¿Una alternativa para el manejo de la hemoptisis masiva?
La hemoptisis masiva ha sido definida en forma arbitraria como la expectoración de más de 600 ml de sangre en 24 horas (1,2). Las tasas de mortalidad informadas en la literatura para estos pacientes fluctúan entre un 12% y un 50% con tratamiento médico, razón por la cual se requiere una evaluación agresiva y un tratamiento adecuado para mejorar la supervivencia. (Lea también: Efectos de las maniobras de reclutamiento alveolar en el postoperatorio de cirugía cardiovascular)
Ramírez Juan Camilo MD, FRCSC
* Jefe del Departamento de Cirugía Hospital de San José
Profesor Asociado de Cirugía Fundación Universitaria de Ciencias de la Salud Hospital de San José
Introducción
La muerte por asfixia representa la mayor amenaza en estas circunstancias, especialmente cuando el paciente se encuentra intubado. La posibilidad de muerte se incrementa exponencialmente cuando la rata de sangrado aumenta, de manera tal que se han informado tasas de mortalidad cercanas al 75% cuando la hemorragia pasa de los 600 ml (3,4).
En estas condiciones, la intervención quirúrgica de urgencia tampoco es una solución fácil. Aún en circunstancias en que la resección quirúrgica es técnicamente posible, las tasas de mortalidad informadas después de cirugía varían entre el 15% y el 20% (2,5).
Es importante resaltar el hecho de que en la mayor parte de los casos de hemoptisis masiva, usualmente puede disponerse de tiempo suficiente para realizar una evaluación cuidadosa y completa, tomar medidas e iniciar un tratamiento médico para detener la hemorragia y permitir la práctica de un procedimiento quirúrgico en condiciones más seguras.
La hemoptisis de más de 1000 ml , o la rata de sangrado mayor de 150 ml/hora se define como hemoptisis exanguinante. La mortalidad por hemoptisis exanguinante con tratamiento médico es cercana al 100%. Cuando una hemorragia de esta magnitud tiene lugar, es muy improbable que pueda controlarse con tratamiento médico únicamente.
Hemoptisis masiva
La mayoría de las hemoptisis masivas originadas en el pulmón provienen de la circulación arterial bronquial, la cual se hipertrofia en forma considerable en las enfermedades inflamatorias del pulmón (bronquiectasias, neumonías necrotizantes, abscesos pulmonares, tuberculosis crónica cavitaria y micetoma crónico), fibrosis quística, bronquitis crónica, cáncer broncogénico y secuelas de radioterapia.
Con menor frecuencia, la arteria pulmonar puede ser la causa de la hemorragia, debida a la colocación defectuosa de catéteres de Swan Ganz, a la formación de fístulas broncovasculares en tumores malignos, y después de ciertas resecciones pulmonares.
Otras posibles causas de hemorragia son las comunicaciones aortobronquiales y las fístulas de la arteria innominada que ocurren como complicación de las cirugías de resección traqueal y las traqueostomías.
Cuando la hemoptisis masiva proviene de las arterias bronquiales, la oclusión selectiva del vaso sangrante mediante arteriografía de las arterias bronquiales ha sido empleada con éxito para controlar la hemorragia severa, al menos temporalmente.
Se ha informado detención inmediata del sangrado en el 75% y 80% de los pacientes en dos grandes series. Sin embargo, se presentaron recaídas, con frecuencia fatales, en un 20% de los casos en los que el tratamiento fue exitoso inicialmente (6).
Sangrado recurrente
Existen varias razones por las que se presenta sangrado recurrente:
1. Por recanalización del vaso embolizado que ocurre entre los dos y los siete meses.
2. Por aumento del flujo sanguíneo dentro del área enferma del pulmón (especialmente en la TBC cavitaria) a expensas de nuevas anastomosis arteriales entre las circulaciones bronquial y pulmonar. Incluso puede ser necesaria la embolización de la rama segmentaria de la pulmonar en los casos en que la embolización bronquial ha fracasado.
3. Por desarrollo de circulación colateral sistémica proveniente de las arterias intercostales, axilares, subclavias o incluso ramas de la aorta hacia la zona enferma del pulmón.
