Parálisis recurrencial izquierda secundaria a aneurisma del cayado aórtico

Publicidad

* Almela, R.; Arroyo, M.; Murcia, V.; Dalmau, J.; López, R.
Servicio de ORL. Hospital Universitario “Dr. Peset”. Valencia, España.

Resumen

La parálisis del nervio laríngeo recurrente izquierdo puede estar motivada por múltiples causas de las cuales algunas poco frecuentes, tienen naturaleza vascular.

Publicidad

Presentamos un caso de un paciente de 73 años con parálisis recurrencial izquierda causada por un aneurisma del cayado aórtico. A propósito del cual realizamos una revisión de la literatura.

Palabras clave: parálisis recurrencial izquierda, aneurisma, aorta.

Introducción

El objetivo de este trabajo es presentar un caso poco frecuente de parálisis recurrencial izquierda producida por un aneurisma de aorta.

La parálisis recurrencial izquierda, como complicación o primera manifestación de una patología cardiovascular, es conocida desde varios años. Traube en 1861, refiere una parálisis recurrencial izquierda en un paciente que padecía un aneurisma aórtico (1).

Publicidad

La importancia del conocimiento de la parálisis recurrencial izquierda como complicación de las lesiones del corazón y del cayado de la aorta, radica en que dicha parálisis puede ser la primera manifestación patológica que presente el paciente (1). Hecho que debemos tener en cuenta en el momento de realizar el estudio cervical y torácico para el diagnóstico diferencial de las parálisis laríngeas.

Material y método

Presentamos el caso de un paciente varón de 73 años de edad con hipertensión arterial en tratamiento farmacológico, exfumador de 2 paquetes/día, intervenido de carcinoma de próstata hace 4 años, sin otros antecedentes patológicos de interés, quien acude a nuestra consulta por disfonía continua de seis meses de evolución sin disfagia, odinofagia, disnea ni otros síntomas ORL.

La exploración otorrinolaringológica reveló la existencia de una parálisis de la cuerda vocal izquierda sin otros hallazgos patológicos.

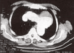
Se realizó un estudio cervical y torácico por TC para realizar el diagnóstico diferencial con las distintas causas orgánicas de parálisis recurrencial izquierda. La TC torácica nos evidenció la existencia de un aneurisma sacular a nivel del cayado aórtico con un trombo mural de 6 x 7,5 cm, estando en íntima relación con el hilio izquierdo (Figuras 1, 2 y 3).

Aneurismática con el trombo intramuralFigura 1. TC torácico: corte axial en el que se visualiza la dilatación aneurismática con el trombo intramural.

Aneurisma por reconstrucción tomográficaFigura 2. TC torácico: imagen del aneurisma por reconstrucción tomográfica.

Publicidad

Aneurisma por reconstrucción tomográficaFigura 3. TC torácico: imagen del aneurisma por reconstrucción tomográfica.

El enfermo es remitido al servicio de cirugía vascular para control y tratamiento oportuno de su patología vascular.

Discusión

El nervio recurrente izquierdo nace del nervio vago izquierdo cuando éste cruza el arco aórtico, lo rodea por debajo del ligamento arterioso y asciende por detrás de la aorta para alcanzar el canal entre la traquea y el esófago por el lado izquierdo e introducirse cranealmente en la laringe (2, 3).

Las lesiones que afectan al nervio vago y al recurrente pueden ocurrir en algún lugar del nervio desde su origen en la médula a nivel del núcleo ambiguo, hasta que se introduce en la laringe. Debido a su recorrido más largo, el nervio laríngeo recurrente izquierdo se lesiona con más frecuencia, aproximadamente en el 78% de los casos, el derecho en el 16% y ambos en el 6% (3).

La parálisis del nervio laríngeo recurrente puede estar motivada por múltiples causas de las cuales algunas poco frecuentes tienen naturaleza vascular (4, 5).

Las neoplasias parecen ser el origen más frecuente de las parálisis de las cuerdas vocales (2, 6). Una de cada tres parálisis se debe a cáncer y de éstas el 50% a cáncer de pulmón, 20% a cáncer de esófago y 10% a cáncer de tiroides (2, 3). Otras causas incluyen neoplasias del hueso temporal, tumores de la fosa posterior, tumores nasofaríngeos, paragangliomas de los cuerpos yugulares, del vago, carotídeos, cáncer metastásico y linfomas (3). Un 20% de las lesiones del nervio recurrente laríngeo son causadas por traumatismos, siendo la causa más frecuente tras cirugía tiroidea. Otras causas traumáticas pueden ser la cirugía radical del cuello, mediastino y torácica, lesiones de bala y accidentes de automóvil (2, 7). Menos de un 10% de las parálisis unilaterales se deben a infecciones y a enfermedades neurológicas (7), hasta un 40% de las parálisis laríngeas son idiopáticas (7).

