Neumonías bacterianas en la infancia
El agente etiológico más común de las neumonías bacterianas en la infancia es el Streptococcus pneumoniae, otros agentes involucrados son el Staphylococcus aureus, Streptococcus pyogenes y el hemophilus influenzae.
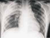
Las neumonías bacterianas ocurren en asociación con inhalación de estos agentes infecciosos dentro el espacio aéreo, lo cual conlleva al desarrollo de edema inflamatorio y exudado en los acinos, causando consolidación de los espacios aéreos. En las radiografías de tórax las consolidaciones se manifiestan como imágenes densas, de distribución lobar o segmentaria. El broncograma aéreo aun cuando no siempre visible, es característico. (Figura 7).

FIGURA 7. Proyección AP de tórax con consolidación neumónica del lóbulo
superior derecho con imagen típica de broncograma en su interior.
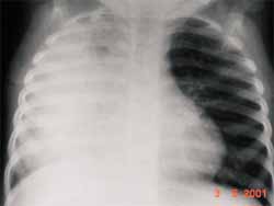
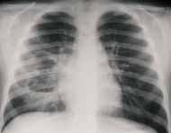
Las consolidaciones multilobares también pueden ocurrir (Figura 8), sin embargo, la consolidación total de un pulmón es rara y la opacificación total de un hemitorax es más usualmente secundaria a empiema.
Un patrón menos común de consolidación alveolar es el que se manifiesta como infiltrados nodulares algodonosos con distribución difusa o “en parches”. Los derrames pleurales son frecuentes y pueden ser de tipo laminar4.

FIGURA 8. Paciente lactante de sexo femenino con neumonía por neumococo, observe el componente
multilobar con compromiso casi de la totalidad del hemitórax derecho.
Streptococcus pneumoniae es la causa más frecuente de neumonía
El Streptococcus pneumoniae es la causa más frecuente de neumonía consolidativa en niños previamente sanos1 y es el agente bacteriológico más común en niños por debajo de un año, que mueren de infección del tracto respiratorio9.
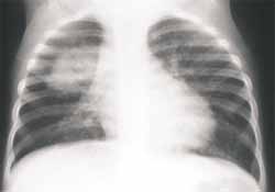
Además, este germen causa el mayor número de neumonías asociadas a derrame pleural y es el más aislado en casos de neumonías redondas9. El término de neumonía redonda se utiliza para describir un patrón de consolidación del espacio aéreo, esférico, usualmente no segmentario y frecuentemente posterior, que con alguna frecuencia puede verse en niños.
La mayoría corresponde a estadíos tempranos de consolidación y se cree que están relacionadas con el pobre desarrollo de vías colaterales en los niños (Figura 9). En ocasiones estas neumonías pueden confundirse con masas mediastinales o intraparenquimatosas, siendo la presentación clínica la clave del diagnóstico6-12

FIGURA 9. Proyección Ap de tórax en la cual existe neumonía redonda de localización parahiliar derecha.
El Staphylococcus aureus con frecuencia complica infecciones virales del tracto respiratorio9.
Radiográficamente, se presenta como consolidación homogénea del espacio aéreo, además existe compromiso multilobar en el 75% de los casos. Otras características asociadas incluyen: cavitación, absceso, neumotórax, derrame pleural y empiema11.
Radiografías de seguimiento en pacientes con mejoría clínica pueden mostrar neumatoceles, los cuales son usualmente periféricos y tienden a presentarse tardíos en el curso de la enfermedad(10 a 14 días)9.
El Mycoplasma pneumoniae es una bacteria carente de pared celular17, que puede afectar cualquier grupo etareo, pero es más común en niños en edad escolar.
Histológicamente,la infección se caracteriza por bronquiolitis celular aguda, que puede progresar a bronconeumonía13.
Los hallazgos radiográficos incluyen:
Áreas focales de opacidad parenquimatosa en 83% de los casos, infiltrados perihiliares bilaterales en el 12% y estudios sin anormalidad en el 5%. El compromiso es mayor en el pulmón derecho(40%), que en el pulmón izquierdo(31%) y puede ser bilateral en el 12% de casos, con predilección por los lóbulos inferiores(80%).
Entre los hallazgos asociados, el derrame pleural se presenta en el 17% de los casos y la gran mayoría ocurren en el lado izquierdo. Adenomegalias hiliares ocurren en el 7% de los casos17.
El criterio clínico para el diagnóstico de neumonía bacteriana tiene un valor predictivo positivo del 18% y un valor predictivo negativo del 81%.
El criterio radiológico para el diagnóstico de neumonía bacteriana tiene un valor predictivo positivo del 30% y un valor predictivo negativo del 92%, por lo tanto, la combinación de ambos criterios es exacta para excluir neumonía bacteriana3.
Además, radiografías de tórax empíricas tomadas en niños con fiebre alta y leucocitosis, sin evidencia clínica de neumonía, con gran frecuencia revelan neumonías ocultas. Por lo que la radiografía de tórax debe ser un examen diagnóstico rutinario en niños con fiebre de 39 grados centígrados y conteo leucocitario mayor de 20.000/mm3, sin otra fuente aparente de infección.18
Infecciones Mixtas Virales y Bacterianas
Cuando estas infecciones ocurren usualmente el proceso viral precede al cuadro bacteriano. Clínicamente estos pacientes presentan signos y síntomas de un proceso viral y abruptamente se tornan demasiado enfermos y tóxicos, esta es una clave clínica y alerta sobre la necesidad de revalorar el cuadro con una nueva radiografía, la cual usualmente puede ser confusa, presentándose el patrón intersticial de base típico de los procesos virales acompañado de un espectro variable de los hallazgos descritos en los procesos bacterianos (Figura10).4