4. Por sangrado proveniente de ramas de la arteria pulmonar lesionadas por procesos necrotizantes.
En consecuencia, cuando la embolización de las arterias no logra detener la hemorragia, es necesario emprender una búsqueda de fuentes adicionales de sangrado en la circulación sistémica o en la circulación pulmonar. (Ver: Controversias en shock y reanimación)
Embolización de arterias bronquiales en casos de hemoptisis masiva
En la inmensa mayoría de los pacientes con hemoptisis masiva que han sido sometidos con éxito a embolización de las arterias bronquiales, el procedimiento debe ir seguido de la resección quirúrgica electiva de la zona del pulmón comprometida.
No obstante, varios pacientes con hemorragia masiva por enfermedades inflamatorias del pulmón tienen un compromiso severo de la función pulmonar y se encuentran hospitalizados en la unidad de cuidados intensivos.
En estos casos, la embolización selectiva de las arterias bronquiales puede estar indicada como procedimiento definitivo. Las medidas de control bronquial (lateralización, intubación selectiva) pueden combinarse con la embolización.
Complicaciones graves
Se han informado complicaciones graves asociadas con el procedimiento, entre las que deben destacarse las siguientes: lesiones de médula espinal debidas a embolización accidental de la arteria espinal, fístulas esofagobronquiales debidas a isquemia del mediastino, embolizaciones distales con infartos intestinales y oclusiones arteriales de los miembros inferiores (6).
La presencia de estas complicaciones determina que el procedimiento deba ser realizado por especialistas con la debida experiencia y familiaridad con la anatomía de las arterias bronquiales.
Es importante insistir en que la embolización selectiva de las arterias bronquiales está claramente contraindicada en los casos en que la hemoptisis masiva se origina en vasos diferentes de las arterias bronquiales.
Es el caso de las fístulas vasculares a la vía aérea que ocurren después de resecciones pulmonares, resecciones traqueales, traqueostomías, injertos de aorta torácica o erosión de las arterias pulmonares por un cáncer broncogénico.
En estas circunstancias dramáticas, el manejo apropiado consiste en el aislamiento del pulmón sano mediante las técnicas descritas de aislamiento bronquial y cirugía inmediata dependiendo de la situación específica
Bibliografía
- Conlan AA, Hurwitz SS, Krige L et al. Massive hemoptysis. Review of 123 cases. J Thorac Cardiovasc Surg 1983; 85: 120.
- Gourin A, Garzón AA. Operative treatment of massive hemoptysis. Ann Thorac Surg 1974; 18: 52.
- Crococco JA, Rooney JJ, Fankushen DS et al. Massive hemoptysis. Arch Int Med 1968;121: 495.
- Saw EC, Gottlieb SS, Yokohama T et al. Flexible fiberoptic bronchoscopy and endobronchial tamponade in the management of massive hemoptysis. Chest 1976; 70: 589,
- Mattox KL, Guinn JA. Emergency resection for massive hemoptysis. Ann Thorac Surg 1977; 17: 377.
- Remy J, Arnaud S, Fardon H et al. Treatment of hemoptysis by embolisation of bronchial arteries. Radiology 1977; 12: 33.
Embolización de arteria bronquial: experiencia en 8 casos de hemoptisis masiva
* Dr Francisco Fernando Naranjo Junoy *, Dr. Oliverio Vargas Pérez **, Dr. Fabio Bolívar Grimaldos ***
* Internista-Neumólogo Centro Médico y Clínica Carlos Ardila Lülle ,Profesor de Medicina Interna UIS (Universidad Industrial de Santander).
** Radiólogo Intervencionista Centro Médico y Clínica Carlos Ardila Lülle,Profesor de Radiología UNAB (Universidad Autónoma de Bucaramanga).
*** Internista-Neumólogo Centro Médico y Clínica Carlos Ardila Lülle ,Profesor de Medicina Interna UIS (Universidad Industrial de Santander)
Resumen
Objetivo: describir la experiencia de los servicios de Neumología y Radiología de la Clínica Ardila Lülle en la embolización de arteria bronquial en pacientes con Hemoptisis masiva.