La parálisis recurrencial izquierda por enfermedad cardiovascular puede estar producida por patología de la válvula mitral, del cayado aórtico, de la arteria pulmonar izquierda, por cardiomegalia con o sin dilatación de las cavidades del corazón; también por el descenso de esta víscera, o porque bascule sobre su eje al hipertrofiarse o dilatarse (1).

La estenosis mitral es la causa vascular más frecuente, siendo la incidencia de parálisis inferior al 1% (4). Los aneurismas aórticos constituyen una causa rara de parálisis recurrencial (2, 4, 7).

La voz bitonal y la ronquera por parálisis de la cuerda vocal izquierda de etiología cardiovascular, es un hallazgo infrecuente (5, 8). La ronquera es un síntoma que se encuentra en el 5% de los pacientes con aneurisma aórtico (5, 9).

El mecanismo por el cual se lesiona el nervio en los aneurismas de la aorta torácica es por alargamiento o estiramiento del nervio (5, 8), debido a que ha aumentado enormemente el diámetro del cayado aórtico y el recurrente tiene que recorrer rodeando un órgano más grueso y con la misma longitud del nervio produciéndose la lesión (1, 9) o por compresión del nervio por el aneurisma (9).

Conclusiones

La estenosis mitral es la causa más frecuente de parálisis recurrencial izquierda por enfermedad cardiovascular (1).

La parálisis recurrencial izquierda puede ser el primer signo de una enfermedad cardiovascular que presente el paciente, descubriéndose la lesión cardíaca al explorar al paciente para realizar un diagnóstico diferencial de las distintas causas de parálisis laríngeas (1, 2).

Por todo ello pensamos que el estudio radiológico torácico de los pacientes con parálisis laríngea, puede ayudar al diagnóstico precoz de los aneurismas de aorta.

Abstract

The left recurrent laryngeal nerve palsy is caused by numerous process. The palsies result from a cardiovascular disease are rare.

A 73-year-old man presented with a left recurrent laryngeal nerve palsy due to aortic arch aneurysm and we have reviewed the literature.

Key words: left recurrent laryngeal nerve palsy, aorta, aneurysm.

Correspondencia: Rosana Almela Cortés. C/ Virgen de Gracia, 6. 12540 Vila-real (Castellón), España

Bibliografía

  1. Del Cañizo Alvarez A, Del Cañizo Alvarez C, Taboada Mascarín T, et al. Parálisis recurrencial izquierda por enfermedad cardiaca o del cayado de la aorta. Acta Otorrinolaring Esp 1989; 40: 3: 167-172.
  2. Thirlwall, A. S. Ortner´s syndrome: a centenary review of unilateral recurrent laryngeal nerve palsy secondary to cardiothoracic disease. The Journal of Laryngology and Otology. 1997; 111: 869-871.
  3. Willatt DJ, Stell P M. “Parálisis de las cuerdas vocales”. En: Otorrinolaringología. Paparella, M M.; Shumrick, D A.; Gluckman, J. L. et Meyerhoff, W L., Buenos Aires: Ed. Panamericana, 1994. p. 2671 – 2692.
  4. Valle Bernad R, Arjona Mateos R, Gónzalez Macias J. Parálisis del nervio recurrente izquierdo en un paciente con hipertensión pulmonar. Med Clin 1991; 96: 158-159.
  5. Martínez Sande JL, Amaro Cendón A, Blanco Labrador E, Pérez Rodríguez M. Parálisis del nervio laríngeo recurrente izquierdo de etiología cardiovascular. Med Clin 1992; 98: 158.
  6. García-Tapia Urrutia R. ”Parálisis laríngeas Periféricas”. En: Diagnóstico y tratamiento de los transtornos de la voz. García-Tapia Urrutia, R. y Cobeta Marco, I. Ponencia SEORL, Madrid: Ed. Garsi, 1996. p. 263-272.
  7. Douglas D, Herbert H. “Parálisis de las cuerdas vocales”. En: Otorrinolaringología. Paparella, M M.; Shumrick, D A.; Gluckman, J L. et Meyerhoff, W L., Buenos Aires: Ed. Panamericana, 1992. p. 109 – 110.
  8. Woodson G E, Kendrick B. Laryngeal Paralysis as the Presenting Sign of Aortic Trauma. Arch Otolaryngol Head Neck Surg 1989; 115: 1100-1102.
  9. Teixido MT, Leonetti JP. Recurrent laryngeal nerve paralysis associated with thoracic aortic aneurysm. Otolaryngol Head Neck Surg 1990; 102: 140-144.

Autor

Otros temas relacionados

Deja un comentario