Neoplasia Papilar Intraductal Mucinosa de Páncreas, Discusión

Publicidad

La Organización Mundial de la Salud (OMS) define las neoplasias intraductales mucinosas como tumores intraductales productores de mucina con epitelio columnar con proyecciones papilares o sin ellas (3,5), y los clasifica en benignos, malignos y limítrofes. Entre éstas neoplasias, el cistoadenoma seroso (32% a 39%), la neoplasia mucinosa quística (10% a 45%) y la neoplasia papilar intraductal (21% a 33%) son los más frecuentes y las neoplasias sólidas pseudopapilares sólo representan el 10% (6).

Recientemente se ha propuesto una nueva clasificación de estos tumores, según su morfología y patrón de expresión de mucinas, la cual tiene valor pronóstico; en ella, los de la variedad pancreatobiliar tienen un pronóstico peor.

Publicidad

1. Tipo intestinal: Muc1 negativo, Muc2 positivo y CDX2 positivo.
2. Tipo pancreatobiliar: Muc1 positivo, Muc2 y CDX2 negativo.
3. Tipo gástrico foveolar: Muc1 y Muc2 negativos
4. Tipo oncocítico: Muc1 y Muc2 positivo

Los cistoadenomas se caracterizan por poseer un epitelio cúbico rico en glucógeno y bajo potencial de malignización, y se han encontrado alteraciones cromosómicas en el gen 3p25 correspondiente a la enfermedad de von Hippel Lindau (1,5,7)

Los tumores mucinosos del páncreas se clasifican en dos: la neoplasia mucinosa quística y la neoplasia papilar intraductal. La primera, aunque su patogénesis es incierta, se encuentra unida a la presencia de tumores mucinosos biliares y ováricos, los cuales son casi exclusivos en mujeres, a diferencia de la neoplasia mucinosa intraductal (3,8,9). La única diferencia entre las neoplasias mucinosas quísticas y la neoplasia mucinosa papilar intraductal, es que la última se comunica con el conducto pancreático principal. Es común encontrar en los adenocarcinomas ductales mutación del gen K ras la cual va paralela al desarrollo de atipias celulares (10,11).

La neoplasia mucinosa papilar intraductal no tiene una presentación clínica típica; en muchos casos es un hallazgo incidental en estudios como ecografías o tomografías abdominales. Cuando hay síntomas, el paciente consulta por dolor abdominal, ictericia o pancreatitis recurrente que, por lo general, son sinónimo de obstrucción de la vía biliar; cuando el dolor abdominal se da en el marco de un antecedente de pancreatitis aguda e, incluso, crónica, con hallazgo de lesión quística pancreática, se debe descartar un pseudoquiste pancreático antes de diagnosticar una neoplasia quística (1,2,12). Una condición que poco se describe, pero debe tenerse en cuenta, es la presencia de diabetes con mala respuesta al tratamiento (7,13).

Publicidad

Los exámenes para el diagnóstico de esta patología son múltiples. Entre el arsenal diagnóstico se cuenta con la tomografía, la cual sirve para caracterizar la lesión y establecer la presencia de ganglios y si hay pancreatitis asociada. En la tomografía se encuentra que la mayoría de las lesiones comprometen el cuerpo o la cola del páncreas (figura 2), raramente hay ganglios murales y calcificaciones en la pared, pero cuando están presentes, son específicos de la neoplasia mucinosa.

Tomografía de Abdomen en la que se Aprecia una Lesión Quística en la Cabeza de Páncreas

FIGURA 2. Tomografía de abdomen en la que se aprecia una lesión quística en la cabeza de páncreas.

La colangiorresonancia (resonancia magnética), por su parte, sirve para determinar si hay comunicación entre la lesión quística y el conducto pancreático (14-16).

La ultrasonografía endoscópica es una de las herramientas más útiles, especialmente para determinar malignidad y la presencia de multicentricidad, con una sensibilidad de 86% cuando los ductos principales miden más de 10 mm y los secundarios más de 40 mm (14).