Tipo de estudio: descriptivo, serie de casos.
Lugar de estudio: Centro Médico y Clínica Carlos Ardila Lülle.
Pacientes y métodos: se revisaron las Historias clínicas de todos los pacientes con Hemoptisis masiva a quienes se les practicó embolización de arteria bronquial u otras ramas. Se recolectaron datos como edad, género, diagnósticos, estudios imagenológicos, Fibrobroncoscopia, embolización de arteria bronquial, resultados y complicaciones.
Resultados: durante un período de 4 años, se manejaron en la Clínica Ardila Lülle 8 pacientes(63% hombres y 37% mujeres), con Hemoptisis masiva a quienes se les practicó arteriografía bronquial y embolización como medida para controlar el sangrado.
Los síntomas predominantes fueron : Hemoptisis (100%), Disnea(100%), Fiebre/40%). La etiología de la hemoptisis incluyó: Bronquiectasias por secuelas de TBC 36%,TBC activa 25%,Malformación arterio-venosa pulmonar 13%,Ca. Broncogénico 13%,Micetoma 13%.
Se logró control agudo del sangrado en el 100%, 2 resangraron a los 2 días y 3 meses respectivamente. No se presentaron complicaciones.
Conclusiones: la embolización de arteria bronquial constituye un tratamiento adecuado y seguro, para control agudo del sangrado, en pacientes con hemoptisis masiva no candidatos para cirugía o como medida de estabilización para llevar al paciente en mejores condiciones a un procedimiento definitivo.
Palabras clave: hemoptisis masiva, Embolización bronquial.
Summary
Objective: to describe the management of massive hemoptisis of bronchial artery with selective embolization in Clínica Ardila Lülle.
Study Design: descriptive, Retrospective.
Location: Centro Médico y Clínica Carlos Ardila Lülle,Bucaramanga, Colombia.
Patients and Methods: medical records of patients with documented massive hemoptisis from 1998 to 2002, whom underwent selective embolization of bronchial arteries were collected and analised. The main variables considered were, age, gender, medical interventions and complications.
Results: eight patients (63% males) with documented massive hemoptysis were founded between 1998 and 2002. All of them had bronchial arteriography with subsequent embolization of the compromised artery as a therapeutic intervention. The main symptoms were hemoptysis (100%), dyspnea (100%), fever (40%). Commonest etiology included bronchiectasies due to tuberculosis (36%), active tuberculosis (25%), arterio-venous pulmonary malformation (13%), bronchogenic ca (13%), mycetoma (13%).
Proper therapeutic response was seen in 100% of the patients. Re-bleeeding was documented in 13% of the patients 2 days after initial therapy and, 13% three months later. No complications associated to the procedure were documented.
Conclusions: bronchial artery embolization is an appropiate and safe therapeutic approach to both the control the acute bleeding of patients with massive hemoptysis of diverse etiology, whom are not considered candidates for surgical treatment or as a temporary intervention to stabilize the patient while waiting for a definitive procedure.
Key words: massive hemoptysis,bronchial embolization
Introducción
Los informes de visualización de las arterias bronquiales aparecen a finales de los años 50 mediante la utilización de aortografías no selectivas (1). Pero sólo en 1973 se hizo la primera embolización de arteria bronquial en 1 paciente, para controlar la hemoptisis.(2). Posterior a esto son múltiples los informes en la literatura médica de la utilidad de la técnica en el control de hemoptisis masiva.(2),(3),(4),(5),(6).
La hemoptisis masiva ha sido definida en forma variable , sin embargo se acepta como rango 200 a 1000 ml/día, pero la presencia de más de 600ml de expectoración en 24 horas es utilizada como criterio diagnóstico en la mayoría de los trabajos.(7). Se estima que 400ml de sangre en el espacio alveolar son suficientes para causar alteraciones significativas en el intercambio gaseoso.(8).
Si bien sólo el 5% de las hemoptisis son masivas, su importancia radica en la alta probabilidad de muerte, que en algunas series puede llegar al 80%.(9). Es así entonces como el mayor reto para el clínico no es sólo establecer el sitio o causa de la hemoptisis sino lograr controlar el sangrado.
