Dra.Susana Murcia
Unidad de Patología Pediátrica Departamento de Patología Facultad de Medicina Universidad Nacional.
Dr,José Efraín Pérez
Residente de último año de Pediatría Universidad Nacional
de Colombia. Fundación Hospital de la Misericordia Bogotá
Historia Clínica
Paciente femenino de 9 meses con cuadro de 12 días de evolución consistente en fiebre, tos seca emetizante; fué manejada con micronebulizaciones con Salbutamol y Amoxacilina durante 7 días, sin mejoría de su cuadro. La dificultad respiratoria se hace mas evidente y la tos se acompaña de movilización de secreciones. Presenta además cuadro de convulsiones tónico-clónicas generalizadas por lo cual es remitida a la Fundación Hospital de la Misericordia.
Antecedentes
Perinatales: Producto de primer embarazo normal, padres jóvenes, parto eutócico. Patológicos negativos. Desarrollo psicomotor adecuado por la edad (gatea en la actualidad). Alimentación: leche materna mas complementaria. Vacunas BCG 1 dosis. DPT y Polio tres dosis Hepatitis B tres dosis.
Examen de Ingreso
Mal estado general gran dificultad respiratoria, cianosis perioral. EC 170 x min, FR 100 por min, TA 82/41 y media de 53, T 38o C, peso 8K, estertores húmedos bibasales, hepatomegalia a 4 cm por debajo del reborde costal, cianosis ungüeal y signos meníngeos dudosos. Durante el examen presenta crisis convulsiva parcial derecha y tónicas generalizadas, con chupeteo y pedaleo; se administra Clonazepán y Midazolán con mejoría, se inicia Epamín, se practica intubación endotraqueal y punción lumbar obteniéndose liquido cristal de roca, se obtiene acceso venoso central y se pasa a Cuidado intensivo (UCI). Se le agrega a la medicación, dopamina y eritromicina.
Laboratorios iniciales: C Hemático: Hb 10, Hto 31, Blancos 30.100, N: 34, Linfos:60, Eos:4 Monos:1, Plaq. 510.000. Los Gases arteriales: pH 7.5, PCO2 25, PO2 59, HCO3 19, BE –2. Glicemia 284 mg/dl , BUN 20.5, Creat 0.85, Prot. Totales 6.5 g0, Alb 3.95, Na: 139 meq, K: 4.42 y Cl: 99 meq. LCR: Glucosa 168 (glicemia 284), Prot. 26, Cel. 0, Gram sin gérmenes. Hemocultivo negativo.
Placa de Tórax: infiltrados intersticiales de predominio apical con coalescencia basal derecha, liquido libre en cisura. Se cambia antibiótico por oxacilina Ceftriaxona.
2o día: Continua con inestabilidad hemodinámica y ventilatoria, que exige aumento progresivo de inotropía y parámetros ventilatorios, Persiste desaturada y con severa hipoxemia.
3o a 5o días: Sigue febril con desplome nutricional, se inicia gastroclisis, presenta zona violácea en pulpejos de 1o y 2o dedos de mano izquierda.
Control de Rx tórax: infiltrados alveolares difusos, neumomediastino con neumopericardio. Gases arteriales sin modificaciones importantes.
6o día: Se cambia oxacilina por Vancomicina, hay drenaje en “cuncho de café” por sonda nasogástrica y distensión abdominal Cultivo de secreción traqueal: Neumococo sensible a Oxacilina. Control de gases arteriales: Ph7.36, Pco2 40, PO2: 38, HCO3: 22, BE-3.
7o día: Rx de abdomen simple: neumoperitoneo y disminución de gas en asas. Cirugía pediátrica la evalúa y descarta perforación de víscera hueca. Se realiza paracentesis obteniéndose drenaje de aire. La isquemia de los dedos ha aumentado .En el C Hemático de control se encuentra Hb:11.2, Blancos 21.700. N: 75, Linfos: 25 y Plaquetas: 843.000.
8o día: Nueva paracentesis y se deja catéter peritoneal para drenaje.
9o a 11o día: Hipotérmia T: 35oC, FC 167, TA: 71/51, PVC 24, edema generalizado, continua sedada y en relajación, presenta enfisema subcutáneo en cuello y tórax y drenaje de gas por catéter peritoneal. La placa de tórax muestra infiltrados algodonosos bilaterales. Presenta paro cardiorespiratorio irreversible.
1. DIAGNÓSTICOS CLÍNICOS FINALES 1 Pulmón Terminal. 2: Barotrauma Severo. 3: Bronconeumonía Tosferinosa?. 4: CID con lesión isquémica en mano izquierda.
Hallazgos de Autopsia
Se encontraron como datos positivos cianosis y edema generalizados, enfisema subcutáneo en cuello, necrosis de las falanges distales de dedos 1,2 y 3 de mano izquierda, salida de abundante aire al abrir la cavidad torácica y enfisema de los tejidos blandos del mediastino. El corazón presentaba dilatación importante de las cavidades derechas sin hipertrofia (Cor-pulmonar agudo). La laringe tenía lesiones ulcerosas en espejo secundarias a intubación y los pulmones eran carnosos, aumentados de peso, acrepitantes, sin lesiones focales, (Fig. 1). El hígado estaba congestivo y el timo pequeño por involución. El encéfalo estaba edematoso, con aplanamiento de circunvoluciones, sin hernias y con presencia de múltiples lesiones malásicas y hemorrágicas a nivel de la corteza en diferentes territorios vasculares, siendo más abundantes en el lóbulo occipital; estas mismas lesiones se observaron en el cerebelo y en el tallo cerebral bilateralmente a nivel de la medula oblonga. (Fig. No 2).

