Se han descrito algunos criterios para la sospecha y el diagnóstico clínico de la hernia diafragmática complicada10 (tabla 2). El síntoma más importante es el dolor torácico izquierdo anterior, que suele ser de inicio súbito, pungitivo, constante, intenso, con irradiación hacia el brazo y hombro izquierdos y a la región epigástrica, y que se exacerba con la inspiración profunda y se asocia a vómitos explosivos1,3,5. Estos pacientes relatan una historia previa de dolores ocasionales en el hemitórax izquierdo, asociados a disnea, tos y cuadros clínicos intermitentes de dispepsia y, ocasionalmente, obstrucción intestinal3,6,8,10.
Al consultar a los servicios o unidades de urgencias, presentan compromiso respiratorio, disnea, taquipnea, taquicardia, fiebre y, ocasionalmente, hipertensión arterial3,8. Con la percusión se evidencia matidez en el hemitórax izquierdo y, a la auscultación, disminución o ausencia del murmullo vesicular y ocasionalmente ruidos peristálticos1,5,14,16. El abdomen puede encontrarse excavado en la región epigástrica, blando y moderadamente sensible1,5. No se palpan masas intraabdominales3. El electrocardiograma es habitualmente normal1,4. En la tabla 3 se describen las características clínicas según las diferentes fases de evolución clínica y diagnóstico1,17.
Diagnóstico diferencial
El diagnóstico diferencial de una hernia diafragmática complicada con necrosis gástrica, debe establecerse con colecistitis aguda, pancreatitis aguda, úlcera péptica perforada, infarto miocárdico, neumonía y neumotórax10.


Estudios radiológicos
Radiografía de tórax
El estudio inicial de primera línea es habitualmente una radiografía de tórax2,8,10,11,15,16-20. Esta puede interpretarse como normal en 20 a 50 % de los casos 12,17,20. Su sensibilidad diagnóstica en lesiones del lado izquierdo varía entre 27 y 62 %, y para las lesiones del lado derecho es de 17 a 33 %15,17,18,20.
La radiografía de tórax es sugestiva de herniación pero no diagnóstica en 18 % de los demás casos20. En la mayoría de los casos, los signos de ruptura diafragmática se encuentran enmascarados por hallazgos asociados, como derrame pleural, atelectasias, contusión pulmonar o elevación inespecífica del diafragma14,18-21.
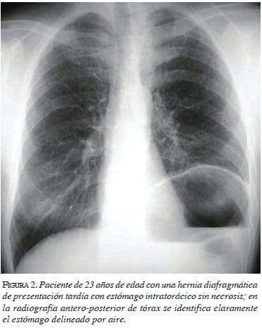
En el hemitórax derecho se puede observar desviación del mediastino hacia ese lado3,4,18-20. El pulmón izquierdo se puede observar colapsado6. Puede identificarse un neumotórax cuando el estómago está perforado14. El hemidiafragma izquierdo se encuentra muy elevado y no se observa la burbuja gástrica por debajo del diafragma3,5,6,20. Ocasionalmente, se puede ver un nivel hidroaéreo en el estómago herniado1,4,5,9,10, el que puede confundirse con un quiste hidatídico o un absceso pulmonar (figura 1). Con mayor frecuencia aún, es posible identificar el estómago dentro del tórax (figura 2). Estas alteraciones se pueden asociar a derrame pleural izquierdo6,18,19. La instalación de una sonda nasogástrica puede demostrar la presencia del estómago dentro del tórax hasta en 95 % de los casos y, además, contribuye a descomprimir el estómago y aliviar la presión intrapleural6,8,10,17.
En la tabla 4 se describen los signos radiológicos clásicos de las hernias diafragmáticas. Los más importantes son la presencia de asas intestinales u órganos dentro del tórax afectado y el denominado “signo del collar”, que consiste en la constricción localizada de la masa herniada en el punto de la lesión diafragmática18,20.


