Miami.
Es bien conocido que existen aspectos psicológicos que modifican la percepción y experiencia subjetiva del dolor. La anticipación del dolor lo incrementa mientras que dirigir la atención sobre algo no relacionado lo disminuye.
Tal es el caso de los pacientes que padecen de “cefalea del fin de semana”, precisamente cuando no se encuentran concentrados en sus obligaciones cotidianas usuales del resto de la semana. El mecanismo psicogénico del dolor ha sido ilustrado recientemente por dos estudios.
Predrag Petrovic y colaboradores del Instituto Karolinska de Estocolmo, encontraron por medio del PET scan que la administración –tanto de opiáceos como la de placebo- aumenta el flujo cerebral de la zona anterior de la circunvolución del cíngulo, por todos reconocida como partícipe primordial en la regulación consciente del dolor.
Tal parece que la corteza del cíngulo anterior modifica la actividad de la sustancia gris periacueductal del tallo encefálico y de los núcleos parabraquiales de la protuberancia anular, por intermedio de fibras axonales que descienden a través del tálamo.
De interés fue el hallazgo de la activación de la corteza frontal dorso lateral después de la administración de placebo, ya que esta región es importante en la modulación cognitiva del dolor .En una investigación complementaria , Jon-Kar Zubieta de la Universidad de Michigan utilizó un trazador radioactivo que le permitió visualizar los receptores cerebrales para opiáceos con el PET scan, que se hicieron aparentes después de la administración tanto de opiáceos como de placebo en un grupo de catorce voluntarios sanos (Figura 1).
En otras palabras, el placebo actúa a nivel de las mismas regiones del cerebro “dedicadas” al dolor y lo hace por medio de opiáceos cerebrales naturales o endógenos.
![]() |
![]() |
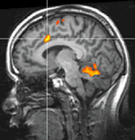
| Figura 1: Receptores de los opiodes ocupados por endorfinas inducidas por el placebo y visualizados por medio de moléculas radioactivas (PET SCAN). | Figura 2: La intersección de las líneas incide sobre el área anterior de la circunvolución del cíngulo .Los sujetos investigados pudieron aumentar o disminuir la actividad sobre esta región voluntariamente por medio de observación directa, alterando la percepción dolorígena (fMRI). |
DOLOR COMPLEJO REGIONAL (DCR) (Distrofia Refleja Simpática): No hay un síndrome dolorígeno de causas más misteriosas que el DCR, para el que se ha dado un gran número de explicaciones puramente “mentales” a través de los tiempos. Ello se debe a las siguientes razones:
1 .El dolor es severo e intratable.
2. Se puede desarrollar después de sufrir algún trauma leve.
3. Puede comprometer áreas distantes al sitio del trauma, incluso sin que los síntomas estén presentes en el sitio original del trauma .
4. Sus manifestaciones clínicas pueden ser limitadas en casos parciales o incipientes (Vg., ausencia de anhidrosis o hiperhidrosis, ausencia de pérdida del vello o de edema subcutáneo significativo).
5. Puede agravarse por mecanismos psíquicos inesperados. Moseley describió por ejemplo una paciente con DCR de la mano, después de fractura de la muñeca. La paciente empeoraba de su dolor y del edema de la mano, simplemente imaginándose los movimientos de su mano lesionada. Esto no se acompañó de actividad motora, como lo comprobó por medio de electromiografía simultánea, ni de estrés, ya que ella no experimentó cambios en la frecuencia cardiaca ni en la reacción psicogalvánica.
6 .Muchos de los casos de DCR se desarrollan luego de accidentes de tránsito o de trabajo que generan demandas. Esto hace pensar al médico que el paciente es un simulador.
7. Presencia de dolor en espejo (un área anatómica homóloga contralateral duele incluso sin signos clínicos como hipertermia, etc.).El dolor en espejo es debido a la pérdida de transmisión eléctrica en las fibras inhibitorias comisurales somatosensoriales que viajan de la corteza irritada -es decir, contralateral a la lesión- en dirección a la corteza somatosensorial (SS) del hemisferio opuesto, ipsilateral a la lesión .
