Presentación del Caso
|
|
|
|
|
Feto de 30 semanas de gestación. En un ultrasonido de rutina se le diagnosticó una lesión intrapulmonar derecha (Figura 1). El seguimiento ecográfico no mostró crecimiento de la lesión, ni ascitis, derrame pleural u otras malformaciones asociadas.
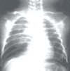
A las 36 semanas de gestación, nace con dificultad respiratoria, por lo que requirió intubación endotraqueal y soporte ventilatorio. Debido a ello se le realiza una radiografía y una tomografía axial computarizada del tórax (Figuras 2, 3 y 4).
¿Cuál es su diagnóstico?
Discusión
La malformación adenomatoide quística (MAQ) representa el 25% de las lesiones congénitas del pulmón y consiste en una masa quística de tejido hamartomatoso con proliferación de estructuras adenomatoides o glandulares a nivel de los bronquiolos terminales. Se presenta predominantemente en un lóbulo o parte de él , aunque puede ser multilobar en el 20% de los casos (2).
Existen tres tipos según la clasificación de Stocker (6)
-Tipo I en la malformación adenomatoide quística(50%):
Uno o más quistes entre 2 y 10 cm. Los quistes están delineados por epitelio columnar o pseudoestratificado ciliado de apariencia papilar o polipoide, placas cartilaginosas y acúmulos de células mucogénicas.
-Tipo II en la malformación adenomatoide quística (40%):
Quistes menores de 2 cm delineados por epitelio cuboidal o columnar, capa fibromuscular delgada y escasas placas cartilaginosas. Está asociada a agenesia o disgenesia renal en el 15% de los casos. 15 – 25% de los secuestros pulmonares extralobares muestran áreas microscópicas de MAQ tipo II.
-Tipo III en la malformación adenomatoide quística (10%):
Quistes entre 0,3 y 0,5 cm que se presentan como estructuras similares a bronquios y ausencia de células mucogénicas y placas cartilaginosas. Estos quistes están delineados por epitelio cuboidal o columnar pseudoestratificado ciliado.
El ultrasonido prenatal muestra un quiste grande simple o múltiples quistes de 2 a 10 cm(MAQ tipo I), múltiples quistes pequeños menores a 2 cm(MAQ tipo II), masa sólida grande de ecogenicidad homogénea(MAQ tipo III), hidropesía (8-62%), ascitis (62-71%), polihidramnios (66-68%), oligoamnios (6%) y desplazamiento mediastinal (89%).
En el periodo neonatal inmediato se manifiesta con dificultad respiratoria progresiva y en la radiografía de tórax se presenta como una lesión quística única o como una lesión multiquística unilateral. Con desviación mediastinal y atelectasia o hipoplasia de los lóbulos no comprometidos en la MAQ tipo I. En la MAQ tipo II se visualizarán áreas heterogéneas de quistes pequeños uniformes o como un área radiopaca dependiendo de la presencia de líquido y/o niveles hidroaéreos y en la MAQ III se apreciará una consolidación parenquimatosa o una imagen de masa.
La TAC es útil para confirmar la naturaleza de la lesión, manifestándose como una masa quística única o múltiples quistes llenos de aire, líquido o niveles hidroaéreos (MAQ tipo I y tipo II), además sirve para establecer la extensión y distribución de la enfermedad y el efecto de masa sobre el mediastino y el pulmón no comprometido(5).
El diagnóstico diferencial se hace con hernia diafragmática, quiste broncogénico, hiperinflación lobar infantil y secuestro pulmonar(6).
La hernia diafragmática puede ser excluida por la visualización de asas intestinales llenas de aire o de medio de contraste por debajo del diafragma.
Los quistes broncogénicos se manifiestan como masas mediastinales y rara vez son vistas en el periodo neonatal.
La hiperinflación lobar infantil causa expansión pulmonar progresiva y efecto de masa, rara vez en esta entidad el pulmón está lleno de líquido. El secuestro pulmonar extralobar se manifiesta en el periodo neonatal o en la infancia temprana con una masa intratorácica sólida en un paciente con dificultad respiratoria, en la radiografía de tórax podría confundirse con una MAQ tipo III.
El tratamiento definitivo es la resección quirúrgica del lóbulo o lóbulos afectados. La segmentectomía es utilizada en niños y en casos seleccionados de neonatos.
Se puede realizar derivación toracoamniótica guiada por ultrasonido para la resolución de la hidropesía fetal. Aunque se ha realizado cirugía fetal abierta, en casos en que la derivación falla en descomprimir adecuadamente el efecto de masa (3).
Dr. Gustavo Triana
Dr. Humberto Rivera
Dr. Javier Romero
Dr. Mario Prada
Departamento de imágenes diagnósticas
Fendación Santa Fe de Bogotá
Bogotá. Colombia.
Bibliografía
- Adzick S, Harrison M, Crombelholme T, Flake A, Howell L. Fetal lung lesions : Management and outcome. Am J Obstet Gynecol 1998; 179: 884-89.
- Dahnert W. cystic adenomatoid malformation.p.357. En: Radiology review manual. William & Wilkins, 1996
- Dumez Y, Mandelbrot L, Radunovic N, Revillon Y, Dommergues M, Aubry M, Aubry J, Narcy F. Prenatal management of congenital Cyistic adenomatoid malformation of the lung. Pediatric Surgery 1993; 28: 36-41
- Hubbard A, Crombelholme T. Anomalies and malformations affecting the fetal/neonatal chest. Seminars in Roentegenology 1998; XXXIII: 117 – 125
- Rencken I, Patton W, Brasch R. Airway obstruction in pediatrics patients. Radiol Clin North Am 1998; 36: 175-187
- Rosado-de-Christenson M, Stocker T. Congenital cystic adenomatoid malformation. Radiographics 1991; 11: 865-886









