Conferencia Clínico Patológica No. 27
Historia Clínica
Paciente masculino de un año de edad natural y procedente del Guaviare. Su enfermedad se inicia con 5 a 7 deposiciones blandas y nauseas durante una semana, y luego aparición de diarrea franca con moco y pintas de sangre en numero de 10 al día. No refiere fiebre ni vómito. Le administran metronidazol por tres días. Presenta convulsión tónico clónica y es llevado al Hospital regional donde encuentran paciente en mal estado con 8 k de peso, FC 167 / min. FR 30/min, T 37.5ºC, deshidratación grado II.
Se inicia corrección hidrelectrolítica y en el coproscópico se encuentra pH 10, sangre oculta positiva leucocitos 6-8 por campo. El CH muestra Hto 30 blancos 40.200, 75% neutrofilos, 4 cayados, 5% eosinofilos, 16% linfocitos. En la química sanguínea se encuentra Glicemia 95, Bun 12 Creat 0.7mg; presenta dificultad respiratoria y nueva deposición sanguinolenta abundante y se decide remitir.
Antecedentes
Peso 8 kilos, talla 75 cm, pésimas condiciones , taquicárdico, FC 170/min. FR 60/ min., T 36.8 ºC, TA 54/37, TAM 17, mucosas secas, escaso sangrado gingival, respiración acidótica, abdomen distendido sin ruidos intestinales, llenado capilar 4 seg, estupuroso, mirada desviada a la izquierda, respuesta incordinada a estímulos, no signos meníngeos, hemotoquesia franca; se pasa sonda nasogástrica a drenaje libre, oxígeno por cánula nasal a 1l por min., Lactato de Ringer y Coloide.
Dos horas más tarde continua con signos de deshidratación II, se ausculta hipoventilación basal bilateral, se realiza venodisección y en unos gases arteriales se encuentra saturación del 84% y acidosis mixta. La TAM esta en 28, se añaden nuevos bolos de cristaloides, coloide 20cc por kg y metronidazol. Los Rx muestran derrame pleural bilateral, distensión de asas, hace un paro cardiorrespiratorio que no revierte después de 20 min. de maniobras.
Diagnósticos Finales
Choque hipovolémico, enfermedad diarréica prolongada, amibiasis intestinal, perforación intestinal.
Hallazgos de Autopsia

Figura No 1 Colon dilatado
con mucosa hemorrágica de aspecto empedrado.
El paciente presenta signos francos de deshidratación, sangrado rectal, distensión abdominal. Se confirma la presencia de derrame pleural bilateral de 100 cc a cada lado de líquido cetrino, edema pulmonar, palidez generalizada de vísceras, esteatosis y cambio de choque del hígado, asas delgadas distendidas sin peritonitis, colon muy dilatado, con diámetro hasta de 6 cm., violáceo con gran edema de pared aspecto empedrado de la mucosa y contenido diarréico sanguinolento (figura No 1).

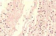
Figura No 2 Microfotografía de úlcera amibiana con
trofozoítos: figuras redondeadas centrales con halo
claro y tejido acelular a su alrededor.
La mucosa de esta víscera muestra zonas de ulceras profundas con trofozoítos de amebas (figura No 2) alternas con áreas de hemorragia de la mucosa superficial y de la submucosa, vasodilatación, y presencia de polinucleares linfocitos y plasmocitos en todo el espesor de la pared con compromiso de los plexos nerviosos (figura No 3). Los riñones tienen cambios de necrosis cortical aguda.

