*Dr. Gonzalo Franco Ramírez
*Profesor de Pediatría. Clínica Universitaria Corpas. Bogotá
Introducción
El aparato respiratorio puede ser infectado por diferentes virus, ocasionando patologías desde el resfriado común hasta neumonías fulminantes. La infección respiratoria viral es la primera causa de morbilidad, mortalidad y hospitalización en los niños colombianos, y es la carga mayor de formulación de antibióticos sin justificación.
En la infección respiratoria inferior del niño lactante menor es frecuente la etiología viral. Se presenta en forma estacionaria, en nuestro medio en los meses de abril y mayo en el primer semestre, y octubre a noviembre en el segundo semestre. El agente causal más frecuente es el Virus Sincitial Respiratorio, el cual infecta los niños menores de un año en un 65%, con un pico de mayor incidencia entre los 2 a 6 meses, aunque también se encuentran otros virus.
La Clamidia es causa de infección respiratoria en los primeros meses y tiene como característica la neumonitis con conjuntivitis y antecedente de flujo vaginal en la madre; puede recibir tratamiento selectivo con eritromicina. La protección transplacentaria contra los virus desaparece en las primeras semanas, presentándose epidemias, especialmente en los niños que no reciben leche materna.
Los niños prematuros son más propensos a las infecciones por virus Sincitial Respiratorio.
El cuadro clínico tiene una fase inicial con fiebre, estado gripal y luego una tos progresiva que lleva a la dificultad para respirar; presenta sibilancias que se escuchan a distancia. Algunos niños presentan un cuadro de tos en accesos con vómito, lo cual recuerda la tos ferina (tos coqueluchoide). El diagnóstico se hace por diferentes pruebas. Hay virus demasiado agresivos, como los Adenovirus, que afectan el tracto respiratorio inferior.
En los lactantes menores causan un síndrome coqueluchoide, crup y bronquiolitis.
Durante el primer semestre del 2004 se presentaron en Bogotá unos cuadros virales respiratorios de gran severidad que llevaron a la muerte algunos niños por infección por adenovirus. Las complicaciones más frecuentes del adenovirus son: leucopenia, linfopenia, trombocitopenia, coagulación intravascular, falla renal infección bacteriana, bronquiolitis obliterante, bronquiectasias.
En el servicio de Pediatría de la Clínica Universitaria Corpas valoramos, con el apoyo de la Secretaría de Salud de Bogotá, en el programa Centinela de Virus Respiratorios, la investigación etiológica de los virus para la localidad de Suba y con ello tener conocimiento sobre los virus que podrían ocasionar por su severidad, problemas para una clínica de atención secundaria. La identificación temprana permite programar su manejo hospitalario o en casa y evitar el uso indiscriminado de antibióticos, y tomar medidas preventivas de aislamiento.
Materiales y Métodos
En el mes de julio 2004 cuando se presentó una epidemia de bronquiolitis o neumonitis viral la cual no correspondía con la época estacional, seleccionamos 10 niños menores de 2 años, hospitalizados en el Servicio de Pediatría de la Clínica Universitaria Corpas con insuficiencia respiratoria aguda grave, algunos con tos en accesos tipo coqueluchoide, polipnea, tiros, cianosis, con una imagen radiológica de infiltrados peribronquiales y atrapamiento de aire. El tiempo de evolución de la enfermedad inferior a 7 días. A este grupo de niños se le investigó la probable etiología viral por inmunofluorescencia de muestra de moco nasofaríngeo tomada por hisopado.
Materiales
Solución salina en un tubo con 2 ml, jeringa de 5 ml, sonda de 2” N° 18. Medio para el trasporte del espécimen. Las muestras deben ser refrigeradas para el transporte a 4°C. La mayoría de los virus pueden ser aislados de secreciones de la nariz, nasofaringe por lavado o aspirado nasal o esputo de muestras que provienen del tracto respiratoria inferior.
Métodos
Inclinación de la cabeza hacia atrás en un ángulo de 70 grados, por vía nasal se hace instilación de la solución salina, aspiración del material mucoso de nasofaringe. El material obtenido se almacena en el tubo para el trasporte del espécimen, se protege refrigerado a 4ºC hasta enviarlo en las primeras 48 horas, al laboratorio de virología del Instituto Nacional de Salud.
Del material obtenido se hace estudio por inmunofluorescencia para los 7 patógenos usuales para infección respiratoria inferior viral. Se diligenció la ficha epidemiológica para el envío al laboratorio del Instituto Nacional de Salud en el Programa Centinela Virus Respiratorios de la Secretaría de Salud de Bogotá, localidad de Suba.
Resultados
De los 10 casos seleccionados por la severidad del cuadro clínico de infección respiratoria inferior sin fiebre, aislamos virus en 7. De estos 3 V.S.R. y 3 influenza y en uno parainfluenza.