La colangiopancreatografía por resonancia magnética nos ayuda a determinar la extensión de la dilatación, el número de ganglios murales y la presencia de comunicación entre el quiste y el conducto. Estos hallazgos se relacionan con un mal pronóstico, especialmente la presencia de dilatación del conducto pancreático principal mayor de 10 mm y la presencia de ganglios murales (10,18,19).

En el estudio citológico, la presencia de células epiteliales no gástricas elimina la posibilidad de pseudoquiste, ya que no posee este tipo de células, y nos orienta hacia las neoplasias mucinosas, que se diferencian de la contaminación con material del tubo digestivo porque éste último es más delgado y carece de células inflamatorias y de degeneración (3,20,21).

Publicidad

El estudio citológico ayuda en el diagnóstico, especialmente, cuando se realizan pruebas de marcadores tumorales y pruebas bioquímicas. Las amilasas son el primer estudio que se solicita; cuando están muy elevadas pueden orientarnos a una neoplasia papilar intraductal. Si están aumentadas, la siguiente prueba es el antígeno carcinoembrionario, que cuando es positivo es fuerte predictor es un importante factor pronóstico de quiste mucinoso y cuyo aumento es proporcional a la probabilidad de malignidad (17,22).

Otros marcadores tumorales empleados son el CA 72-4 y el Ca 19-9; aunque sus niveles para diagnóstico en líquido no se han determinado, son útiles en la diferenciación de lesiones mucinosas y no mucinosas.(1,3,23)

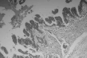
La presencia de mucina no especifica el grado patológico del tumor y que sea negativa no excluye la presencia de neoplasia intraductal mucinosa de páncreas; las células epiteliales de uniones fuertes están asociadas a neoplasias con displasia moderada y, las células inflamatorias y la paracromatina, con el carcinoma in situ. La necrosis está asociada a la invasión (4) (figura 3).

Estudio Histopatológico de Páncreas Utilizando Coloraciones de Hematoxilina Eosina

FIGURA 3. Estudio histopatológico de páncreas utilizando coloraciones de hematoxilina eosina. Dilatación del conducto pancreático principal, neoplasia intraductal mucinosa con células epiteliales con atipia 10X.

El diagnóstico diferencial de la neoplasia intraductal mucinosa del páncreas incluye el pseudoquiste y las neoplasias quísticas. Es importante la diferenciación entre estas dos patologías, ya que el manejo en la primera es generalmente conservador, mientras que las segundas requieren manejo quirúrgico (1,3,24).

Durante la cirugía se obtiene el líquido pancreático a través de la aspiración de los conductos pancreáticos y la administración de secretina (25), la cual aumenta la producción de jugo pancreático para el citodiagnóstico, con el fin de determinar los segmentos que se deben resecar, con base en la relación núcleo/citoplasma, la forma del núcleo, la distribución de la cromatina nuclear y el estado de la mucina (2) (figura 4).

 Neoplasia Intraductal Mucinosa con Células Epiteliales con Atipia

FIGURA 4. Neoplasia intraductal mucinosa con células epiteliales con atipia, nucléolos prominentes y mitosis. Coloración de hematoxilina eosina 40X.

La mayoría de las lesiones quísticas del páncreas se encuentran en la cola, y, generalmente, la pancreatectomía distal basta en las lesiones premalignas, pero la neoplasia intraductal papilar es más frecuente en la cabeza del páncreas (13), por lo que requiere pancreatoduodenectomía (26-28). Sin embargo, como ésta crece de manera longitudinal sobre el conducto, los bordes deben estudiarse intraoperatoriamente para confirmar que éste quede libre de tumor. El 19% de los pacientes requiere pancreatectomía total por la extensión del tumor en el conducto (1,2,10,29).

Algunos autores hablan sobre un origen multicéntrico de las lesiones, por lo cual los bordes libres de tumor no son un factor completamente confiable de resección completa del cáncer. Sin embargo, los bordes libres sin evidencia de lesión trasmural se asocian a una supervivencia cercana al 100%, en el 21% de los casos, hay recurrencias por lesiones de tipo multicéntrico (22,30,31), por lo que se requieren otras formas de encontrar estas lesiones para determinar el borde verdadero de resección. Entre ellas están la citología intraoperatoria por segmentos de jugo pancreático más la biopsia por congelación, en las que, si la histología sale positiva, se agregan 2 cm de resección hasta obtener bordes libres; y si la citología resulta positiva, se resecan los segmentos en los que la citología es positiva para malignidad (23,25,32).

