Históricamente se han sugerido muchas teorías para explicar la causa del dolor en la neuralgia del trigémino, y es así, como Cushing en 1920 sugiere como causa del dolor la compresión del nervio por tumores;[ 12] teoría también propuesta por Dandy en 1934, al informar 31 casos de neuralgia del trigémino en 205 pacientes operados por tumores localizados en la fosa posterior, época en la cual comunica haber encontrado compresión de la raíz del trigémino en la emergencia del tronco por la arteria cerebelosa superior.[8]
Posteriormente otros cirujanos como Gardner en 1936, Hamby en 1943, Revilla en 1947 y Ruge en 1958, informan de pacientes con neuralgia del trigémino no solo al diagnosticarse tumores en la fosa posterior o en la fosa media, sino también compresión del nervio por aneurismas o malformaciones arteriovenosas cerebrales. (Lea también: Artículos Científicos: La Neuralgia del Trigémino, Diagnóstico y Tratamiento)
Para Gardner en 1953, la compresión en el apex del hueso petroso origina desmielinización del nervio generando el dolor;[7,8,9] presenta 20 casos operados con mejoría de la sintomatologia al descomprimir el nervio con la técnica de Taarnhøj en la fosa media,[8,12] y en 1968 informa de compresión vascular del nervio por variaciones anatómicas de los vasos en la fosa posterior.
Keer en 1963, también refiere neuralgia del trigémino originada en variaciones estructurales de la base del cráneo con anormalidades en la ruta carotídea produciendo compresión y distorsión del ganglio del trigémino en la fosa media.
Parker en 1928, Harris en 1936, Finester en 1939 y Kerr en 1967, proponen como causa del dolor lesiones desmielinizantes en el nervio o las vías trigeminales y demuestran lesiones desmielinizantes en la raíz posterior y el tracto descendente del trigémino en la esclerosis múltiple.[8,17].
Lewy y Grant en 1938, consideran la neuralgia del trigémino un síndrome talámico parcial; demuestran lesiones talámicas en las vías talamocorticales ipsilaterales del lado doloroso en algunos pacientes que presentan la dolencia.
En 1940, Wilson considera las crisis del dolor como una expresión sensorial de descargas originadas en alguna inhibición sensorial de origen central y en 1951 Dott, supone que las lesiones localizadas en el tronco cerebral desencadenarían los estímulos dolorosos en las vías trigeminales.
En 1955 King y Barnett, proponen como causa pequeñas lesiones en las fibras sensitivas de la región caudal del tracto y núcleo espinal y reproducen el dolor al estimular eléctricamente esta región.
Posteriormente List y Williams en 1957, concluyen que los paroxismos dolorosos representan un reflejo multineuronal patológico en el sistema trigéminal del tronco cerebral, corroborado por los trabajos de Dalesio y Abott en 1966, al comprobar lesiones en los núcleos del trigémino.[8]
Jannetta en 1966, considera como causante de la neuralgia la compresión y distorsión del nervio por arterias alteradas en su localización, bien por factores congénitos o por arteriosclerosis; encontrando como la causa más frecuente de la compresión la arteria cerebelosa superior; en 1976 comunica haber encontrado también compresión del nervio por la arteria cerebelosa anteroinferior.
Jannetta afirma que la compresión del nervio produce desmielinización local causante de una actividad neuronal aberrante y la consiguiente sensibilización del núcleo del trigémino originando el dolor.
Sin embargo, otros autores como Kruger en 1967, opinan que la lesión se produce en el nervio y no en el núcleo. Beaver en 1967 y Kumayami en 1974, confirman en estudios de microscopia electrónica lesiones estructurales de la mielina del nervio en la neuralgia del trigémino. [7,8,9,10,11,12,17]
Más recientemente Rappaport y Devor en 1994 proponen como hipótesis la “ignición” del ganglio trigéminal al haber un agrupamiento de las neuronas ganglionares por el daño en la ruta neuronal; un estímulo gatillo torna hiperactivas estas neuronas produciendo el dolor. La crisis dolorosa mejora o pasa al tornarse las neuronas refractarias al nuevo estimulo gatillo.[12]
En 1995, Canavero sugiere factores genéticos en la neuralgia del trigémino.[30] Por las múltiples publicaciones actuales en la literatura médica [7,8,9,14,15, 16,17,18,19,20,21, 22,31,32,] podemos afirmar que la causa principal de la neuralgia esencial del trigémino es la compresión por arterias aberrantes del ingreso del nervio en el tronco cerebral (en la zona llamada R.E.Z., o zona de transición mielinica en la porción del nervio a su emergencia del tronco cerebral), e igualmente es cierto afirmar que la descompresión o manipulación de la raíz nerviosa mejora la sintomatología.