El siguiente artículo muestra la experiencia de los servicios de Radiología y Neumología de la Clínica Carlos Ardila Lülle de Bucaramanga, centro privado de cuarto nivel, en la embolización de arteria bronquial en pacientes con hemoptisis masiva.
Materiales y métodos
Pacientes
Se revisaron las historias clínicas de todos los pacientes a los cuales se les practicó embolización de arteria bronquial y otras ramas , en la clínica Carlos Ardila Lülle de Bucaramanga, centro de cuarto nivel de referencia para el nororiente colombiano y la zona del Sur del Cesar, desde Abril de 1998 hasta el 25 de Abril del 2002,quienes cumplían criterio de Hemoptisis masiva, considerado como presencia de más de 600 ml de expectoración en 24 horas.
Se recolectaron para el análisis los siguientes datos : Edad, género, características clínicas, diagnóstico ,radiografía de tórax y/o TAC de tórax, hallazgos broncoscópicos,arteriografía bronquial, embolización de arteria bronquial y complicaciones.
Procedimiento para embolizar arteria bronquial
Una vez identificado el paciente con hemoptisis masiva y teniendo los primeros exámenes paraclínicos incluyendo Radiografía de Tórax, se practicó Fibrobroncoscopia para localizar el sitio o el pulmón sangrante, inmediatamente después se llevó el paciente a sala de Radiología intervencionista.
Se procedió a realizar intubación orotraqueal para manejo de la vía aérea y anestesia general. Durante el procedimiento siempre se contó con la presencia del Radiólogo intervencionista, Neumólogo y Anestesiólogo.
Angiografía bronquial
Para comprender la esencia de la embolizacion de las arterias bronquiales es importante conocer su anatomía y las variantes , tanto en su origen como en el número y tamaño. Aproximadamente en el 90% de las personas se originan entre T5-T6, otras lo hacen en la subclavia, mamarias, intercostales, frénicas, tronco tirocervical y otros sitios de la aorta torácica(10 ). Recientemente Uflaker (11 ) encontró angiográficamente más de 10 tipos , de los cuales 6 eran constantes en más del 90%.
Con un equipo de angio Toshiba CAS 8000, con sustracción digital (DSA) se punciona la arteria femoral derecha o izquierda y con método de Seldinger , se introducen diferentes tipos de catéteres, los más usados son: cobra 4F o Simons tipo I 4F para cateterizar las arterias bronquiales e intercostales y Head-Hunter 5F para cateterizar la subclavia, mamarias y tronco tirocervical.
Una vez identificada la arteria, se asegura de fijar el catéter avanzándolo como sea posible, para esto se utilizan guias hidrofílicas y en ocasiones se recurre a sistemas coaxiales para introducir microcatéteres, generalmente de avance geométrico con microguías, este último permite estabilidad y seguridad en el procedimiento durante la embolización. (12).
Es importante determinar la presencia de la arteria espinal dependiente del vaso que se va a embolizar. Esto hace que el plan de embolizacion sea mas cuidadoso y se cateterice de manera supraselectiva con microcatéter; el cual es llevado lejos del origen de la arteria espinal.
Hay signos radiológicos conocidos que indican hemorragia, unos son directos y otros indirectos. Los signos directos como la extravasación del medio de contraste y la presencia del aneurisma de Rasmunsen son infrecuentes, mientras que los signos indirectos como son la tortuosidad, el aumento del calibre arterial, y el incremento en el número de vasos son mas frecuentes (13).
Embolización
El agente más comúnmente utilizado es el Polivinil alcohol(Ivalon) en partículas mayores a 200 milimicras;sinembargo en ésta serie se utilizó una mezcla casera de Gelfoan+alcohol absoluto y en un caso coils de Gianturco.
Una vez el radiólogo se sienta satisfecho con la posición del catéter o microcatéter, se inyecta el agente embolígeno bajo control fluoroscópico para detectar posibles reflujos o aperturas de arterias vestigiales que puedan tener comunicación con otros vasos indeseables. La embolización debe ser tan distal como sea posible, para evitar la colateralización.