El cuadro clínico inicial es el de un resfriado común, secreción nasal, luego presentan tos progresiva, algunos con tos tipo coqueluchoide y no presentan fiebre, todos son hospitalizados por aumento de frecuencia respiratoria superior a 60/minuto y tiros (IRA), sibilancias audibles y algunos con reinfecciones por anteriores episodios de Bronquiolitis (Cuadros 1 y 2).
CUADRO 1. Cuadro clínico/aislamiento virus en Neumonitis de 10 casos en estudio piloto del Programa
Centinela de Virus Respiratorios. Secretaría de Salud Bogotá localidad de Suba en la Clínica Universitaria Corpas.
| Síntomas | casos | |||||||||
| 1 | 2 | 3 | 4 | 5 | 6 | 7 | 8 | 9 | 10 | |
| Tos coqueluchoide | Si | No | Si | Si | No | No | No | No | No | No |
| Fiebre | No | No | No | No | No | No | No | No | No | No |
| Sibilancias audibles | (+) | (+) | (+) | (+) | (+) | (+) | (+) | (+) | (+) | (+) |
| A distancia | ||||||||||
| (+) | (+) | (+) | (+) | (+) | (+) | (+) | (+) | (+) | (+) | |
| I.R.A | Si | Si | Si | No | No | No | No | No | No | No |
| Broncoespasmo | ||||||||||
| Recurrente | ||||||||||
| Conjuntivitis | No | No | No | No | No | No | No | No | No | No |
Cuadro 2. Etiología
Aislamiento viral por inmunofluorescencia en 10 casos con clínica de Neumonitis.
Laboratorio de Virología Instituto Nacional de Salud. Bogotá.
| INMUNOFLUORESCENCIA POSITIVA | |
| Edad | Casos |
| 1-3M | Virus sincitial respiratorio (Laboratorio INAS ) |
| 2-3M | Virus sincitial respiratorio |
| 03-nov | Virus sincitial respiratorio |
| 4-36 meses | Parainfluenza 3 |
| 5-19 meses | Parainfluenza 3 |
| 6-1 meses | Parainfluenza 1 |
| 7-12 meses | negativo |
| 8-18 meses | negativo |
| 9-19 meses | Parainfluenza 3 |
| 10-9 meses | Negativo |
Discusión
Las pruebas más usadas en nuestro medio para identificar virus son: la inmunofluorescencia y la reacción en cadena de polimerasa (PCR), las cuales permiten un diagnóstico rápido. La prueba de inmunofluorescencia de la exfoliación de las células respiratorias e inmunoensayo para anfígenos virales, son técnicas sensibles, rápidas y especificas para detectar los virus. El diagnóstico serológico requiere muestras pareadas con intervalo de 4 semanas, que lo hace impráctico. Es importante en cada semestre, identificar los virus que están ocasionando la epidemia pues existen más de 200 y por fortuna solo siete: adenovirus, influenza A y B, P1, P2, P3 y virus sincitial respiratorio respiratorio infectan el tracto respiratorio.
De los 10 casos seleccionados por la severidad del cuadro clínico de infección respiratoria inferior sin fiebre, aislamos virus en 7, algunos con tos coqueluchoide, en niños vacunados contra la tosferina podíamos suponer un adenovirus, lo cual no ocurrió y aislamos, en dos casos, virus sincitial respiratorio, y en uno parainfluenza 3. (Casos 1, 3 y 4).

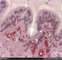
Figura 1. Lesiones histológicas en epitelio bronquial por infección viral: congestión vascular, daño de epitelio, eosinofilia, inflamación.
Encontramos que la etiología viral es la causa más frecuente de infección respiratoria inferior en los niños lactantes y, por lo tanto, el empleo indiscriminado de antibióticos no es prudente. Durante épocas estacionales no usuales como ocurrió en julio 2004 se pueden presentar picos epidémicos por diferentes virus, y el estudio mostró agentes etiológicos diferentes al VSR, los cuales por su agresividad pueden ocasionar el incremento de la mortalidad en el lactante menor El método más rápido y que está a nuestro alcance para la identificación viral, es la detección del antígeno por inmunofluorescencia en el moco de exudado laringotraqueal obtenido por tos inducida. La localidad de Suba tiene factores de riesgo ambiental como humedales, polvo de calles sin pavimentar, pólenes de viveros de flores para exportación, fumigación, humo de industrias, clase socioeconómica estrato 2, 3 con hacinamiento lo cual la hace susceptible para la infección viral de los niños. El broncoespasmo recurrente del lactante después de una bronquiolitis se presenta por reinfección viral, especialmente por rinovirus, llevando a una neumopatía recurrente y posteriormente asma en las edades mayores, en un 85% de los niños. Las reinfecciones ocurren por rinovirus, virus sincitial respiratorio, influenza y parainfluenza. En nuestro medio estas infecciones se presentan en los jardines y grupos de escolares en los meses de abril, mayo y octubre, noviembre. Por los cambios climatológicos actuales se presentan epidemias en otras fechas. La respuesta inmunológica del niño lactante menor es diferente a la del adulto ante la infección viral. Algunos muestran niveles altos de Th2 en respuesta al V.S.R con aumento de IL-4, eosinofilia en vía aérea y anticuerpos IgE específicos elevados con una gran respuesta inflamatoria bronquiolar.