Figura No 3 Microfotografía de la pared del colon,
inflamación transmural visible en los sitios conservados,
con lesión de los plexos de Awerbach.
Diagnósticos Definitivos
Colitis amebiana invasora extensa con megacolon tóxico
Signos de deshidratación severa y de choque por hipovolemia en hígado y riñón con necrosis cortical aguda renal , edema pulmonar.
Comentarios
Este paciente presentó un cuadro de colitis aguda severa fulminante por entameba histiolítica que se complicó con un megacolon tóxico y un estado de choque persistente y de severo desequilibrio hidroelectrolítico con lesión isquémica de ambos riñones.
La colitis amibiana es producida por la entameba histolítica, que es un parásito simple que mide entre 15 y 20 cm; con ayuda de las bacterias entéricas, produce un amebaporo que libera enzimas proteilitivas e hidrolíticas que facilitan el proceso de invasión; fagocita eritrocitos y células muertas o deshidratadas y mediante la producción de enterotoxinas y secretagogos neurohumerales desencadena una secreción exagerada de moco intestinal1, 2.
Tiene dos formas: el trofozoito que es móvil y fagocita eritrocitos y el quiste que está fuera del huésped y es el que facilita la transmisión de la infección.
El hombre y el mono Macaco son los únicos reservorios; puede haber infección en perros y roedores pero estos no participan del ciclo de infección humana3, La infección afecta primordialmente población de paises en desarrollo y en emigración, se disemina por alimentos y aguas contaminadas, y de persona a persona; la prevalencia mundial es del 12% y la de portadores en paises desarrollados del 5%. Se calcula que un 10% de la población mundial está infectada y que es causa de más de 100.000 muertes por ano. En la infancia, la infección amibiana suele ser de alta morbilidad1,2.
La amibiasis intraintestinal se presenta en las siguientes formas: colonización asintomático, colitis fulminante y ameboma, los pacientes asintomáticos tienen infección limitada a la luz intestinal y solo se detecta en ellos mínima invasión pero tienen gran tendencia a hacer infección extraintestinal; la infección intestinal aguda sintomática causa disentería similar a la de la Shigella o la de otros enteropatógenos, con fiebre baja, dolor abdominal, diarrea con moco, distensión, tenesmo y sangre. Sus complicaciones en especial en niños desnutridos o muy pequeños, son una colitis fulminante con colon dilatado de tipo tóxico, la perforación del ciego, con peritonitis o absceso paracólico.
La forma crónica, da diarrea intermitente y molestias abdominales, cefalea, nausea, anorexia, con remisión cíclica de los síntomas y periodos de constipación. Es causa de fibrosis y estrechez del ciego y del colon sigmoide, de aparición de una masa denominada ameboma, que lleva a la estenosis o a la intusucepción. La mucosa del colon puede permanecer irritada aun en ausencia del parásito y se denomina colitis postamibiana o colitis ulcerativa postdisentería, que responde poco a los antinflamatorios pero mejora espontáneamente con el tiempo.
La forma extraintestinal más común es el absceso hepático que aparece con o sin episodio de colitis y se puede diseminar a la pleura, pericardio, cerebro, pulmón o riñón, cuando hay invasión de la vena hepática1,2.
El diagnóstico se hace por detección de trofozoitos, por examen inmediato de heces recolectadas en solución salina o por el hallazgo de los quistes en la materia fecal; la proctosigmoidoscopia muestra pequeñas úlceras de bordes indeterminados y exudado amarillento, que al microscopio muestra las úlceras de boca estrecha y fondo amplio, con reemplazo de trofozoitos con eritrofagocitosis y un exudado inflamatorio muy escaso o ausente. El 90% de las formas invasivas tienen anticuerpos positivos séricos IgG anti entameba histolítica, detectados por inmunofluorescencia o hemaglutinación.
La inmunofluorescencia solo es positiva en los individuos sintomáticos. Los esteroides son causa de negativización de la serología. La base del tratamiento es la prevención con medidas higiénicas. La respuesta al metronidazol es evidente pero los casos complicados con perforación, sangrado masivo o colon tóxico, pueden requerir cirugía con colectomía. ¨Los amebomas pueden regresar lentamente pero la mayoría requieren resección para diagnóstico y tratamiento.
El MEGACOLON TÓXICO es una complicación potencialmente letal que afecta pacientes con compromiso de la totalidad del colon por enfermedades como colitis ulcerativa, enfermedad de Crohn, amibiasis, colitis de origen bacteriano, isquémico o pseudomembranoso4,5; se relaciona con estados e hipopotasemia, aerofagia y con el uso de inhibidores de la motilidad y de preparaciones catárticas.
Se caracteriza por desaparición del cuadro diarréico, dilatación total o segmentaria del colon con perdida de su capacidad de contracción, un estado tóxico del paciente con fiebre, taquicardia, hipotensión, desequilibrio hidroelectrolítico persistente, dolor abdominal, leucocitosis, anemia, hipoproteinemia y rápido deterioro de su estado.
El abdomen esta distendido sin ruidos y el colon puede volverse palpable. El proceso inflamatorio de base se extiende a todo el espesor de la pared con daño del plexo mientérico y extensión al peritoneo con vasculitis; algunas complicaciones son hemorragia masiva, embolia pulmonar y la perforación secundaria al adelgazamiento de la pared y a la inflamación4, 5.
Los Rx simples de abdomen muestran dilatación del colon transverso predominantemente y aire en su pared; la endoscopia puede aclarar la enfermedad de base y mediante la toma de biopsia y muestras para cultivos.
El manejo buscará además del tratamiento de la enfermedad desencadenante, el cuidado del equilibrio ácido–básico, de la hidratación, de las funciones renales y hepáticas; requiere la administración de antibióticos contra gérmenes anaerobios (evitando los nefrotóxicos) y de esteroides; la cirugía esta indicada cuando el deterioro es progresivo y se sospecha perforación; se recomienda la colectomía subtotal con ileostomía y fístula mucosa del recto sigmoide4, 5.
Dra. Susana Murcia de Onatra
Unidad de Patología Pediátrica, Departamento de Patología
Facultad de Medicina Universidad Nacional.
Fundación Hospital de la Misericordia Bogotá
Bibliografía
- Hun D, Chandrosoma P, Kiyabi M: Fulminat amebic colitis. A morphologic study of four cases. Diseases of the Colon an Rectum, 1994:37-535-539.
- Merrit RG, Couchlin e, Thomas EW, et al. Spectrum of Amebiasis in Children. Am J Dis Child 1982; 136-785.
- Reed Sl. Amibiasis. An update. Clin Infect Dis 1992; 14:385.
- Rosember IH. Enfermedades Intestinales Inflamatorias enWingaardenb Jb,Smith I: Cecil: Tratado de Medicina 834 – 835.
- Inflamatory Bowel Disease en Fenoglio-Preise CM, Noffsinger AE, Stemmerman GN, et al. Gastrointestinal Pathology An Atlas and Text Philadelphia Lippicot Raven press 1999: 661.