Las fibras viajan a través del cuerpo calloso. El fenómeno en espejo se puede demostrar utilizando potenciales evocados (SEPs), magneto-encefalografía o estimulación magnética transcranial (EMT). La última técnica permite medir el umbral de excitabilidad eléctrica de la corteza SS en ambos hemisferios, que se encuentra disminuido en la corteza contralateral a la lesión e ipsilateral al dolor en espejo, en el ejemplo de DCR.
EL DOLOR CAMBIA EL CEREBRO (Visual):
Arriba mencionamos que el dolor cambia la corteza cerebral SS primaria “a distancia”. Moseley -de la Universidad de Sidney, Australia- demostró en cincuenta individuos con DCR, cómo ellos percibían el tamaño de miembro afectado como más voluminoso, cuando compararon su apreciación subjetiva del miembro adolorido con la fotografía del mismo miembro, reducido o expandido artificialmente, y seleccionaron la fotografía que los pacientes creyeron representaba el tamaño “real” en su mente.
Este es el mismo fenómeno que individuos normales experimentan luego de anestesia local o regional, por ejemplo a continuación de bloqueo del plejo braquial. Lo último sugiere que impulsos de la periferia modifican la corteza somatosensorial. En efecto, con EMT se observa en casos de DCR, la disminución plástica del área ocupada por la corteza SS primaria que corresponde a la zona periférica específica lesionada. Esta a su vez es ocupada o invadida por zonas anatómicas periféricas peri- lesionales que abren nuevos canales (¿sinapsis?) corticales.
Lo último explica por qué cuando tenemos un dolor lesional, Vg., un forúnculo, el área alrededor del forúnculo es sensible o no se “siente normal”. La percepción visual alterada del miembro lesionado que se cree de mayor tamaño constituye un paso compensatorio. Nicole Acerra -del mismo laboratorio australiano de Moseley- describió en diez sujetos con DCR la presencia de disinquiria.
Cuando a estos pacientes se les tocaba en un área homóloga VIRTUAL del miembro sano REFLEJADO EN EL ESPEJO, es decir se tocaba el espejo, ellos experimentaron dolor en la misma área pero en el miembro lesionado, contra lateral al estímulo original. Por el contrario, si se tocaba el miembro sano reflejado en el espejo en un área virtual equivalente a una zona normal del miembro enfermo (que no dolía) el paciente sólo percibía normalmente la estimulación cutánea primaria y no refería disinquiria.
Estos individuos también pueden registrar sinquiria, caracterizada esta por dolor bilateral desencadenado por estimulación dolorígena del miembro sano. Es de interés en el estudio de Acerra, que la simple VISUALIZACIÓN del estímulo provoca el fenómeno de disinquiria, es decir, sin la participación “física” de los nervios periféricos.
Moseley confirmó la existencia de un trastorno de la conciencia íntima del esquema del cuerpo (body schema) en sujetos con DCR: Un grupo de dieciocho pacientes tomaron más tiempo en reconocer visualmente la lateralización, derecha o izquierda, de sus manos adoloridas en las fotografías digitales de sus manos, sugiriendo tal vez una tendencia refleja a la inatención (neglect) o a la disociación (detachment) de la mano comprometida como medida auto terapéutica defensiva.
Especulando un poco, es posible teorizar entonces que la ceguera o la parálisis histéricas por ejemplo, constituyen una forma extrema de disociación anestésica intra-psíquica e inconsciente de defensa al dolor (psíquico). Vemos aquí a la neurobiología ¡ayudando al psicoanálisis!
VIENDO Y SINTIENDO EL DOLOR DE OTROS:
Tania Singer -del Instituto de Neurología de la Universidad de Londres- encontró que al practicar una resonancia nuclear funcional (fMRI), en sujetos normales, que la estimulación dolorosa activa o ilumina la ínsula anterior, la circunvolución anterior del cíngulo, el tallo encefálico y el cerebelo. Igualmente estas regiones anatómicas se activaron cuando los mismos sujetos de experimentación observaron en un espejo la mano de un ser querido recibiendo el mismo estimulo dolorígeno.