Este hecho ha originado básicamente 2 teorías para explicar la etiopatogenia del dolor: La primera o Teoría Central, según la cual, la compresión local originada por la arteria aberrante en el sitio del contacto causa una desmielinización progresiva de las fibras y una actividad neuronal aberrante, hecho que produce hiperactividad de los núcleos del trigémino (según Fergusson[12]) por la estimulación continua de estos (según Fromm[12,33]). No estando aun claro sí la hiperactividad sucede por fenómenos de excitabilidad o por fenómenos de inhibición.
Para algunos autores este hecho permite explicar la mejoría clínica de la sintomatología dolorosa al administrar medicamentos anticonvulsivantes, pues estos bloquean las transmisiones polisinápticas en las vías del trigémino en el tronco cerebral (según Willow y Catteral[ 12], probablemente al actuar en los canales de calcio), o al administrar el medicamento baclofen pues este deprime la transmisión sináptica (Green y Seiman[12]).
La segunda teoría, o Teoría Periférica, según la cual la compresión local originada por la arteria aberrante en el sitio del contacto causa una desmielinización progresiva de las fibras y una actividad neuronal aberrante in situ; se produce entonces un contacto patológico entre axones o una transmisión de estímulos cruzados en las fibras nerviosas (“transmisión efática”) originándose el dolor.[12]
Incidencia
Está estimada en 4 casos por l00.000 habitantes con predominio en la mujer en proporción de 3:2 según Yoshimasu y Katushid,[1,2,6,7,8,12,18,23,32] Vilte,[7,33] y en 1990 Lumsford estimó se diagnosticarían 15.000 casos ese año con esta dolencia en Estados Unidos.[12,34]
Cuadro clínico
La neuralgia del trigémino se caracteriza por dolor en una o varias ramas del nervio, es de carácter paroxístico, y de duración que usualmente va de segundos a uno o varios minutos.
Su aparición es abrupta, súbita, inesperada y sin prodromos; su mejoría es igualmente rápida dejando frecuentemente exhausto al paciente. Las crisis son predominantemente nocturnas, pero desde luego se pueden presentar a cualquier hora del día. Se observan clásicamente en forma episódica alternándose períodos asintomáticos con períodos de grandes crisis dolorosas. Los analgésicos comunes no contribuyen a su mejoría.
El dolor es descrito por los pacientes como “dolor ardiente”, “dolor que quema”, o como “corrientes eléctricas”. Usualmente la crisis dolorosa es precipitada por estímulos táctiles en el territorio trigeminal comprometido (como cambios de temperatura en el medio ambiente o movimientos faciales), por movimientos de masticación, deglución o al hablar.
La zona llamada “gatillo” o territorio más sensible se localiza usualmente en la región nasolabial o en la comisura de los labios, sí esta más comprometido el ramo maxilar, o en la lengua sí esta más comprometido el ramo mandibular.
Si bien el dolor es paroxístico, los pacientes se pueden quejar de molestias ardientes prolongadas. Usualmente el compromiso principal es de los ramos mandibular y maxilar del trigémino en forma unilateral (97 % de los pacientes) y solo ocasionalmente es bilateral (4 a 6% y cuando esto sucede nunca se presenta en el mismo momento dolor en ambas hemicaras).[1,35]
El examen neurológico del paciente es “normal”, pero al examinarlo podemos encontrar disestesias y parestesias en los territorios trigeminales comprometidos.
Con frecuencia se puede determinar la zona de “gatillo” correspondiente. Es usual encontrar al paciente irritable, poco colaborador y en ocasiones en estado de mutismo o con deterioro de su estado general.
El diagnóstico de la neuralgia del trigémino es exclusivamente clínico.
Estudios paraclínicos
A todo paciente con neuralgia del trigémino es necesario realizarle estudios radiológicos paraclínicos bien por Tomografía Axial Computadorizada (TAC) con medios de contraste o idealmente Resonancia Magnética, para realizar un diagnóstico de las causas de la neuralgia primaria o asas vasculares compresivas o por exclusión de las causas de neuralgia del trigémino producidas por lesiones que ocupan espacio como tumores, malformaciones arteriovenosas, etc.

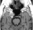
Para poder diagnosticar el vaso aberrante causante del conflicto vascular o la compresión del nervio del trigémino es necesario realizar en la mayoría de los pacientes angiografías, angioresonancia o resonancia de alta resolución, como se muestra en la imagen (arriba), donde se observa compresión del trigémino por la arteria basilar. (Imagen cedida por el Departamento de Radiología de la Clínica de Marly).
Diagnósticos diferenciales
La neuralgia esencial del trigémino deberá diferenciarse de:
1. La Neuralgia secundaria del Trigémino, originada por diferentes entidades clínicas como:
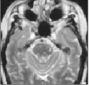
• La Esclerosis Múltiple, enfermedad desmielinizante de aparición principalmente en pacientes jóvenes que compromete la substancia blanca del sistema nervioso central.