La agresión al pulmón en el período perinatal por enfermedad respiratoria con suplemento de oxígeno y ventilación con presión positiva, deja lesiones pulmonares, presentación de broncoespasmo recurrente y, de estos niños, el 30 a 40 % desarrollan asma antes de los 7 años.
En un paciente de un año con conjuntivitis y neumonitis en quien sospechamos neumonitis por clamidia, aislamos parainfluenza 1 (Caso 6).
Este aislamiento del virus permitió no utilizar antibiótico.
La infección respiratoria con broncoespasmo en los niños menores de 2 años, la etiología es viral y debemos fomentar la lactancia materna por su alto contenido de inmunoglobulina A. Los niños alimentados al seno materno por más de tres meses muestran tendencia a presentar cuadros clínicos más leves, lo que se refleja en un promedio más bajo de los días de estancia hospitalaria. El pronóstico es bueno cuando se hace una atención oportuna, educando a la comunidad con los signos de alarma: dificultad para respirar, apnea, succión débil, quejido, respiración rápida, hundimiento costal, estos niños deben acudir a un centro de atención médica, y está indicada la hospitalización con pulsioximetría menor de 90 y frecuencia respiratoria superior a 60 minuto con tiros y cianosis. Una atención oportuna para hidratar por vía IV o con suero de rehidratación oral hipoosmolar con sodio 30 mosm/l y glucosa 50 gramos (Pedialyte 30®). La hidratación con solución hipoosmolar es necesaria pues se pierde más agua que sodio por hiperventilación, fiebre, anorexia, permitiendo unas secreciones mucosas mas fluidas para la higiene bronquial con tos inducida. La lactancia por su alto contenido de inmunoglobulina IgA secretora y otros factores inmunológicos nos evitaría muchas muertes en estos cuadros epidémicos semestrales o de presentación anormal. No se deben aplicar antibióticos en forma indiscriminada.

Figura 2. Hidratación oral con solución hipoosmolar en neumopatía aguda por pérdida de agua mayor que electrolitos. La deshidratación se ocasiona por fiebre, anorexia e hiperventilación.
Bibliografía
1. American transplant congress 2004: 5th annual joint meeting of the American Society of Transplant Surgeons and the Society of Transplantation. may 14-19 2004.www.Medscape.com.
2. Baumeister EG, Hunicken DS, Savy VL. RSV molecular characterization and specific antibody response in young children with acute lower respiratory infection. J Clin Virol 2003;27:44-51.
3. Black CP. Systematic review of the biology and medical management of respiratory syncytial virus infection. Respir Care 2003;48:209-231. 3.
4. Castro-Rodriguez JA, Holberg CJ, Wright AL, Martínez FD. A clinical index to define risk of asthma in young children with recurrent wheezing. Am J Respir Crit Care Med. 2000;162:1403-1406 Noxa perinatal y neumonia recurrente. Pediatrics2004;114:1292-1296.
5. Crowe JE, Williams JV. Immunology of viral respiratory tract infection in infancy. Paediatr Respir Rev 2003;4:112-119.
6. Erwin W. Gelfand, MD. American Thoracic Society.100th international conference/Airway responses to allergens and viruses: age matters. 2004
7. Gelfand EW, Joetham A, Cui ZH, et. al. Induction and maintenance of airway responsiveness to allergen challenge is determined at the age of initial sensitization.Imunol.2004.
8. Glezen WP, Couch RB. Estimating deaths due to influenza and respiratory syncytial virus. JAMA 2003;289:2500.
9. Hacking D, Hull J. Respiratory sincitial virus: viral biology and the host response. J Infect Dis 2002;45:18-24.
10. Hall CB. Respiratory syncytial virus and parainfluenza virus. N Engl J Med 2001;344:1917-1928.
11. Pediatrics vol 113 N° 1. january 2004, pp e51-e56 Adenovirus: direct fluorescent assay (DFA)
12. Pediatrics 63:192–197, 1979, Chlamydia trachomatis, pneumonia, afebrile pneumonia, interstitial pneumonia. Volume 63, Issue 2, pp. 192-197, 02/01/1979.
13. Sondheimer HM. The cardiac synagis study group: palivizumab (PV) prevents hospitalization due to respiratory syncytial virus (RSV) in young children with serious congenital heart disease (CHD). Pediatr Cardiol 2002;23:664.
14. Welliver RC. Respiratory syncytial virus and other respiratory viruses. Pediatr Infect Dis J 2003;22:S6-S10.