Este hallazgo sirve para ilustrar el fenómeno de empatía o teoría de la mente cuando “mentalizamos” los sentimientos de un co-especifico y sugiere que todos podemos potencialmente aprender a sentir por otros.
Dicho en forma un poco poética y talvez menos “científica”: Se puede aprender a amar y -como extensión político-social- a ser partícipes honestos de una civilización democrática basada en la compasión. Por eso -de acuerdo a la filósofa Suzanne Langer, la empatía es el momento de la “suspensión involuntaria del separatismo individual”.
Cuando vemos sufrir a alguien que queremos, reproducimos el dolor afectivo -no el físico- en nuestros cerebros. La investigación de Singer contrasta con el ejemplo clínico ofrecido por los pacientes con “Indiferencia Congénita al Dolor” y aquellos con “Asimbolia al Dolor” . Pacientes pertenecientes a ambas categorías perciben dolor ‘fisico”pero no les importa, puesto que carecen del componente afectivo del dolor.
Estos casos clínicos parecen estar causados por falla congénita del desarrollo cerebral o por lesión adquirida (Vg. infarto) de la corteza de la ínsula.
AUTOANALGESIA VISUAL NOCIOCEPTIVA (Autoterapia visual del dolor o “viendo el dolor donde duele”).
El grupo dirigido por DeCharms -con investigadores de las universidades de Stanford y Harvard-MIT- publicaron on line en diciembre de 2005 un estudio sobre la regulación central del dolor, utilizando un sistema de visualización directa de la imagen del dolor en la corteza del cíngulo.
Esto lo lograron por medio de una pantalla localizada dentro del equipo de fMRI que el sujeto de estudio podía observar durante la estimulación dolorígena. Individuos normales y aquellos con dolor crónico, pudieron reducir o incrementar el dolor por medio de la visualización de dicha imagen.
Los investigadores establecieron un sistema análogo para medir la intensidad del dolor al simular el fuego de una hoguera, cuya intensidad o brillantez variaba de acuerdo a la voluntad del sujeto de experimentación y que él veía directamente en la pantalla dentro del equipo de resonancia.
En otras palabras, la zona rostral de la circunvolución del cíngulo que representa la zona dolorígena-afectiva, aumentaba o disminuía en su brillo de acuerdo a la voluntad del sujeto, una vez entrenado para hacerlo por medios puramente mentales. Lo último se reflejó en la percepción del dolor.
Al reducir el brillo de la “hoguera”del cíngulo, el sujeto normal o el enfermo sentían menos dolor y viceversa. (Figura 2).
De gran importancia es el hecho que ningún individuo pudo ejercer influencia sobre la corteza del cíngulo sin ver de manera simultánea el fMRI en la pantalla localizada dentro del equipo de resonancia, si vio una imagen falsa que perteneciera a otro miembro del grupo investigado, o si vio otra área de su cerebro pero diferente al área del cíngulo .Los pacientes con dolor crónico informaron una mejoría en su dolor luego de la autoterapia ‘lumínica” cerebral. ¡Ver para creer!
Daniel Jácome-Roca, MD Profesor Asociado Clínico de Neurología Universidad de Miami Colegio Médico de Darmouth
1. Birklein F, et al: Does Pain Change the Brain? Neurology 65: 666-67, 2005.
2. Forss N, et al: Mirror-like Spread of Chronic Pain. Neurology: 65:748-50, 2005.
3. Singer T, et al: Empathy for Pain Involves the Affective but not Sensory Components of Pain. Science: 303:1157-61, 2004.
4. DeCharms RC, et al: Control over Brain Activation and Pain Learned by Using Real-Time Funcional MRI. PNAS 102:18626-31, 2005.