Posterior a la realización de la embolización se hace control angiográfico para determinar colateralización u otros focos de sangrado, esta colateralización puede ser o no tratada dependiendo las condiciones del paciente (14).
Resultados
Durante un período de 4 años, se manejaron en la Clínica Ardila Lülle de Bucaramanga, 8 pacientes con hemoptisis masiva, a quienes se les practicó arteriografía bronquial y embolización como medida para controlar el sangrado.
La media de edad fue 61 años,63% hombres y 37% mujeres. Los 3 síntomas predominantes fueron la hemoptisis de más de 600 ml(100%),Disnea (100%) y fiebre en 40%.
El 100% tenía hemoptisis masiva aguda en el momento del examen y sólo 2 habían tenido episodios previos de hemoptisis masiva, que se autolimitó en 1 y otro había requerido bilobectomía superior.
La etiología de la Hemoptisis incluyó: Bronquiectasias localizadas por secuelas de TBC en 3 pacientes (36%),TBC activa en 2 pacientes(25%),1 (13%) con malformación arteriovenosa pulmonar , 1 (13%) con Ca. broncogénico y 1(13%) con micetoma Ver tabla 1.
Tabla 1. Características de los pacientes y causas de hemoptisis

La radiografía de tórax fue anormal en todos los pacientes, presentando zonas de ocupación alveolar, cavitaciones, lesiones compatibles con bronquiectasias y una imagen sugestiva de micetoma. La TAC fue realizada en la mitad de los pacientes confirmando lesiones cavitarias, ocupación alveolar y bronquiectasias.
La Broncoscopia flexible se realizó en el 100% de los pacientes antes de la arteriografía. En el 100% de los casos se pudo identificar el pulmón sangrante pero sólo en 50% se pudo con certeza confirmar el lóbulo sangrante. Ningún paciente tenía lesión endobronquial visible en la broncoscopia. En los 2 pacientes de TBC pulmonar activa el lavado bronquial fue positivo para Mycobacterium tuberculoso.
La arteriografía bronquial fue hecha en el 100% de los pacientes encontrando en todos tortuosidad de vasos,un paciente con extravasación del medio de contraste,uno con colateralización traspleural y uno con cortocircuito de arteria bronquial con pulmonares;en ninguno de los vasos embolizados se identificó arteria espinal.
La embolización en 6 casos se hizo usando técnica selectiva y sólo en 2 fue supraselectiva. Las figuras 1,2,3,4 ,muestran algunos casos de la serie, antes y después de la embolización.

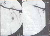
Figura 1. Paciente de sexo masculino, de 70 años, con hemoptisis por TBC activa, bilobectomizado por previa hemoptisis. (a) arteriografía bronquial, muestra tortuosidad y extravasación del medio de contraste. (b) Control de embolización con gelfoam + alcohol absoluto, se obtuvo oclusión total de la arteria bronquial izquierda, con remisión completa de los síntomas.

Figura 2. Paciente de sexo femenino, de 70 años, con hemoptisis masiva por bronquiectasias tuberculosas. (a) arteriografía bronquial derecha, con tortuosidad y dilatación de las ramas bronquiales,. con fístulas a las arterias pulmonares y transcolateralización, como signos de hemorragia. (b) Control post embolización con gelfoam + alcohol absoluto, con oclusión total y remisión de los síntomas.

Figura 3. Paciente de sexo masculino, de 50 años, con hemoptisis masiva por TBC activa en lóbulo superior derecho. (a) Arteriografía bronquial derecha, muestra dilatación y tortuosidad de las ramas bronquiales, como signo indirecto de sangrado. (b) Control de embolización con partículas de gelfoam + alcohol absoluto, con oclusión total de la arteria y remisión de la hemoptisis.

Figura 4. Paciente de sexo femenino, de 32 años, con hemoptisis por aspergiloma. (a) Arteriografía de la arteria subclavia izquierda, que muestra opacificación de las ramas torácicas superiores, con extravasación del medio de contraste, hipertrofia y tortuosidad de las ramas distales. (b) Control de embolización supraselectiva con gelfoam + alcohol absoluto, a través de microcatéter y colocación de Coils en el orígen de la arteria torácica superior, con remisión total de la sintomatología.