Al examen neurológico se encuentran alteraciones en las vías motoras y sensitivas, en las ópticas y otros pares craneanos incluyendo el trigémino, donde su compromiso se manifiesta por dolor.
En la imagen superior se observan en una resonancia magnética las placas de desmielinización en el tronco cerebral (imagen cedida por el departamento de radiología Clínica de Marly).
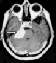
• Neoplasias o malformaciones vasculares de la región temporal, nasofaringea o del ángulo pontocerebeloso; entidades que se manifiestan por dolor en territorio trigeminal casi siempre progresivo y permanente, raramente paroxístico; se encuentra al examen neurológico una alteración neurológica focal como hipoestesias o disestesias dolorosas en el territorio trigeminal, alteración del reflejo corneano y signos y síntomas propios de la lesión que ocupa espacio en el ángulo pontocerebeloso, como compromiso de otros pares (VI, VII, VIII, etc.) y las vías motoras contralaterales.
En las imágenes, señaladas por las flechas observamos: arriba un aneurisma gigante de carótida (superior) y abajo un tumor del ángulo pontocebeloso (meningioma) los cuales producen neuralgia del trigémino. (Estas imágenes han sido cedidas por el departamento de radiología Clínica de Marly).
• Cuadros vasculares isquemicos o hemorrágicos del tronco cerebral y el encéfalo. Entidades usualmente caracterizadas por el inicio súbito, y al examen del paciente se encuentran los signos de localización nerviosa producidos por la lesión ya sea hemorrágica o isquémica que compromete los centros o vías del trigémino. Los exámenes paraclínicos nos ayudan en el diagnóstico.
• Cuadros infecciosos localizados en el SNC o región cráneo-facial (abscesos cerebrales, sinusitis, osteomielitis, etc.) que comprometen territorios trigéminales. Los exámenes paraclínicos nos ayudan en el diagnóstico diferencial.
2. Otras entidades clínicas tales como:
• Neuralgia atípica facial, cuadro clínico consistente en dolor facial difuso que irradia a la región orofacial y órbitas; generalmente no es posible determinar un territorio radicular. No es un dolor paroxístico ni es lancinante. Se asocian cuadros psiquiátricos como alucinaciones, personalidad compulsiva o pseudoneurosis. El examen neurológico es normal. Acomete a individuos de edad media. La terapia farmacológica en general fracasa.
• Dolor facial de origen vasomotor, caracterizado por dolor en área vascular, pulsátil, por crisis y se presenta periódicamente. Se asocian prodromos y cuadros de malestar general como nauseas o vómito.
• Cefalea histaminica (Horton, Cluster), caracterizada por dolor, el cual es intermitente por accesos en el mismo lado del rostro, durante el episodio el dolor es constante, el territorio comprometido de elección es ocular, periorbitario, maxilar o los dientes; hay fenómenos vasomotores como secreción conjuntival, lagrimeo, rinorrea y raramente hay signo de Horner. Sucede en forma periódica.
• Neuralgia postraumática, que presenta el antecedente del trauma facial o cirugía oral, usualmente no es intermitente, es constante e igualmente empeora con los estímulos sensitivos.
• Neuralgia postherpética, caracterizada por persistencia de dolor después de una infección herpética, hay hiperpatía y dolor quemante practicamente permanente. Se presenta preferencialmente en el primer ramo del trigémino.
• Neuralgia del geniculado, caracterizada por dolor detrás y dentro del oído, puede irradiar a la cara. Hay pérdida de la sensibilidad gustativa. Puede haber un herpes en tímpano sin o con parálisis facial (Síndrome de Hunt).
• Síndrome de S.U.N.C.T. (cefalea neuralgiforme unilateral de corta duración), caracterizado por ataques dolorosos en la órbita y área periorbitaria; siempre es recurrente en el mismo territorio.
Los ataques varían de moderados a muy intensos, y siempre hay remisión. Son de carácter quemante, eléctrico. Se asocian rinorrea ipsilateral, inyección conjuntival y obstrucción nasal.
Hay muchos mecanismos que lo precipitan y a veces es espontáneo.
• Dolor de diente, caracterizado por dolor local pero puede dar dolor irradiado en el territorio radicular correspondiente al sitio de la lesión.
• Dolor de la articulación témporo-mandibular (Síndrome de Costen), se caracteriza por dolor en región preauricular y temporal baja, puede irradiar a la cara, al territorio del nervio mandibular; puede presentarse zonas “gatillo” o zonas más dolorosas a nivel de la articulación y región periarticular a la presión digital; usualmente empeora con la masticación o los movimientos mandibulares.
• Síndrome miofacial, caracterizado casi siempre por encontrarse el dolor en las regiones temporales u orbitales, pero pueden tomar un territorio facial generalmente rodeando la cabeza. Al examen se encuentran zonas dolorosas en los territorios de las fascias y de los músculos.