad de Cartagena, Cartagena, Colombia
4 Médica, residente de cuarto nivel, especialidad en Cirugía General, Facultad de Medicina, Universidad de Cartagena, Cartagena, Colombia
Fecha de recibido: 22 de enero de 2016
Fecha de aprobación: 6 de abril de 2016
Citar como: Redondo K, Redondo C, Miranda A, Barrios R, Bertel D, Gómez A. Actinomicosis abdominal que simula neoplasia tumoral maligna del colon. Rev Colomb Cir. 2016;31:219-24