El tiempo promedio de duración del procedimiento fue de 2 horas. No se presentaron complicaciones inherentes al procedimiento.
El resangrado se presentó en 2 pacientes, en uno de ellos, en las siguientes 48 horas, requiriendo tratamiento quirúrgico y documentándose en patología bronquiectasia en lóbulo superior izquierdo y el segundo paciente, a los 3 meses, por recanalización de malformación arterio-venosa que requirió también tratamiento quirúrgico.
Sólo un paciente falleció tardíamente (6 meses) por cáncer de páncreas, su causa de muerte no tuvo relación con hemoptisis.
Embolización de arteria bronquial, discusión
La hemoptisis masiva se constituye en una condición médica que amenaza la vida de los pacientes, con una tendencia a recurrir, si no se instauran tratamientos definitivos.
Existen varias técnicas para tratar de controlar el sangrado, sin embargo en situaciones en las cuales la resección pulmonar pueda eliminar la causa de la hemoptisis ésta será el tratamiento de elección. En pacientes en quienes no se pueda realizar tratamiento quirúrgico o tengan una enfermedad que sea susceptible de control con terapia médica, existen otro tipo de posibilidades como son el lavado bronquial con solución salina, epinefrina, taponamiento con balón, radioterapia y embolización de arteria bronquial(15).
Etiología de la hemoptisis masiva
La etiología de la hemoptisis masiva varía de acuerdo con los diferentes estudios. En la literatura se encuentran como causas predominantes en 90% de los casos: Tuberculosis, bronquiectasias y abscesos pulmonares hasta los años 60,pero esto ha venido cambiando en los últimos 30 años.
La tabla 1 muestra un resumen de las principales series. En el presente estudio, las principales causas fueron : bronquiectasias por secuelas de TBC, seguido por la TBC activa. En casi todas las series pueden coexistir varias causas Ej :TBC y bronquiectasias, Micetoma y TBC.
Tabla 2. Causas de hemoptisis masiva

El control agudo del sangrado en la presente serie se logró en el 100% de los pacientes. Sólo resangraron 2 pacientes, uno a las 48 horas y otro a los 3 meses. A los 2 se les practicó tratamiento quirúrgico.
La literatura habla de éxito en el 65 a 94%,con un control que se sostiene en porcentajes significativos hasta por encima de 1 mes. Es así como la embolización de arteria bronquial se constituye en una técnica importante para control agudo del sangrado en casos de hemoptisis masiva.
La tabla 3 muestra la experiencia acumulada en las diferentes series en el control del sangrado en pacientes con hemoptisis masiva.
Tabla 3. Comparación del control de hemoptisis en pacientes con embolización de arteria bronquial.(5).

Es bien conocida la variación anatómica de las arterias bronquiales. Más del 90% de las arterias se originan de la aorta descendente entre la quinta y la sexta vértebra torácica. Basado sobre un estudio en 150 cadáveres humanos en 1948, Caudwell definió 4 variantes anatómicas.
La más común es una arteria bronquial derecha única con 2 arterias bronquiales izquierdas (41%). Cerca del 20% de las arterias pueden tener un origen aberrante de otra arteria sistémica(subclavia, braquiocefálico, mamaria interna, frénica y coronarias.
Aproximadamente el 10% se originan de la superficie anterior del arco aórtico o la aorta descendente. La arteria espinal puede originarse de la arteria bronquial hasta en un 5% de casos, más común en el lado derecho que izquierdo.(5),(10),(19).
Complicaciones de la embolización bronquial
Las complicaciones de la embolización bronquial han venido disminuyendo en la medida en que se tiene más experiencia con el procedimiento. Durante los inicios del tratamiento, los pacientes desarrollaban mielitis transversas como consecuencia del uso de medios de contraste no iónicos y la embolización inadvertida de la arteria espinal.