El pronóstico de los tumores papilares mucinosos intraductales del páncreas depende de la presencia de infiltración; hay supervivencia mayor al 90% a 5 años si no se encuentra infiltración y, de 40%, en el caso de los carcinomas invasivos (4,14). Otro factor que se ha visto asociado con un mejor pronóstico es el crecimiento tumoral a partir de ramas secundarias de los conductos pancreáticos, en lugar del conducto pancreático principal (7).

En casos seleccionados, en los que el tumor mide menos de 30 mm, no hay invasión mural y sólo afecta las ramas secundarias del páncreas, y sin cambios en el seguimiento, puede realizarse un manejo no quirúrgico, de observación radiológica, con marcadores tumorales y mediciones de glucemia, ya que el potencial de malignizarse o de crecer es de 11%, a diferencia de los carcinomas que afectan las ramas principales, cuyo potencial maligno es alto (60%) y que requieren manejo quirúrgico (19,22,33).

La neoplasia papilar intraductal mucinosa es una entidad poco frecuente caracterizada por la comunicación con el conducto pancreático principal, raramente sintomática, y generalmente es un hallazgo incidental.

La tomografía, la colangiorresonancia, la ultrasonografía endoscópica y el estudio citológico por colangiografía endoscópica, son los métodos más confiables para el diagnóstico y pronóstico de la enfermedad. Estos tumores suponen un reto para el clínico, ya que pueden confundirse con lesiones benignas quísticas, lo que conlleva a la contradicción entre el manejo quirúrgico o el seguimiento de la lesión.

La biopsia por congelación y la citología intraoperatoria han marcado la pauta para el manejo de estas lesiones y la determinación de los bordes de resección frente a la pancreatectomía total, lo que ha mejorado el pronóstico de los pacientes con esta patología.

El tratamiento de esta patología debe ser quirúrgico; la extirpación completa del tumor por pancreatoduodenectomía o pancreatectomía total.

Intraductal Papillary Mucinous Carcinoma of the Pancreas

Abstract

The intraductal papillary mucinous carcinoma of the pancreas is an infrequent entity, rarely invasive, of low potential of malignancy, atypical in its presentation, and generally asymptomatic. It affects the body or tail of the pancreas, and in many cases is an incidental finding in diagnostic imaging, such as abdominal ultrasonophy or CT scanning.

The lesion can be studied by different means, such as CT scanning or endoscopic ultrasonography intended to obtain images and pancreatic juice for cytology and tumor markers. Endoscopic ultrasonography and cholangiography by magnetic resonance provide information for the diagnosis of this lesion and for its management, which generally involves surgical resection with intaoperative biopsy by frozen section.

We present one case of intraductal papillary mucinous carcinoma of the together with a literature review.

Key words: pancreatic neoplasms, papiloma intraductal, carcinoma papillary, cystadenoma, mucinous, diagnosis, pancreatectomy, pancreatectomía