FIGURA 10. Paciente lactante menor con cuadro de infección viral inicial con posterior sobreinfección por neumococo.
Observe el aumento del volumen pulmonar y los infiltrados intersticiales característicos de los procesos virales,
con infiltrados alveolares difusos en la base pulmonar derecha por sobreinfección bacteriana.
Complicaciones de las Neumonías
La evaluación de las complicaciones relacionadas con las neumonías puede dividirse en aquellas que afectan el parénquima pulmonar y las que afectan la pleura(Tabla 4).
| Complicaciones | |
| COMPLICACIONES QUE AFECTAN EL PARENQUIMA | Necrosis cavitada Absceso pulmonar Neumatoceles Fístulas broncopleurales Gangrena | 
| COMPLICACIONES QUE AFECTAN LA PLEURA | Derrame pleural libre Derrame tibicado Empiema | 
En el parénquima pulmonar se presenta un espectro de anormalidades que incluye necrosis cavitada, absceso pulmonar, neumatoceles, fístulas broncopleurales y la gangrena pulmonar 3.
La necrosis cavitada es un área dominante de necrosis de un lóbulo consolidado, asociada a un número variable de quistes de pared delgada que contienen aire o líquido. (Figura 11).

FIGURA 11. Consolidación neumónica de la región basal derecha con imagen radiolucida
en su interior correspondiente a necrosis cavitada.
Aunque históricamente se ha descrito como una complicación de las neumonías por estafilococo, en la actualidad se encuentra más comúnmente asociada al Streptococcus pneumoniae3. Usualmente son secundarias a oclusión trombótica de los capilares alveolares.
En la Radiografía de tórax se aprecia pérdida de la arquitectura pulmonar normal y el desarrollo de cavidades de pared delgada (<2mm) llenas de líquido o aire10.
Los abscesos pulmonares son una complicación de las neumonías lobares u obstrucciones crónicas bronquiales, además pueden sugerir una aspiración subyacente o una neumonía necrotizante secundaria a gérmenes gram negativos o Staphylococcus1. Representan un foco dominante de supuración rodeada por una pared fibrosa bien formada.
En la radiografía de tórax, la pared del absceso es usualmente gruesa y cuando es periférico, generalmente crea un ángulo agudo con la pared del tórax; están llenos de líquido o aire3-9. (Figura 12).

FIGURA 12. Proyección AP de tórax en la cual existe imagen densa redondeada en la base pulmonar
derecha con nivel hidroaéreo en su interior correspondiente a Absceso pulmonar.
Los neumatoceles son colecciones quísticas aéreas de pared delgada, tamaño variable, únicas o múltiples, las cuales más frecuentemente se producen como complicación de infecciones por estafilococo10(Figura 13). La mayoría permanecen estables y tienden a desaparecer con el tiempo no obstante, algunos pueden romperse y producir neumotórax complicado.

FIGURA 13. Proyección AP de tórax en la cual se identifican imágenes radio lúcidas,
redondeadas en ambos parénquimas correspondientes a neumatoceles.
En cuanto a las complicaciones que afectan la pleura, los derrames paraneumónicos son frecuentes en pacientes con neumonía bacteriana, pudiendo presentarse como derrames pleurales libres, tabicados o empiemas (Figura 14) y la agresividad de la terapia esta basada en su categorización como empiema o transudado3.
En la actualidad, los empiemas son más frecuentemente causados por el Hemophylus influenza en pacientes menores de tres años y en niños mayores por el neumococo y el stafilococo11.

FIGURA 14. Proyección de tórax en decúbito lateral izquierdo que demuestra gran derrame pleural libre.
Aunque las radiografías de tórax son consideradas de alta exactitud en detectar enfermedad parenquimatosa pulmonar y pleural, la tomografía computarizada es superior en mostrar las complicaciones supurativas de las neumonías(absceso pulmonar y necrosis cavitada), ya sea porque estos hallazgos estén ausentes en las radiografías simples o porque se pueden evidenciar más empranamente en la Tomografía19.
 
					 












