Virus sincitial respiratorio
El virus sincitial respiratorio es el agente etiológico más común, otros patógenos involucrados incluyen varios tipos de adenovirus y virus parainfluenza (8).
Muchas de estas infecciones son adquiridas por inhalación de material infeccioso y frecuentemente ocurre en ciclos epidémicos.
Clínicamente, tos y fiebre son los síntomas más comunes.
Disnea, rinorrea, convulsiones y letargia se presentan con menor frecuencia; pueden haber síntomas gastrointestinales como dolor abdominal, vómito y diarrea.
Al examen físico, se puede encontrar disminución de los ruidos respiratorios y crépitos en la mayoría de los pacientes8. Sin embargo, estos signos no son confiables en lactantes y la confirmación del diagnóstico requiere una radiografía de tórax14.
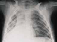
Las infecciones virales pueden producir patrones radiográficos que abarcan desde los pulmones con aumento del volumen pulmonar sin infiltrados, infiltrados parahiliares y peribronquiales con o sin atelectasias y, menos comúnmente, infiltrados reticulonodulares difusos4. (Tabla 3).
Patrones radiográficos en neumonía viral |
|
| MAS FRECUENTE | Infiltrados peribronquiales parahiliares (bronquitis) |
| FRECUENTE | Infiltrados parahiliares bilaterales con atelectasia |
| RARO | Patrón intersticial reticulo-nodular |
| FRECUENTE EN NIÑOS MENORES DE 2 AÑOS | Aumento del volumen pulmonar, sin infiltrados (Bronquiolitis) |
|
Tomado de Swischuk L. In: emergency Imaging of the acutely III or Injured Child. Lippincott Williams & Wilkins. 2000. P Publicidad |
|
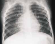
Este tipo de infecciones comprometen principalmente la mucosa respiratoria y las vías aéreas, ocasionando inflamación y necrosis de las células ciliadas, células globosas y glándulas de la mucosa bronquial que llevan a edema de la pared bronquial y bronquiolar, que se manifiestan radiológicamente como opacidades peribronquiales, usualmente simétricas y radiadas de los hilios a la periferia (Figura 1).

FIGURA 1. Proyección AP de tórax con neumonía viral en la cual existen infiltrados intersticiales parahiliares
radiados desde el hilio a la periferia en ambos parénquimas pulmonares.
El aumento del volumen pulmonar en ocasiones es más evidente en la radiografía lateral en los niños pequeños.
Las atelectasias
Las atelectasias aparecen como imágenes en cuña, densas, caracterizadas por signos de pérdida de volumen dados por desplazamiento de las cisuras, acercamiento costal, elevación del hemidiafragma y desplazamiento del mediastino y pueden ser segmentarias o subsegmentarias o comprometer todo un lóbulo (Figuras 3,4,5).
Se han descrito más comunes en los tercios inferior y medio del pulmón4. La inadecuada interpretación de estas áreas de opacidad focal puede sugerir roceso neumónico.
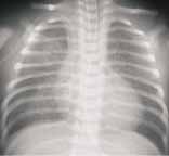
La combinación de edema de la pared bronquial, estrechez de la luz de la vía aérea y tapones mucosos, ocasiona oclusión de la vía aérea pequeña que se manifiesta como aumento del volumen pulmonar y atelectasias segmentarias o subsemegtarias (Figura 2).

FIGURA 2. Proyección Ap de tórax de paciente lactante con evidencia de atelectasias subsegmentarias de
localización central y discreto aumento del volumen pulmonar.
El aumento del volumen pulmonar en ocasiones es más evidente en la radiografía lateral en los niños pequeños.
Las atelectasias aparecen como imágenes en cuña, densas, caracterizadas por signos de pérdida de volumen dados por desplazamiento de las cisuras, acercamiento costal, elevación del hemidiafragma y desplazamiento del mediastino y pueden ser segmentarias o subsegmentarias o comprometer todo un lóbulo (Figuras 3,4,5). Se han descrito más comunes en los tercios inferior y medio del pulmón4. La inadecuada interpretación de estas áreas de opacidad focal puede sugerir roceso neumónico.
![]() |
![]() |
![]() |
FIGURA 3. Proyección lateral de tórax en paciente con neumonía viral, con imagen en cuña característica de atelectasia. |
FIGURA 4. Imagen típica de atelectasia parcial del hemitórax derecho, hay desplazamiento del corazón, mediastino, traquea y elevación del hemidiafragma correspondiente. |
FIGURA 5. Atelectasia masiva del hemitorax derecho, existe marcada pérdida de volumen con desplazamiento del mediastino, traquea y elevación del hemidiafragma correspondientes. |
El aumento del volumen pulmonar y el engrosamiento peribronquial son los hallazgos más comúnmente observados, entre un 62% aun 85% de todas las radiografías14.
Los niños se encuentran más predispuestos al atrapamiento de aire y al colapso asociado con las infecciones vírales debido al pequeño diámetro de los bronquios y bronquíolos, pobre desarrollo de las vías colaterales de ventilación (poros de kohn y canales de Lambert) y mayor producción de moco.1
En otras oportunidades las infecciones vírales pueden presentarse con un patrón menos común caracterizado por infiltrado retículo nodular difuso, que ocasiona velamiento completo en la transparencia de uno o ambos pulmones (Figura 6), este último patrón es más común en los cuadros de neumonitis intersticial descamativa. Además, los defectos fagocitarios, pueden presentarse en la radiografía de tórax como consolidaciones pulmonares16.

FIGURA 6. Paciente lactante menor con cuadro de infección respiratoria viral, manifestado por infiltrado reticular
difuso con velamiento en la trasparencia de ambos parénquimas pulmonares.
Los pacientes con bronquiolitis por virus sincitial respiratorio, presentan un riesgo incrementado de broncoaspiración, inclusive en pacientes que están clínicamente estables15.