Referencias

1. BRUGGE WR, LAUWERS GY, SAHANI D, FERNÁNDEZ-DEL CASTILLO C, WARSHAW AL. Cystic neoplasms of the pancreas. N Engl J Med. 2004;351:1218-26.
2. EGUCHI H, ISHIKAWA H, OHIGASHI T, SASAKI Y, YAMADA T, NAKAIZUMI A, UEHARA H, TAKENAKA A, KASUGAI T, IMAOKA S. Role of intraoperative cytology combined with histology in detecting continuous and skip type intraductal cancer existence for intraductal papillary mucinous carcinoma of the pancreas. Cancer. 2006;107:2567-75.
3. WARSHAW AL, BRUGGE WR, LEWANDROWSKI K. Case 35-2003: a 75-year-old man with a cystic lesion of the pancreas. N Engl J Med. 2003;349:1954-61.
4. MICHAELS PJ, BRACHTEL EF, BOUNDS BC, BRUGGE WR, PITMAN MB et al. Intraductal papillary mucinous neoplasm of the pancreas cytologic features predict histologic grade. Journal American Cancer Society. 2006;108:163-73.
5. LONGNECKER DS, HRUBAN RH, ADLER G, KLOPPEL G. Intraductal papillary-mucinous neoplasms of the pancreas. In: Hamilton SR, Aaltonen LA, editors. World Health Organization classification of tumours. Pathology and genetics of tumours of the digestive System. Lyon: IARC Press; 2000. p. 237-40.
6. KLÖPPEL G, SOLCIA E, LONGNECKER DS, CAPELLA C, SOBIN LH. Histological typing of tumours of the exocrine pancreas. International histological classification of tumours. New York: Springer-Verlag; 1996:15-21.
7. D’ANGELICA M, BRENNAN MF, SURIAWINATA AA, KLIMSTRA D, CONLON KC. Intraductal papillary mucinous neoplasms of the pancreas: an analysis of clinicopathologic features and outcome. Ann Surg. 2004;239:400-8.
8. GALINDO F, KOGAN Z. Tumores quísticos del páncreas. Rev Argent Cir. 1998; 75:140-50.
9. MORAL A, MARGAZO J, MUÑOZ CH, HERNÁNDEZ A, GONZÁLEZ JA et al. Neoplasia papilar intraductal mucinosa del páncreas. Revista Órgano Oficial de la Asociación Española de Cirujanos 2005;77:258-62.
10. FAJARDO R, QUINTERO G. Tumor papilar intraductal mucinoso del páncreas. Rev Colomb Cir. 2002;17:31-6.
11. KIM SY, LEE JM, KIM SH, SHIN KS, KIM YJ, AN SK, et al. Macrocystic neoplasms of the pancreas: CT differentiation of serous oligocystic adenoma from mucinous cystadenoma and intraductal papillary mucinous tumor. AJR. 2006;187:1192-8.
12. FLORES E, FLORES ME, FLORES DM, DELGADO M, et al. Tumores quísticos del páncreas. Archivo Médico de Camagüey. 2007;11(2). Abril 16, 2008; www.amc.sld.cu/amc/2007/v11n2- 2007/2163
13. TANNO S, NAKANO Y, NISHIKAWA T, NAKAMURA K, SASAJIMA J, MINOGUCHI M, et al. Natural history of branch duct intraductal papillary mucinous neoplasms of the pancreas without mural nodules: long term follow-up results. Gut. 2008 Mar; 57(3):339- 43. Epub 2007 Jul 27 Gut. 2008; Mar; 57(3):339-43. Epub 2007, Jul 27.
14. YAMAO K, OHASHI K, NAKAMURA T, SUZUKI T, SHIMIZU Y, NAKAMURA Y, et al. The prognosis of intraductal papillary mucinous tumors of the pancreas. Hepatogastroenterology. 2000;47:1129-34.
15. HOLGUÍN F, LONDOÑO E. Tumor quístico del páncreas. Rev Colomb Cir. 1991;6:87-90.
16. SALVIA R, FERNÁNDEZ-DEL CASTILLO C, BASSI C, THAYER SP, FALCONI M, MANTOVANI W, et al. Main-duct intraductal papillary mucinous neoplasms of the pancreas: clinical predictors of malignancy and long-term survival following resection. Ann Surg. 2004;239:678-85.
17. QUENTIN V, RIOUX-LECLERCQ N, PAGENAULT M, OLIVIÉ D, CAMPION JP, GOSSELIN M, et al. Accuracy of preoperative imaging methods in a retrospective series of 14 patients with operated intraductal papillary mucinous tumors of the pancreas. Gastroenterol Clin Biol. 2005;29:150-5.
