Mediastinitis necrotizante descendente

Publicidad

*Mario Andrés López Cirujano de Tórax, Clínica: Navarra, Reina Sofía
y Marly.,**Hernando Cuellar Otorrinolaringólogo Universidad
Javeriana.,***Stella Martínez Cirujana de Tórax, Reina Sofía. Jefe
Cirugía de Tórax Clínica de Marly.,****María Fernanda Aragón
Residente III de VMNG, Servicio Integrado de Otorrinolaringología,
Hospital Militar Central – Hospital Universitario Clínica San Rafael.

Resumen

Se presentan dos casos de mediastinitis necrotizante descendente, posteriores a absceso retrofaríngeo que fueron manejados por los autores en la Clínica Vascular Navarra y en la Clínica San Rafael. Se revisa esta patología infrecuente con el fin de que sea reconocida como una posible complicación mortal de faringoamigdalitis logrando un tratamiento temprano apropiado con el fin de evitar un desenlace fatal.

Publicidad

Palabras clave: mediatinitis necrotizante descendente (MND), absceso retrofaríngeo.

Introducción

La mediastinitis necrotizante descendente (MND) generalmente se produce después de una lesión oral o faríngea (1-4,15). Es un cuadro severo que se puede acompañar de empiema y/o pericarditis. Se pensaría que es infrecuente en la actualidad por la disponibilidad de antibióticos, pero continúa apareciendo como una enfermedad casi mortal (1-5,15).

Materiales y Métodos

Caso clínico 1

Mujer de 29 años que consulta por cuadro de ocho días de evolución de odinofagia. Es evaluada y tratada por faringoamigdalitis. Vuelve a consultar por presentar fiebre y dolor torácico severo. Se hospitaliza en otra institución y le ordenan exámenes y radiografías de tórax donde ya se evidencia gas en el mediastino y derrame pleural izquierdo.

En la placa lateral se observa gas en el mediastino anterior, por delante del corazón. En la placa PA se observa gas rodeando todo el mediastino y el derrame izquierdo (Figura 1).

Publicidad

Radiografía de tóraxFigura 1. Radiografía de tórax

Se inicia tratamiento con ampicilina-sulbactam y se toma TAC de cuello donde se evidencia gas parafaríngeo y mediastinal (Figura 2).

TAC de cuello Figura 2. TAC de cuello. Se observa gas en el espacio parafaríngeo.

TAC de tóraxFigura 3. TAC de tórax. Se observa gas paratraqueal que persiste en el mediastino anterior y posterior.

Se evidencia compromiso mediastinal y pleural izquierdo. En los antecedentes se halla corrección CIA hace cinco años. Es llevada a cirugía encontrando enfisema cervical. Se realiza una incisión de drenaje en el cuello y toracotomía anterolateral izquierda encontrando empiema e infección retroesternal. Se realiza drenaje de la cavidad torácica y mediastinal. Se reseca grasa mediastinal necrótica y se diseca espacio retroesternal y cervical hasta el cuello. Se lava con SSN abundante y se colocan dos tubos de tórax izquierdos a succión permanente y dos drenes de penrose, uno cervical y otro que va hacia el espacio retroesternal y torácico; similar a lo reportado por Caicedo y cols (1) (Figura 4).

Drenaje cervical y torácicoFigura 4. Drenaje cervical y torácico. Se observa el dren de penrose en el espacio parafaríngeo que desciende hacia el mediastino en la primera imagen. En la siguiente, se observan los tubos de tórax que drenan el mediastino y el espacio pleural.

Publicidad

Quedan comunicados el cuello, espacio retroesternal y cavidad torácica. En el postoperatorio la paciente presenta burbujeo continuo sin colapso pulmonar. Se realiza fibrobroncoscopia descartando fístula traqueo-bronco-pleural. Al décimo día postoperatorio se realiza nueva exploración cervical sin encontrar lesiones en traquea. Se practica traqueostomía. Se comprueba que el burbujeo se produce por ingreso de aire a través de heridas que se ocluyen con apósitos impermeables. Se maneja con ventilación mecánica e inotrópicos y se cambia esquema de antibiótico a vancomicina y cefalosporina de tercera generación. Se traslada a Pisos, se retira la cánula y se da de alta después de 30 días.

Caso clínico 2

Hombre de 43 años de edad, conductor quien consulta a la Clínica San Rafael por síndrome febril y deterioro del estado general, encontrando una diabetes mellitus descompensada sin antecedentes previos. Bebedor habitual de licor. Evoluciona rápidamente a un síndrome de insuficiencia respiratoria que requiere ventilación mecánica y al reinterrogar a la familia lo único positivo es un antecedente de odinofagia una semana antes del ingreso. Debido a síndrome de abstinencia alcohólica, requiere haloperidol.

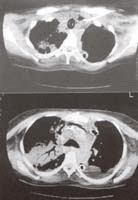
Se le toma una radiografía encontrando un ensanchamiento mediastinal (4) con derrame pleural bilateral (Figuras 5 y 6).

Radiografía de tóraxFigura 5. Radiografía de tórax. Se observa ensanchamiento mediastinal y derrame pleural.

TAC de tóraxFigura 6. TAC de tórax. Se evidencia un ensanchamiento mediastinal por aumento de las estructuras ganglionares como puede presentarse en una histoplasmosis (4).

Se hace una impresión de una mediastinitis necrotizante descendente. Se realiza toracotomía derecha, drenaje mediastinal, lavado, cervicotomía derecha con drenaje y tubo de tórax izquierdo encontrando derrame pleural derecho seropurulento, abundante material purulento en el mediastino que se extiende hacia el cuello. Se hace diagnóstico de mediastinitis por absceso retrofaríngeo y empiema bilateral. Se aísla Klebsiella pneumoniae en los cultivos. Se suspenden inotrópicos y se controla la glicemia. El ventilador con parámetros bajos solo se pudo retirar hasta el noveno día postoperatorio. Se da de alta al día siguiente de salir de la UCI.

Discusión

La mediastinitis necrotizante descendente es una entidad rara, con una mortalidad elevada posterior a lesiones orofaringeas adquiridas o traumáticas. Es la extensión de una infección dental (segundo o tercer molar), absceso periamigdalino, absceso retrofaríngeo, trauma por intubación orotraqueal o endoscopia (1-4).

Se encuentran reportes desde 1978 (4) y en la actualidad se sigue presentando a pesar de un tratamiento adecuado.

Etiología

Flora mixta constituida por bacterias aerobias y anaerobias (1-4) como:

• Estreptococo beta hemolítico del grupo A (a veces el único presente)
• Estreptococo viridans
• Anaerobios no estreptocócicos
– Bacteroides melaninogénico
– Peptoestreptococo
– Fusobacteria
– Eikenella corrodens
• Estreptococos anaerobios
• Estafilococo aureus
• Haemophilus influenzae
• Bacilos grampositivos (no clostridium)
• Candida albicans
• Histoplasma
• Gramnegativos en pacientes inmunosuprimidos, diabéticos y ancianos.

Autor

Otros temas relacionados

Deja un comentario