Para prevenir lo anterior se utilizan embolizaciones supraselectivas.(5).Otro tipo de complicación más común es lo que se ha llamado el síndrome post-embolización que consiste en dolor torácico pleurítico, fiebre, leucocitosis y disfagia, demora hasta 7 días y se maneja con analgésicos.(16).
En la serie de Mal se presentaron otras complicaciones como disección de la subíntima de la aorta que llevó a hematoma mediastinal con desenlace adecuado (2 pacientes),dolor de piernas transitorio (un paciente) (6) y en la de Swanson también hubo disección de la subíntima en 2 pacientes, perforación arterial por guía en un paciente,reflujo de material embólico en la aorta, sin secuelas adversas en un paciente,un paciente desarrolló un gran hematoma en el sitio de punción.(5).
En el presente estudio no se presentaron complicaciones, posiblemente explicable por el número pequeño de casos.
El éxito de la embolizacion se mide por la suspensión de la hemorragia aguda. Una embolización no exitosa puede asociarse frecuentemente con cambios inflamatorios destructivos por erosión de ramas de la arteria pulmonar. El manejo exitoso en tales casos requiere de la oclusión temporal o permanente de los vasos comprometidos(3).
Conclusiones
La embolización de arteria bronquial se constituye en un tratamiento adecuado y seguro, con porcentajes bajos de complicaciones, para controlar el sangrado en pacientes que se presentan con hemoptisis masiva y no son candidatos para cirugía o como medida aguda de control del sangrado para llevar al paciente a un procedimiento definitivo en mejores condiciones.
Se requiere una estrecha colaboración del grupo de trabajo formado por Radiólogo Intervencionista y Neumólogo para el desenlace adecuado de los pacientes.
Si bien este trabajo representa una experiencia limitada por el número de pacientes, consideramos que los resultados que se han tenido hasta el momento nos alientan a seguir incluyendo nuevos pacientes y en este momento en nuestro centro de trabajo hace parte del protocolo de manejo agudo de la hemoptisis masiva.
Bibliografía
- Neyakasi T. A meted for arteriography of the systemic pulmonary circulation. American Journal Radiol 1963; 90: 614-627.
- Remy J,Voisin C, Dupuis C et al.Traitement des hemoptysies par embolization de la circulation systemique. Ann Radiol (Paris) 1974; 17 : 5-16.
- Rabkin JE.Transcatheter embolization in management of pulmonary hemorrhage. Radiology 1987; 163: 361-365.
- Cremaschi P. Therapeutic embolization of bronchial artery: a successful treatment in 209 cases of relapse hemoptysis. Angiology 1993; 44: 295-299.
- Swamson K, Johnson M et al. Bronchial artery embolization experience with 54 patients.Chest 2002; 121: 789-795.
- Mal H, Rullon I. Immediate and long-term results of bronchial artery embolization for life-threatening hemoptysis. Chest 1999; 115 : 996-1001.
- Baptiste E. Clinical assessmentand management of massive hemoptysis.Critical care medicine 2000; 28: 1642-1647.
- Szidon J. Approach to the pulmonary patients with respiratory signs and symptoms : Pulmonary disease and disorders.Second edition.New York,Mc Graw-Hill, 1988; 346-351
- Ingbar D. Causes and management of massive hemoptysis. Up to date 2001; 9: 1.
- Cadwell EW, Siekert RG, Lininger RE, Anson B. The bronchial arteries an anatomy study of 150 human cadavers. Sur Gynecol Obstet 1948; 86, 395-412
- Uflaker R, Kaemmerer A, Picon D, Rizzon CF, Neves C, Oliveira E et al. Bronchial Artery Embolitation in the management of hemoptysis Technical aspects and long-term results, Radiology 1985; 157: 637-644
- Tanaka N, Yamakado, Murashima S et al, Superselective bronchial artery Embolitation for hemoptysis whith coaxial microcatheter System, JVIR 1997, 8: 65-70
- Cohen AM, DoershuckCF, Stern RC. Bronchial artery embolitation to control hemoptysis in cystis fibrosis Radiology 1990; 175: 401-405
- Najarian KE, Morris CS, Arterial embolitation. Chest J thorac Imagining 1998; 13: 93-104