Figura No 1. Imagen macroscópica del pulmón Aspecto carnosos difuso

Figura No 2. Lesiones isquémicas del cerebro
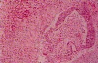
El estudio histológico mostró a nivel del pulmón un engrosamiento difuso de los septos alveolares con infiltrado linfoplasmocitario, algunas membranas hialinas tapizando la luz alveolar; algunos bronquíolos terminales mostraban franca necrosis con abundantes detritus en su luz y en otros conductos bronquíolo-alveolares se identificaron atipias celulares en su epitelio, con algunas inclusiones virales intranucleares y proliferación fibrosa intraluminal Fig. No 3.

Figura No 3. Microfotografía de la lesión pulmonar; imagen característica del daño alveolar difuso
En el cerebro, las lesiones descritas mostraron infartos corticales y subcorticales isquémicos agudos y en la piel de los dedos, necrosis de coagulación.
Resumen Definitivo de Lesiones
Neumonitis intersticial severa de etiología viral con Daño Alveolar Difuso y Bronquiolitis obliterante.
Hipoxia severa con infartos múltiples cerebrales, gangrena isquémica de dedos de mano izquierda.
Lesiones de barotrauma con neumotórax, neumomediastino y neumoperitoneo.
Cor pulmonale agudo
Comentarios
Este paciente presentó una lesión bronquíolo-alveolar como la descrita en las infecciones por Adenovirus (necrosis e inclusiones virales) que evolucionó en forma tórpida produciendo un daño alveolar difuso ( DAD) y una bronquiolitis obliterante que explican el severo cuadro de dificultad respiratoria aguda, la hipoxia extrema y los cambios de isquemia cerebral multifocal
Los septos alveolares tienen células inflamatorias y la parte distal de los espacios alveolares esta hiperinsuflada y llena de macrófagos que contienen lípidos, clínicamente el paciente presenta disnea, tos, malestar leucocitosis, y una placa de tórax con densidades nodulares pequeñas o un pulmón hiperlucente con disminución de la vascularización. La lesión es rápidamente progresiva ocasionando gran disfunción pulmonar y muerte.
Bibliografía
- Ruuskanen O Meurman O Sarkinen H: Adenoviral diseases in children a study of 105 hospital cases Pediatrics 198576:79.
- Katzenstein- AL, Askin FG: Infections. Unusual Pneumonias Benninton JL ed: Surgical Pathology, of non neoplastic Lung disease, Major Problems in Patjhology 1993 : 9 y 321.
- Winn Wjr, Wal ker DH: Viral infections en Dail DH Hammar SPO eds Pulmonary Pathology New York Spriger-Verlag 1988: 259.
- Muirray JFm Matthay Ma, Luce J M ewt al : An expanded definition of the adult respiratoiry distress syndrome. Am Rev Resp Dis 1988;138:720.
- King TE jr: Beronchiolitis Obliterans Lung 1989;167:69.