18. YEH TS, TSENG JH, CHIU CT, LIU NJ, CHEN TC, JAN YY, et al. Cholangiographic spectrum of intraductal papillarymucinous neoplasm of the bile ducts. Ann Surg. 2006;244:248-53.
19. HARA T, YAMAGUCHI T, ISHIHARA T, TSUYUGUCHI T, KONDO F, KATO K, et al. Diagnosis and patient management of intraductal papillary-mucinous tumor of the pancreas by using peroral pancreatoscopy and intraductal ultrasonography. Gastroenterology. 2002;122:34-43.
20. SOHN TA, YEO CJ, CAMERON JL, HRUBAN RH, FUKUSHIMA N, CAMPBELL KA, et al. Intraductal papillary mucinous neoplasms of the pancreas an updated experience. Ann Surg. 2004;239:788- 99.
21. YAMAGUCHI K, NAKAMURA M, SHIRAHANE K, KAWAMOTO M, KONOMI H, OHTA M, et al. Pancreatic juice cytology in IPMN of the pancreas. Pancreatology. 2005;5:416-21.
22. FALCONI M, SALVIA R, BASSI C, ZAMBONI G, TALAMINI G, PEDERZOLI P. Clinicopathological features and treatment of intraductal papillary mucinous tumour of the pancreas. Br J Surg. 2001;88:376-81.
23. LAU SK, LEWANDROWSKI KB, BRUGGE WR, WARSHAW AL, CENTENO BA. Diagnostic significance of mucin in fine needle aspiration samples of pancreatic cysts. Mod Pathol. 2000;13:48A.
24. CHUNG RS, CHURCH JM, VAN STOLK R. Pancreas-sparing duodenectomy: indications, surgical technique, and results. Surgery. 1995;117:254-9.
25. ISHIKAWA O, OHIGASHI H, NAKAMORI S, SASAKI Y, FURUKAWA H, IMAOKA S, et al. Three-segmental cytodiagnosis using balloon catheter for locating occult carcinoma of the pancreas. J Am Coll Surg. 1995;180:353-5.
26. BASSI C, CRIPPA S, SALVIA R. Intraductal papillary mucinous neoplasms (IPMNs): is it time to (sometimes) spare the knife? Gut. 2008 Mar; 57(3):287-9.
27. EISENBERGER CF, KNOEFEL WT, PEIPER M, YEKEBAS EF, HOSCH SB, BUSCH C, et al. Pancreas-sparing duodenectomy in duodenal pathology: indications and results. Hepatogastroenterology. 2004;51:727-31.
28. CAMERON JL, PITT HA, YEO CJ, LILLEMOE KD, KAUFMAN HS, COLEMAN J. One hundred and forty-five consecutive pancreaticoduodenectomies without mortality. Ann Surg. 1993;217:430-5.
29. CHARI ST, YADAV D, SMYRK TC, DIMAGNO EP, MILLER LJ, RAIMONDO M, et al. Study of recurrence after surgical resection of intraductal papillary mucinous neoplasm of the pancreas. Gastroenterology. 2002;123:1500-7.
30. ADSAY NV, CONLON KC, ZEE SY, BRENNAN MF, KLIMSTRA DS. Intraductal papillary-mucinous neoplasms of the pancreas: an analysis of in situ and invasive carcinomas in 28 patients. Cancer. 2002;94:62-77.
31. LOFTUS EV JR, OLIVARES-PAKZAD BA, BATTS KP, ADKINS MC, STEPHENS DH, SARR MG, BATTS KP, et al. Intraductal papillarymucinous tumors of the pancreas: clinicopathologic features, outcome, and nomenclature. Gastroenterology. 1996;110:1909- 18.
32. COUVELARD A, SAUVANET A, KIANMANESH R, HAMMEL P, COLNOT N, LÉVY P, et al. Frozen sectioning of the pancreatic cut surface during resection of intraductal papillary mucinous neoplasms of the pancreas is useful and reliable: a prospective evaluation. Ann Surg. 2005;242:774-8.
33. BIANKIN AV, KENCH JG, BIANKIN SA, LEE CS, MOREY AL, DIJKMAN FP, et al. Pancreatic intraepithelial neoplasia in association with intraductal papillary mucinous neoplasms of the pancreas: implications for disease progression and recurrence. Am J Surg Pathol. 2004;28:1184-92.

Correspondencia
HÉCTOR LÓPEZ, MD
Correo electrónico: hlopezmoncayo@yahoo.com
Pasto, Colombia

Autor

Otros temas relacionados

Revista de Cirugía: Contents, Volumen 23 No. 3

Deja un comentario